좋은 진료를 정직하게 | 선한 영향력으로 더 나은 가치를
사랑니 발치 난이도별 분류와 발치 후 주의사항 총정리
강서구 마곡 서울쏙쏙치과 꿈꾸는 쏙쏙 치과의사 박상억입니다^^
안녕하세요^^
사랑니 발치는 많은 분들이 “수면마취로 해야 덜 힘든 거 아니에요?”라고 물어보시는 치료 중 하나인데요, 서울쏙쏙치과는 수면마취(의식하 진정요법) 치과로 편안하고 안전한 발치 경험을 제공하고 있긴 합니다!
하지만 모든 환자분이 수면치료를 선택하는 것은 아닙니다. 수면을 원하시지 않는 경우에는 당연히 비수면으로도 발치가 가능합니다.
오늘은 이러한 비수면 사랑니 발치에 대해, 발치가 꼭 필요한 경우부터 난이도별 특징, 발치 후 주의 사항까지 차근차근 알려드리겠습니다.

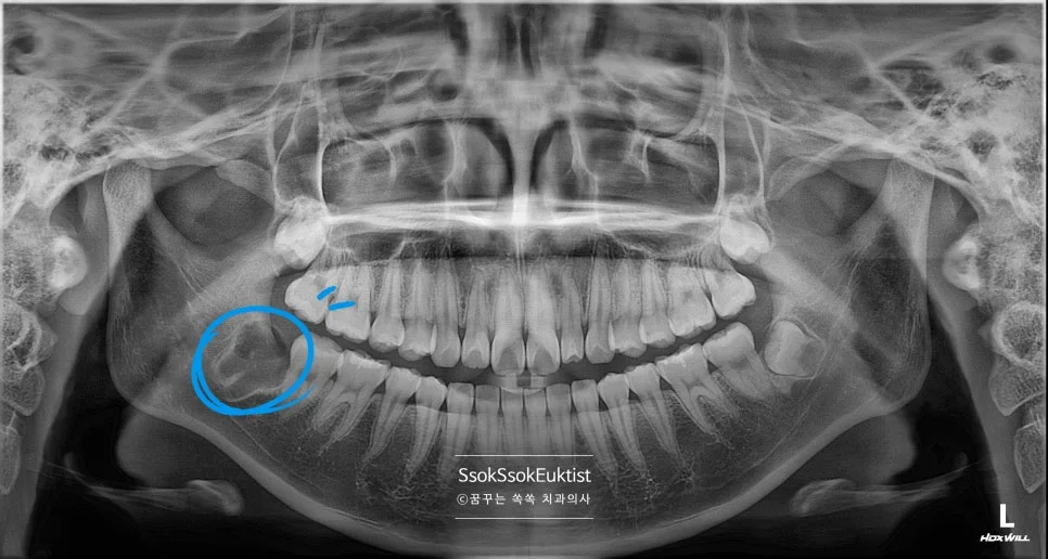
파노라마 엑스레이 — 상악과 하악 사랑니 위치 전체 확인
사랑니 발치, 무조건 해야 할까?
사랑니, 발치해야 할까요?
이건 고민할 것도 없습니다. 발치 대상입니다.
왜냐고요? 앞으로도 계속 아플 가능성이 높기 때문입니다. 사랑니 통증은 한 번 시작되면 점점 잦은 주기로 나타나고, 그때마다 불편함은 점점 더 커지게 마련이거든요.
지금 괜찮다고 그냥 놔둬도 될까요? 아쉽게도 그렇지 않습니다.
잇몸 속에 묻혀 있는 매복 사랑니는 대부분 발치를 추천드립니다. 그 이유가 매우 중요한데요!! 많은 분들이 잘 모르는 것 같아 딱 한 가지 이유! 말씀드리겠습니다.
매복 사랑니를 발치해야 하는 이유는 바로!
사랑니 바로 앞어금니(제2대구치)를 아끼기 위해서
사랑니를 제때 제거하지 않으면, 바로 앞어금니 뒤쪽에 충치가 생기거나 잇몸뼈(치조골)가 소실될 수 있습니다. 특히 이 부위의 충치는 치료가 까다롭고, 경우에 따라 발치를 해야 하는 상황이 올 수 있습니다.
그래서 처음 통증이나 붓기 등의 증상이 생길 때 발치 하는 것이 최선입니다!^^
솔직히 말씀드리면… 정말 드뭅니다.
- 위·아래 사랑니가 서로 맞물려 정상 기능을 하고
- 양치가 잘 되어 잘 관리가 되고
- 붓거나 아프지 않은 사랑니
만 발치하지 않고 간직할 수 있습니다^^
난이도별 비수면 발치 치료 예시
사랑니 발치의 난이도는 매복된 방향과 정도, 신경과 가까운 정도, 뿌리 모양이 어떠한지에 따라 결정되는데요, 난도별 사랑니에 대해 설명드려보겠습니다!^^
1. 쉬운 단계
앞 치아에 걸리지 않아 치아가 나올 길만 만들면 쉽게 나오는 사랑니입니다! 마취 후 살짝 흔들어 빼거나, 잇몸을 조금만 절개해도 발치가 가능하죠.
보통 1~5분이면 끝나고, 부기나 통증도 비교적 적습니다. “어? 벌써 끝났어요?”라는 반응이 나오는 케이스입니다.

충치가 심하게 생긴 왼쪽 위아래 사랑니
충치가 심하게 생겨 사랑니 통증으로 오신 분인데요, 왼쪽 위아래 사랑니입니다.




바로 앞 치아는 멀쩡한데 왜 유독 사랑니만 충치가 있는 걸까요?
사랑니가 서로 닿아 기능하지 않기 때문입니다!
어금니의 씹는 과정(저작)은 어금니 머리를 세척, 청소하는 효과도 있는데요. 어금니가 서로 닿지 않으면 치아의 머리 면에 음식물이 계속 고여있으면서 충치가 생기게 됩니다!
예쁘게 1분 안에 발치하면 됩니다!


왼쪽 아래 사랑니가 앞 치아에 걸리지 않고 잘 올라왔는데 그만 뒤쪽에 턱뼈에 걸려버렸네요. 이런 경우 사랑니가 턱뼈의 잇몸에 의해 덮여있게 되고 만성적인 염증 상태가 되게 마련입니다.


이 또한 뒤쪽에 턱뼈에 걸리지 않게 길만 만들어주면 쉽게 발치할 수 있는 치아입니다.
2. 중간 이상 난이도
맹출 중에 통증을 호소한 사랑니
사랑니를 제거하기 위해서 잇몸의 절개가 필요하고, 매복 방향과 정도에 따라 치조골 혹은 사랑니를 분리하여 빼야 하는 경우인데요. 발치 시간은 5~10분 정도면 발치가 가능합니다.

중간 난이도 완전 매복 사랑니 파노라마 엑스레이


잇몸 하방에 완전히 묻혀 있는 완전 매복 사랑니입니다. 사랑니가 맹출 하면서 잇몸의 통증을 호소하는데요, 뒤의 턱뼈와의 공간이 부족하여 어차피 매복될 치아라 바로 발치를 말씀드립니다.
깊숙이 매복되어 있어 잇몸 절개를 하고, 치아 상방의 치조골을 일부 삭제를 하고, 잘 나올 수 있게끔 사랑니 머리를 분리한 후 발치를 시행합니다.

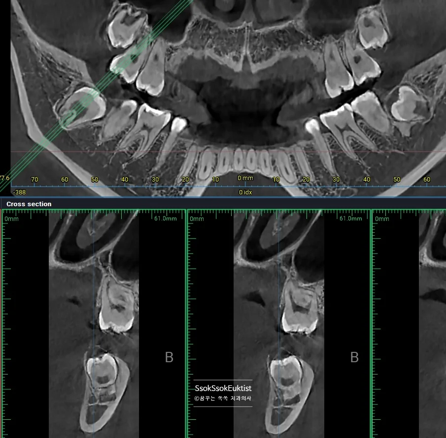
CBCT 3차원 영상 — 사랑니와 신경관의 인접 관계 확인
발치 전 CT를 보면 신경관과 맞닿아 있어 발치 난도가 높은 케이스임을 알 수 있습니다.

신경관 근접 매복 사랑니 엑스레이
잔존 뿌리 없이 발치가 아주 잘 된 모습이고요^^

발치 후 엑스레이 — 잔존 뿌리 없이 깨끗하게 제거
3. 어려운 사랑니
아프진 않지만 매복이 심해 사전에 발치를 시행한 경우
완전 매복, 신경과 가깝거나 뿌리가 복잡한 경우
치아가 완전히 뼈 속에 있고, 하치조 신경과 가까운 경우입니다. 이때는 절개와 뼈 삭제, 치아 분할이 모두 필요하며, 발치 시간은 15~20분 정도 소요됩니다.

어려운 난이도 — 완전히 누워 있는 수평 매복 사랑니
X-ray 사진을 보면 사랑니가 완전히 누워 있어 사랑니를 빼기 위해서는 깊숙한 곳까지 도달하여 치아를 분리해야 할 것 같은데요~^^

CBCT 3차원 영상 — 서로 다른 방향으로 휘어진 복잡한 뿌리
3차원 사진을 통해 보면 뿌리가 서로 다른 방향으로 휘어 있어 뼈를 잡고 있는 모습인데요^^ 이런 뿌리의 사랑니의 경우 한꺼번에 나오지 않으므로 머리를 분리하는 것 외에 뿌리도 분리하여 사랑니를 제거해야 합니다.
그렇기에 매우 어려운 발치 난도이며, 이러한 어려운 발치를 해낸다면 사랑니 발치를 잘하는 치과로 볼 수 있겠죠^^


역시나 안전하게 잔존 뿌리 없이 발치가 아주 잘 된 모습입니다.

발치된 사랑니 실물 — 갈고리 모양으로 서로 다른 방향으로 휘어진 뿌리
실제 발치된 뿌리 사진을 보면, 갈고리 모양으로 서로 다른 방향으로 휘어 뼈를 붙잡고 있었던 것을 확인할 수 있습니다.

발치 후 파노라마 — 잔존 뿌리 없이 완벽하게 제거
이렇게 난이도별 사랑니 발치를 실제 예시를 통해 알아보았습니다.
사랑니 발치 후 주의 사항
사랑니를 뺀 직후에는 국소마취가 완전히 풀린 뒤 식사하는 것이 안전합니다. 마취가 남아 있는 상태에서 음식을 먹으면, 무심코 입술이나 뺨을 씹어 상처를 낼 수 있기 때문이죠.
입을 벌리는 데 불편이 없고 통증이 심하지 않다면 당일부터 일반 식사도 가능하지만, 혹시라도 발치 부위가 욱신거리거나 불편하다면 하루 정도는 부드럽고 삼키기 쉬운 음식 위주로 드시는 게 좋습니다.
음주는 회복 속도를 늦추고 통증을 악화시킬 수 있습니다.
통증이 없다면 소량의 가벼운 음주는 가능하지만, 아직 불편하다면 최소 1주일은 술을 피하는 게 안전합니다.
특히, 처방받은 약과 함께 술을 마시면 평소보다 취기가 빨리 오를 수 있습니다. 술자리가 예정되어 있다면 그 직전에는 약 복용을 잠시 멈추는 것이 좋습니다.
흡연은 발치 부위 회복에 가장 치명적인 방해 요소 중 하나입니다.
가능하다면 최소 1주일은 담배를 멀리하시고, 금연까지 도전해 보시는 것도 좋습니다.
담배 연기는 ‘건조와(Dry Socket)’라는 합병증 발생 위험을 크게 높입니다.
오늘은 사랑니 난이도별 분류와 사랑니를 빼야 하는 이유, 사랑니 발치 후 주의사항을 정리해 봤는데요. 오늘의 정보가 사랑니 발치를 앞두신 분들께 큰 도움이 되기를 바랍니다^^
끝까지 읽어주셔서 감사합니다. 또 봐요~^^
자주 묻는 질문 (Q&A)
Q. 사랑니가 안 아픈데도 꼭 빼야 하나요?
통증이 없더라도 잇몸 속에 매복된 사랑니는 발치를 추천합니다. 가장 큰 이유는 사랑니 바로 앞어금니(제2대구치)를 보호하기 위해서입니다. 사랑니를 제때 제거하지 않으면 앞어금니 뒤쪽에 충치가 생기거나 잇몸뼈가 소실될 수 있고, 그 충치는 치료가 까다로워 발치까지 이어질 수 있습니다.
Q. 비수면 사랑니 발치, 많이 아프지 않나요?
국소마취를 충분히 하기 때문에 발치 중 통증은 거의 없습니다. 쉬운 난이도의 경우 1~5분이면 끝나 “벌써 끝났어요?”라는 반응이 나올 정도입니다. 중간~어려운 난이도도 5~20분이면 완료되며, 수면을 원하시지 않는 분도 충분히 편안하게 발치 받으실 수 있습니다.
Q. 사랑니 발치 난이도는 어떻게 결정되나요?
사랑니 발치 난이도는 크게 세 가지 요소로 결정됩니다. 매복된 방향과 정도, 하치조 신경과의 거리, 뿌리 모양입니다. 뿌리가 갈고리 모양으로 복잡하게 휘어 있거나 신경관과 맞닿아 있으면 난이도가 높아지며, 이 경우 CBCT(3차원 CT) 촬영으로 정확한 진단 후 발치를 진행합니다.
Q. 사랑니 발치 후 건조와(Dry Socket)란 무엇인가요?
건조와(Dry Socket)는 발치 후 혈병(피딱지)이 빠지거나 형성되지 않아 뼈가 노출되면서 심한 통증이 나타나는 합병증입니다. 흡연은 건조와 발생 위험을 크게 높이므로 발치 후 최소 1주일은 금연을 권장합니다. 과도한 양치질이나 빨대 사용도 피하는 것이 좋습니다.
Q. 사랑니 발치 후 붓기는 얼마나 지속되나요?
쉬운 난이도의 경우 붓기가 거의 없거나 1~2일 내 가라앉습니다. 중간~어려운 난이도의 경우 2~3일째 붓기가 최대이며 이후 점차 빠지게 됩니다. 보통 1주일 이내에 대부분 호전되지만, 개인차가 있을 수 있습니다. 냉찜질을 적절히 해주시면 붓기 완화에 도움이 됩니다.
20개 기관에서 1,826건의 하악 사랑니 발치를 분석한 다기관 연구에서 전체 합병증 발생률은 10.0%였습니다. 건성 발치와(3.2%)가 가장 흔했으며, 32세 이상과 깊은 매복이 주요 위험 요인으로 확인되었습니다.
— Yamada SI et al. (2022), Medicine, 101(32):e29989
좋은 진료를 정직하게 | 선한 영향력으로 더 나은 가치를
강서구 마곡 서울쏙쏙치과 꿈꾸는 쏙쏙 치과의사 박상억이었습니다.
치료 기간: 2025.05.03 ~ 2025.06.13
함께 읽으면 좋은 글
위 포스팅은 의료법에 의거하여 치료가 필요한 환자분들을 위한 정보제공 목적으로 업로드했습니다.