좋은 진료를 정직하게 | 선한 영향력으로 더 나은 가치를
치경부 마모증 치료, GI와 레진의 차이는?
강서구 마곡 서울쏙쏙치과 꿈꾸는 쏙쏙 치과의사 박상억입니다^^

안녕하세요^^
오늘은 치아 목 패임 즉 치경부 마모증에 대한 말씀을 나눠볼까 합니다!
찬 음식이나 찬물에 시린 느낌, 양치할 때, 신 과일을 먹을 때 시린 느낌이 든다면 치경부 마모증을 의심해 볼 수 있는데요.

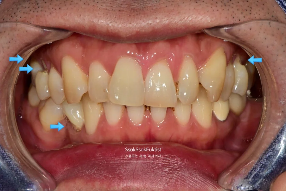
치경부 마모증 — 잇몸 경계 부위에서 치아가 패인 모습
이 시림의 대표적인 원인이 이 치경부마모증인 만큼 오늘 한번 제대로 알아보겠습니다!^^
출발해 보시죠!
치경부 마모증이 생기는 원인은?
치경부 마모증은 치아의 치경부(잇몸과 맞닿는 경계 부위)에서 법랑질과 상아질이 점차 손상되어 V자 혹은 U자 모양으로 파이는 현상을 말하는데요.
과도한 힘으로 수평 칫솔질을 하는 경우 치아의 마모가 가속화될 수 있습니다.
칫솔모가 너무 단단하거나 마모성이 강한 치약을 사용한다면 반복적인 마찰이 치경부를 깎아내는 형태로 진행합니다.
이 경우 U자 형태로 넓게 파이는 양상을 보이며 아주 천천히 진행됩니다.
사실 칫솔질은 치경부 마모증을 악화시키는 요인이기는 하지만 유발한다고 하기에는 근거가 조금 약합니다. 그래서 칫솔질을 과도하게 하여 치아 뿌리가 패였다고 생각은 하지 않으셔도 됩니다!^^
(많은 치과에서 여전히 잇솔질을 세게 해서 치아가 패였다고 환자분들을 탓하기도 하거든요;)
치경부 마모증의 주된 원인입니다.
치아에 가해지는 수평력은 치아의 머리를 비트는 힘으로 작동하게 되는데 이때 치아의 목 부분이 깨져 나가는 것입니다. 쉽게 말해 치아를 쓰면서 생기는 힘이 치아를 패이게 한다는 것인데요.
저작력이 강하신 분들 혹은 이갈이(Bruxism)·이 악물기(Clenching) 등의 악습관이 있으신 분들의 경우 치아의 목부분이 쉽게 파입니다.
치아가 잘 맞물리고 씹는 힘이 강하신 분들에게서 많이 나타나게 되는데요. 치아를 잘 사용해오면서 생긴 흔적이라고 설명드리기도 합니다^^
교정 치료를 하신 분의 경우 치아를 인위적으로 배열하면서 특정 한두 개의 치아에만 측방력이 크게 작동하여 한두 개만 파이는 경우가 많습니다^^
탄산음료, 과일주스, 식초 등 산성 음식의 섭취는 치아를 일시적으로(12시간가량) 약하게 만들 수 있습니다.
치아의 성분은 암석과 같아서 산성비에 암석이 녹아내릴 수 있듯 치아도 신 음식에 화학적 손상을 입는데요.
이렇게 화학적으로 손상된 치아는 교합력, 칫솔질 등의 자극에 더 쉽게 마모됩니다.
치경부 마모증은 어떻게 치료할까?
치경부 마모증은 충치는 아니지만 충치와 비슷한 관점으로 바라보는데요. 다음과 같은 공통된 특징이 있습니다.
- 시간이 지나면서 점점 커진다
- 시간이 지나면 신경까지 도달하여 신경을 손상시킨다
- 가만히 둔다고 저절로 나아지지 않는다
이러니 치료가 필요하겠죠?
그러면 어떻게 치료하면 될까요?
- 크기가 크면 → 때우는 것(충전 치료)을 추천
- 크기가 작으면 → 시려 하는 치아는 지각과민처치를 시행하고, 시려 하지 않는 치아는 그냥 둡니다
여기서 지각과민처치(Desensitization)란 치아 뿌리의 표면을 일종의 매니큐어처럼 코팅하여 시린 감각을 못 느끼게 하는 것인데요. 양치를 강하게 하면 떨어질 정도로 단단한 재료는 아니지만 그래도 즉각 그리고 상당한 시간 동안 치아 시림을 막아줄 수 있습니다^^
한편, 치아가 패인 부분의 크기가 크면 때워주는 것을 추천드리는데 이때 때울 수 있는 재료가 두 가지가 있습니다. 그것은 바로
- GI (Glass Ionomer, 글라스 아이오노머) — 보험 적용 재료
- 레진 (Resin) — 비보험 재료
레진은 GI에 대비해서
- 색상이 자연스럽고
- 치아와의 접착력이 훨씬 강한 장점이 있습니다
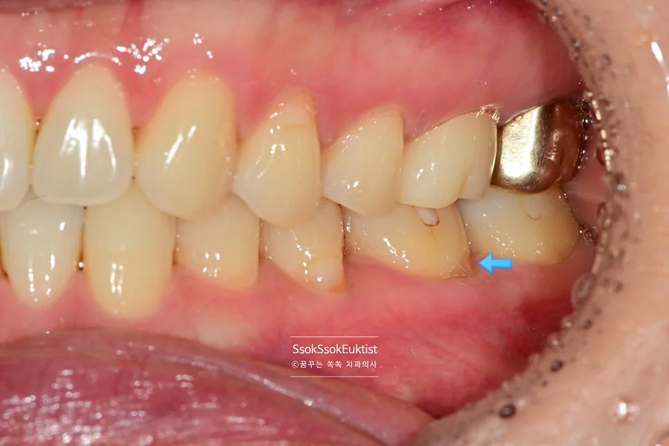
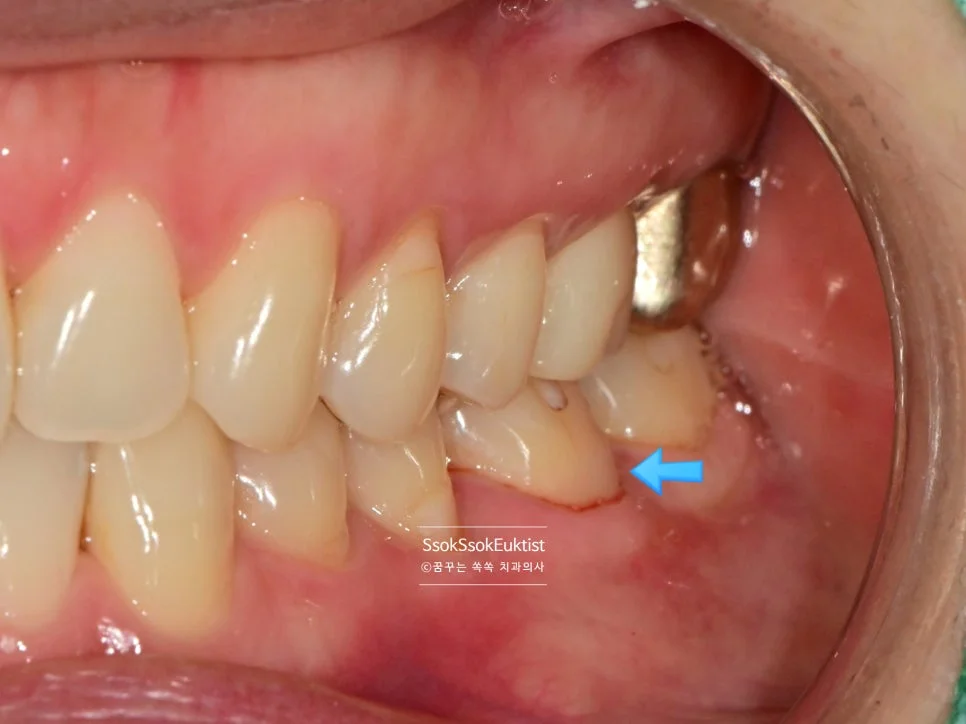
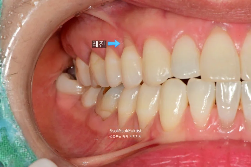
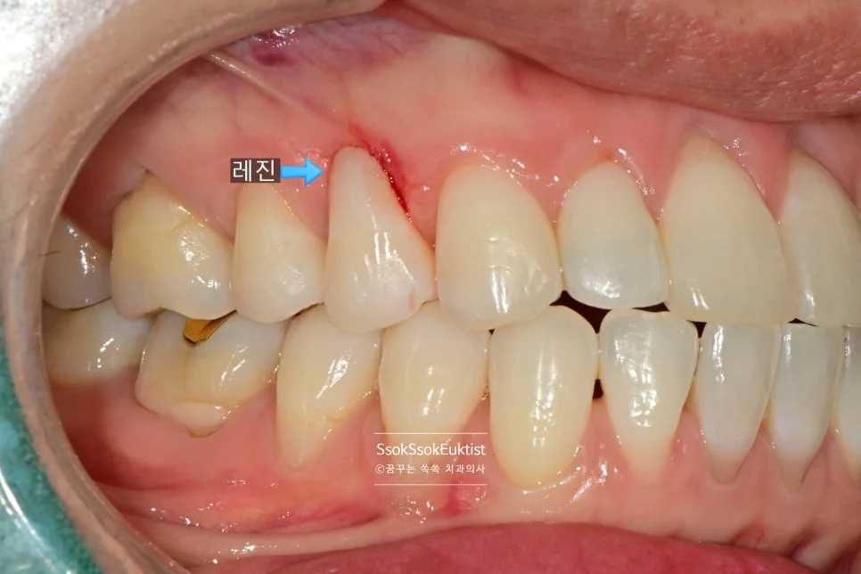
레진을 이용한 치경부 마모증 치료

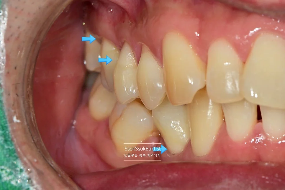
레진 치료 전 — V자 형태의 치경부 마모증


치아의 목 부분이 패여져 있는 모습입니다. 형태를 보면 U자라기보다는 V자에 가깝고, 즉 강한 교합력에 의해 치아 목 부분이 패였네요.
레진은 플라스틱 재료로 치아와 색상을 아주 잘 맞출 수 있습니다. (그렇다고 아무나 잘 맞추는 것은 아닙니다^^)
- 잇몸에 피 안 나게 실 넣기
- 치아 표면 거칠게 하기
- 치아 표면 화학적으로 부식시키기
- 치아 표면에 단단히 접착시키기
- 색상 맞추기, 모양 맞추기
- 턱지지 않게 경계 부분 잘 가다듬는데 피나지 않게 하기
를 잘 하면 쉽게 잘 치료됩니다!^^


치료 직후에 촬영한 사진인데요^^ 자연스러운 색상 그리고 모양인가, 잇몸을 과도하게 손상시키지 않았는가를 포인트로 보시면 됩니다!
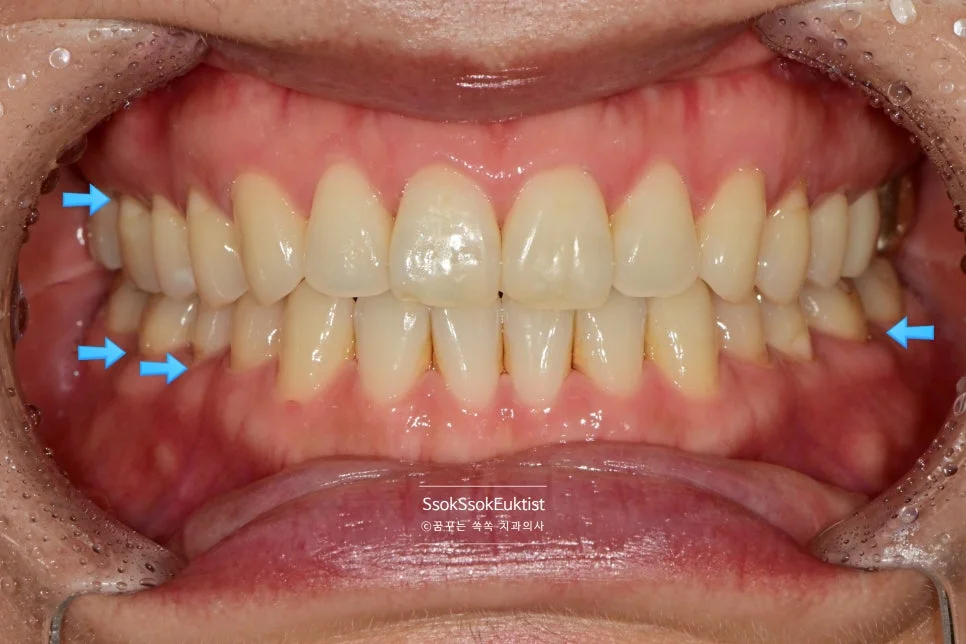
GI(글라스아이오노머)를 이용한 치경부 마모증 치료

GI 치료 전 — 대부분 V자, 일부 U자 형태


형태를 보면 대부분 V자인데 하나 정도만 U자 형태를 보이고 있습니다. 이런 경우 강한 칫솔질이 치경부 마모증을 악화시켰다고 볼 수 있습니다!
이 사례에서는 GI(Glass Ionomer, 글라스 아이오노머)로 충전을 시행하였는데요.

스케일링 + 착색 제거 — 충전 전 깨끗한 상태로 준비
먼저 우리 치과의 자랑인 착색 제거! 스케일링과 동시에 지저분한 착색물질 깨끗하게 날려주는 것부터 시작합니다^^

GI를 이용한 치경부 마모증 충전 중
그러고는 GI를 이용해 치경부 마모증을 충전해 주는데요.


어떤가요? GI를 이용한 충전도 꾀나 괜찮나요?
우리 치과에서는 가장 비싸고 심미적인 GI를 사용하고 있습니다^^
한편 그런데 말입니다… 사실 GI의 경우 색상이 거진 정해져 있어 치아가 GI의 색과 유사한 색이면 이렇게 예쁘게 치료가 가능하고, 치아가 보다 밝거나 어두우면 색상이 좀 안 맞아질 수 있습니다^^
보험 적용이 되어 개당 1만 원 조금 넘는 금액으로 치료가 가능하기에 부담 없이 치료하실 수 있습니다.
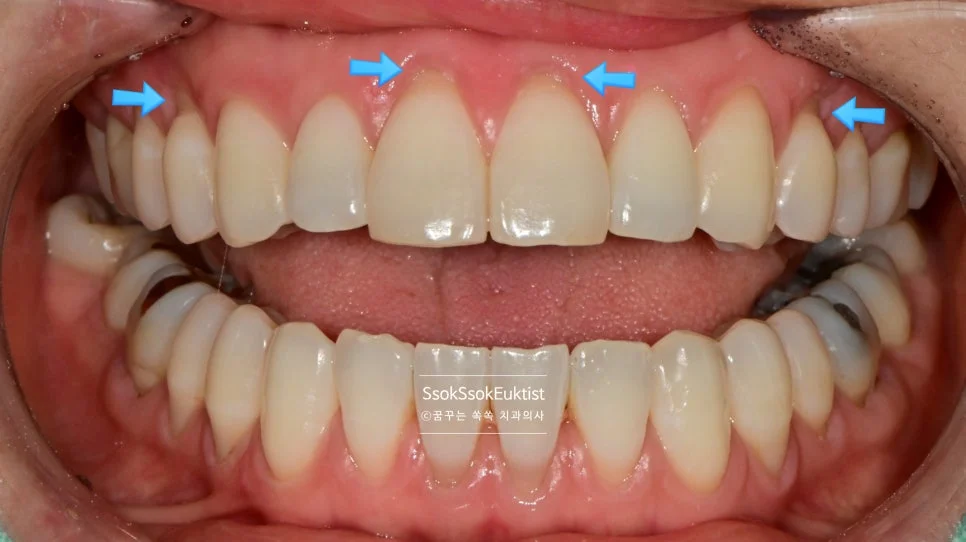
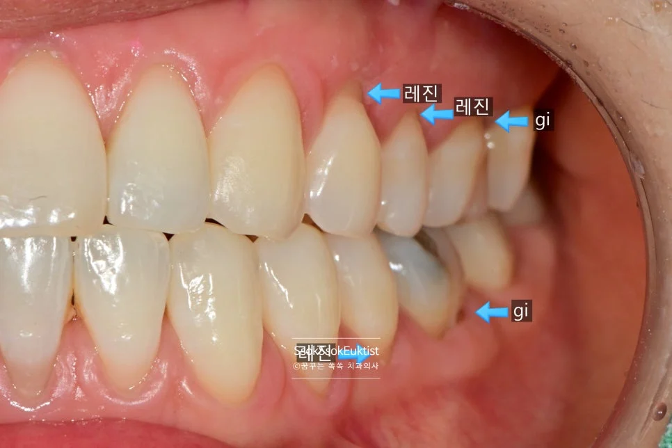
레진과 GI를 둘 다 사용하는 방법은?
GI에 비해 레진이 우수한 점이 1. 색상, 2. 접착력으로 볼 수 있는데요. 그러하다면
으로 치료해도 좋지 않을까요?
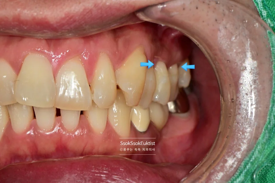
6번째 큰 어금니부터는 GI, 5번째 치아까지는 레진으로 진단하고 치료하기도 합니다!

화살표로 표기된 치료 계획 — 앞쪽은 레진, 어금니는 GI


화살표로 표기된 것과 같이 눈에 보이는 앞 쪽 치아는 레진으로, 큰 어금니는 GI로 계획을 세웠는데요.
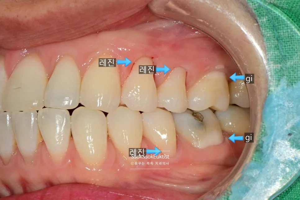
결과는 과연 어떻게 되었을까요?


어떠신가요? 여러분들은 레진 vs GI 어떤 재료로 치경부 마모증을 치료하고 싶으신가요?^^
오늘은 치경부 마모증이 생기는 원인부터 치경부 마모증의 치료에 대해 알아보았는데요. 레진으로 혹은 GI로 무엇이든 잘만 치료되면 오래 치아를 아껴 쓸 수 있습니다!
오늘의 포스팅이 이 시림 증상을 느끼는 많은 분들께 도움이 되는 정보였으면 좋겠습니다!
또 만나요~^^
자주 묻는 질문 (Q&A)
Q. 치경부 마모증은 반드시 치료해야 하나요?
패인 부분의 크기가 크다면 충전 치료를 추천드립니다. 충치처럼 시간이 지나면서 점점 커지고, 신경까지 도달하면 신경치료가 필요해질 수 있기 때문입니다. 크기가 작고 시림이 없다면 경과 관찰하셔도 됩니다. 다만 시림이 있다면 지각과민처치라도 받으시는 것을 추천드립니다.
Q. GI와 레진 중 어떤 재료가 더 좋은가요?
각각 장단점이 있습니다. 레진은 색상이 자연스럽고 접착력이 강한 장점이 있어 눈에 보이는 앞니 쪽에 적합합니다. GI(글라스아이오노머)는 보험 적용이 되어 부담이 적고, 잘 보이지 않는 어금니 쪽에 활용하기 좋습니다. 보이는 부분은 레진, 안 보이는 부분은 GI로 나누어 치료하는 혼합 방법도 많이 사용합니다.
Q. 치경부 마모증의 주된 원인은 칫솔질인가요?
많은 분들이 칫솔질 때문이라고 생각하시지만, 치경부 마모증의 주된 원인은 교합력(씹는 힘)입니다. 칫솔질은 마모를 악화시키는 요인이지 유발 원인이라고 하기에는 근거가 약합니다. V자 형태의 패임은 교합력에 의한 것이고, U자 형태의 넓은 패임은 칫솔질이 악화 요인이 된 것으로 볼 수 있습니다.
Q. 치경부 마모증 치료 후에도 다시 패일 수 있나요?
원인이 해결되지 않으면 재발 가능성이 있습니다. 이갈이(Bruxism)나 이 악물기(Clenching) 습관이 있다면 마우스가드(나이트가드) 사용을 권장하며, 과도한 수평 칫솔질 습관을 교정하고 부드러운 칫솔모를 사용하시는 것이 좋습니다. 산성 음식 섭취 후에는 바로 양치하지 않고 30분 정도 기다리는 것도 도움이 됩니다.
Q. 치경부 마모증 충전 치료 비용은 얼마인가요?
GI(글라스아이오노머)는 보험 적용이 되어 개당 1만 원 조금 넘는 금액으로 부담 없이 치료 가능합니다. 레진은 비보험 재료로 치과마다 비용이 다를 수 있으니 방문 전 확인해 보시는 것을 추천드립니다.
7년간 70개 수복물을 추적한 임상 연구에서 치경부 마모증 치료 시 글래스 아이오노머의 유지율(88.5%)이 레진(52.0%)보다 유의미하게 높았습니다(p<0.05). 마모 부위의 특성에 따른 재료 선택이 중요합니다.
— Fagundes TC et al. (2014), Oper Dent, 39(6):578-587
좋은 진료를 정직하게 | 선한 영향력으로 더 나은 가치를
강서구 마곡 서울쏙쏙치과 꿈꾸는 쏙쏙 치과의사 박상억이었습니다.
위 포스팅은 의료법에 의거하여 치료가 필요한 환자분들을 위한 정보제공 목적으로 업로드했습니다.