앞니 레진 변색, 재치료로 다시 자연스러워질 수 있을까?

앞니 레진 변색 케이스1 변색된 상태 정면

좋은 진료를 정직하게 | 선한 영향력으로 더 나은 가치를 앞니 레진 변색, 재치료로 다시 자연스러워질 수 있을까? 앞니 레진 변색 재치료 | 치과의사 박상억입니다 🙂 안녕하세요^^ 오늘은 앞니 레진 변색과 재치료에 대해 알아볼까 합니다. 앞니는 바로 눈에 띄는 부분으로 외모에 주는 영향이 너무 크기에, 앞니 때문에 많은 분들이 고민이실 텐데요. 특히 충치로 인해 레진 치료를 … 더 읽기

상악동 거상술 임플란트, 발치 후 바로 식립하면 치료 기간을 얼마나 줄일 수 있을까?

케이스1 좌측 상악 결손 파노라마 진단

좋은 진료를 정직하게 | 선한 영향력으로 더 나은 가치를 상악동 거상술 임플란트, 발치 후 바로 식립하면 치료 기간을 얼마나 줄일 수 있을까? 수면 임플란트 상악동 거상술 | 치과의사 박상억입니다 🙂 안녕하세요^^ 치과 임플란트를 고민하고 계신다면, “수술이 너무나도 두렵다” “치료 기간이 너무 오래 걸려 걱정된다” 위와 같은 고민을 하고 계시나요? 많은 분이 임플란트 치료를 미루는 가장 … 더 읽기

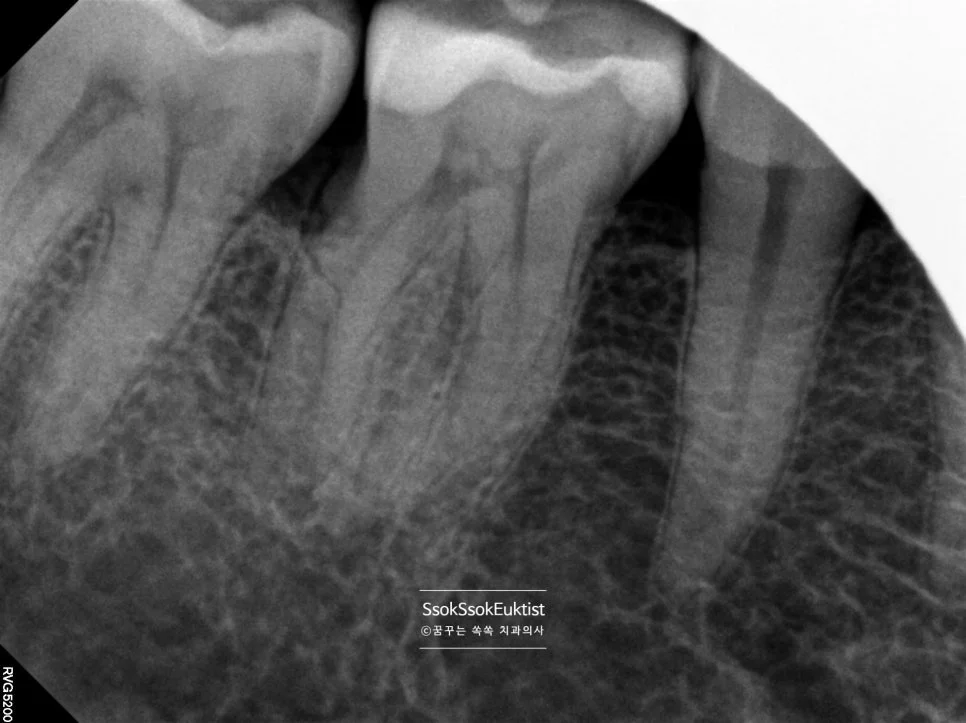
신경치료 통증 없이 받으려면? 치수염 진단부터 크라운까지 전 과정

신경치료 케이스1 초진 파노라마 엑스레이

좋은 진료를 정직하게 | 선한 영향력으로 더 나은 가치를 신경치료 통증 없이 받으려면? 치수염 진단부터 크라운까지 전 과정 꿈꾸는 쏙쏙 치과의사 박상억입니다 오늘은 치과 치료의 화룡정점이라고 할 수 있는 치아의 신경치료에 대해 설명드릴까 합니다. 신경 치료는 그 이름부터 무시무시한데 실제 통증과 감각을 느끼는 신경 그 자체를 다루는 치료다 보니 엄청난 통증이 있는 상태에서 아주 편안한 … 더 읽기

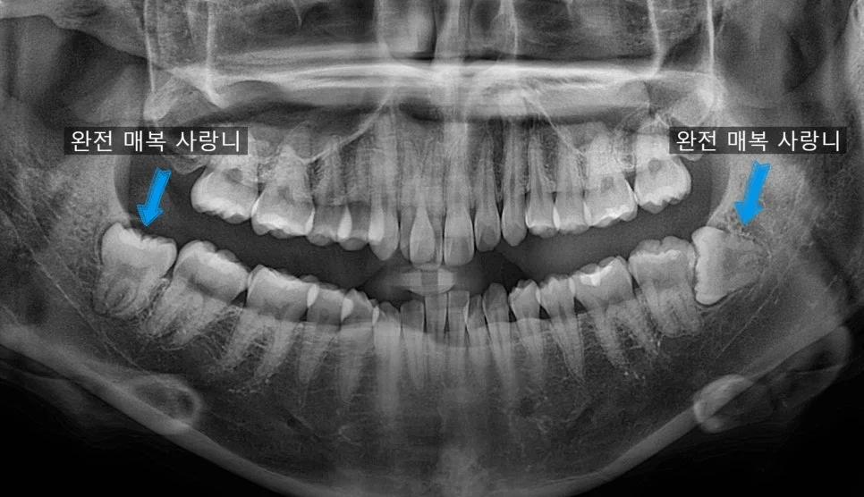
사랑니 발치 후 식사, 음주, 흡연 언제부터 가능할까?

사랑니 4개 위치 파노라마 엑스레이 진단

좋은 진료를 정직하게 | 선한 영향력으로 더 나은 가치를 사랑니 발치 후 식사, 음주, 흡연 언제부터 가능할까? 마곡역 사랑니 최소 통증 해결 TIP | 치과의사 박상억입니다 🙂 안녕하세요^^ 사랑니, 이름만 들어도 이름과 달리 아프고 불편한 무서운 존재로 인식이 되는데요. 이번 포스팅에서는 사랑니를 발치해야 하는 이유와 무섭지 않게 치료받는 방법, 주의 사항까지 자세히 설명드리겠습니다^^ 포스팅 내용만 … 더 읽기

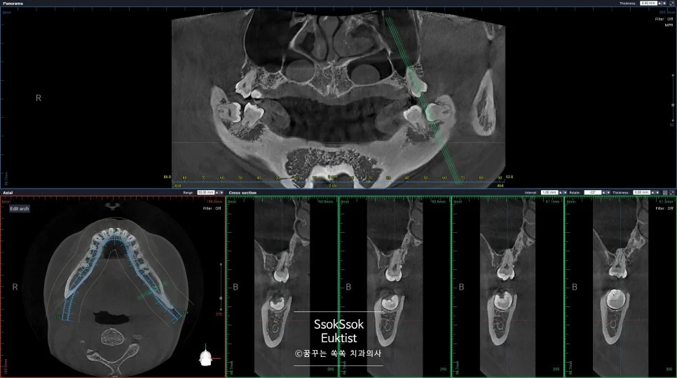
사랑니 4개 한번에 발치, 정말 가능할까? 덜 아프게 뽑는 비결 공개

사랑니 4개 발치 전 파노라마 엑스레이 진단 사진

좋은 진료를 정직하게 | 선한 영향력으로 더 나은 가치를 사랑니 4개 한번에 발치, 정말 가능할까? 덜 아프게 뽑는 비결 공개 강서구 마곡 꿈꾸는 쏙쏙 치과의사 박상억입니다. 안녕하세요^^ “하루에 사랑니 4개를 다 뽑으면 너무 아프지 않을까?” “하루에 다 뽑으면 밥은 어떻게 먹죠?” “사랑니 발치 후 술, 담배 가능한가요?” 오늘은 왼쪽 위 사랑니가 붓고 아파서 내원하셨다가, “마취한 … 더 읽기

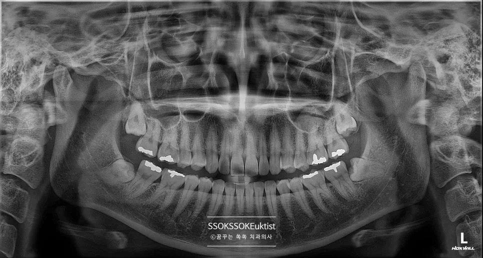
공황장애 환자의 수면 마취 치과 치료, 사랑니 발치부터 충치까지 한 번에

공황장애 환자 초진 파노라마 엑스레이 사랑니 및 충치 진단

좋은 진료를 정직하게 | 선한 영향력으로 더 나은 가치를 공황장애 환자의 수면 마취 치과 치료, 사랑니 발치부터 충치까지 한 번에 마곡나루 사랑니 꿈꾸는 쏙쏙 치과의사 박상억입니다. 안녕하세요^^ 한 번쯤 공황장애라는 질병에 대해 들어보셨을 텐데요. 실제 많은 연예인들이 겪고 있는 질병이죠ㅜ 공황장애란? — 불안함, 공포, 신체 증상을 동반하는 질병 이런 공황 발작은 불안함과 공포를 자극하거나 통증에 … 더 읽기

재신경치료 후기와 비용, 발치 판정 치아도 살릴 수 있을까?

치근단 엑스레이 뿌리 끝 검은색 음영 염증 소견

좋은 진료를 정직하게 | 선한 영향력으로 더 나은 가치를 재신경치료 후기와 비용, 발치 판정 치아도 살릴 수 있을까? 강서구 마곡 서울쏙쏙치과 꿈꾸는 쏙쏙 치과의사 박상억입니다^^ 안녕하세요^^ 오늘은 신경치료 후 통증에 의한 재신경치료에 대해 알아볼 건데요^^ 신경치료를 한 지 한참 지난 치아가 어느 순간부터 불편하고 아프다면 오늘의 포스팅이 도움이 되실 거라 생각합니다~^^ 그럼 바로 시작해 보겠습니다! … 더 읽기

사랑니 발치를 미루면 생기는 위험, 수면 마취로 한 번에 해결

아래 사랑니 턱뼈에 걸려 잇몸 덮여 염증 발생 파노라마 X-ray

좋은 진료를 정직하게 | 선한 영향력으로 더 나은 가치를 사랑니 발치를 미루면 생기는 위험, 수면 마취로 한 번에 해결 마곡동 사랑니 꿈꾸는 쏙쏙 치과의사 박상억입니다^^ 안녕하세요^^ 오늘은 사랑니 발치에 대해 알아보려 합니다! “사랑니 발치해야 하는 건 아는데, 너무 무서워요” “한쪽만 빼도 아픈데 양쪽은 절대 못할 것 같아요” 치과를 운영하면서 제가 정말 자주 듣는 말씀인데요 파노라마 … 더 읽기

발치 판정 받은 치아, 신경치료와 크라운으로 살릴 수 있을까?

발치 판정 치아 치근단 X-ray 진단 신경관 막힘 화살표 표시

좋은 진료를 정직하게 | 선한 영향력으로 더 나은 가치를 발치 판정 받은 치아, 신경치료와 크라운으로 살릴 수 있을까? 강서구 마곡 서울쏙쏙치과 꿈꾸는 쏙쏙 치과의사 박상억입니다^^ 안녕하세요^^ 오늘은 발치 판정 치아를 어떻게 치료할 수 있을지 이야기해 보려 합니다! 어느 날 간단한 문제라 생각하고 치과에 갔는데 진단을 받아보니 발치를 해야 한다는 말을 들었다면 그 충격은 상당할 겁니다. … 더 읽기

스케일링할 때 착색제거, 지각과민처치, 레진연마까지 받을 수 있을까?

스케일링 전 상악 치아 착색 화살표 표시 증례1

좋은 진료를 정직하게 | 선한 영향력으로 더 나은 가치를 스케일링할 때 착색제거, 지각과민처치, 레진연마까지 받을 수 있을까? 강서구 마곡 서울쏙쏙치과 꿈꾸는 쏙쏙 치과의사 박상억입니다^^ 안녕하세요^^ 오늘은 마곡 치과에서 가장 흔히 하는 진료인 스케일링에 대해 설명드릴까 합니다! 스케일링은 잇몸 상방의 치석을 제거하는 술식을 말하고, 정기적으로 잇몸 관리 차원에서 받는 술식으로 많이들 알고 계실 것 같습니다! 그런데요, … 더 읽기