사랑니 양쪽 동시 발치, 수면 마취로 한 번에 가능할까?

좋은 진료를 정직하게 | 선한 영향력으로 더 나은 가치를
사랑니 양쪽 동시 발치, 수면 마취로 한 번에 가능할까?
수면 사랑니 발치 | 강서구 마곡역 서울쏙쏙치과 박상억입니다 🙂

안녕하세요^^

이번 포스팅에서는 수면으로 기억 없이 끝나는 매복 사랑니 발치에 대해 자세히 알아보겠습니다.

사랑니 발치가 무섭고 걱정되는 이유, 바로 ‘통증’‘두려움’ 때문입니다. 마취를 해도 치과 특유의 소리나 압박감, 긴장감 때문에 미루고 또 미루다 결국 염증이 생기고 고통스러운 통증이 시작되죠.

“차라리 진작 뺐을걸…” 이렇게 후회하는 분들이 정말 많으신데요. 특히 사랑니가 매복되어 있거나 누워있다면 더 걱정될 수밖에 없습니다. 복잡한 수술 과정이나 통증, 긴 치료 시간이 불안감을 더욱 키우기 때문입니다.

이번 내용을 끝까지 보신다면, 사랑니 양쪽 동시 발치라는 어려운 미션을 쉽게 해결하실 수 있으실 겁니다 🙂

치과 수면 마취(의식하진정법)란 무엇일까?

수면마취는 공식적으로 ‘의식하진정법’이라 불리며, 치료 중 어느 정도 의식은 있으면서도 매우 편안한 진정 상태를 만들어주는 방법입니다.

“몸이 너무 피곤해서 깊이 잠든 상태를 약물을 통해 구현한 후, 편안하게 치료를 진행하는 방법”

이 상태는 깊게 잠들었지만 소리를 내어 부르거나 가볍게 흔들면 충분히 깨어날 수 있는 정도입니다. 하지만 그대로 두면 치료 과정이 기억나지 않을 만큼 편안한 휴식을 취한 듯한 느낌으로 치료가 끝나게 됩니다.

사랑니 발치가 무섭고 걱정되는 이유는 바로 통증과 두려움 때문인데요. 마취를 해도 치과 특유의 소리나 압박감, 긴장감 때문에 발치를 미루고 또 미루다 결국 염증이 생기고 고통스러운 통증이 시작되는 분들이 많습니다.

인터넷에 떠도는 후기들까지 읽어보면 막연한 두려움이 더 커지기 때문에 쉽게 결정하지 못하고 시간만 흘러가는 겁니다. 수면마취는 이러한 두려움과 통증을 해결하는 가장 효과적인 방법입니다.

수면 마취 사랑니 발치, 안전한 거 맞을까?

몇 가지 주의 사항만 지켜준다면 수면마취 후 매복 사랑니 발치는 상대적으로 더 안정된 상태에서 치료를 받게 됩니다.

서울쏙쏙치과 수면 사랑니 발치 5가지 안전 수칙

  1. 금식 필수 — 물은 최소 2시간 전부터, 가벼운 식사는 최소 6시간 전부터 금식
  2. 건강 상태 및 복용 약물 확인 — 고혈압, 당뇨병, 골다공증, 알레르기, 비염, 간·신장 질환, 항암치료 등 기존 질환이나 복용 약물을 꼼꼼히 확인
  3. 아산화질소(N2O) 및 고농도 산소 병행 — 웃음 가스(N2O)를 병행하면 진정제를 더 적게 투여 가능하며, N2O 50% + 산소 50%를 함께 공급하여 평소 호흡 산소 농도(약 20%)보다 훨씬 높은 산소를 제공
  4. 대표원장 직접 정맥 경로 확보 — 진정 약물을 안전하게 주입하기 위한 정맥 경로를 대표원장이 직접 확보
  5. 진정제 해독제(플루마제닐) 투여 — 치료 후 깔끔하게 깨어나도록 해독제(플루마제닐)를 필수로 투여

해독제(플루마제닐) 투여의 3가지 이점

많은 치과에서 진정제 해독제(플루마제닐)를 사용하지 않고 있는 것이 현실입니다(수면 내시경에서도 일반적으로 사용되지 않습니다). 비용이 높다는 이유로 잘 사용하지 않지만, 서울쏙쏙치과에서는 모든 환자분께 해독제(플루마제닐)를 필수로 사용합니다.

  1. 치료 후 깔끔하고 빠르게 깨어나 편안하게 귀가 가능
  2. 진정 상태에서 완전히 깨지 않아 발생할 수 있는 귀갓길 사고 방지
  3. 덜 깬 상태로 주의 사항이나 복약 안내를 듣지 못하거나 잊어버리는 문제 예방

그렇다면, 실제 사랑니 발치에 대한 증례를 통해 살펴보겠습니다 🙂

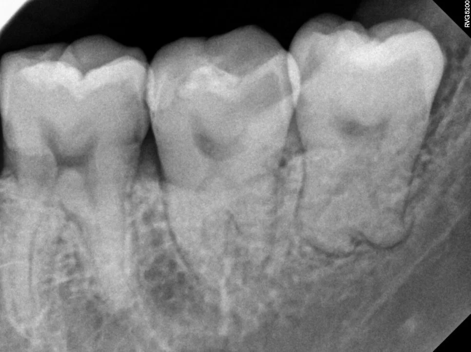
매복 사랑니 발치 증례 1: 양쪽 하악 매복 사랑니

매복 사랑니 양쪽 파노라마 진단

양쪽 하악 매복 사랑니 파노라마 진단

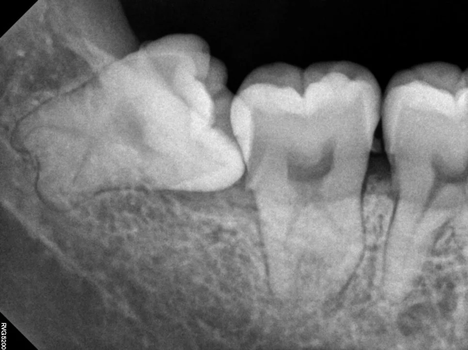
우측 매복 사랑니 진단

매복 사랑니 우측 치근단 X-ray 수평 매복
우측 치근단 X-ray (수평 매복)
매복 사랑니 우측 구내 잇몸 아래 매복 상태
우측 구내 사진 (잇몸 아래 매복)

제2대구치를 위협하는 우측 하악 매복 사랑니입니다. 잇몸 아래에 완전히 매복되어 있는 상태를 확인할 수 있습니다.

좌측 매복 사랑니 진단

매복 사랑니 좌측 치근단 X-ray
좌측 치근단 X-ray
매복 사랑니 좌측 구내 잇몸 아래 매복 상태
좌측 구내 사진 (잇몸 아래 매복)

제2대구치와 사이 관리가 어려운 좌측 하악 매복 사랑니입니다. 살짝 맹출된 상태이지만 관리가 되지 않아 발치가 필요한 상태입니다.

이번 사례의 환자분은 나이가 어리셔서 사랑니 맹출이 덜 되었지만, 미리 예방 차원에서 발치를 해줘야 합니다. 왜일까요?

예방 차원 사랑니 발치가 꼭 필요한 이유

바로 앞에 있는 어금니(제2대구치)를 건강하게 유지하기 위해서입니다. 사랑니를 그대로 방치하면, 바로 앞의 어금니에 충치나 잇몸 질환이 발생할 가능성이 매우 높습니다.

특히 매복 사랑니 때문에 생긴 충치는 일반적인 치아 사이에 생긴 충치보다 훨씬 깊고 아래쪽에 위치하기 때문에 치료 난이도가 상당히 높아 회복에도 오랜 시간이 걸립니다. 그래서 심각한 문제가 생기기 전에 미리 사랑니를 빼는 것이 중요합니다.

수면 마취 후 양쪽 동시 발치 결과

수면 마취 약물 세트 준비

수면 마취에 사용된 약물 (사용 후 반드시 즉시 폐기합니다)

케이스1 우측 매복 사랑니 발치 후 모습
우측 완전 매복 사랑니 발치 완료
케이스1 좌측 매복 사랑니 발치 후 모습
좌측 완전 매복 사랑니 발치 완료

수면 마취 후 사랑니를 발치하여 양쪽을 한 번에 발치한 사례입니다. 양쪽 모두 완전 매복 사랑니가 예쁘게 발치된 모습입니다 🙂

매복 사랑니 발치 증례 2: 3개 동시 발치

케이스2 우측 사랑니 충치 파노라마
우측 파노라마 진단
케이스2 좌측 사랑니 상태 파노라마
좌측 파노라마 진단

이번 증례의 환자분은 사랑니가 관리가 안 되어, 충치가 생겨 더 심해지기 전에 발치를 하시는 게 좋은 상태이셨습니다.

케이스2 우측 매복 사랑니 제2대구치 위협

우측 하악 매복 사랑니 — 제2대구치 바깥 면을 위협하는 가장 고난도 케이스

오른쪽 아래 매복 사랑니는 제2대구치의 바깥 면을 위협하고 있어 가장 난도가 높지만 빠르게 발치를 해줘야 하는 상태입니다.

케이스2 좌측 상악 사랑니 관리 어려운 상태
좌측 상악 사랑니 (관리 어려운 상태)
케이스2 좌측 하악 사랑니 충치 위험
좌측 하악 사랑니 (충치 위험)

왼쪽 위 사랑니는 제2대구치와의 사이가 관리가 안 되어 미리 발치를 하는 게 좋고, 왼쪽 아래 사랑니 또한 제2대구치와의 사이가 관리가 안 되어 충치가 생기기 전에 미리 발치를 하는 게 좋습니다.

케이스2 수면 마취 약물 미다졸람 케타민

수면 마취를 통해 더 안전하고 편안하게 3개를 동시에 발치 진행

케이스2 사랑니 3개 동시 발치 결과

고난도의 우측 하악 매복 사랑니 포함, 3개 사랑니 동시 발치 완료

고난도의 오른쪽 아래 매복 사랑니가 예쁘게 발치가 되었고, 왼쪽 위아래 사랑니 또한 모두 예쁘게 발치가 잘 된 모습입니다 🙂

비수면으로 발치를 하게 되면 동시에 양쪽 사랑니 발치를 하는 게 의사와 환자분 모두에게 쉽지 않습니다. 수면으로 사랑니 발치, 안전하면서 더 장점이 많은 치료인 게 보이시나요?

관련 연구 근거

Journal of Stomatology, Oral and Maxillofacial Surgery에 발표된 무작위 대조 시험(RCT)에 따르면, 양쪽 사랑니를 한 번에 발치한 그룹의 평균 회복 기간은 3.47일로, 두 번에 나누어 발치한 그룹(6.03일)의 절반 수준이었습니다. 또한 한 번에 발치하는 것이 통증을 두 번 겪는 것보다 환자 만족도가 더 높았습니다.

— Seier T et al. (2022), Journal of Stomatology, Oral and Maxillofacial Surgery


자주 묻는 질문 (Q&A)

Q. 수면 사랑니 발치 비용은 얼마인가요?

수면 사랑니 발치 비용은 매복 정도와 난이도에 따라 달라집니다. 사랑니 발치 자체는 건강보험이 적용되며, 수면마취(의식하진정법)는 비급여 항목입니다. 정확한 비용은 파노라마 및 진단 후 안내해 드리고 있으니, 서울쏙쏙치과에 내원하시어 상담받으시길 권장합니다.

Q. 양쪽 동시 발치 후 식사는 언제부터 가능한가요?

마취가 완전히 풀린 후(보통 2~3시간)부터 부드러운 음식 위주로 식사가 가능합니다. 죽, 미음, 부드러운 두부, 스크램블 에그 등을 권장하며, 발치 부위에 자극이 가지 않도록 반대쪽으로 씹어주시는 것이 좋습니다. 양쪽 동시 발치의 경우 빨대 사용은 피해주시고, 일주일 정도는 딱딱하거나 자극적인 음식은 삼가해 주세요.

Q. 수면 마취 후 운전이 가능한가요?

서울쏙쏙치과에서는 시술 후 진정제 해독제(플루마제닐)를 필수로 투여하여 깔끔하게 각성시켜 드립니다. 그럼에도 불구하고 당일 운전은 가급적 피하시는 것을 권장합니다. 보호자와 함께 내원하시거나 대중교통 또는 택시를 이용해 주세요. 해독제 투여 후 충분히 회복된 상태에서 안전하게 귀가하실 수 있습니다.

Q. 매복 사랑니, 꼭 뽑아야 하나요?

완전히 뼈 속에 매복되어 있더라도 방치하면 앞 어금니(제2대구치)에 충치나 잇몸 질환이 발생할 가능성이 높습니다. 매복 사랑니로 인한 충치는 일반 충치보다 훨씬 깊고 치료 난이도가 높기 때문에, 증상이 없더라도 정기 검진을 통해 발치 시기를 결정하는 것이 중요합니다. 특히 젊을 때 뼈가 탄력적이어서 발치 난이도가 낮고 회복이 빠르므로, 가능한 한 조기 발치를 권장합니다.


사랑니 발치가 두렵고 막막하신 분들께 이 글이 도움이 되는 정보였으면 좋겠습니다^^

좋은 진료를 정직하게 | 선한 영향력으로 더 나은 가치를
수면 사랑니 발치 전문 강서구 마곡역 치과 꿈꾸는 쏙쏙 치과의사 박상억이었습니다.

댓글 남기기