좋은 진료를 정직하게 | 선한 영향력으로 더 나은 가치를
강서구 사랑니 발치, 의식하 진정요법으로 불안과 통증 없이 양쪽 동시에 가능할까?
강서구 사랑니 꿈꾸는 쏙쏙 치과의사 박상억입니다.
🔍 핵심 요약
강서구 사랑니 발치, 의식하 진정요법으로 불안과 통증 없이 양쪽 동시에 가능할까?
아래에서 진단 기준 · 치료 과정 · 서울쏙쏙치과의 접근 방식을 확인하실 수 있습니다.
이런 분들께 추천합니다
- 사랑니 발치 미루고 계신 분
- 매복 사랑니로 여러 개 동시 발치 고민하시는 분
- 수면 옵션을 통한 편안한 치료를 원하시는 분
안녕하세요^^
치과 치료를 떠올리면 가장 먼저 스치는 감정은 단연 “아플까?”, “무서울 텐데”일 텐데요.
특히 사랑니는 입안 깊숙이 자리하고, 매복된 경우가 많아 수술이 복잡하다는 이미지 때문에 불안감이 더 커지죠.
“언젠간 빼야 한다는 건 아는데”
“마취해도 통증이 느껴지면 어떡하지?”
이런 고민으로 시간만 흘려보내고 계셨다면,
오늘 포스팅이 그 고민을 확실히 정리해 드릴 겁니다. (우리에게는 메인 진료인 부분이죠^^)
의식하 진정요법으로 불안과 통증은 줄이고, 사랑니 발치를 어떻게 하는지 예시를 통해 한 번에 이해되도록 안내드릴게요.
5분만 집중해서 보실까요?
1. 사랑니, 꼭 발치해야 할까?
“사랑니를 빼는 이유는 딱 하나예요 — 앞에 있는 치아를 아끼기 위해서입니다.”
— 서울쏙쏙치과 박상억 원장의 진료 철학
💡 치아는 원래 “주머니”를 가지고 태어납니다. 뼈 안에서 만들어질 때부터 잇몸과 붙지 않는 작은 공간이 있어요. 매복 사랑니의 경우 이 주머니에 음식물과 세균이 고여 앞 치아까지 망가뜨릴 수 있습니다.
치과 진료의 통증·공포·긴장은 모두 교감신경을 활성화시켜 혈압을 크게 올립니다.
그래서 혈압이 걱정되시거나 심장 부담이 우려되는 분들께는 오히려 수면치료가 몸의 긴장을 덜어드리는 선택이 될 수 있습니다.
1) 아픈 사랑니 = 바로 발치 대상
이유는 간단합니다. 지금 아프다면 앞으로도 계속 아플 가능성이 매우 높기 때문입니다.
사랑니는 구조상 반복 염증이 발생하기 쉬워 “잠잠 → 재발” 패턴을 이어갑니다.
2) 통증이 없어도 매복 사랑니는 대부분 발치 권고
“아직 안 아픈데 꼭 빼야 하나요?”라는 질문을 자주 듣습니다.
하지만 잇몸 속에 묻혀 있는 매복 사랑니만큼은 대부분 발치를 권합니다. 핵심 이유는 앞의 제2대구치(두 번째 어금니)를 지키기 위해서입니다.
누워 있거나 기울어진 사랑니는 앞어금니 뒤쪽에 충치와 치조골 손상, 치주염을 만들며, 이 부위는 치료가 상당히 어려워 주의가 필요합니다.
3) 정말 안 빼도 되는 사랑니는 거의 없음
상·하악이 정상적으로 맞물리고 스스로 잘 관리되는 소수 사례 외엔, 결국 대부분은 발치가 필요합니다.
사랑니는 “빼야 할 타이밍”을 기다리는 치아이기도 합니다. ^^;;
2. 치과에서 의식하 진정요법이란?
의식하 진정요법은 잠든 듯 편안하지만, 완전히 의식을 잃지는 않은 상태에서 치료를 받는 방법입니다.
- 편안하고 안정된 호흡
- 불안감·공포감 감소
- 치료 과정 기억 거의 없음
이 특징 덕분에 사랑니 발치와 궁합이 아주 좋습니다.
누군가 크게 부르면 깰 수 있을 정도의 깊이이기 때문에 안전성과 편안함을 동시에 잡을 수 있는 진정 방식입니다.
물론 모든 진료가 그렇듯 안전하게한 시술은 없기에
의식하 진정요법 치료가 메인 진료이며, 마취과 인정의를 보유한 치과에서 받는 것이 가장 중요합니다.
- 물은 2시간, 식사는 6시간 전 금식
- 당일 절대 운전 금지
- 중요한 결정·약속은 피하기
위 세 가지를 지켜 치료를 받아야 안전하게 치료가 마무리될 수 있습니다. 🙂
3. 서울쏙쏙치과 의식하 진정요법 치료의 특징은?
강서구 사랑니 치과 서울쏙쏙치과의 의식하 진정요법 치료의 특장점으론 다음과 같습니다.
1. 대표원장의 직접 정맥 라인 확보
필요할 때 즉시 진정요법을 적용할 수 있고, 이는 경험·숙련도·안정성의 상징이기도 합니다.
2. PRF(자가혈 지혈) 사용
환자의 혈액에서 PRF를 추출하여 적용하면
- 통증 감소
- 부기 억제
- 건조와(Dry Socket) 예방
효과가 뛰어납니다.
3. 수술 전 진통제 투여
사전 진통제 투여는 발치 후 통증·부종을 크게 줄이는 핵심 포인트입니다. 사랑니 발치를 잘하는 치과의 공통된 노하우이기도 하죠.
4. 빠르고 안전한 수술
난이도에 따라 3~15분, 어려운 매복은 약 20분 정도로 마무리됩니다.
의식하 진정 상태에서는 ‘체감 시간’이 훨씬 짧았습니다. 두려웠던 사랑니와 빠르게 이별할 수 있겠죠^^
4. CBCT와 약물 준비부터 발치 결과까지, 실제 치료 과정은?
매복 사랑니는 일반적인 사랑니보단 발치 과정이 복잡해지는데요,
특히 의식하 진정 상태에서 진행하는 사랑니 제거는 하루에 양쪽 사랑니를 모두 제거하는 경우가 많기 때문에, 시술하는 치과의사의 실력이 치료의 완성도를 크게 좌우한다고 볼 수 있겠죠^^
CBCT 진단 — 신경관 위치 사전 확인


CT를 보면 사랑니가 신경관과 꽤나 가까이 맞닿아 있는 상태가 확인되었습니다.
이런 경우에는 CT 검사가 선택이 아니라 필요한 과정인데요. 정확한 영상을 통해 발치 동선을 사전에 계획할 수 있어 신경 손상과 같은 위험 요소를 대폭 줄일 수 있습니다.
의식하 진정요법 약물 준비

의식하 진정요법에 사용되는 약물 (미다졸람)
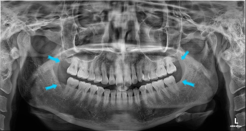
파노라마 X-ray — 발치 전 전체 확인

파노라마 X-ray — 상하 양쪽 사랑니 4개 위치 (파란 화살표)
발치 결과 — 상악 양쪽


발치 결과 — 하악 양쪽 (제2대구치 보존 확인)


무엇보다 제2대구치 역시 손상 없이 잘 보존되었습니다. 이 부분이 가장 중요한 체크포인트였죠.
잔여 뿌리 없이야 발치가 잘 되었다고 볼 수 있습니다.
이런 사후 X-ray는 수술이 정확하게 끝났는지 검증하는 핵심 자료라 꼭 확인해야 하는 단계이기도 합니다~
5. 의식하 진정요법 사랑니 발치 후 주의사항은?
1) 사랑니 발치 후 식사
마취가 어느 정도 풀린 후 식사하세요. 입술·뺨을 깨물 수 있기 때문인데요.
마취가 풀린 뒤 불편하면 당일은 부드러운 음식 권장. 입을 벌릴 때 큰 불편이 없고 통증이 거의 느껴지지 않는다면 발치한 당일에도 일반 식사도 가능합니다.
2) 사랑니 발치 후 음주
통증이 완전히 없으면 가볍게 한두 잔 정도는 무리 없지만, 조금이라도 불편하다면 최소 일주일은 술을 피하는 게 안전합니다.
처방약을 복용하면 평소보다 빨리 취할 수 있어 생각보다 더 위험할 수 있습니다. 혹시 이미 술자리가 잡혀 있다면, 그전에 약 복용은 잠시 멈추는 것이 좋습니다.
3) 사랑니 발치 후 흡연
흡연은 치유를 가장 방해하는 습관입니다.
최소한 일주일 정도는 흡연을 쉬어 주시는 것이 좋고, 가능하시다면 이 기회에 금연에 도전하는 것도 권해드립니다.
왜냐하면 담배 연기가 발치 후 회복을 방해할 뿐 아니라, 특히 많은 분들이 두려워하시는 ‘건조와(Dry Socket)’ 발생 가능성을 크게 높이기 때문입니다.
다행히 이런 위험을 줄이기 위해 환자분의 혈액을 이용해 만든 PRF 지혈제를 적용하면 상처 회복을 돕고 합병증 예방에도 매우 효과적입니다.
사랑니는 대부분 언젠가는 건드리게 되는 치아입니다.
의식하 진정요법을 활용하면 무섭고 부담되는 힘든 사랑니 발치를 통증과 부담 적게, 안전하게 발치할 수 있습니다.
강서구에서 사랑니로 고민하고 계시다면, 오늘의 정보가 큰 도움이 되기를 바랍니다^^
끝까지 읽어주셔서 감사합니다.
또봐요 ~
자주 묻는 질문 (Q&A)
Q. 의식하 진정요법과 전신마취는 어떻게 다른가요?
전신마취는 완전히 의식을 잃은 상태에서 진행하지만, 의식하 진정요법은 잠든 듯 편안하면서도 완전히 의식을 잃지 않는 상태입니다. 누군가 크게 부르면 깰 수 있을 정도의 깊이로, 안전성과 편안함을 동시에 잡을 수 있습니다. 치료 과정에 대한 기억이 거의 없어 치과 공포가 심한 분들에게 특히 적합합니다.
Q. 양쪽 사랑니를 한 번에 발치하면 회복이 힘들지 않나요?
의식하 진정요법 상태에서는 한 번에 양쪽 사랑니를 모두 발치하는 경우가 많습니다. 서울쏙쏙치과에서는 수술 전 진통제 투여와 PRF(자가혈 지혈)를 적용하여 발치 후 통증과 부기를 크게 줄여드립니다. 난이도에 따라 3~15분, 매복의 경우 약 20분 정도면 수술이 마무리되어 회복 부담도 줄어듭니다.
Q. 사랑니가 신경관에 가까우면 발치가 위험한가요?
사랑니가 신경관에 가까울수록 하치조신경 손상 위험이 있기 때문에 사전 CBCT(3D CT) 검사가 필수입니다. 정확한 영상을 통해 발치 동선을 사전에 계획할 수 있어 신경 손상 위험을 대폭 줄일 수 있습니다. 서울쏙쏙치과에서는 CT를 통해 신경관 위치를 확인한 후 안전한 경로를 설계하여 발치합니다.
Q. 의식하 진정요법 전 금식은 꼭 해야 하나요?
네, 지켜야 합니다. 물은 2시간 전, 식사는 6시간 전부터 금식해야 합니다. 진정 상태에서 위 내용물이 기도로 넘어가는 것을 예방하기 위한 안전 수칙입니다. 또한 시술 당일에는 운전을 절대 하지 말아야 하며, 중요한 결정이나 약속도 피하시는 것이 좋습니다.
Q. 사랑니 발치 후 건조와(Dry Socket)는 어떻게 예방하나요?
건조와는 발치 후 혈병(피딱지)이 빠지면서 뼈가 노출되어 극심한 통증이 발생하는 합병증입니다. 서울쏙쏙치과에서는 환자분의 혈액에서 추출한 PRF(자가혈 지혈제)를 발치 부위에 적용하여 건조와 발생을 효과적으로 예방합니다. 발치 후에는 최소 1주일 금연과 빨대 사용을 피하는 것이 중요합니다.
양쪽 사랑니 동시 발치 연구에서 양쪽 동시 발치 시 회복 기간이 평균 3.47일로, 한쪽씩 따로 발치했을 때(6.03일)보다 회복이 빠른 것으로 나타났습니다. 전체 치유 경과도 유사하여 동시 발치가 효율적입니다.
— Seier T et al. (2022), J Stomatol Oral Maxillofac Surg, 123(5):e592-e596
좋은 진료를 정직하게 | 선한 영향력으로 더 나은 가치를
강서구 마곡 서울쏙쏙치과 꿈꾸는 쏙쏙 치과의사 박상억이었습니다.
치료 기간: 2025.03.03 ~ 2025.03.11 기준
위 포스팅은 의료법에 의거하여 치료가 필요한 환자분들을 위한 정보제공 목적으로 업로드했습니다.