좋은 진료를 정직하게 | 선한 영향력으로 세상에 더 나은 가치를
전악 임플란트, 수면 마취를 통해 편안하게 가능할까?
꿈꾸는 쏙쏙 치과의사 박상억입니다
오늘 다뤄 볼 주제는 수면 임플란트입니다. 임플란트 치료 후 너무 붓고 아팠다는 후기, 혹은 치료 기간이 너무 길었다는 후기, 한 번쯤은 들어보셨을 것 같습니다ㅜ

임플란트는 사실 잘만 치료된다면 너무너무 좋은 치료인데, 수술의 범주에 들어가기 때문에 두렵고 붓고 아프진 않을지 걱정되는 것도 사실일 것 같습니다.
오늘은 임플란트 치료란 무엇인지, 수술의 불편함을 없애기 위해 어떤 노력을 할 수 있고 그 결과가 어떠한지 설명드리려 합니다. 바로 시작해 보겠습니다^^
수면 마취와 임플란트는 왜 잘 어울릴까?
임플란트는 수면 마취와 매우 잘 어울리는 치료입니다.

수면 마취란 공식 용어로 “의식하진정법”으로, 의식이 어느 정도는 있는 진정 상태로 치료를 진행하는 것을 말합니다.
항상 저는 환자분께 설명드리기를 “너무 피곤해 아주 깊게 잠들어 있는 상태를 약물로 만든 후 치료를 시행하는 것”이라고 말씀드립니다. 깊게 잠든 경우 소리를 내어 크게 부르거나 흔들어 깨우면 깰 수 있는 정도의 상태이지만, 가만히 두면 아무 기억 없이 편안하게 자고 일어나잖아요? 그런 느낌으로 보시면 크게 틀리지 않습니다.
- 수술에 대한 걱정과 두려움 극복: 수술이라고 하면 너무 아플 것 같고 느낌도 이상하고 걱정이 되게 마련인데, 그 수술을 잠깐 자고 일어나면 기억 없이 받을 수 있다면 하지 않을 이유가 없겠죠?
- 입안에 물이 적게 사용되는 진료: 치과에서의 대부분의 진료는 입안에 물이 많이 나오게 마련인데, 임플란트는 상대적으로 물을 적게 사용합니다. 때문에 수면 마취 중에 물이 기도로 넘어가 기침을 하는 등의 불편함이 적은 치료입니다.
수면 마취 치과, 어떤 곳을 가야 할까?
수면 마취가 내시경에서부터 치과, 피부과, 성형외과까지 널리 사용되면서 많은 의원에서 수면마취 치료를 광고하곤 합니다. 그렇다면 어느 곳에나 가서 치료받으면 되는 걸까요?
수면 마취를 시행하고 있는 치과의사로서 몇 가지 참고할 만한 요인들을 설명드릴게요^^
1. 대표원장이 직접 정맥 라인을 잡을 수 있는가?
대표원장이 정맥 라인을 잡지 않고 간호조무사 등을 채용하는 경우가 흔히 있는데요. 이때 수면 마취가 특정 요일만 가능하게 됩니다. 치료를 시작하면 최소한 3~4번 이상 내원해야 하는데, 정해진 요일에만 가능하다면 조금은 불편하겠죠?
한편, 대표원장이 정맥 라인을 직접 잡는다는 것은 수면 마취에 오랜 경험을 가지고 있다는 뜻입니다. 경험적으로 봤을 때 정맥 라인을 자신 있게 잡는 데에 2년 정도는 걸리는 것 같습니다^^
2. 치과 마취과 인정의 자격이 있는 치과인가?
우리나라에는 치과마취과 전공의는 없습니다. 때문에 유일한 공식 인정의가 치과마취과 인정의입니다. 특정 기간 수업과 교육을 들어야 하며, 일정 개수 이상의 증례가 있는 경우 시험을 통하여 자격을 부여받게 됩니다. 매년 약 15명 정도의 치과마취과 인정의가 배출됩니다.
수면 마취는 투여하는 약물의 종류, 농도, 환자의 반응 등 종합적인 판단을 요구하기 때문에 충분한 공부와 오랜 경험이 필요합니다.
치과 마취과 인정의를 취득한 경험에 따르면, 주로 교육 내용이 환자의 안전과 관련된 내용이 많습니다. 수면 마취는 자칫 잘못하면 생명을 위협할 수 있는 진료로, 빠르고 효과적인 마취보다는 안전함이 더 우선됩니다. 그런 측면에서 안전한 수면 마취를 위해서는 치과마취과 인정의를 찾으시면 좋을 것 같습니다^^
3. 실제로 수면 마취를 적극적으로 시행하는 치과인가?
수면 마취를 시행한 경우 투약 약물을 NIMS라는 정부 시스템에 보고를 하게 되어 있습니다. 이를 통해 얼마나 많은 수면 마취를 시행했는지 알 수 있는데요.


상당히 많은 환자분들이 수면 마취의 혜택을 보고 있습니다^^ 일주일에 1~2건 이상은 수면치료를 하는 치과를 찾으시는 것이 안전한 수면치료를 받으시기에 좋을 것 같습니다.
4. N2O 웃음 가스를 사용하는 치과인가?
N2O는 소아의 진정에 사용되며 가스를 흡입하면 웃음이 나온다 하여 이름이 붙여진 가스입니다. 이 웃음 가스는 비단 소아뿐만 아니라 성인에게도 상당한 효과를 보이며, 정맥을 통한 수면 마취와 함께 사용하는 경우 다음과 같은 장점이 있습니다.
- 최소 50% 이상의 산소 공급으로 안전: 대기 중 농도 20%보다 훨씬 높은 농도의 산소가 공급되어 상대적으로 안전한 수면 마취가 가능합니다.
- 웃음 가스만으로도 상당한 진정 효과: 불안 억제, 얕은 진정, 졸림 등의 효과가 있어 정맥으로 약물을 적게 사용할 수 있어 상대적으로 더 안전한 수면 마취가 가능합니다.
5. 수면 마취 비용은 얼마인가?
수면 마취의 비용은 치과마다 사용하는 약물, 모니터링 장비, 치과의사의 숙련도, 치과의 가격 정책에 따라 각기 다릅니다. 보통 10만 원~50만 원 정도 선에서 책정되며, 일정 금액 이상의 비급여 진료비가 있는 경우 수면 비용은 특별히 받지 않는 치과도 있습니다.
그런 치과가 있다면 치료받지 않을 이유가 없겠죠?
수면 마취 전악 임플란트, 실제로 어떻게 진행될까?
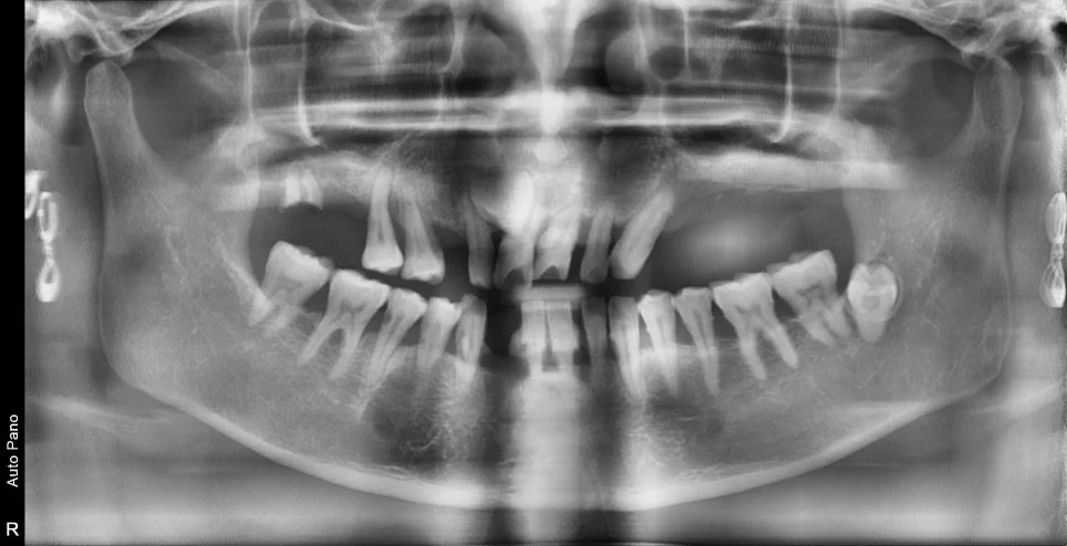
치료 전 (Before)

어금니를 조기에 상실하게 되면 상대적으로 앞니가 많은 힘을 받게 되고, 이로 인해 앞니가 버티지 못하고 흔들리게 되는 경우가 많습니다ㅜ

많은 치석과 치조골의 소실로 대부분의 치아를 발치해야 하며 임플란트 식립이 필요합니다. 보통 많은 치아의 발치 및 임플란트가 계획된 경우 위아래 두 번에 걸쳐 임플란트를 식립하게 됩니다.

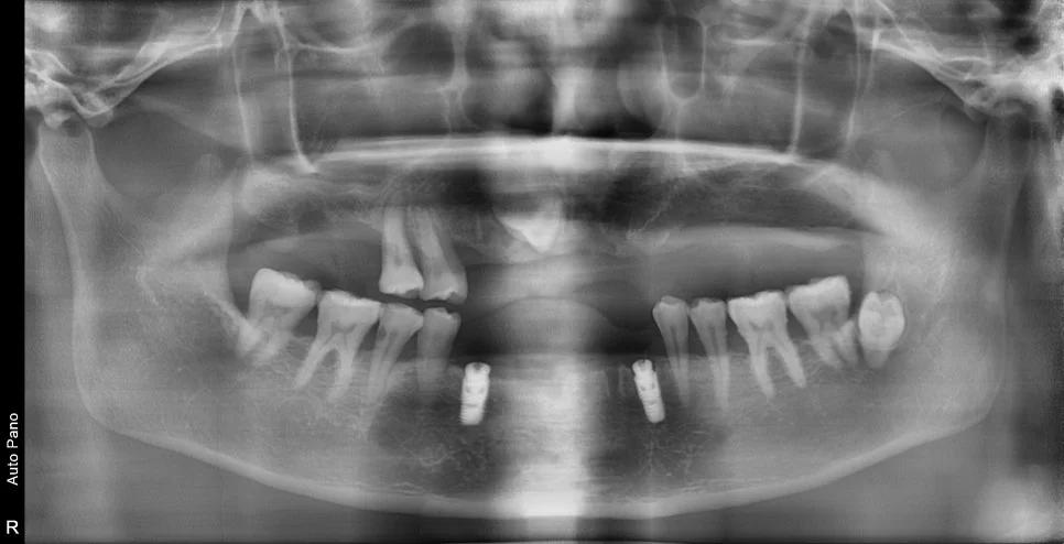
수술 전후 파노라마 비교

CBCT 단면 – 각 임플란트 개별 검증








CT 상에서 하얀색인 임플란트가 1. 온전히 뼈 안에 잠기게(1~2mm 깊게) 그리고 2. 가급적이면 입천장 쪽으로 식립되었다면 잘 심긴 임플란트입니다. (입술 쪽 뼈는 쉽게 흡수됩니다ㅜ)
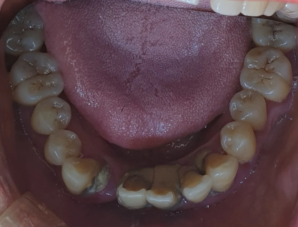
보철 과정 – Before / 임시 / 최종 완성
대략 2~4개월 정도의 임플란트 유착 기간 후에 보철물 제작에 들어가게 됩니다. 임시 치아를 상당 기간 사용한 후 최종 보철물을 제작합니다.



남아 있는 잇몸을 기준으로 치아의 높이를 결정하고, 위아래 입술의 위치에 따라 전후방 위치를 결정하고, 웃는 모습을 기준으로 치아를 이상적으로 배열하고, 최대한 자연스러운 색상으로 환자분과 결정합니다.

마무리
오늘은 수면 마취란 무엇이며, 수면 마취 치과를 선택하는 기준에 대해, 그리고 수면 마취를 통한 임플란트 식립의 예시를 살펴보았습니다.
치과 치료가 두려워 걱정하시는 분들, 수면 마취 치과를 찾고 계신 분들, 많은 개수의 임플란트를 시행해야 하는 분들께 도움이 되는 정보였으면 좋겠습니다.
자주 묻는 질문 (Q&A)
Q. 수면 마취 임플란트는 정말 아프지 않나요?
수면 마취 상태에서는 수술 중 통증을 느끼지 못합니다. 깊은 잠에 들어 있는 상태와 비슷해서, 자고 일어나면 수술이 끝나 있습니다. 수술 후에도 적절한 약 처방으로 통증을 최소화할 수 있습니다.
Q. 수면 마취는 전신마취와 다른 건가요?
네, 다릅니다. 전신마취는 의식이 완전히 없어지고 자발 호흡도 멈추지만, 수면 마취(의식하진정법)는 깊은 수면 상태로 자발 호흡이 유지됩니다. 전신마취보다 훨씬 안전하며 회복도 빠릅니다.
Q. 전악 임플란트는 치료 기간이 얼마나 걸리나요?
발치, 뼈 이식, 임플란트 식립, 유착 기간(2~4개월), 임시 치아, 최종 보철물 제작까지 포함하면 전체적으로 6개월~1년 정도 소요됩니다. 위아래를 나누어 진행하기 때문에 치료 기간 동안에도 식사가 가능합니다.
Q. 수면 마취 비용은 따로 내야 하나요?
치과마다 다르지만, 보통 10만~50만 원 선에서 책정됩니다. 일정 금액 이상의 임플란트 치료가 있는 경우 수면 마취 비용을 별도로 받지 않는 치과도 있으니, 상담 시 확인해보시는 것이 좋습니다.
Q. 강서구에서 수면 마취 임플란트를 받을 수 있는 치과가 있나요?
서울쏙쏙치과는 치과마취과 인정의 자격을 가진 대표원장이 직접 정맥 라인을 잡고 수면 마취를 시행합니다. N2O 웃음 가스도 함께 사용하여 더 안전한 수면 마취가 가능합니다. 마곡역, 발산역 근처에 위치하고 있습니다.
함께 읽으면 좋은 글
좋은 진료를 정직하게
선한 영향력으로 더 나은 가치를
꿈꾸는 쏙쏙 치과의사 박상억이었습니다.
서울쏙쏙치과의원 | 서울특별시 강서구 공항대로 186, 206~208호