좋은 진료를 정직하게 | 선한 영향력으로 더 나은 가치를
사랑니 발치 수면마취, 편안한 치료 경험을 만드는 비결은?
강서구 마곡 서울쏙쏙치과 수면 사랑니 발치 증례
Q. 사랑니 수면마취 발치, 정말 편안할까요?
A. 의식하 진정요법으로 진행되는 수면 발치는, 환자분이 긴장과 통증을 거의 느끼지 못한 상태에서 치료가 끝나도록 돕는 방식입니다.
이런 분들께 추천합니다
- 사랑니 뽑아야 한다고 들었지만 공포로 미루고 계신 분
- 매복 사랑니로 여러 개 동시 발치 상담받으신 분
- 치과 진료 중 긴장·공황 경험이 있어 수면 옵션이 필요한 분
- 앞 치아를 지키기 위해 사랑니 조기 관리를 고민하시는 분
안녕하세요^^
좋은 진료를 정직하게, 선한 영향력으로 더 나은 가치를 전하는 강서구 치과 서울쏙쏙치과 꿈꾸는 쏙쏙 치과의사 박상억입니다.
치과 치료를 떠올리면 가장 먼저 생각나는 단어는 아마도 “아플까?” “무서울까?”일 겁니다.
특히나 매복 되었거나 신경관과 맞닿아 있는 사랑니를 발치해야 한다고 들으면 그 공포는 몇 배나 더 심해질 텐데요.
많은 환자분들이 이런 말씀을 하십니다.
“언젠가는 빼야 하는데 자꾸 미루게 돼요.”
“마취해도 아픈 거 아닌가요?”
오늘은 그런 걱정을 조금 덜어드리고자, 사랑니 발치 수면마취가 어떤 치료인지, 왜 필요한지, 그리고 실제 치료 과정과 발치 후 주의사항까지 자세히 설명드리겠습니다. 🙂
글을 다 읽고 나시면 “괜히 무서워서 미뤘구나” 하고 생각이 바뀌실지도 모르니 5분만 집중해서 보실까요~
사랑니, 꼭 발치해야 할까?
사랑니를 발치해야 하는 이유는 크게 세 가지로 설명드릴 수 있습니다.
“사랑니를 빼는 이유는 딱 하나예요 — 앞에 있는 치아를 아끼기 위해서입니다.”
— 서울쏙쏙치과 박상억 원장의 진료 철학
첫째, 아픈 사랑니
통증이 이미 있는 사랑니라면 고민할 여지가 없습니다. 이유가 뭘까요? 앞으로도 계속 아프고, 주기적으로 문제를 일으킬 확률이 높기 때문입니다.
둘째, 증상이 없는 매복 사랑니
“안 아픈데 괜찮지 않나요?”라고 물어보시는데, 사실 그렇지 않습니다.
잇몸 속에 숨어 있는 사랑니는 바로 앞 제2대구치(두 번째 어금니)를 곤란하게 만들 수 있습니다. 충치가 생기거나 잇몸뼈가 손상되면 치료가 매우 어렵고, 결국 건강한 어금니를 잃을 수도 있습니다.
💡 치아는 원래 “주머니”를 가지고 태어납니다. 뼈 안에서 만들어질 때부터 잇몸과 붙지 않는 작은 공간이 있어요. 매복 사랑니의 경우 이 주머니에 음식물과 세균이 고여 앞 치아까지 망가뜨릴 수 있습니다.
셋째, 발치를 안 해도 되는 경우
아예 없는 건 아닙니다. 위아래 사랑니가 나란히 잘 맞물려 정상적으로 씹는 데 기여하고, 양치질과 관리가 잘 되는 경우라면 그냥 두어도 됩니다.
하지만 이런 경우는 드물기에 대부분은 조기 발치가 정답이라 생각하시면 됩니다.
“어차피 맞을 매라면, 일찍 맞는 게 낫다”라는 말이 딱 들어맞죠. ^^
치과에서 사랑니 발치 수면마취란?
수면마취는 정식 명칭으론 의식하 진정요법이라고 부릅니다.
쉽게 표현하자면 “자는 것도 같고, 깨어 있는 것도 같은” 독특한 상태입니다. 깊은 잠에 빠진 것처럼 보이지만, 큰 소리로 이름을 부르면 깰 수 있을 정도로 안전한 진정 상태죠.
환자분 입장에서는 발치 과정을 기억하지 못하고, “벌써 끝났나요?” 하고 놀라시는 경우가 많습니다.
수술의 긴장과 공포를 최소화하면서도 필요한 경우에는 깨워서 대화도 가능한, 편안하면서 안전한 방법이라 할 수 있습니다.
다만, 안전하게 진행되려면 경험 많은 의료진이 정맥 라인을 직접 확보하고 약물을 조절해야 합니다.
그래서 저는 환자분께 항상 이렇게 말씀드립니다.
“수면마취 자체는 편안하지만, 중요한 건 누가 하느냐입니다.”
치과 진료의 통증·공포·긴장은 모두 교감신경을 활성화시켜 혈압을 크게 올립니다.
그래서 혈압이 걱정되시거나 심장 부담이 우려되는 분들께는 오히려 수면치료가 몸의 긴장을 덜어드리는 선택이 될 수 있습니다.
그렇다면 사랑니 발치 수면마취가 우리 치과에서 더욱 편안한 치료 경험으로 인식되는 이유는 무엇일까요?
서울쏙쏙치과만의 특별한 발치 시스템은?
바로 특별한 수면 발치 방식에 있습니다.
- 대표원장이 모든 환자를 직접 정맥 확보 — 안전하고 빠르게 수면마취를 시작할 수 있고, 언제든 상황에 맞게 조절할 수 있습니다.
- 자가 혈액 지혈제(PRF) 활용 — 환자분의 혈액에서 만든 지혈제를 사용하면 발치 후 붓기와 통증을 줄이고, 흔히 두려워하는 합병증인 ‘건조와(Dry Socket)’도 예방할 수 있습니다.
- 사전 진통제 투여 — 발치하기 전 미리 진통제를 정맥으로 투여해 두면, 수술 후에도 통증과 붓기가 훨씬 적습니다.
환자분들은 “생각보다 너무 편했다”라는 이야기를 많이 해주십니다.
서울쏙쏙치과는 진료 과정의 모든 순간을 사진과 차트로 기록합니다. 시간이 지나도 “이전에 어땠고 지금은 어떤지”를 함께 살펴볼 수 있어, 환자분께 더 정확한 판단 근거를 드릴 수 있습니다.
차별화된 방식으로 더욱 편안한 사랑니 발치 수면마취가 가능하니 수면 치료에 집중하는 치과로 볼 수 있겠죠^^
매복 사랑니 수면 발치, 실제 치료 과정은?

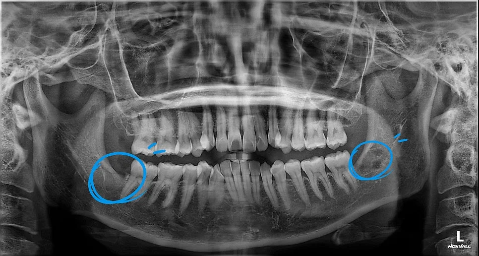
파노라마 사진 — 양쪽 아래 사랑니가 모두 매복돼 있는 상태
내원해서 찍은 파노라마 사진을 보면, 양쪽 아래 사랑니가 둘 다 매복돼 있죠.

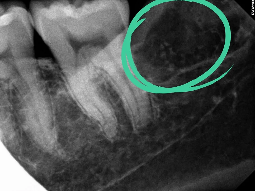
왼쪽 사랑니 확대 — 파란 화살표로 제2대구치 압박 부위 표시
특히 왼쪽 사랑니는 뼈 속 깊이 옆으로 누워 있으면서 바로 앞에 있는 두 번째 큰 어금니(제2대구치)를 꽉 눌러주고 있었어요.
이렇게 되면 앞어금니가 충치가 생기거나 뼈가 녹는 문제가 생길 수 있어서 발치가 꼭 필요했습니다. 게다가 신경관이랑도 가까워서 더욱 신경 써야 했죠.
이러한 경우, 매우 어려운 사랑니 발치로 볼 수 있습니다.

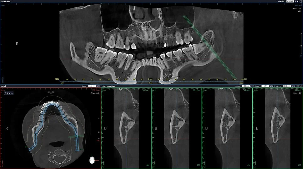
CBCT(Cone Beam CT) 스캔 — 왼쪽 사랑니가 신경관 바로 옆에 위치한 것을 3차원으로 확인
CT를 찍어보니 예상대로 왼쪽 사랑니가 신경관 바로 옆에 붙어 있는 걸 확인할 수 있었습니다.
이런 경우 CT 촬영은 선택이 아니라 필수인데요. 미리 발치할 길을 계획할 수 있어서 신경 손상 같은 위험을 줄일 수 있거든요.

오른쪽 사랑니 확대 — 오렌지색 화살표(신경관), 파란색 화살표(휜 뿌리)
오른쪽 사랑니는 겉으로 보기엔 단순해 보였지만, 뿌리 끝이 심하게 휘어 있고 신경관과 맞닿아 있었습니다.
이런 경우에는 치아가 한 번에 안 나오니까, 머리와 뿌리를 나눠서 발치해야 합니다. 난도가 높은 편이라 보통 15~20분 정도 걸리는데, 단계별로 차근차근 발치를 해주면 됩니다.
물론 듣기만 해도 “어려운 발치”처럼 느껴지실 텐데, 걱정하지 않으셔도 됩니다. 이런 케이스를 깔끔하게 뽑아낼 수 있다면, 사랑니 발치 경험이 정말 풍부하다고 볼 수 있게죠.^^

수면마취에 사용된 약물 — 시술 후 즉시 폐기 처리
수면치료에 사용된 약물은 즉시 폐기하니 안심하셔도 됩니다.^^

발치 후 파노라마 — 양쪽 사랑니 안전하게 제거, 제2대구치 보존 확인
발치가 끝나고 찍은 파노라마 사진입니다. 좌우 사랑니가 모두 안전하게 제거된 게 보이시죠? 환자분이 제일 걱정하셨던 제2대구치도 무사히 지켜냈습니다.


마지막으로 발치 후 치근단 사진을 확인해 봤습니다. 잔뿌리 하나도 남지 않고 깔끔하게 발치가 잘 된 걸 확인할 수 있죠^^
이런 사진은 수술이 잘 끝났는지 확인하는 중요한 근거가 됩니다~
사랑니 발치 후 주의사항은?
1. 사랑니 발치 후 식사
마취가 다 풀린 뒤에 식사하는 게 안전합니다. 마취가 남아 있을 때는 입술이나 뺨을 깨물 수 있어요.
통증이 없으면 당일부터 일반 식사도 가능하지만, 불편하다면 하루 정도는 죽·수프처럼 부드러운 음식 위주로 드시는 게 좋아요.
2. 사랑니 발치 후 음주
음주는 회복을 늦추고 통증을 심하게 만들 수 있습니다.
가볍게 한두 잔은 가능하지만, 불편하다면 최소 1주일은 피해주세요. 특히 약과 함께 술을 마시면 평소보다 빨리 취할 수 있으니 조심하셔야 합니다.
3. 사랑니 발치 후 흡연
흡연은 회복을 방해하는 가장 큰 요인입니다.
최소 1주일은 금연을 권장 드리며, 건조와(Dry Socket) 같은 합병증을 예방하려면 피하시는 게 가장 좋습니다.
- 식사는 마취 풀린 뒤 부드러운 음식부터
- 술은 1주일 뒤
- 담배는 가능하면 끊기!
이 세 가지만 지켜도 회복이 훨씬 빨라집니다.
불편한 느낌이 있으면 혼자 참지 마세요
사랑니 발치 후 “이 정도는 참아야 하나?” 고민되시면, 혼자 괴로워하거나 참지 마시고 오셔서 말씀만 해주세요. 저희가 살펴드립니다.
자주 묻는 질문
Q. 사랑니 발치 수면마취 시 의식이 있나요?
수면마취(의식하 진정요법)는 깊은 잠에 빠진 것처럼 보이지만, 큰 소리로 이름을 부르면 깨울 수 있을 정도의 안전한 진정 상태입니다. 대부분의 환자분은 발치 과정을 기억하지 못하며, “벌써 끝났나요?” 하고 놀라십니다. 전신마취와 달리 호흡을 스스로 하며, 필요시 대화도 가능합니다.
Q. 매복 사랑니인데 수면마취로 발치가 가능한가요?
네, 가능합니다. 오히려 매복 사랑니처럼 난도가 높은 발치일수록 수면마취가 더 적합합니다. 환자분은 편안한 상태에서 긴장 없이 치료를 받을 수 있고, 의료진은 집중하여 정밀한 발치를 진행할 수 있기 때문입니다. 서울쏙쏙치과에서는 CBCT 촬영으로 신경관 위치를 사전에 파악하여 안전하게 발치합니다.
Q. PRF 자가혈 지혈제란 무엇인가요?
PRF(Platelet-Rich Fibrin, 다혈소판섬유소)는 환자분 본인의 혈액을 채혈하여 원심분리기로 만든 자가 지혈제입니다. 발치 부위에 넣으면 내 몸과 거부감 없이 어울려 출혈을 줄이고, 건조와(Dry Socket) 등 합병증을 예방하며, 조직 재생을 촉진하여 치유 속도를 높여줍니다.
Q. 사랑니 발치 후 일상생활은 언제부터 가능한가요?
대부분 다음 날부터 일상생활이 가능합니다. 식사는 마취가 풀린 후 부드러운 음식부터 시작하시고, 음주는 최소 1주일, 흡연도 최소 1주일은 금연하시는 것이 좋습니다. PRF 지혈제와 사전 진통제를 사용하면 붓기와 통증이 크게 줄어 회복이 훨씬 빠릅니다.
Q. 안 아프면 사랑니를 안 빼도 되나요?
증상이 없더라도 매복 사랑니는 바로 앞 제2대구치에 충치를 만들거나 잇몸뼈를 녹이기 때문에, “괜찮으니까 그냥 둬도 되겠지”는 위험한 생각입니다. 위아래 사랑니가 정상적으로 맞물리고 관리가 잘 되는 드문 경우를 제외하면, 대부분 조기 발치가 정답입니다.
임플란트 환자 1,014명을 대상으로 한 연구에서 72.2%가 수술 전 불안감을 느꼈으나, 의식하 진정(수면 마취) 적용 시 90% 이상이 편안한 치료 경험을 보고했습니다. 고령 환자에서도 안전하게 적용 가능합니다.
— Bovaira M et al. (2017), Int J Oral Maxillofac Implants, 32(4):912-918
사랑니 발치를 미루는 이유는 단 하나, 두려움입니다.
하지만 두려움은 정보로 극복할 수 있습니다! 사랑니는 대부분 시간이 지나면 문제를 일으킵니다. 수면마취는 무섭고 아픈 과정을 최소화하며, 안전하고 경험 많은 의료진이라면 회복도 훨씬 빠르죠 🙂
결국 중요한 것은 “내 사랑니 상태에 맞는 적절한 시기와 방법”을 선택하는 것입니다. 치료를 미루다 앞어금니까지 잃는 경우를 보며 치과의사로서 늘 안타까운 마음이 듭니다.
사랑니 때문에 고민만 하고 계셨다면, 이번 글을 계기로 조금은 결정을 내리실 수 있기를 바랍니다.
“자는 사이에 사랑니와 영원히 이별” — 사실 이렇게 편한 방법이 있는데, 괜히 겁만 먹고 있을 이유는 없겠죠? ^^
오늘의 정보가 사랑니 발치를 고민하시는 분들께 도움이 되는 정보였으면 좋겠습니다!^^
좋은 진료를 정직하게 | 선한 영향력으로 더 나은 가치를
강서구 마곡 서울쏙쏙치과 꿈꾸는 쏙쏙 치과의사 박상억이었습니다.
함께 읽으면 좋은 글
본 포스팅은 의료법에 의거하여 치료가 필요한 환자분들을 위한 정보제공 목적으로 작성되었습니다. 개인에 따라 치료 결과가 다를 수 있으니 전문의 상담을 받으시기 바랍니다.