사랑니 때문에 앞어금니 신경치료? 4개 발치와 충치 치료 전 과정

좋은 진료를 정직하게 | 선한 영향력으로 더 나은 가치를

사랑니 때문에 앞어금니 신경치료? 4개 발치와 충치 치료 전 과정

강서구 마곡 서울쏙쏙치과 사랑니 발치 + 신경치료 + 크라운 + 인레이 증례

안녕하세요^^

좋은 진료를 정직하게, 선한 영향력으로 더 나은 가치를 전하는 강서구 치과 서울쏙쏙치과 꿈꾸는 쏙쏙 치과의사 박상억입니다.

사랑니 발치 및 앞어금니 치료 소개 사진

오늘은 사랑니 발치와 그 바로 앞 치아의 신경치료에 대해 설명드릴까 합니다.

우선 여러분!!! 사랑니가 있다면, 그 사랑니가 매복이라면 아프기 전에 빼주세요 제발ㅜ 바로 그 이유에 대해 설명해 드릴게요!^^

사랑니가 앞어금니에 충치를 만드는 이유는?

특별히 많이 아프진 않기에 사랑니 발치를 미루고 계신 수많은 분들이 계실 텐데요! 어떤 상황인지 검진 차 치과에 들어보셨네요!

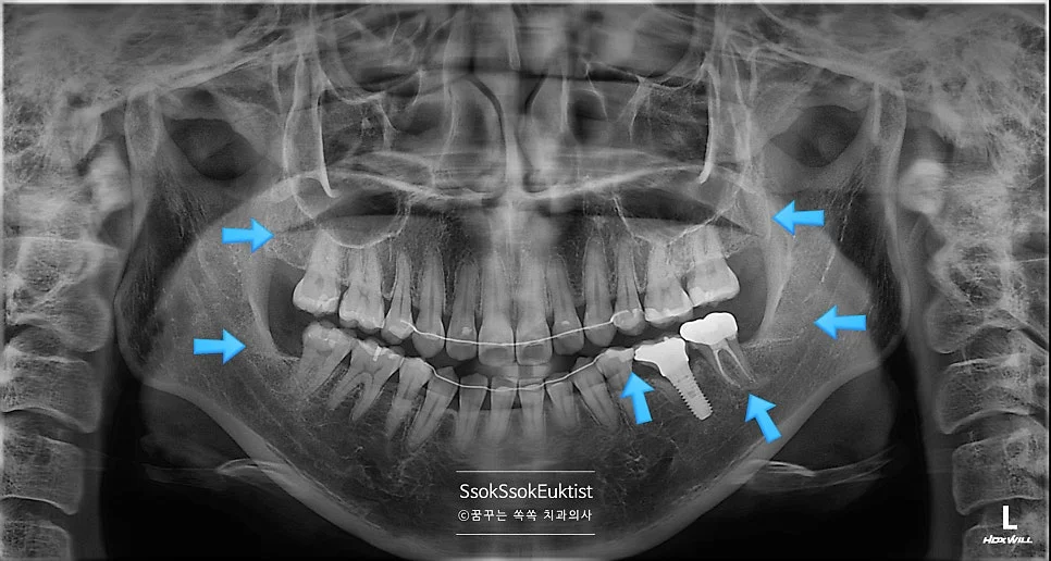
구강 전체 사랑니 4개 진단 사진

구강 정면 사진 — 사랑니 4개가 모두 존재하는 상태

사랑니는 4개가 다 있고, 다 발치해야 하는 상황이네요^^

상악 사랑니 방사선 진단
상악 사랑니 — 크기가 작지만 비교적 얌전히 맹출
하악 매복 사랑니 충치 방사선 진단
하악 매복 사랑니 — 머리부터 충치가 진행된 상태

파란 화살표로 표시되어 있는 치아가 사랑니입니다! 위 사랑니는 크기가 좀 작지만 비교적 얌전히 나있는데요!

아래 두 개의 사랑니를 보면 머리부터 충치가 상당히 진행되어 있는 것을 볼 수 있습니다. 아래 사랑니는 매복 사랑니이기 때문에 발치를 해야 하고, 위 사랑니는 아래 사랑니를 제거하면 닿는 치아가 없어 필요 없고 관리만 안 되는 사랑니이기에 발치를 하는 것을 추천합니다!^^

핵심 포인트: 사랑니가 앞 치아에 충치를 만든다!

매복 사랑니를 방치하면 바로 앞 치아에 충치 혹은 잇몸질환을 만들게 됩니다. 이것이 사랑니 발치를 꼭 해야 하는 가장 큰 이유입니다.

교익 방사선 사랑니 인접 충치 빨간 표시

교익 방사선(Bitewing X-ray) 사진 — 빨간색 표시 부분이 사랑니로 인해 생긴 충치

왼쪽 아래 사랑니를 촬영한 교익 방사선(Bitewing X-ray) 사진을 보면, 빨간색으로 표기한 부분이 충치인데요! 사랑니가 없었다면 절대 생기지 않을 충치입니다ㅜ

사랑니 인접 어금니 충치 육안 확인

육안으로 확인한 인접 어금니 충치 — 상당히 진행된 상태

육안으로 보면 이렇게나 충치가 크게 진행되었네요.

사랑니 인접 충치가 특히 위험한 이유

심지어 사랑니 때문에 생긴 충치는 치아 뿌리 쪽에서 시작하는 충치로, 뿌리를 구성하는 치아의 안쪽 재질(상아질)은 무르기 때문에 매우 빨리 충치가 진행하고, 심지어 거리도 신경과 매우 가깝기 때문에 조금만 방치하면 신경치료 및 크라운을 하게 됩니다ㅜ

결국 이 치아는 신경치료 및 크라운을 시행하게 됩니다. 여러분, 사랑니는 제발 아프기 전에 빼주세요ㅜ

오른쪽 사랑니 비수면 발치, 어떻게 진행될까?

먼저 오른쪽의 사랑니 두 개를 발치합니다! 비수면으로 진행되었으며, 강서구 치과 서울쏙쏙치과만의 사랑니 발치 차별점 두 가지가 있습니다.

오른쪽 위 사랑니 발치 사진
오른쪽 위 사랑니 발치
오른쪽 아래 사랑니 발치 과정
오른쪽 아래 사랑니 발치
서울쏙쏙치과 사랑니 발치 차별점 2가지
  1. 채혈을 통한 자가 지혈제(PRF) 사용 — 지혈을 돕고 건조와(Dry Socket)를 예방하기 위해 환자분의 혈액으로 만든 지혈제를 사용합니다
  2. 수술 전 정맥 진통제 투여 — 수술 후 붓기/염증/통증을 조절하기 위해 정맥으로 진통제를 미리 투여합니다

이 두 가지를 항상 시행하기에 사랑니 발치 후 다음 날 붓거나 아프다고 내원하시는 분이 거의 없습니다^^

오른쪽 아래 사랑니는 신경관과 거의 닿아 있는 것 같습니다만, 서울쏙쏙치과에서는 아무렇지 않게 발치하곤 합니다.

오른쪽 사랑니 발치 완료 1
오른쪽 사랑니 발치 완료 — 1
오른쪽 사랑니 발치 완료 2
오른쪽 사랑니 발치 완료 — 2

예쁘게 발치가 된 모습을 볼 수 있습니다.

발치 다음날 경과 확인 기록
발치 다음 날 — 경과 양호
7일 후 실 제거 경과 기록
7일 후 실 제거 — 괜찮았다고 하시네요~^^

다음 날 낫고 있는 것을 체크하고, 7일 후 실을 풉니다. 실 푸는 날까지도 괜찮았다고 하시네요~^^

왼쪽 사랑니 발치와 신경치료, 동시에 가능할까?

10일 정도 후 왼쪽 사랑니 발치를 시행하러 오셨는데요, 내원한 김에 바로 앞 치아 신경치료도 함께 진행합니다.

왼쪽 사랑니 발치 완료 1
왼쪽 사랑니 발치 완료 — 1
왼쪽 사랑니 발치 완료 2
왼쪽 사랑니 발치 완료 — 2

예쁘게 사랑니를 제거한 모습입니다!^^ 신경치료는 서울쏙쏙치과의 가장 자신 있는 주력 진료입니다^^

신경치료 핵심 세 가지

좋은 신경치료의 기준
  1. 모든 신경관의 길을 끝까지 찾는다
  2. 신경관을 충분히 넓히고 소독한다
  3. 신경관을 가득 채운다

끝. 이 기준에 의해 신경치료 후 사진을 분석하면 됩니다.

제2대구치 신경치료 완료 방사선

신경치료 완료 방사선 — 신경관이 가득 채워진 모습 (화살표: 레진으로 채워진 충치 부위)

치아의 신경관이 가득 채워진 것 같으면 잘 된 신경치료입니다^^ 한편, 크게 있던 충치도 예쁘게 레진으로 채워졌네요(사진상에서 화살표로 표시된 하얀 부분).

보통 신경치료의 경우 서울쏙쏙치과에서는 2번 정도에 마무리가 되지만, 이 치아의 경우 3번의 내원에 치료가 마무리되었습니다.

크라운과 인레이 치료는 왜 필요할까?

신경치료 후 크라운이 필수인 이유

한편 신경치료를 한 치아는 크라운 치료를 통해 보호해 줘야 합니다. 치아 내부에 통로를 형성하여 신경치료를 진행하기에 반드시 전체를 감싸 주어야 합니다.

한편 사랑니 때문에 생긴 충치는 그 깊이가 너무 깊어, 크라운 치료를 위해 치아를 다듬는 것이 너무 어려운데요ㅜ

크라운 치아 삭제 깊은 충치 과정

크라운 치아 삭제 과정 — 입안 가장 깊은 곳의 치아를 다듬는 모습

접근이 잘 안되는 입안 가장 깊은 곳은 눈으로 잘 보이지 않기에 거의 손끝의 감에 의해 치아를 다듬어야 합니다ㅜ 사랑니 때문에 생긴 충치를 치료하기 어려운 가장 큰 이유가 바로 이것 때문입니다!

사랑니는 아프기 전에 빼주세요ㅜ 제발!!^^

사랑니로 인해 생긴 바로 앞 치아의 충치는 치료가 매우 어렵기 때문에 자칫 치아를 발치하게 될 수도 있습니다ㅜ

임플란트 앞 치아 인레이 치료

한편, 임플란트 바로 앞 치아의 충치도 함께 인레이 치료를 시행합니다.

임플란트 인접 충치 인레이 치료

임플란트 인접 치아 충치 — 인레이 치료 진행

임플란트 앞 치아에 충치가 생기는 이유

임플란트는 움직이지 않는 반면, 임플란트 바로 앞 치아는 시간이 지나면 가운데로 움직이기 때문에 임플란트 바로 앞 공간은 항상 음식물이 쉽게 낄 수 있는 곳입니다!

문제는 음식물이 끼면서 바로 앞 치아에 충치까지 만드는 것인데요ㅜ 이 치아도 충치가 생겨버렸기에,

  1. 음식물 끼임을 해결하기 위해
  2. 충치 치료를 하기 위해

인레이 치료를 시행합니다.

치료 후 결과, 사랑니 발치를 미루지 마세요

치료 완료 후 결과 1
치료 후 — 1
치료 완료 후 결과 2
치료 후 — 2
치료 완료 후 결과 3
치료 후 — 3

오늘은 사랑니 발치를 4개 시행한 사례와 사랑니로 인해 생긴 충치 치료 내용을 함께 다뤄보았는데요!

이번 사례에 있는 충치는 신경치료와 크라운 치료가 적절히 치료되었지만,

사랑니 발치를 미루면 안 되는 이유

사랑니로 인해 생긴 바로 앞 치아의 충치는 치료가 매우 어렵기 때문에 자칫 치아를 발치하게 될 수도 있습니다ㅜ

가급적 사랑니는 아프지 않을 때 발치하시는 것을 추천드립니다!^^

오늘의 포스팅이 사랑니 발치를 고민하는 분들께 큰 도움이 되는 정보였으면 좋겠습니다! 또 만나요~^^

자주 묻는 질문

Q. 사랑니 때문에 앞어금니에 충치가 생겼는데, 신경치료를 꼭 해야 하나요?

사랑니 때문에 생긴 충치는 치아 뿌리 쪽(상아질)에서 시작하기 때문에 매우 빠르게 진행됩니다. 상아질은 법랑질보다 무르고 신경까지의 거리도 가까워서, 발견 시점에 이미 신경까지 도달한 경우가 많습니다. 충치가 깊지 않다면 레진이나 인레이로 해결되지만, 신경까지 침범했다면 신경치료가 반드시 필요합니다.

Q. 사랑니 발치와 신경치료를 같은 날 동시에 할 수 있나요?

네, 가능합니다. 이번 증례에서도 왼쪽 사랑니 발치와 앞 치아 신경치료를 같은 날 진행했습니다. 사랑니를 먼저 제거하면 앞 치아의 충치 부위에 대한 접근성이 좋아져 오히려 치료가 수월해지는 장점이 있습니다. 다만, 환자분의 상태와 컨디션에 따라 담당 의사와 상의 후 결정하시는 것이 좋습니다.

Q. 신경치료 후 크라운을 꼭 해야 하나요? 레진으로 대체할 수 없나요?

신경치료 시 치아 내부에 통로를 만들기 때문에 치아 구조가 약해집니다. 특히 어금니는 씹는 힘을 강하게 받는 부위이므로, 레진만으로는 치아가 쪼개질 위험이 높습니다. 크라운으로 전체를 감싸 보호하는 것이 치아 수명 연장의 핵심입니다.

Q. 임플란트 옆 치아에 음식물이 자꾸 끼는데, 어떻게 해결하나요?

임플란트는 고정되어 움직이지 않지만, 옆의 자연 치아는 시간이 지나면서 가운데 쪽으로 미세하게 이동합니다. 이로 인해 임플란트와 자연 치아 사이에 틈이 생겨 음식물이 끼게 됩니다. 인레이 치료를 통해 접촉면을 개선하면 음식물 끼임을 줄일 수 있고, 동시에 충치 치료도 함께 해결할 수 있습니다.

Q. PRF 지혈제와 정맥 진통제는 어떤 효과가 있나요?

PRF(Platelet Rich Fibrin)는 환자분의 혈액을 채혈하여 만든 자가 지혈제로, 발치 부위에 넣으면 내 몸과 100% 궁합이 맞아 지혈과 건조와(Dry Socket) 예방에 효과적입니다. 정맥 진통제는 수술 직후 발생하는 과도한 면역반응/염증반응을 줄여 붓기와 통증을 획기적으로 감소시킵니다. 서울쏙쏙치과에서는 수면/비수면 발치 모두에 이 프로토콜을 적용합니다.

관련 연구 근거

코크란 체계적 문헌 고찰에서 무증상 사랑니를 방치할 경우 30~60%가 4~12년 내 결국 발치가 필요한 것으로 나타났습니다. 인접 어금니의 치주질환 위험 증가와도 관련되어, 적절한 시기의 발치 결정이 중요합니다.

— Ghaeminia H et al. (2020), Cochrane Database Syst Rev, 5(5):CD003879


좋은 진료를 정직하게 | 선한 영향력으로 더 나은 가치를
강서구 마곡 서울쏙쏙치과 꿈꾸는 쏙쏙 치과의사 박상억이었습니다.

본 포스팅은 의료법에 의거하여 치료가 필요한 환자분들을 위한 정보제공 목적으로 작성되었습니다. 개인에 따라 치료 결과가 다를 수 있으니 반드시 전문의 상담을 받으시기 바랍니다.

댓글 남기기