사랑니 발치 후 식사와 음주는 언제부터? 수면 발치와 회복 가이드

좋은 진료를 정직하게 | 선한 영향력으로 더 나은 가치를
사랑니 발치 후 식사와 음주는 언제부터? 수면 발치와 회복 가이드
강서구 마곡 서울쏙쏙치과 꿈꾸는 쏙쏙 치과의사 박상억입니다^^

안녕하세요^^

사랑니 발치를 진단받으셨나요?

그렇다면, 한 번쯤 이런 고민을 해보셨을 겁니다.

“사랑니 빼는 거, 얼마나 아플까?”
“무서워서 계속 미루고 있어요”
“한 번에 끝내는 방법은 없을까요?”

사랑니 발치는 누구에게나 두려운 일입니다. 특히 매복된 사랑니라면 통증과 회복 기간이 걱정되어 미루고만 싶죠.

하지만 계속 미루다 보면 우리가 사랑니를 발치하는 이유, 사랑니 바로 앞 “제2대구치”에 나쁜 영향을 주고 결국 더 큰 고통으로 돌아오는 경우 때문입니다.

그래서 이번 포스팅은 ‘아프지 않고 하루 만에 끝내는 수면 사랑니 발치’ 및 치료 예시와 대표적인 주의 사항까지 알기 쉽게 말씀드리려 합니다.

5분만 집중해서 보신다면 마법과도 같은 방법으로 빠르게 사랑니와 작별하는 날이 오실 겁니다. 🙂

치과에서의 수면 마취란?

수면마취의 공식 명칭은 사실 ‘의식하진정법’입니다. 말이 좀 어렵죠?

쉽게 말하자면, 완전히 꿀잠에 빠져 몸이 편안한 상태에서 치료받는 방법입니다.

“마치 너무 피곤한 날 약물 도움으로 편안히 잠든 상태에서 치과 치료까지 해결하는 마법 같은 방법”

저는 환자분들께 이렇게 자주 말씀드립니다.

이 상태에서는 깊게 자고 있지만, 이름을 부르거나 살짝 톡톡 건드리면 언제든지 깨어날 수 있을 정도입니다.

마치 낮잠 자다가 가볍게 흔들리면 깨어나는 그 느낌이죠.

하지만 아무 일 없으면 그대로 달콤한 숙면 상태를 유지하며, 치료가 끝날 땐 치료받았던 기억 없이 개운하게 눈을 뜨게 됩니다.

치과 치료가 편할 수 있다니, 신기하죠?

수면 사랑니 발치 과정 7단계

수면으로 사랑니를 발치하는 게 마법과 같이 편하게 마무리되지만, 편안하게 치료받으시게끔 여러모로 준비하는 과정이 많이 있는데요. 그럼 한번 알아보실까요?

수면 사랑니 발치 7단계 과정
  1. 기저질환, 복용 약물과 금식 체크는 필수!
    수면 치료는 한 번에 여러 가지를 해결할 수 있어 편리하지만, 환자분 건강 상태 점검이 필수입니다. 혈압, 당뇨, 알레르기, 골다공증 등 건강 체크를 꼼꼼히 하고, 복용 중인 약도 꼭 알려주세요! 금식도 중요합니다! 물은 치료 2시간 전부터, 음식은 최소 6시간 전부터 참아주세요. 배고픔은 잠깐, 안전은 오래갑니다 🙂
  2. 웃음 가스로 더 편안하게~
    웃음 가스(N2O)는 어린이에게 많이 쓰지만, 사실 어른들에게도 효과 만점입니다. 게다가 고농도 산소와 함께라면 더욱 안전하답니다. 치료를 좀 더 편안하게 만들어 드립니다.
  3. 대표 원장이 직접 책임지는 정맥로 확보!
    약물 투여가 안전해야 치료도 안심이죠? 대표 원장이 직접 나서서 꼼꼼히 정맥 라인을 잡는다면 수면마취 후 치료를 실력 있고 잘하는 치과로 볼 수 있겠죠.^^
  4. 적절한 진정은 기본 중의 기본
    진정제를 투여한 후 상태를 철저히 체크! “너무 자지도, 덜 자지도 않는” 딱 좋은 상태를 유지합니다.
  5. 무통 마취로 안 아프게!
    미다졸람이란 약물은 자칫하면 통증에 더 민감하게 만들 수 있어요. 그래서 무통마취기를 이용해 주사도 편하게, 치료도 안 아프게 진행합니다.
  6. 출혈 없는 치료부터 슬슬~
    치료는 출혈이 적은 것부터 차근차근 시작! 스케일링 및 충치치료 등 간단한 시술부터 시작해서 발치나 임플란트 같은 본격적인 치료로 넘어갑니다.
  7. 깨끗한 마무리는 해독제(플루마제닐)로!
    수면치료 메인 치과라서 가능한 부분입니다. 수면 치료 후 해독제(플루마제닐)를 투여해 말끔하게 깨워드립니다. 개운하게 일어나서 안전하게 집으로 가고, 치료 후 주의 사항과 약물 복용법도 깜빡하지 않게 도와드립니다.

수면으로 양쪽 위아래 사랑니 발치 예시

안 그래도 무서운 사랑니 발치, 누구나 발치가 필요하다면 양쪽 위아래 사랑니 발치를 하루에 끝내고 싶을 텐데요.

수면마취 후 사랑니 발치를 하신다면 가능한 치료 방법입니다.

수면 상태에서는 환자의 움직임이 거의 없어 치과의사 입장에서도 더 안전하고 정확하게 발치할 수 있으며, 오히려 한 번에 발치하면 치유 기간도 단축되고, 따로따로 할 때보다 총 진료 기간과 비용 또한 줄일 수 있어 좋은 선택이 될 수 있습니다. 🙂

파노라마 진단

사랑니 4개 파노라마 상악 하악 매복 사랑니 제2대구치 표시

파노라마 — 상악 사랑니(노란 화살표)와 하악 매복 사랑니(빨간 화살표) 및 제2대구치 위치 확인

사랑니는 대부분 평생 사용해야 할 소중한 두 번째 큰 어금니(제2대구치) 뒤쪽 부위에 충치나 잇몸 염증을 유발합니다.

더 중요한 점은, 사랑니가 없었다면 이 두 번째 어금니의 뒷면에는 충치나 잇몸 문제가 거의 발생하지 않는다는 사실입니다.

빠르게 발치하는 게 좋은 결정이겠죠?

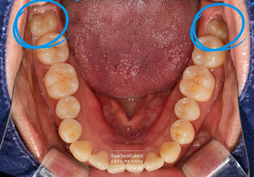
구내 사진으로 확인한 하악 사랑니 상태

하악 교합면 구내사진 양쪽 매복 사랑니 파란 원 표시

하악 교합면 구내사진 — 양쪽 매복 사랑니(파란 원) 확인

아래쪽 사랑니는 매복 된 사랑니로, 위쪽 사랑니보다 발치 시 더 높은 난도가 요구됩니다.

CBCT(3D CT)로 신경관 위치 확인

CBCT 우측 하악 매복 사랑니 신경관 근접도 분석
우측 CBCT — 신경관 근접도 분석
CBCT 좌측 하악 매복 사랑니 신경관 근접도 분석
좌측 CBCT — 신경관 근접도 분석

매복된 사랑니는, CT를 통해 신경관과 맞닿아 있진 않은지 정밀하게 분석 후 발치를 시도합니다.

발치 계획 수립

사랑니 4개 발치 계획 파노라마 상악 하악 화살표 표시

파노라마 — 상악(노란 화살표) + 하악(빨간 화살표) 4개 사랑니 발치 계획

발치 완료 확인 (치근단 X-ray)

수면으로 양쪽 위아래 모든 사랑니가 당일 발치된 모습입니다.

사랑니 발치 후 우측 상악 치근단 X-ray 초록 원 표시
우측 상악 발치 완료 (초록 원)
사랑니 발치 후 좌측 상악 치근단 X-ray 초록 원 표시
좌측 상악 발치 완료 (초록 원)
사랑니 발치 후 우측 하악 치근단 X-ray 초록 원 표시
우측 하악 발치 완료 (초록 원)
사랑니 발치 후 좌측 하악 치근단 X-ray 초록 원 표시
좌측 하악 발치 완료 (초록 원)

수면으로 양쪽 위아래 사랑니 발치 후 잇몸 뼈에 남아있는 잔존 뿌리가 없으니 치료가 잘 마무리되었다고 볼 수 있겠죠 🙂

사랑니 발치 후 식사는 언제부터?

사랑니를 뽑은 후 식사는 조심스럽게 시작해야 해요.

마취가 풀릴 때까지는 입술과 뺨을 보호하기 위해 조금 기다렸다가 식사하는 게 좋습니다.

사랑니 발치 후 식사 가이드
  • 발치 직후 ~ 부드러운 죽이나 요거트, 아이스크림 등 부드러운 음식으로 스타트!
  • 통증/불편함이 없으면? 바로 일반식을 드셔도 괜찮아요.
  • 불편함이 조금이라도 느껴지면? 하루 정도는 부드러운 음식으로 참아주세요!

“아프지 않고 입이 잘 벌어지는데 일반 음식은 언제쯤 먹을 수 있을까요?”라는 질문을 자주 받는데요.

통증과 불편함이 없으면 바로 일반식을 드셔도 괜찮아요. 다만, 불편함이 조금이라도 느껴지면 하루 정도는 부드러운 음식으로 참아주세요!

사랑니 발치 후 음주는 언제부터?

자, 골칫거리 사랑니 뽑았다고 축하주 한잔 생각하고 계시나요?

안타깝게도 술은 잠시 미뤄두시는 게 좋습니다.

사랑니 발치 후 음주 가이드
  • 음주는 통증을 키우고, 치유 속도를 늦출 수 있습니다.
  • “전혀 아프지 않아요!”라고 자신 있게 말씀하신다면 조금만 드시는 건 괜찮을 수도 있지만, 그래도 가급적 일주일은 쉬어가시는 걸 추천합니다.
  • 처방약 복용 중에는 알코올과 궁합이 별로이니, 혹시 중요한 술자리가 있다면 약을 잠시 멈추고 드시는 게 좋아요.
기억하세요, 건강한 회복이 가장 우선입니다!

사랑니 발치를 진단받고 미루고 계신가요? 걱정에 망설이지 마시고 상담받아보세요.

사랑니 발치를 앞두고 계신 분들께 이 글이 도움이 되는 정보였으면 좋겠습니다^^

끝까지 읽어주셔서 감사합니다. 또 봐요 ~


자주 묻는 질문 (Q&A)

Q. 사랑니 발치 후 식사는 언제부터 가능한가요?

마취가 풀린 후부터 식사가 가능합니다. 처음에는 죽이나 요거트, 아이스크림 등 부드러운 음식으로 시작하시고, 통증과 불편함이 없으면 바로 일반식을 드셔도 괜찮습니다. 다만 불편함이 조금이라도 느껴지면 하루 정도는 부드러운 음식으로 드시는 것을 권장합니다.

Q. 사랑니 발치 후 음주는 언제부터 괜찮나요?

음주는 통증을 키우고 치유 속도를 늦출 수 있으므로 가급적 일주일은 쉬어가시는 것을 추천합니다. 특히 처방약 복용 중에는 알코올과 약물이 상호작용할 수 있으니 주의가 필요합니다. 중요한 술자리가 있다면 약을 잠시 멈추고 드시는 것이 좋습니다.

Q. 수면 마취 후 해독제(플루마제닐)는 왜 투여하나요?

해독제(플루마제닐)는 진정제의 효과를 빠르게 역전시켜 말끔하게 각성할 수 있도록 도와줍니다. 덜 깬 상태로 귀가 시 발생할 수 있는 사고를 예방하고, 치료 후 주의 사항과 약물 복용법도 깜빡하지 않게 도와드립니다. 서울쏙쏙치과는 수면치료 메인 치과로서 모든 환자분께 필수로 투여합니다.

Q. 양쪽 위아래 사랑니 4개를 한 번에 뽑아도 괜찮나요?

수면마취(의식하진정법)를 활용하면 4개 사랑니를 하루에 동시 발치할 수 있습니다. 수면 상태에서는 환자의 움직임이 거의 없어 더 안전하고 정확하게 발치할 수 있으며, 한 번에 발치하면 치유 기간도 단축되고 총 진료 기간과 비용도 줄일 수 있습니다. 다만 기저질환과 건강 상태에 따라 개별 상담 후 결정합니다.

Q. 수면 마취 전 금식은 꼭 해야 하나요?

네, 안전한 수면 마취를 위해 물은 치료 2시간 전부터, 음식은 최소 6시간 전부터 금식이 필수입니다. 금식을 지키지 않으면 진정 상태에서 구토 등의 위험이 발생할 수 있습니다. 또한 고혈압, 당뇨, 알레르기 등 기저질환이 있거나 복용 중인 약물이 있다면 사전 상담 시 반드시 말씀해 주세요.

관련 연구 근거

82개 임상시험(9,095명)의 메타분석에서 이부프로펜+아세트아미노펜 병용이 발치 후 통증 관리에 가장 효과적인 것으로 확인되었습니다. 적절한 약물 복용으로 발치 후 통증을 효과적으로 관리할 수 있습니다.

— Miroshnychenko A et al. (2023), J Dent Res, 102(4):391-401


좋은 진료를 정직하게 | 선한 영향력으로 더 나은 가치를
수면 사랑니 발치 전문 강서구 마곡 서울쏙쏙치과 꿈꾸는 쏙쏙 치과의사 박상억이었습니다.

치료 기간 : 25.03.03 ~ 25.03.11
위 포스팅은 의료법에 의거하여 치료가 필요한 환자분들을 위한 정보제공 목적으로 업로드했습니다.

댓글 남기기