수면 스케일링, 정말 편안하게 가능할까? 착색 제거 치과 고르는 법

좋은 진료를 정직하게 | 선한 영향력으로 더 나은 가치를

수면 스케일링, 정말 편안하게 가능할까?

착색 제거까지 — 강서구 치과 서울쏙쏙치과

안녕하세요^^

좋은 진료를 정직하게, 선한 영향력으로 더 나은 가치를 전하는 강서구 치과 서울쏙쏙치과 꿈꾸는 쏙쏙 치과의사 박상억입니다.

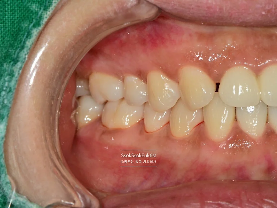
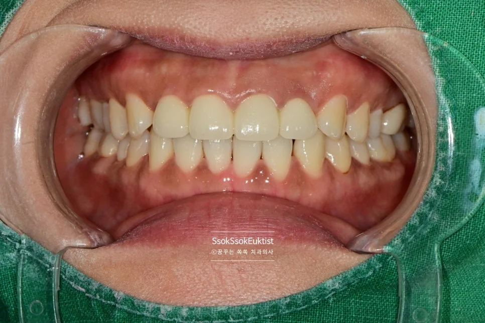
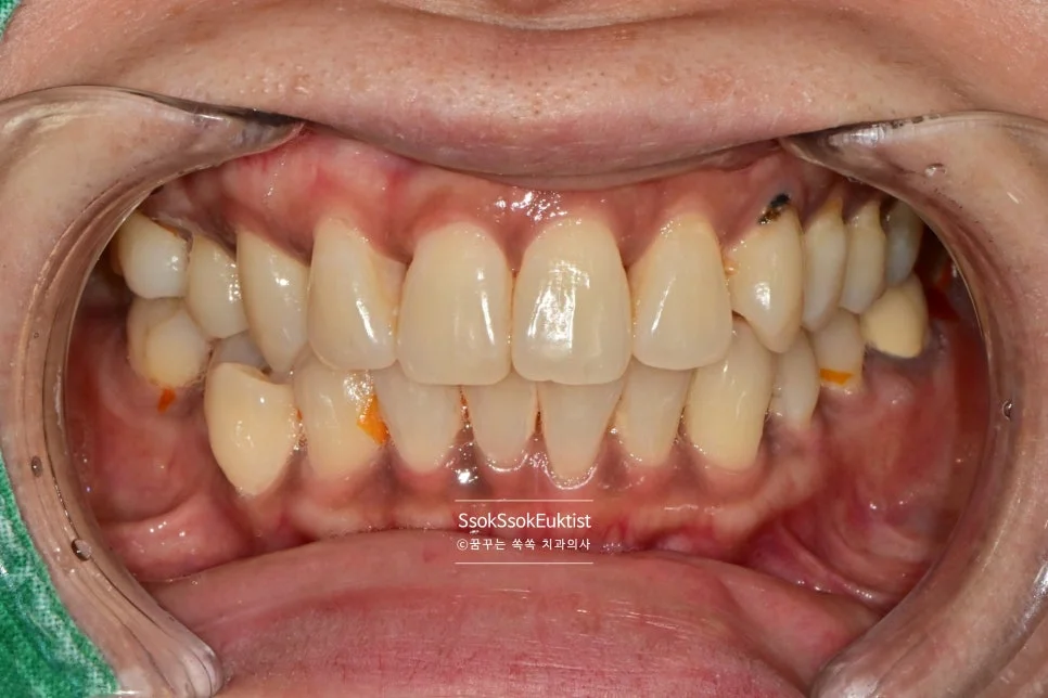
수면 스케일링 전후 비교 구강 사진

수면 스케일링 전후 비교

오늘은 수면 마취를 동반한 스케일링에 대해 소개해 드릴까 합니다!

수면 마취는 사실 초기에는 임플란트 치료 위주로 시행되었습니다. 수술에 대한 두려움을 극복하고자, 수술의 안 좋은 기억으로부터 해방되고자 하는 마음이 수면 마취를 찾게 되었던 건데요.

최근 수면 마취가 보편화되면서 수면 마취에 대한 인식도 달라지고 있습니다. 두렵고 걱정이 되는 사람이 선택하는 특별한 치료라기보다는 굳이 선택하지 않을 이유가 없는 편리한 치료로 인식이 변해가고 있는 것 같습니다.

마치 내시경 검진을 위해서 대부분의 사람들이 수면 마취를 선택하는 것처럼요.

그러면 어떤 진료까지 수면 마취로 가능한 걸까? 궁금증이 생기는데요.

“보철물의 접착 과정”을 제외하면 모든 치과 치료가 수면 마취로 가능합니다^^

당연히 치과에서 가장 쉽고 흔하게 할 수 있는 스케일링 치료도 수면마취로 가능한데요. 오늘 그 증례를 살펴보도록 하겠습니다^^

스케일링도 수면 마취로 가능할까?

스케일링 진단 파노라마 방사선 사진

파노라마 X-ray — 스케일링 전 진단

수면 마취를 찾으며 내원하시는 많은 분들이 계신데요.

보통은 스케일링도 수면 마취를 하겠다고 말씀하셔도, 진단을 해보면 잇몸 하방 치석, 충치, 발치할 사랑니, 임플란트 등 치료할 것들이 있어 수면마취를 통해 스케일링만 딱 진행하는 경우는 흔치 않은 것이 사실입니다.

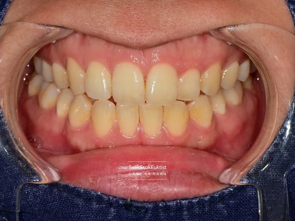
스케일링 전 구강 정면 임상 사진

구강 정면 — 관리가 조금 필요해 보이지만…

이 증례에서도 사진을 보면 구강 내 관리가 조금 필요해 보입니다만,

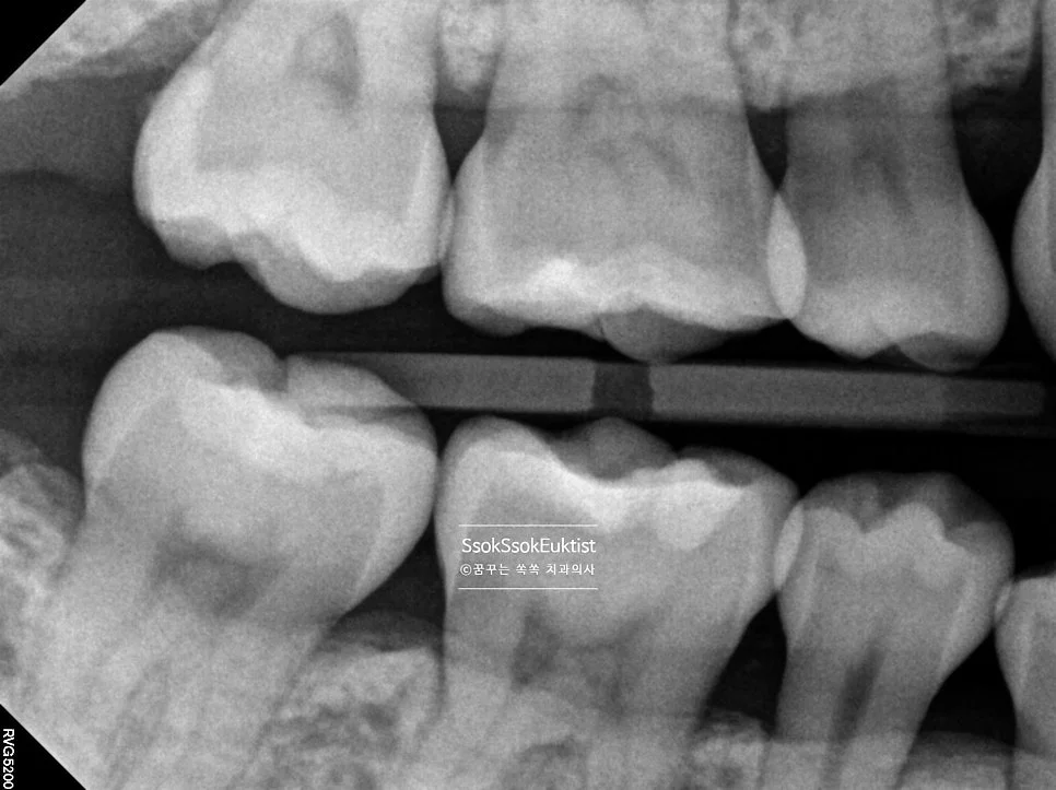
상악 교익 방사선 사진 충치 없음
상악 교익 방사선 — 충치 없음
하악 교익 방사선 사진 충치 없음
하악 교익 방사선 — 충치 없음

치아 사이 충치를 가장 잘 볼 수 있는 교익 방사선(Bitewing X-ray) 사진으로도 치료가 필요한 치아는 찾을 수 없었는데요.

왼쪽 위 앞니의 치경부 우식이 하나 있어 이것을 제외하고는 정말 스케일링만 진행하면 되는 상황입니다.

단호하게 수면 마취를 통해서만 모든 진료를 하고 싶으시다는 요청

네~^^ 바로 도와드리겠습니다~!!

수면 마취가 잘 안 되는 경우가 있다?

치과 치료에 대한 두려움 때문에 수면 마취를 선택하였는데 수면 마취가 잘되지 않는다면 상당히 서운하겠죠?ㅜ

그런데 말입니다.

수면 마취는 마치 주량과 비슷하게 사람마다 적절한 수면을 위한 농도가 천차만별입니다. 이것이 편안한 수면 마취를 받기 위해서는 전문적이고 많은 경험이 있는 치과를 찾아야 하는 이유입니다.

수면 마취가 잘 안되는 경우를 알려드리겠습니다.

수면 마취가 어려운 3가지 경우
  1. 전신 마취의 경험이 있는 경우
    전신마취는 수면 마취에 비해 10배 이상의 용량을 투여하기 때문에 엄청난 고용량에 한 번 노출된 신체는 일정 부분 내성이 생겨버려 수면 마취가 잘 안될 수 있습니다.
  2. 수면제 복용 환자
    수면제 성분과 수면 약물은 유사한 분자로 수면제를 많이 복용하시는 분들은 수면 약물에 잘 반응하지 않을 수 있습니다.
  3. 주량이 아주 강한 경우
    술 또한 의식을 진정시키는 진정제인데 술에 강한 내성을 보이는 사람은 수면 마취도 잘 안될 수 있습니다.

이렇게 수면 마취가 잘 안되는 경우 고농도의 마취제가 투여되어야 하기에 그만큼 마취의 위험도도 높아집니다

따라서 이런 분들의 경우 적절한 효과와 안정성을 위하여 수면 마취에 숙련되고 경험이 많은 치과를 찾는 것이 중요하다 할 수 있겠습니다!

수면 마취를 통한 스케일링, 어떻게 진행될까?

수면 마취를 통한 스케일링 과정을 알려드리겠습니다.

수면 스케일링 진행 과정
  1. 금식 및 기저질환 체크
    물은 2시간, 식사는 6시간 정도 금식이 권장됩니다. 혈압, 당뇨, 공황장애, 구역 반사, 간 질환, 신장 질환, 알레르기 등 기저질환의 유무 및 정도는 수면 마취 시 꼭 알아야 하는 정보입니다.
  2. 대표원장이 직접 정맥로 확보 및 약물 주입
    중요한 포인트입니다. 대표원장이 직접 정맥 라인을 잡는다는 것은 수면 마취에 숙련되고 많은 경험이 있는 분이라는 것을 뜻하거든요^^
  3. 스케일링 진행
    편안히 잠든 가운데 수면 스케일링을 진행합니다.
  4. 회복 및 귀가
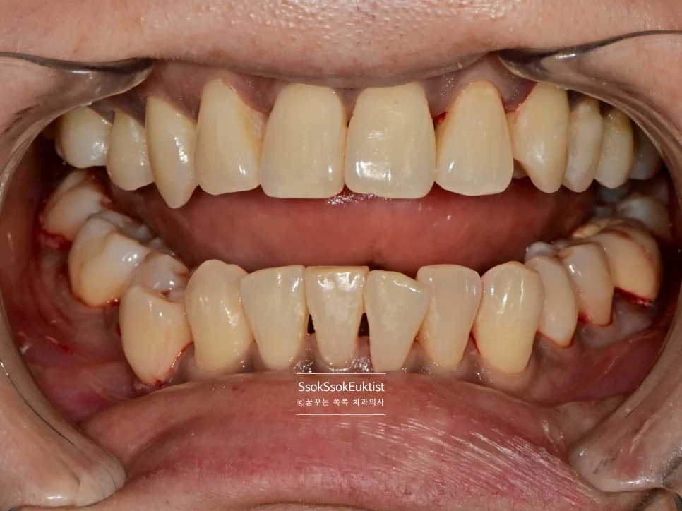
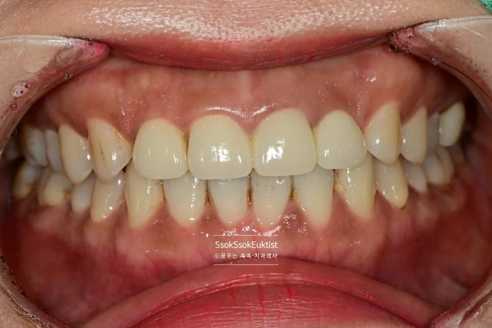
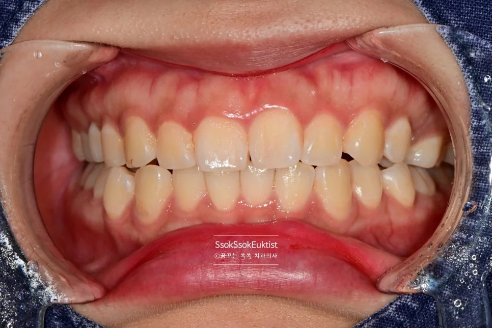
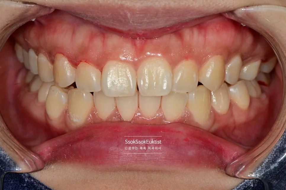
스케일링 전 치석 착색 상태
Before — 스케일링 전
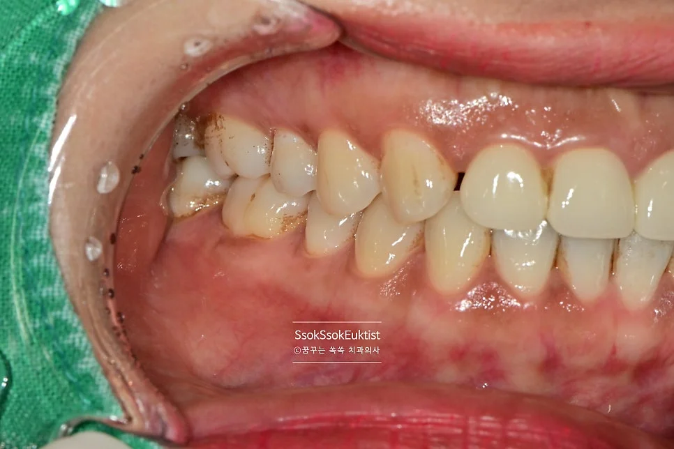
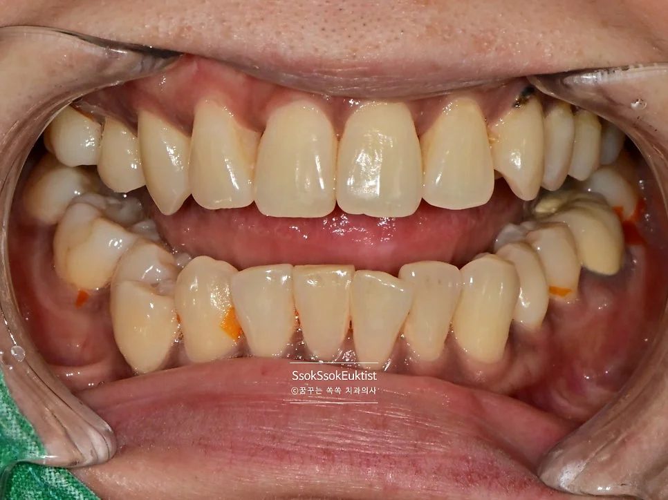
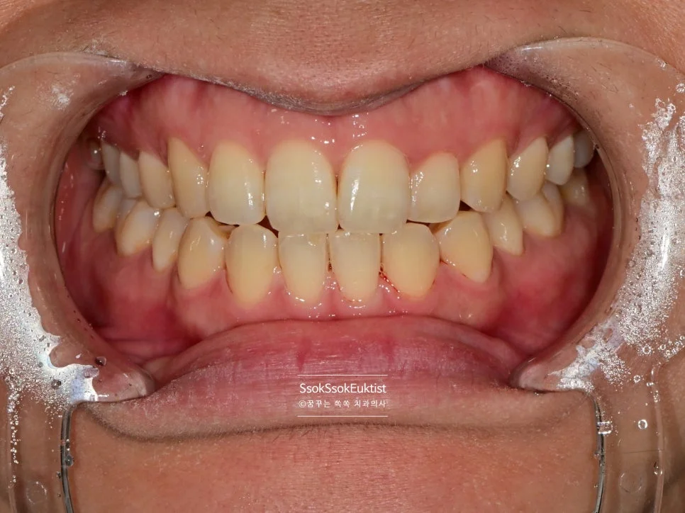
수면 스케일링 후 깨끗한 치아
After — 수면 스케일링 후

왼쪽 위 치경부 우식을 레진으로 예쁘게 치료한 후 스케일링도 시행하였는데요. 비교적 깨끗하고 건강해진 모습이 보입니다~^^

수면 마취 사용 약물 사진

수면 마취에 사용된 약물 — 사용 후 모두 폐기

수면 스케일링 치과, 어떻게 찾아야 할까?

수면 스케일링을 위한 치과 찾는 법을 알려드릴게요.

수면 스케일링 치과 고르는 3가지 기준
  1. 수면 마취를 많이 시행하는 치과 찾기
    온라인 홍보나 블로그 등을 참고하여 수면 마취를 많이 시행하는 치과를 찾는 것이 좋습니다.
  2. 대표원장이 정맥 라인을 잡는 치과
    가끔 간호조무사를 고용하여 정맥 라인을 잡는 치과들이 있는데요. 특정 요일만 진료가 가능한 경우가 많습니다ㅜ 한편, 대표원장이 직접 라인을 잡는다는 것은 상당한 경험과 노하우를 가지고 있다는 뜻이거든요.
  3. 치과 마취과 인정의
    일 년에 15명 내외가 배출이 되는 치과 마취과 인정의 과정에서는 보다 안전한 수면 마취에 대해 배우는데요. 무엇보다 중요한 것은 환자분의 안전이기에 치과 마취과 인정의를 찾으시는 것을 추천드립니다.

스케일링 잘하는 치과, 착색 제거 3가지 증례

스케일링은 어느 치과에서나 같은 비용으로 받을 수 있는 진료이지만, 그렇다고 아무 곳에나 가도 상관없을까요?

기왕 시간 써서 내원하는 거, 잘 하는 곳에 가면 좋지 않을까요?

Case 1. 노란 얼룩 착색 제거

착색 제거 케이스1 전 노란 얼룩
Before — 노란 얼룩 착색
착색 제거 케이스1 후 깨끗한 치아
After — 깨끗하게 제거

치아 표면에 노란 얼룩들이 예쁘게 제거된 것을 볼 수 있습니다!

Case 2. 갈색 착색 이물질 제거

착색 제거 케이스2 전 갈색 착색
Before — 갈색 착색 이물질
착색 제거 케이스2 후 깨끗한 치아
After — 깨끗하게 제거

치아 표면에 붙어있던 이물질들이 깨끗이 제거된 것을 볼 수 있는데요^^

Case 3. 검은 착색 — 분사형 스케일러로 해결

착색 제거 케이스3 전 검은 착색

치아 표면의 검은색 착색 — 제거가 안된다며 찾아오신 분

분사형 스케일러 착색 제거 과정 1
분사형 스케일러 시술 과정 1
분사형 스케일러 착색 제거 과정 2
분사형 스케일러 시술 과정 2

치아 표면에 검은색 착색이 제거가 안된다며 찾아오신 분인데요. 분사형 스케일러를 이용해 스케일링뿐만 아니라 착색물질도 깨끗하게 제거해 봅니다!^^

착색 제거 케이스3 후 깨끗한 치아

검은 착색 제거 후 깨끗해진 치아 정면

착색 제거 케이스3 후 좌측 사진
After — 좌측
착색 제거 케이스3 후 우측 사진
After — 우측

착색 제거를 하기 위해서는 가루를 강한 수압으로 분사하는 분사형 스케일러가 필수입니다^^

분사형 스케일러(에어 폴리셔) 장비 사진

분사형 스케일러(에어 폴리셔) 장비

관련 연구 근거

9개 치과 센터에서 1,037건의 진정 치료를 분석한 연구에서 치료 완료율 92%, 부작용 발생률 2.6%로 확인되었습니다. 의식하 진정(수면 마취)은 다양한 임상 환경에서 안전하고 예측 가능한 시술임이 입증되었습니다.

— Muthukrishnan A et al. (2013), Br Dent J, 215:E13


수면 마취는 이제 특별한 치료가 아닌 누구나 선택할 수 있는 편리한 치료 방법이라 생각하시면 좋을 것 같습니다^^

스케일링이 두려워 미루고 계셨다면, 수면 스케일링으로 편안하게 시작해 보세요.

기왕 스케일링하러 가는 거, 분사형 스케일러로 착색까지 깨끗하게 제거해 드리는 치과를 선택하시길 추천드립니다.

수면 스케일링이 필요한 분들께 오늘의 정보가 큰 도움이 되기를 바랍니다^^ 끝까지 읽어주셔서 감사합니다.

좋은 진료를 정직하게 | 선한 영향력으로 더 나은 가치를
강서구 마곡 서울쏙쏙치과 꿈꾸는 쏙쏙 치과의사 박상억이었습니다.

자주 묻는 질문 (Q&A)

Q. 수면 스케일링은 일반 스케일링과 어떻게 다른가요?

수면 스케일링은 시술 내용 자체는 일반 스케일링과 동일합니다. 다만 의식하진정요법(conscious sedation)을 병행하여 환자분이 반수면 상태에서 편안하게 스케일링을 받는 것이 차이점입니다. 치과 치료에 대한 공포나 구역 반사가 심한 분, 오랫동안 스케일링을 미뤄온 분들에게 특히 유용합니다.

Q. 수면 마취 전 금식은 꼭 해야 하나요?

네, 물은 2시간, 식사는 6시간 정도 금식이 권장됩니다. 수면 마취 중 구역 반사로 인한 흡인(aspiration)을 예방하기 위한 안전 조치입니다. 기저질환(혈압, 당뇨, 공황장애, 간·신장 질환, 알레르기 등)이 있으신 경우 사전에 반드시 알려주셔야 안전한 수면 마취가 가능합니다.

Q. 분사형 스케일러란 무엇인가요?

분사형 스케일러(에어 폴리셔)는 미세한 가루를 강한 수압으로 분사하여 치아 표면의 착색을 제거하는 장비입니다. 일반 초음파 스케일러로는 제거가 어려운 커피, 차, 와인 등으로 인한 착색을 효과적으로 깨끗하게 제거할 수 있습니다. 모든 치과에 구비되어 있는 장비는 아니므로 착색 제거가 필요하시면 보유 여부를 확인하시는 것이 좋습니다.

Q. 치과 마취과 인정의란 무엇인가요?

치과 마취과 인정의는 대한치과마취과학회에서 인증하는 자격으로, 일 년에 약 15명 내외만 배출됩니다. 수면 마취(의식하진정요법)의 안전성과 전문성을 갖춘 치과의사임을 의미합니다. 수면 마취의 핵심은 편안함뿐 아니라 환자분의 안전이기에 치과 마취과 인정의가 있는 치과를 선택하시는 것을 추천드립니다.

Q. 수면 스케일링 비용은 얼마인가요?

스케일링 자체는 연 1회 건강보험이 적용되며, 수면 마취 비용은 별도입니다. 수면 마취(의식하진정요법) 비용은 치과마다 다르지만 대략적인 범위가 있으며, 수면 마취 시 스케일링 외에 간단한 레진 치료나 다른 시술을 함께 진행하면 내원 횟수를 줄일 수 있어 전체적으로 효율적입니다. 정확한 비용은 내원 상담을 통해 확인하시는 것이 좋습니다.

본 포스팅은 의료법에 의거하여 치료가 필요한 환자분들을 위한 정보제공 목적으로 작성되었습니다. 개인에 따라 치료 결과가 다를 수 있으니 반드시 전문의 상담을 받으시기 바랍니다.

댓글 남기기