좋은 진료를 정직하게 | 선한 영향력으로 더 나은 가치를
앞니 벌어짐 레진 치료, 교정 없이 하루 만에 해결할 수 있을까?
꿈꾸는 쏙쏙 치과의사 박상억입니다
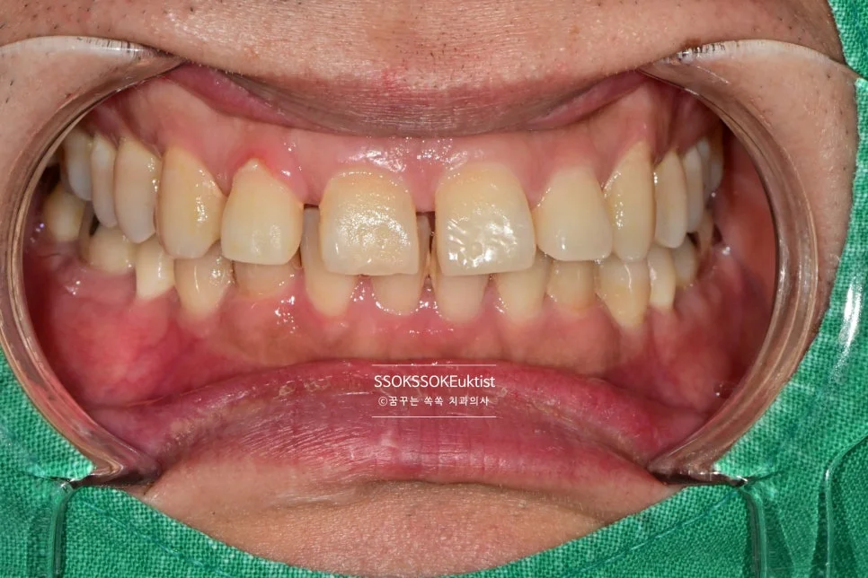
안녕하세요^^ 웃을 때 앞니 사이가 벌어져 보이면 은근히 신경 쓰이시죠? 사진 찍을 때 자신감이 떨어지고, 어떤 분들은 발음이 새기도 합니다.
이런 정중이개(앞니 사이 틈)는 많은 분들이 겪는 흔한 치아 고민 중 하나입니다. 그런데 이 벌어진 치아, 꼭 오래 걸리는 교정치료를 해야만 해결되는 걸까요?
오늘은 앞니 벌어짐을 레진으로 해결하는 방법에 대해 강서구 마곡 치과 서울쏙쏙치과에서 설명드릴까 합니다!
앞니는 다른 치아랑 다르게 외모에 영향을 주는 치아로, 앞니가 가지런하지 않은 경우 전체 외모에 주는 영향이 상당합니다ㅜ


* AI를 활용한 가상의 이미지입니다.
오늘은 앞니 벌어짐이 생기는 이유, 그리고 어떻게 치료할 수 있는지 소개해 드리려 합니다!
앞니가 벌어지는 3가지 원인은?
앞니가 벌어지는 경우 크게 세 가지로 구분해 볼 수 있습니다.
원인 1. 선천적으로 턱뼈의 크기가 큰 경우

10대 때 영구치가 맹출하면서 치아가 가지런히 배열되는데, 이때부터 치아가 벌어진 채 유지되는 경우입니다.
이는 턱뼈가 수용할 공간이 매우 큰데 치아의 폭경의 합이 그에 크게 못 미칠 때 생기게 됩니다.
인 경우 치아 사이는 매워지지 않고 배열됩니다.


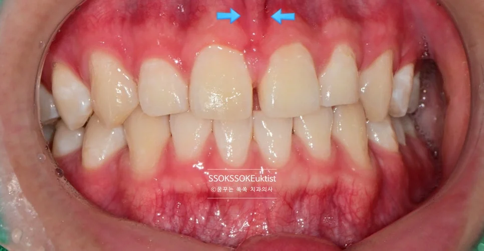
원인 2. 순소대의 과도한 발달
간혹 위 앞니 가운데에만 치아가 벌어진 경우도 있는데요,

순소대가 과도하게 발달하여 앞니 잇몸 근처까지 연장되어 있는 경우, 대문니 사이만 공간이 닫히지 않고 벌어져 있는 경우가 있습니다.
(순소대에 대한 다양한 이미지는 네이버에서 순소대를 검색해 보세요^^)
원인 3. 시간이 지나며 앞니가 점점 벌어지는 경우 (가장 중요!)
10대 때에는 그렇지 않았는데 시간이 지나며 조금씩 앞니가 벌어지는 경우가 있는데요, 사실 선천적으로 결정되는 위의 두 가지 경우보다 이 경우가 더 중요합니다^^
원인을 알면 예방과 관리가 가능하거든요!
이걸 이해하기 위해서는 ‘상호보호교합’이라는 개념을 먼저 이해할 필요가 있습니다.
어금니가 닿을 때 앞니가 떠 있고(1~2mm), 앞니가 기능할 때(깨물 때) 어금니가 떠 있는 게 좋다는 개념입니다!
쉽죠? 서로 다른 기능을 하는 어금니와 앞니가 동시에 닿지 않는 것이 좋다는 개념입니다!
그런데 말입니다 — 시간이 흐를수록 힘을 많이 받는 어금니는 많이 닳아 높이가 낮아지게 되고, 어느 순간 어금니와 앞니가 동시에 닿는 때가 오는데요,

Centric Occlusion(CO) 시 앞니가 떠 있는 이상적인 교합 일러스트
이때부터 앞니는 과도한 힘을 받게 됩니다. 특히 경사져있는 윗니가, 수직으로 있는 아랫니에 의해 힘을 받으면 버티지 못하고 벌어지거나 내려오게 됩니다ㅜ


그러면 어떻게 하면 될까요?
- 치아 사이가 벌어진 부분은 메워주고
- 닿는 점은 조정해 주어야
치료와 재발 방지를 동시에 할 수 있습니다. 그냥 공간만 매우면 일정 시간이 지나 조금씩 다시 벌어지는 일이 생길 수 있습니다ㅜ


이렇게 단순히 앞니 레진은 치료뿐 아니라 꼼꼼히 따질 것들이 많은데요.
벌어진 앞니, 레진으로 어떻게 치료할까?
앞니가 벌어진 경우 레진, 라미네이트, 크라운 세 가지를 생각해 볼 수 있는데요, 그중에서도 레진은
- 가장 치아의 손상이 적고
- 당일에 치료가 종료되며
- 비교적 아주 심미적인 특징이 있습니다
한편 그런 장점에 비해 난도가 너무 어려워 많은 치과의사들이 치료하기를 꺼려 하는데요, 그래서 앞니 레진 치료를 고민하시는 분이라면 강서구 마곡 치과의 후기나 치료 사례를 꼼꼼히 살펴본 후 내원하시길 추천드립니다.

측면에서 바라본 사진입니다. 생각보다 틈이 커서 한 치아만 치료할 경우 한 개 치아만 너무 커 보이는 게 될 것 같아, 양쪽 치아 모두 레진으로 치료하는 것이 좋습니다.
레진 치료는 어떻게 하면 될까요? 그저 예쁘게 치료하면 됩니다^^ 복잡한 치료 내용들은 굳이 아실 필요 없습니다^^

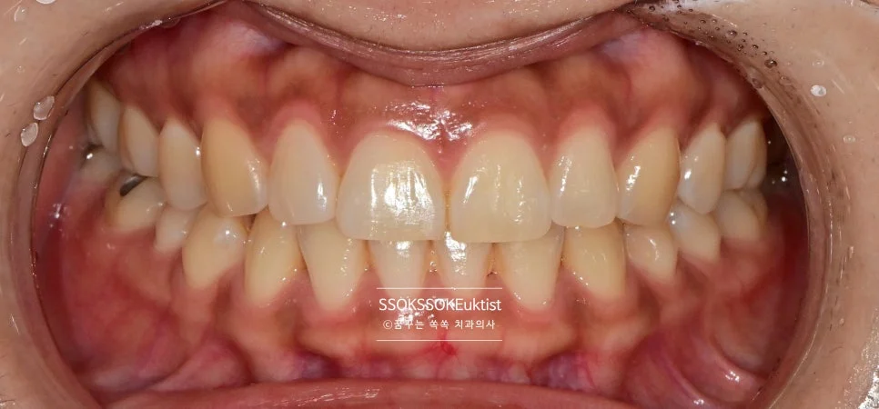
예쁘게 잘 치료된 것 같으신가요? 그럼 그냥 OK입니다!
그리고 안쪽에 닿는 점을 조정하여 치아가 벌어지는 경향을 최소화해주면 치료는 종결됩니다.

한 달 정도 후의 모습으로, 비교적 잘 유지되고 있는 것을 확인할 수 있습니다!
앞니 레진 치료, 어떤 치과를 선택해야 할까?
앞니 레진 치료를 고민하고 계시다면 어떤 치과에 가야 할까요?
기준 1. 레진 치료의 결과를 확인할 수 있는 치과
상당한 난도를 자랑하는 치료이기에, 이 치료를 할 줄 아는지 잘 하는지 확인을 한 후 내원하여 치료를 결정하는 것이 좋습니다. 깔끔하게 예쁘게 치료하는 치과를 찾으면 됩니다!
기준 2. 원인을 제시하고 해결/관리하는 치과
앞서 말씀드린 것처럼, 점차 앞니가 벌어지고 있는 경우에는 원인을 분석하고 그것을 예방하는 게 너무 중요합니다. 1~2년 쓰다 바꿀 것 아니잖아요^^; 앞니가 벌어지는 원인을 알고, 꾸준한 정기검진으로 추가적인 벌어짐을 예방할 수 있는 치과를 찾으시길 바랍니다!^^
오늘은 앞니 벌어짐에 대해 레진 치료를 통해 해결한 내용을 포스팅해 봤습니다.
- 앞니가 점점 벌어지고 있다고 느끼시는 분
- 벌어진 앞니가 고민이신 분
- 중요한 행사/일정을 앞두고 앞니 치료를 원하시는 분
들게 도움이 되는 정보였길 바랍니다!^^
자주 묻는 질문 (Q&A)
Q. 앞니 레진 치료는 하루 만에 끝나나요?
네, 레진 치료의 큰 장점 중 하나가 바로 당일 치료 종료입니다. 라미네이트나 크라운처럼 본을 뜨고 기다릴 필요 없이, 내원 당일 레진을 직접 쌓아 올려 치료를 완성합니다. 보통 1~2시간 정도 소요되며, 치료 후 바로 일상생활이 가능합니다.
Q. 레진으로 메운 앞니는 얼마나 유지되나요?
교합 조정이 함께 이루어졌다면 상당히 오래 유지됩니다. 위 케이스처럼 10개월 후에도 잘 유지되는 모습을 확인할 수 있습니다. 다만 레진은 자연치보다 마모에 약하므로, 정기적인 검진을 통해 상태를 확인하고 필요 시 보수하면 장기간 사용이 가능합니다.
Q. 상호보호교합 조정은 꼭 필요한가요?
시간이 지나면서 앞니가 점점 벌어진 경우라면 반드시 필요합니다. 공간만 메우고 교합 조정을 하지 않으면, 앞니에 계속 과도한 힘이 가해져서 다시 벌어질 수 있습니다. 레진 치료와 교합 조정을 동시에 해야 치료 효과를 오래 유지할 수 있습니다.
Q. 앞니 레진 치료 비용은 어느 정도인가요?
앞니 레진 치료는 비급여 항목으로 치과마다 차이가 있습니다. 일반 레진 충전보다 높은 난도의 심미 레진 치료이므로, 정확한 비용은 내원 상담 시 확인하시는 것이 좋습니다. 라미네이트나 크라운에 비하면 상대적으로 합리적인 비용입니다.
Q. 레진, 라미네이트, 크라운 중 어떤 걸 선택해야 하나요?
벌어짐의 정도와 치아 상태에 따라 달라집니다. 틈이 크지 않고 치아 형태가 양호하면 레진이 가장 보존적인 선택입니다. 틈이 매우 크거나 치아 형태 자체를 바꿔야 할 경우 라미네이트나 크라운을 고려할 수 있습니다. 서울쏙쏙치과에서는 가능한 한 자연 치아를 최대한 보존하는 방향으로 치료를 권해드리고 있습니다.
좋은 진료를 정직하게 | 선한 영향력으로 더 나은 가치를
꿈꾸는 쏙쏙 치과의사 박상억이었습니다.