원데이 치아 미백 효과, 한 시간 투자로 얼마나 밝아질까? 4가지 증례

좋은 진료를 정직하게 | 선한 영향력으로 더 나은 가치를
원데이 치아 미백 효과, 한 시간 투자로 얼마나 밝아질까?
강서구 마곡 서울쏙쏙치과 꿈꾸는 쏙쏙 치과의사 박상억입니다^^

안녕하세요^^

오늘은 치아 미백을 소개해 드리려 합니다!

맑고 예쁜 치아를 위해 점점 더 많은 분들께서 치아 미백을 문의하시고 계신데요!

단 하루의 투자! 원데이 치아 미백은 무엇이며 어느 정도 효과가 있는지, 그리고 주의할 사항은 무엇인지 오늘 한번 깔끔하게 알아보겠습니다!^^

출 바알!!

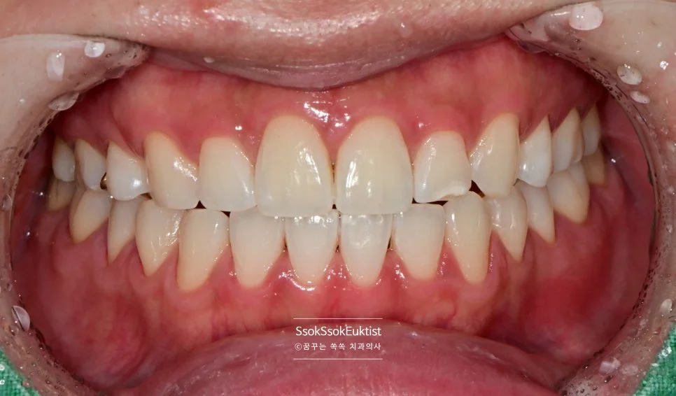
원데이 치아 미백 전후 비교 대표 이미지

원데이 치아 미백 전후 비교 — 한 시간 투자로 달라지는 치아 색상

1. 원데이 치아 미백이란?

치아 미백제를 치아 위에 도포한 후 15분~20분 정도면 치아 미백제의 효과가 떨어지게 되는데요, 그래서 예전에는 치아 미백을 시행할 때 15분~20분간 한 사이클을 시행하였습니다.

그런데 생각보다 효과가 크지 않아서 많은 분들이 치아 미백에 관심을 가지고 찾아오셨다 살짝 실망하는 일이 많았는데요.

원데이 치아 미백 = 15분 × 3사이클

효과를 극대화하기 위해 한 번 내원에 15분씩 3사이클, 준비하고 정리하는 시간까지 도합 1시간가량의 진료시간에 맞춰 치아 미백 프로그램을 개발한 것이 원데이 치아 미백입니다!^^

왜 3사이클인가?

사실 더 많은 시간을 시행하면 미백의 효과를 증가시킬 수는 있으나, 체어 타임이 길어지면 환자분도 힘들어지고 치아가 시릴 확률도 점점 높아져 3사이클을 기준으로 치아 미백을 시행합니다!

2. 원데이 치아 미백 효과

치아 미백의 효과는 치아 미백제의 농도 × 치아 미백 시간으로 계산해 볼 수 있는데요, 치아 미백제의 과산화수소 농도가 높은 제품을 사용하고(15%~35%까지 다양) 치아 미백의 시간을 늘리면 치아 미백의 효과를 극대화할 수 있습니다!^^

단, 치아가 시리지 않는다는 전제하에 — 치아가 시리면 중단한 후 다음 내원 약속을 잡아야 합니다.

치아 미백 예시를 한번 살펴보겠습니다!^^


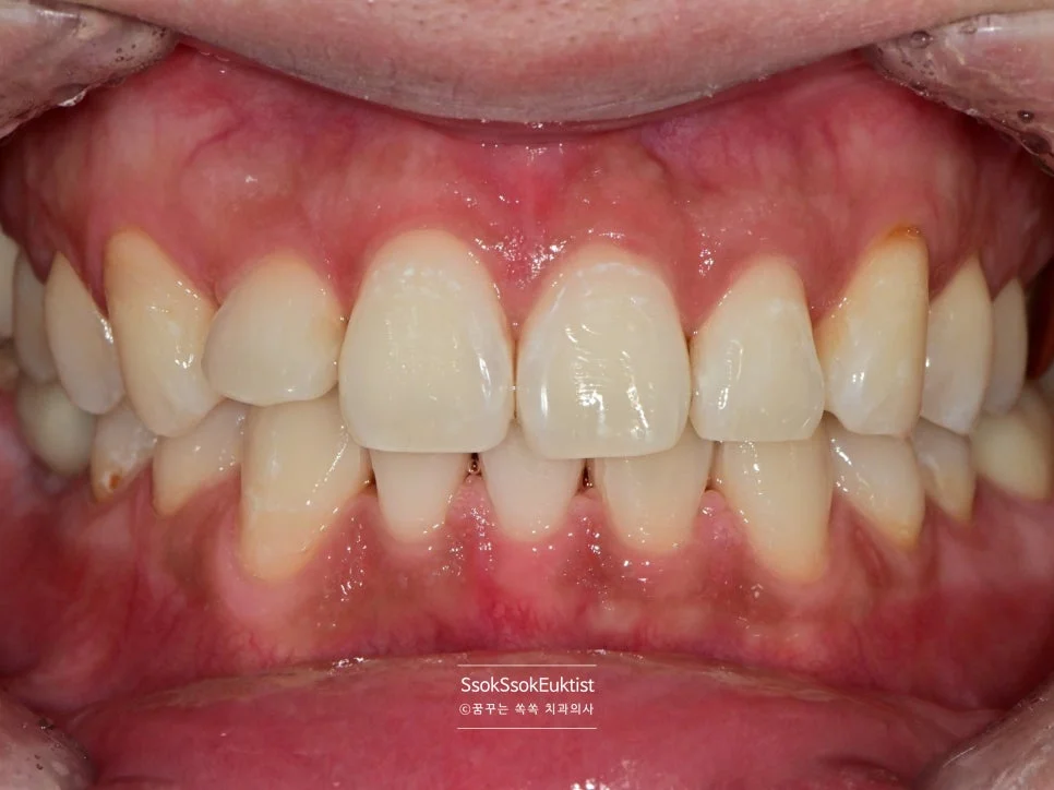
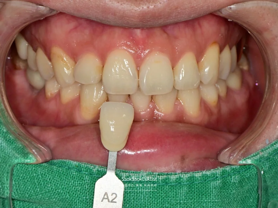
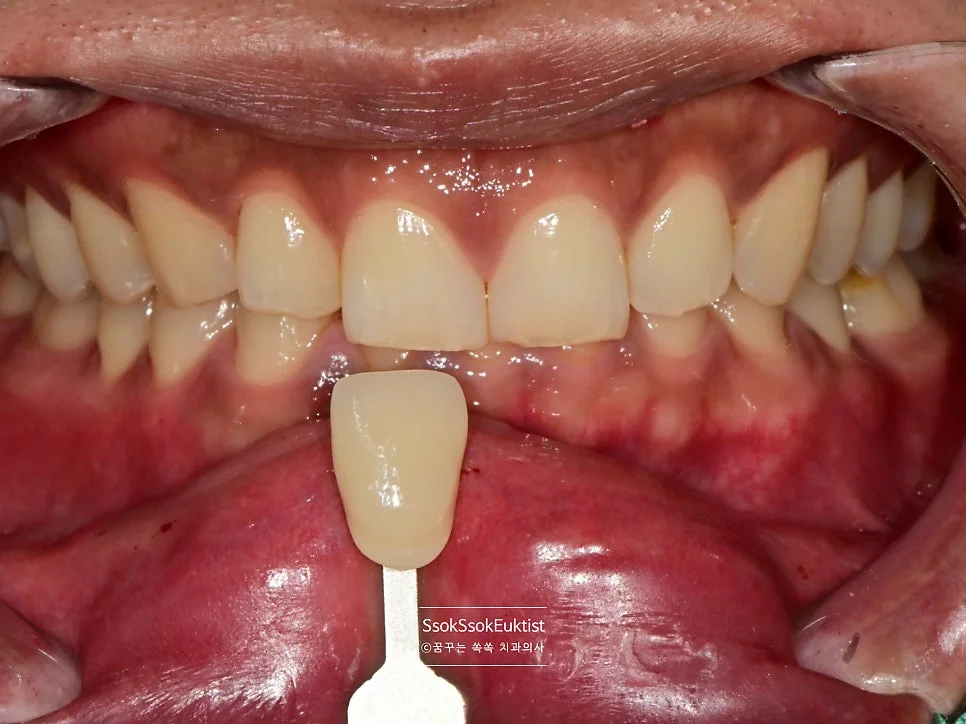
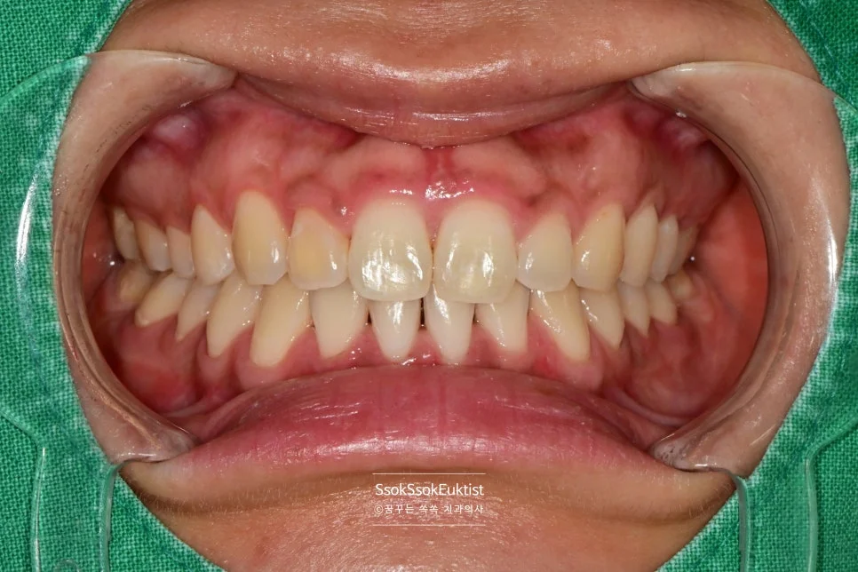
Case 1

원데이 미백 증례1 시술 전 상악 전치부 A2 쉐이드
Before — 전치부 치아 색상
원데이 미백 증례1 시술 전 쉐이드 가이드 A2 비교
Before — 쉐이드 가이드 A2 비교

Shade-Guide 기준 A2와 유사하거나 살짝 어두운 색상의 치아가 원데이 치아 미백 15min × 3 cycle 후 —

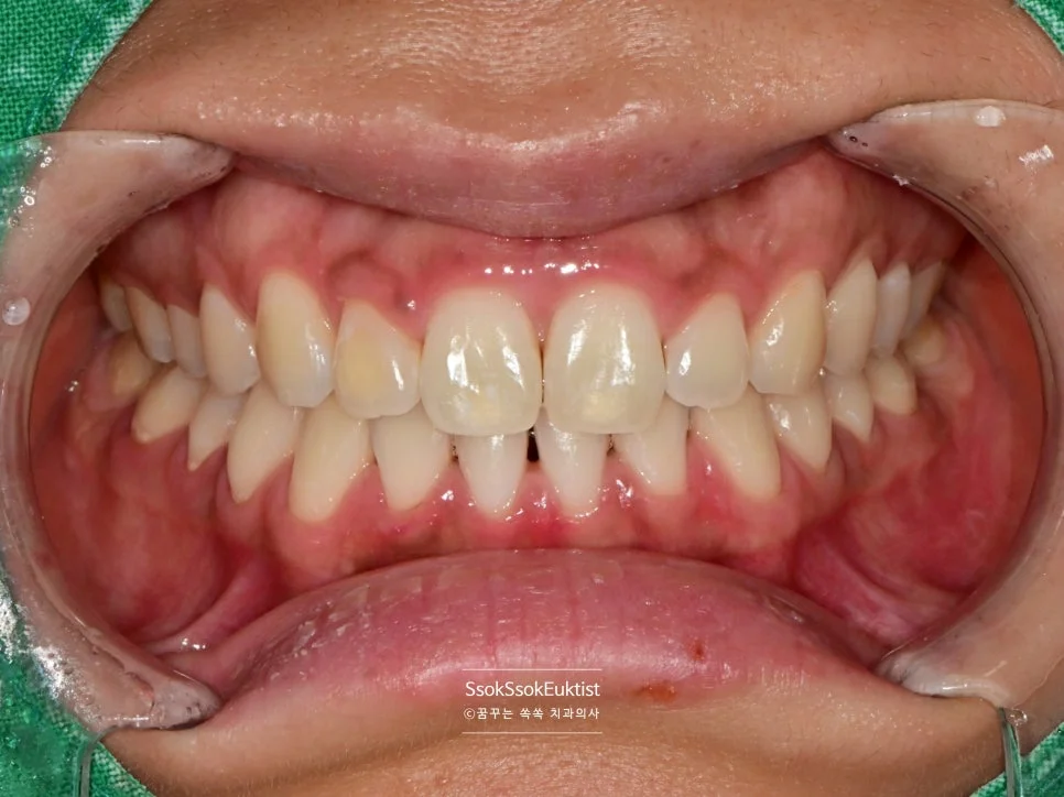
원데이 미백 증례1 시술 후 A1보다 밝아진 치아
After — 밝아진 치아
원데이 미백 증례1 시술 후 쉐이드 가이드 A1 비교
After — 쉐이드 가이드 A1 비교
결과: Shade-guide 기준 A1보다 더 밝은 치아가 되었네요! 3사이클 기준 1~1.5 Grade 밝아지는 것이 보통의 치아 미백의 효과로 볼 수 있습니다^^

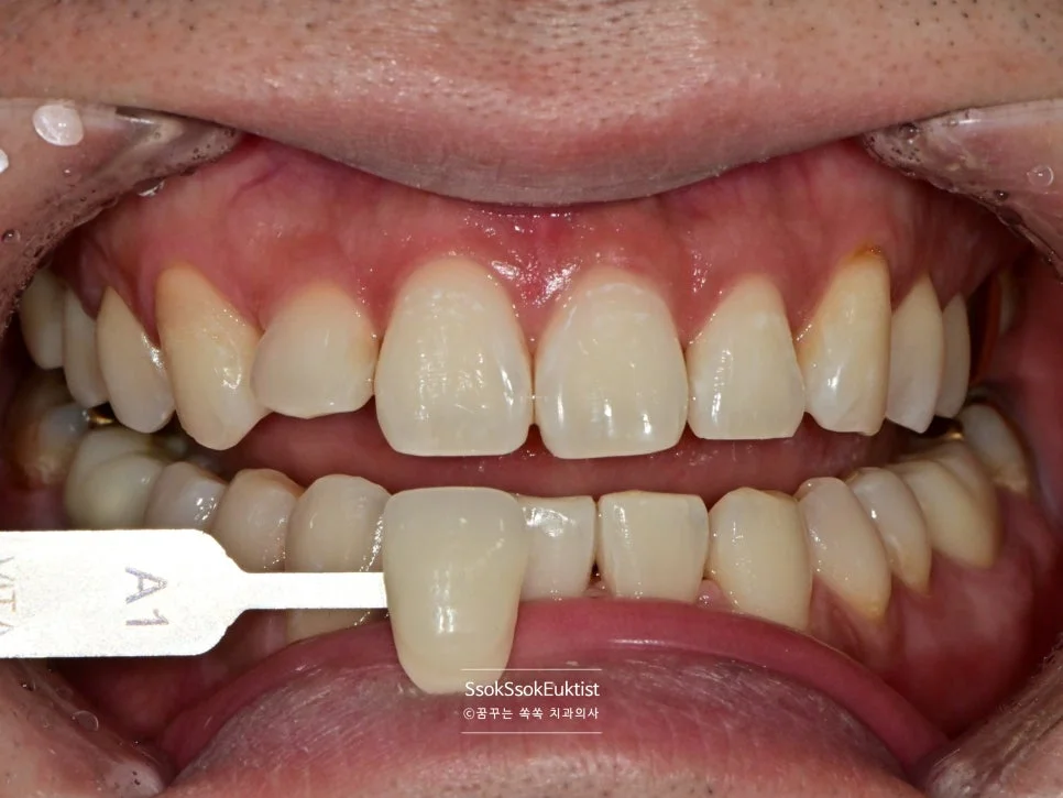
Case 2

원데이 미백 증례2 시술 전 상악 전치부 A2 쉐이드
Before — 전치부 치아 색상
원데이 미백 증례2 시술 전 쉐이드 가이드 A2 비교
Before — 쉐이드 가이드 A2 비교

Shade-guide 기준 A2와 유사하거나 살짝 어두운 치아가 원데이 치아 미백 15min × 4 cycle(3+1회) 진행 후 —

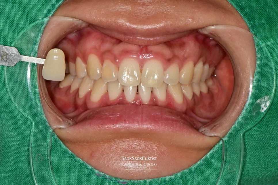
원데이 미백 증례2 시술 후 B1보다 밝아진 치아
After — 밝아진 상악 치아
원데이 미백 증례2 시술 후 상악 전치부 상세
After — 상악 전치부 상세
원데이 미백 증례2 시술 후 쉐이드 가이드 M1 근처 비교

After — 쉐이드 가이드 비교, B1보다 밝고 M1 근처

결과: Shade-guide 기준 가장 밝은 색상인 B1보다 밝고, 미백 shade-guide 기준 M1보다 살짝 어두운 아주 밝은 치아가 되었네요^^ 상당히 치아 미백의 효과가 좋은 편이고, 이런 치아를 가지게 되면 웃을 때 정말 이만 반짝반짝 빛나게 됩니다^^

Case 3

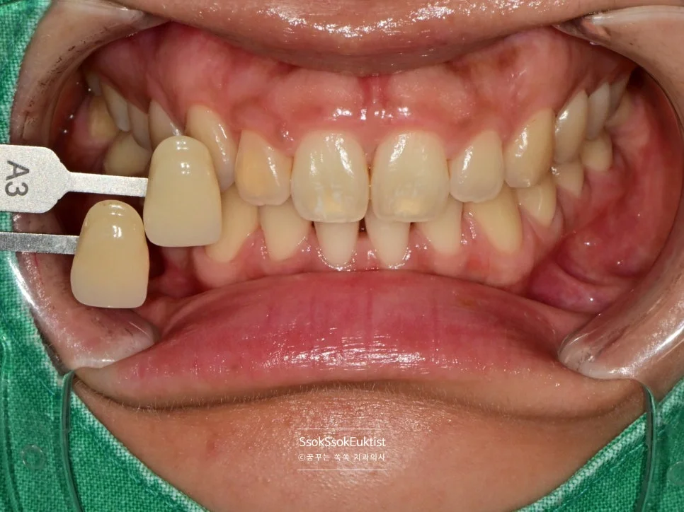
원데이 미백 증례3 시술 전 상악 전치부 A3 쉐이드
Before — 전치부 치아 색상
원데이 미백 증례3 시술 전 쉐이드 가이드 A3 비교
Before — 쉐이드 가이드 A3 비교

Shade-guide 기준 A3와 유사하거나 살짝 밝은 치아가 원데이 치아 미백 15min × 4 cycle(3+1회) 진행 후 —

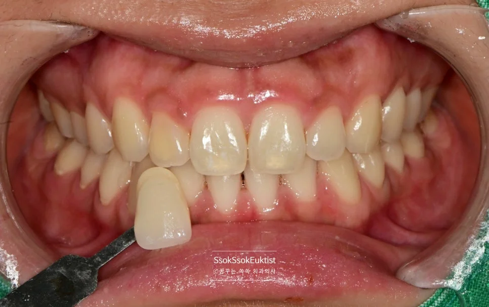
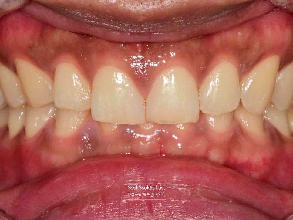
원데이 미백 증례3 시술 후 A1보다 밝아진 치아
After — 밝아진 치아
원데이 미백 증례3 시술 후 쉐이드 가이드 A1 비교
After — 쉐이드 가이드 A1 비교
결과: Shade-guide 기준 A1보다도 밝은 치아가 되었습니다! 이 정도면 상당히 효과를 본 편으로 밝은 미소를 얻어 가시게 되었습니다!^^

Case 4 — 투명도가 높은 치아

원데이 미백 증례4 시술 전 상악 전치부 A3 높은 투명도
Before — 전치부 치아 색상
원데이 미백 증례4 시술 전 쉐이드 가이드 A3 비교
Before — 쉐이드 가이드 A3 비교

Shade-guide 기준 A3와 유사하거나 살짝 밝은 느낌의 치아인데요, 치아의 색상도 많이 짙은 느낌이지만 무엇보다 치아가 상당히 투명해 보입니다. 이렇게 투명도가 높은 치아는 치아 미백에 반응을 잘 안 하는 경향이 있습니다.

원데이 치아 미백 15min × 3 cycle 진행 후 —

원데이 미백 증례4 1차 시술 후 앞니만 A2 근처
1차 시술 후 — 앞니 위주로 밝아짐
원데이 미백 증례4 1차 시술 후 쉐이드 가이드 A2 비교
1차 시술 후 — 쉐이드 가이드 A2 비교

Shade-guide 기준 A2와 유사하거나 살짝 밝은 느낌이지만 그것도 앞니만 그렇지, 다른 치아들은 아직 짙은 느낌의 색상인데요.

다소 아쉬워하는 환자분을 저버릴 수 없어 서비스 추가 미백 약속을 잡아드립니다!

2주 후 경과 관찰

원데이 미백 증례4 2주 후 경과 관찰 색상 유지
2주 후 — 미백 효과 유지 확인
원데이 미백 증례4 2주 후 경과 관찰 상세
2주 후 — 상세 확인

약 2주 후 내원한 모습입니다. 치아 미백한 효과가 잘 유지되고 있는 모습입니다!

보통은 치아 미백 후 1~2일이 지나면 살짝 색이 돌아오게 마련입니다. 치아의 투명도가 높아서 그런지 미백에 효과도 크게 느껴지지 않았지만, 치아 미백 후 조금 돌아오는 효과도 적은 모습입니다.

서비스 추가 미백 (15min × 2 cycle) 후

원데이 미백 증례4 추가 미백 후 최종 결과 A1 근처

추가 미백 후 최종 결과 — 쉐이드 A1 근처까지 밝아진 모습

결과: Shade-guide 기준 A1과 유사하거나 살짝 어두운 느낌까지는 왔습니다! 무려 5사이클(3+2)을 진행하여서야 어느 정도의 효과를 볼 수 있었는데요 — 결과에 다소 아쉬운 마음이 있다면 치아 미백 패키지를 이용하여 원데이 치아 미백 자체를 3번 시행한다면 정말 밝아지고 맑아진 치아색을 가질 수 있습니다!^^

3. 치아 미백 부작용

치아 미백은 영구적인 부작용이 하나도 없는 매우 안전한 시술입니다.

일시적인 부작용이 있는데 그것이 바로 치아의 시림 증상입니다.

시림 증상이 생기는 이유

미백의 유효성분인 과산화수소가 치아 내부의 신경(치수)에 도달하여 직접 자극하여 생기는 증상인데요, 이 또한 절대적으로 일시적인 증상이며 1~2일 정도 지나면 모두 회복됩니다^^

4. 치아 미백 후 주의 사항

1. 음식 및 음료
  • 착색이 강한 음식/음료 피하기 — 커피, 홍차/녹차, 레드와인, 콜라, 초콜릿, 카레, 간장 등은 최소 48시간~1주일 동안 삼가는 것이 좋습니다.
  • 산성 음료 주의 — 탄산음료, 과일주스 등은 치아 표면을 약간 부식시켜 착색이 잘 되게 할 수 있으므로 가급적 피하세요.
2. 구강 위생 관리

부드러운 칫솔과 미백 전용 치약 사용 — 강한 마모성 치약은 시린 증상을 악화시킬 수 있습니다.

3. 시린 증상 관리

미백 후 1~2일 정도는 온도 변화에 민감할 수 있습니다. 심한 시림이 있으면 민감성 치약을 사용해 볼 수 있고, 필요시 불소 도포나 지각과민 치료를 추천드립니다.

4. 생활 습관
  • 흡연 절대 금지 — 니코틴과 타르가 치아 변색을 빠르게 유발합니다.
  • 충분한 수분 섭취로 구강 건조를 예방하면 재착색을 줄일 수 있습니다.
5. 유지 관리

전문가 미백 후 3~6개월 주기로 유지 관리 차원에서 치아 미백을 꾸준히 해주시면 효과가 오래갑니다.


오늘은 마곡 치아 미백에 대해 알아보았습니다. 원데이 치아미백이 무엇이고 어느 정도 효과가 있으며 치아 미백 후 주의 사항은 어떠한지 설명드려 보았는데요.

오늘의 포스팅이 치아 미백을 고민하고 계신 분들께 도움이 되는 정보이길 바랍니다~^^

또 만나요~


자주 묻는 질문 (Q&A)

Q. 원데이 치아 미백은 한 번에 끝나나요?

네, 기본적으로 1회 방문(약 1시간, 15분 × 3사이클)으로 끝납니다. 다만 투명도가 높거나 착색이 심한 치아는 추가 사이클이 필요할 수 있으며, 더 밝은 결과를 원하시면 미백 패키지(3회)를 추천드립니다.

Q. 치아 미백 시 많이 시린가요?

시림 증상은 개인차가 있습니다. 미백 중 시림이 발생하면 즉시 중단하고 다음 약속을 잡습니다. 시림은 일시적이며 1~2일 내 자연 회복됩니다. 과산화수소가 치아 내부 신경에 도달하여 생기는 증상으로 영구적인 부작용은 전혀 없습니다.

Q. 치아 미백 효과는 얼마나 지속되나요?

생활 습관에 따라 다르지만, 보통 6개월~1년 정도 유지됩니다. 커피, 차, 와인 등 착색 음식을 자주 드시면 효과가 빨리 줄어들 수 있고, 3~6개월 주기로 유지 관리 미백을 해주시면 밝은 치아를 오래 유지할 수 있습니다.

Q. 투명도가 높은 치아도 미백이 가능한가요?

가능하지만 반응이 느린 편입니다. Case 4처럼 투명도가 높은 치아는 3사이클로는 효과가 제한적일 수 있어 추가 사이클이나 패키지 시술이 필요할 수 있습니다. 다만 꾸준히 시행하면 충분히 밝은 결과를 얻을 수 있습니다.

Q. 셀프 미백과 전문가 미백의 차이는 무엇인가요?

전문가 미백(원데이 미백)은 고농도 과산화수소(15~35%)를 사용하여 짧은 시간에 확실한 효과를 볼 수 있고, 잇몸 보호 처리 등 안전 관리가 함께 이루어집니다. 셀프 미백은 저농도 제품으로 점진적 효과를 기대하는 방식입니다.

관련 연구 근거

54명을 대상으로 한 이중맹검 임상시험에서 18%, 25%, 40% 과산화수소 모두 동등한 미백 효과를 보였습니다(p=0.371~0.845). 낮은 농도로도 충분한 미백이 가능하며, 시린 증상도 유사한 수준이었습니다.

— Altinisik H & Nezir M (2025), Clin Oral Investig, 29(5):260


좋은 진료를 정직하게 | 선한 영향력으로 더 나은 가치를
강서구 마곡 서울쏙쏙치과 꿈꾸는 쏙쏙 치과의사 박상억이었습니다.
치료 기간: 2025.07.18 ~ 2025.07.26

위 포스팅은 의료법에 의거하여 치료가 필요한 환자분들을 위한 정보제공 목적으로 업로드했습니다.

댓글 남기기