사랑니 통증 없어도 발치해야 할까? 미리 빼야 하는 진짜 이유

좋은 진료를 정직하게 | 선한 영향력으로 더 나은 가치를

사랑니 통증 없어도 발치해야 할까? 미리 빼야 하는 진짜 이유

강서구 마곡 서울쏙쏙치과 비수면 사랑니 발치 증례

안녕하세요^^

좋은 진료를 정직하게, 선한 영향력으로 더 나은 가치를 전하는 강서구 치과 서울쏙쏙치과 꿈꾸는 쏙쏙 치과의사 박상억입니다.

매복 사랑니 파노라마 진단 사진

매복 사랑니, 아플 때까지 두실 건가요?

이번 포스팅에서는 스케일링 때문에 가볍게 내원하셨다가 사랑니 4개와 이별하게 된 실제 예시를 통해 비수면 사랑니 발치에 대해 설명드리고자 합니다.

시작하기 전에 잠깐! 사랑니 발치에 큰 공포를 느끼고 계시다면 수면 사랑니 발치 포스팅을 먼저 보시길 권유 드립니다^^

사랑니 안 아프면 안 빼도 될까 핵심 메시지

“안 아프면 꼭 빼야 하나요?” — 처음엔 많이 망설이셨는데요

사랑니, 왜 안 아파도 발치해야 할까?

1. 사랑니가 아프다면?

말할 것도 없이 발치 대상입니다.

2. 한편 통증이 없더라도 매복 사랑니는 언젠가는 바로 앞어금니에 충치를 만들고, 잇몸뼈까지 잃게 합니다.

이렇게 사랑니 때문에 생긴 바로 앞 제2대구치의 충치는 치료가 매우 어렵고, 그로 인해 어금니를 뽑아야 하는 상황이 올 수 있습니다.

핵심 포인트

그래서 사랑니는 “아프니까 발치”가 아니라 앞어금니를 지키기 위해 “미리 발치”가 정답입니다.

그렇다면 안 빼도 되는 사랑니가 있을까요?

안 빼도 되는 3가지 조건
  1. 위아래 치아가 바르게 올라오고
  2. 서로 닿아 씹는 역할/기능을 수행하면서
  3. 충치나 잇몸 질환이 전혀 없다면

발치하지 않으셔도 되는데요~^^ 전체 인류의 약 10% 정도는 사랑니 발치가 필요하지 않다고 합니다!

사랑니 발치 진단은 어떻게 이루어질까?

스케일링 및 간단한 검진을 주소로 내원하신 환자분입니다.

치료 전 구강 정면 치석 상태

구강 정면 사진 — 치석이 다소 관찰되고 주변 잇몸이 부어있는 상태

치석이 다소 관찰되고 주변 잇몸이 부어있는 것을 보아 스케일링이 필요한 상황으로 보입니다!

그런데 파노라마 사진을 촬영한 후 간단한 검진을 시행하니 사랑니가 4개 모두 존재합니다.

파노라마 방사선 사랑니 4개 위치

파노라마 방사선 사진 — 파란 화살표로 4개의 사랑니 위치를 표시

상악 구강 사진 사랑니 맹출 상태
위 사랑니 — 올바르게 맹출된 상태
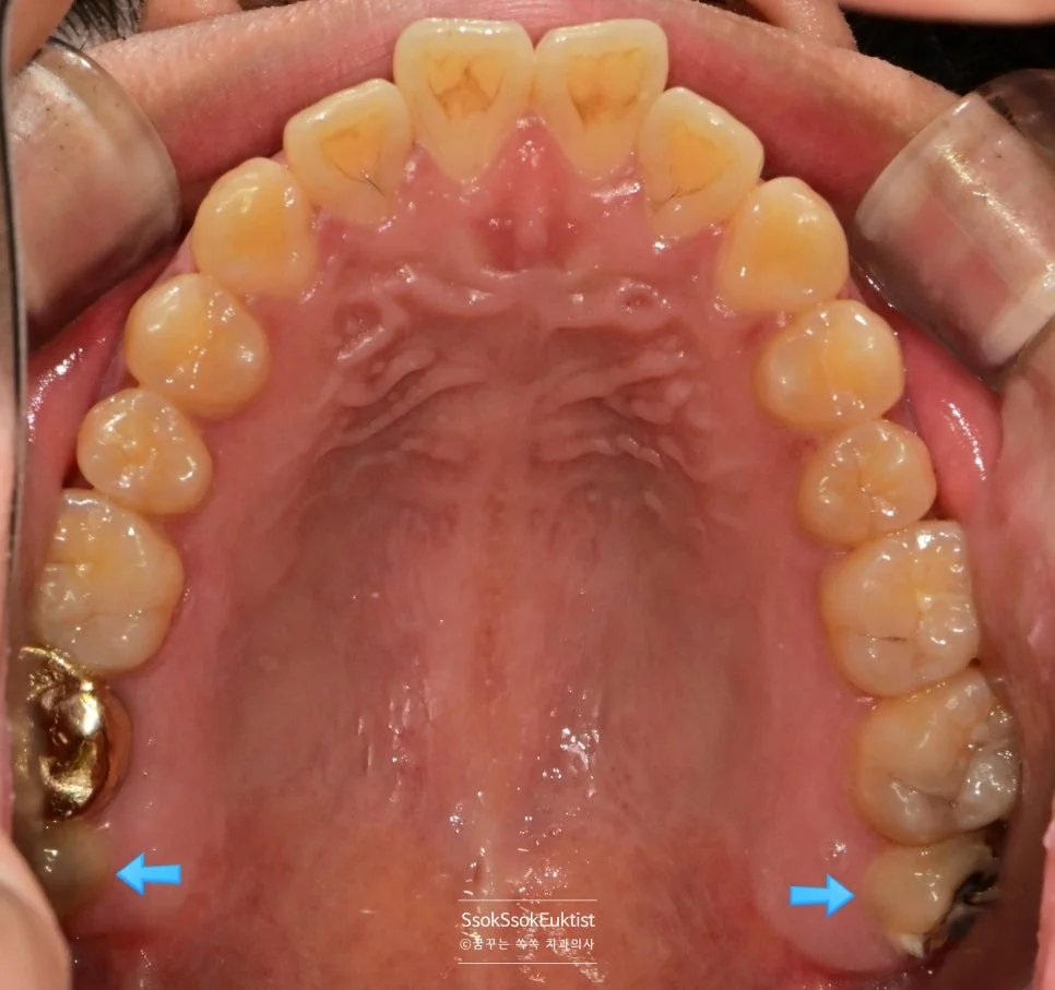
하악 구강 사진 매복 사랑니
아래 사랑니 — 앞 치아에 걸려 매복된 상태

위 두 개의 사랑니는 올바르게 났고, 아래 두 개는 앞 치아에 걸려 매복되어 있는데요.

올바르게 난 위 사랑니의 모습을 자세히 촬영해 보면,

위 사랑니 충치 협측 근접 사진
위 사랑니 협측 — 충치가 선명하게 관찰
위 사랑니 충치 교합면 근접 사진
위 사랑니 교합면 — 치아머리에 충치 확인

치아머리에 충치가 선명하게 보입니다!

올바르게 맹출한 사랑니도 발치가 필요한 이유

치아는 올바르게 맹출했다 하여도 대합되는 상대 치아가 없는 경우 이렇게 쉽게 충치가 생깁니다!

서로 닿아 기능하는 것 자체로 치아머리 면의 세척 효과가 있는데, 혼자 덩그러니 있으면 그럴 수 없기 때문에 가장 먼저 충치가 생기게 됩니다.

예쁘게 나온 사랑니도 상대 위치의 사랑니가 없으면 발치를 추천드리는 이유입니다!^^

마곡 치과는 하루 만에 4개의 사랑니를 발치하는 게 일상인 마곡 치과이긴 하지만, 환자분께서 원하시는 바에 따라 왼편부터 발치를 하기로 합니다.

항상 환자분의 의견을 존중하며 진료를 해드리고 있습니다^^

왼쪽 사랑니 비수면 발치, 어떻게 진행될까?

왼쪽 위 사랑니는 올바르게 맹출되어 있는 아주 쉬운 사랑니에 속하고, 아래 사랑니는 매복되어 있어 중급 정도의 난이도의 사랑니로 볼 수 있습니다.

비수면으로 사랑니 발치를 진행해 보면,

왼쪽 위 사랑니 발치 후 방사선
왼쪽 위 사랑니 발치 후 X-ray
왼쪽 아래 매복 사랑니 발치 후 방사선
왼쪽 아래 매복 사랑니 발치 후 X-ray

예쁘게 사랑니가 발치된 것을 볼 수 있습니다^^

수면 마취 전문 치과인 마곡 치과의 루틴대로,

비수면 발치에서도 적용하는 2가지 핵심 프로토콜
  1. 채혈을 통한 자가 지혈제(PRF) 제작 및 사용 — 환자분의 혈액으로 만든 지혈제를 발치 부위에 넣어 내 몸과 100% 궁합이 맞으니 붓기와 통증이 훨씬 줄어듭니다
  2. 정맥으로 수술 전 진통제 투여 — 수술 직후에 발생하는 통증/붓기의 원인인 과도한 면역반응/염증반응을 순간적으로 줄여주어 치유 과정을 수월하게 넘어가게 됩니다

이 두 가지를 시행한 후 10분 정도 안에 사랑니를 제거했기에, 가벼운 마음으로 드레싱 약속을 잡고 일주일 후 실을 푸는 약속을 잡습니다.

일주일 후 오른쪽 발치, 왜 바로 결정했을까?

일주일 뒤, 왼편 실 푸는 약속에 오신 환자분께서 무려 오른쪽 사랑니까지 발치를 진행하겠다고 하시네요!

왜 바로 반대쪽 발치를 결정했을까?

제가 개업 전에 일할 때 경험으로 보면, 한쪽 사랑니 발치만 시행한 경우에 반대편 사랑니 발치는 상당 기간 미루는 경우가 많았는데요

아무래도 잇몸에 절개선이 들어가고 통증, 붓기를 경험하고 나면 반대쪽 사랑니의 발치를 주저하게 되는 거죠ㅠ

그런데 위에 말씀드린 대로 1. 채혈을 통한 지혈제, 2. 수술 전에 정맥으로 진통제 투여 — 이 두 가지를 시행한 후부터는 한 번에 4개 발치 혹은 일주일 간격으로 양쪽 발치를 모두 시행하는 경우가 압도적으로 많아졌습니다!

아마도 이렇게 된 이유는 많이 붓고 아프지 않아서, 즉 할 만해서 기왕 마음먹은 김에 양쪽 모두 발치를 하는 게 낫겠다는 판단을 하지 않나 생각해 봅니다.

오른쪽 발치도 예쁘게 시행합니다!

오른쪽 위 사랑니 발치 후 방사선
오른쪽 위 사랑니 발치 후 X-ray
오른쪽 아래 매복 사랑니 발치 후 방사선
오른쪽 아래 매복 사랑니 발치 후 X-ray

사랑니가 예쁘게 발치된 모습입니다^^

드레싱 진료 기록 괜찮았어요

드레싱 기록 — “괜찮았어요”

위아래 사랑니를 모두 발치한 후 다음 날 내원하여 “괜찮았어요”라는 말씀을 하시는 건, 생각보다 쉬운 일은 아닙니다^^

이로써 사랑니와 영원한 이별을 하였습니다!^^

사랑니 4개 발치 완료 최종 파노라마

최종 파노라마 — 사랑니 4개 모두 발치 완료

사랑니 발치가 무서운 이유와 해결 방법은?

환자분들께 진료 후 “사랑니 발치가 필요합니다”라고 말씀드리면, 거의 빠지지 않고 나오는 반응이 있습니다.

바로 두 가지, “뽑을 때 아플까 봐” 그리고 “뽑고 나서 아플까 봐”입니다.^^;;

1. 뽑는 순간이 두려워요

사랑니 발치 과정은 크게 마취 → 사랑니 발치로 분류해 볼 수 있는데요^^

뽑는 순간의 두려움, 이렇게 해결합니다
  1. 마취 — 얇은 바늘을 사용하여 최대한 천천히 주입하여 통증을 줄입니다!
  2. 사랑니 발치 — 주변 조직을 최소 손상시키면서 가급적 빠르게 발치하는 것이 좋습니다.
  3. 턱관절 케어 — 오래 입을 벌려 턱이 불편할 것을 대비해 간단한 턱관절 물리치료까지 하면 완벽!

2. 뽑고 나서 아플까 봐 걱정돼요

“발치 후 붓기와 통증, 정말 무섭다던데요” — 이건 사실 어느 정도는 맞습니다.

사랑니를 빼면서 잇몸과 뼈 주변에 미세한 손상이 생기니 몸이 반응을 하게 되죠.

그런데 요즘은 방법이 다릅니다.

저희 마곡 사랑니 치과는 수면 진료가 메인 치과라서 정맥에 쉽게 접근할 수 있기 때문에, 미리 진통제와 항염제를 정맥으로 주입할 수 있습니다.

PRF 지혈제 정맥 진통제 설명

정맥 진통제 + PRF 지혈제 — 붓기와 통증을 획기적으로 줄이는 핵심

PRF 지혈제 + 정맥 진통제의 효과
  • 정맥 진통제: 수술 직후에 발생하는 통증/붓기의 원인인 과도한 면역반응/염증반응을 순간적으로 줄여주어 치유 과정을 수월하게 넘기게 됩니다
  • PRF 지혈제: 환자분의 혈액으로 만든 자가 지혈제를 발치 부위에 넣어드리면, 내 몸과 100% 궁합이 맞으니 붓기와 통증이 훨씬 줄어듭니다

이렇게 치료하면 “볼이 풍선처럼 부었어요” 같은 사례는 없다고 보셔도 됩니다!

사랑니 발치 후 식사, 음주, 흡연 주의사항 (Q&A)

Q. 발치 후 언제 밥 먹을 수 있나요?

국소마취가 풀린 뒤가 안전합니다. 마취가 남아 있으면 무심코 입술이나 뺨을 씹어 상처를 낼 수 있기 때문이에요.

발치 당일은 유동식을 추천합니다만, 너무 불편한 게 없으면 일반식도 가능합니다^^

Q. 술은 언제부터 마셔도 되나요?

통증이 없다면 가벼운 음주는 가능하지만, 통증이 있다면 최소 1주일은 참으셔야 합니다. 술은 치유를 지연시키고 통증과 붓기를 심하게 만들 수 있습니다.

Q. 발치 후 흡연은 괜찮나요?

발치 직후 흡연은 ‘건조와(Dry Socket)’라는 합병증 위험을 크게 높입니다. 발치 부위의 혈병(피떡)이 빨아들이는 압력으로 탈락하면서 뼈가 노출되어 극심한 통증이 발생할 수 있습니다. 최소 1주일 이상은 참아주세요.

Q. 통증이 없는 매복 사랑니도 반드시 빼야 하나요?

매복 사랑니는 당장 아프지 않아도 바로 앞 어금니(제2대구치)에 충치를 만들거나 잇몸뼈를 소실시키는 원인이 됩니다. 앞어금니를 잃게 되면 임플란트까지 필요할 수 있으므로, 증상이 없더라도 예방적 발치를 권유 드립니다. 단, 위아래 사랑니가 모두 바르게 맹출하여 서로 교합하고 충치나 잇몸 질환이 없다면 발치하지 않아도 됩니다.

Q. 비수면 사랑니 발치도 PRF와 정맥 진통제를 사용하나요?

네, 저희 서울쏙쏙치과는 비수면 발치에서도 동일한 프로토콜을 적용합니다. 채혈을 통해 자가 지혈제(PRF)를 제작하고, 수면 전문 치과의 장점을 살려 정맥으로 진통제와 항염제를 미리 투여합니다. 이를 통해 비수면이라도 붓기와 통증이 크게 줄어들어 회복이 빠릅니다.

Q. 사랑니 4개를 한 번에 빼는 것과 나눠서 빼는 것, 어떤 게 좋을까요?

환자분의 건강 상태와 사랑니 난이도에 따라 다릅니다. 수면 마취를 선택하시면 하루에 4개를 한 번에 발치하는 것이 가능하고, 비수면의 경우 이 증례처럼 일주일 간격으로 양쪽을 나눠 발치하는 방법이 가장 효율적입니다. PRF와 정맥 진통제를 사용하면 한쪽 발치 경험이 좋아서 바로 반대쪽도 결정하시는 분들이 압도적으로 많습니다.

관련 연구 근거

코크란 체계적 문헌 고찰에서 무증상 사랑니를 방치할 경우 30~60%가 4~12년 내 결국 발치가 필요한 것으로 나타났습니다. 인접 어금니의 치주질환 위험 증가와도 관련되어, 적절한 시기의 발치 결정이 중요합니다.

— Ghaeminia H et al. (2020), Cochrane Database Syst Rev, 5(5):CD003879


처음엔 스케일링만 하고 가려던 환자분도, 결국 용기 내서 사랑니 네 개를 모두 발치했는데요.

사랑니 발치는 무섭고 큰일 같아 보이지만, 사실 정확한 진단과 올바른 술식만 있다면 비수면으로도 충분히 안전하고 편안하게 치료가 얼마든지 가능합니다.

사랑니 발치, 해볼 만하겠죠^^

사랑니 발치가 필요하신 분들께 오늘의 정보가 큰 도움이 되기를 바랍니다^^ 끝까지 읽어주셔서 감사합니다.

좋은 진료를 정직하게 | 선한 영향력으로 더 나은 가치를
강서구 마곡 서울쏙쏙치과 꿈꾸는 쏙쏙 치과의사 박상억이었습니다.

본 포스팅은 의료법에 의거하여 치료가 필요한 환자분들을 위한 정보제공 목적으로 작성되었습니다. 개인에 따라 치료 결과가 다를 수 있으니 반드시 전문의 상담을 받으시기 바랍니다.

댓글 남기기