좋은 진료를 정직하게 | 선한 영향력으로 더 나은 가치를
앞니 벌어짐 레진 치료, 당일 끝나는 심미 복원의 핵심은?
강서구 마곡 서울쏙쏙치과 꿈꾸는 쏙쏙 치과의사 박상억입니다^^
안녕하세요^^
앞니 문제로 치과에 오시면 “앞니 충치나 옛날에 때운 게 떨어졌는데, 혹은 앞니가 벌어졌을 때 그냥 예쁘게 메우면 되는 거 아닌가요?”라는 질문을 종종 듣습니다.
겉보기에는 간단해 보이는 앞니 레진 치료지만, 실제로는 난도가 꽤 높은 진료랍니다.
이번 포스팅에선 앞니 레진 치료의 장점, 그리고 왜 많은 치과에서 기피하는지와 난도별 실제 예시를 통해 자세하게 말씀드리고자 합니다.
앞니 심미 치료가 필요하신가요? 5분만 집중하시면 끝까지 보시면 그 해답을 찾을 수 있으실 겁니다 🙂
앞니 레진 치료의 3가지 장점은?
앞니 치료에서 레진은 라미네이트나 크라운과 비교했을 때 여러 가지 장점을 가지고 있습니다.
- 당일 진료 종료
라미네이트나 크라운은 최소 2회 이상 내원이 필요합니다. 하지만 레진은 충치 제거와 함께 즉시 충전이 가능하기 때문에 치료 당일에 모든 치료가 마무리됩니다. - 치아 삭제가 최소
라미네이트나 크라운은 치아를 일정 부분 삭제해야 하지만, 레진은 충치나 손상 부위만 제거하고 메우는 방식이기 때문에 자연 치아를 최대한 보존할 수 있습니다. - 비용이 합리적
앞니 레진은 라미네이트·크라운에 비해 치료비가 훨씬 저렴합니다. 환자분 입장에서는 앞니 심미 복원에 있어 비용 부담을 크게 줄일 수 있습니다.
즉, 앞니 심미 복원을 레진으로 치료한다면, 시간·치아·지갑 세 마리 토끼를 한 번에 잡을 수 있는 치료죠.
앞니 레진이 어려운 이유는?
앞니 레진은 장점이 많음에도 불구하고, 사실 많은 치과의사들이 난도가 높아 기피하는 진료입니다. 그 이유는 다음과 같습니다.
앞니는 시야가 좁고, 잇몸과 닿아 있는 경우가 많습니다. 치료 중 피가 조금이라도 나면 레진 접착이 방해를 받아 실패할 수 있습니다. 그래서 철저히 건조하고 깨끗한 환경에서 작업해야 합니다.
앞니는 웃을 때 가장 눈에 잘 띄는 부위죠. 따라서 색상이 조금이라도 어긋나면 환자분이 바로 알아차립니다. 레진은 빛 반사, 투명도, 색조가 미묘하게 달라질 수 있어 자연치와 완벽히 조화를 이루게 하는 것이 쉽지 않습니다. (특히나 치료 결과에 대한 기준이 다르기에 모두를 만족하기란 정말 어렵겠죠.)
레진은 단순히 구멍을 메우는 게 아니라, 원래의 치아 형태와 표면 질감을 살려야 합니다. 경계를 매끄럽게 다듬지 못하면 음식물이 잘 끼고, 시간이 지나면 경계가 착색되어 다시 보기가 좋지 않게 됩니다.
즉, 심미성과 기능성 두 가지를 모두 만족시키려면 고도의 손기술과 섬세함이 필요하기에 난도가 매우 높다고 볼 수 있겠죠.
난도별 치료 예시 — 4가지 증례
앞니 레진 치료는 난이도를 몇 가지로 나눌 수 있습니다.
난이도 쉬운 편 — 단순 파절, 색 맞추기만 잘 하면 당일 간단히 완료
Case 1. 위 앞니의 끝 쪽이 파절된 상태입니다.
앞니 레진으로 깔끔하게 복원이 된 모습입니다 🙂
Case 2. 두 번째 케이스는 오른쪽 위 앞니의 씹는 부위가 깨져 나갔는데요.
역시나 앞니 레진으로 심미성과 기능성 모두 복원이 된 모습입니다. 🙂
난이도 어려운 편 — 다이아스테마(앞니 벌어짐) 레진 복원
앞니 사이 벌어진 공간(다이아스테마)을 교정이나 크라운, 라미네이트 대신 레진으로 심미적 복원이 필요한 상태입니다.
Case 3. 사이 공간이 벌어져 있어 실제로 보게 되면 인상에 큰 영향을 주는 상태로 볼 수 있죠.
치아 사이의 틈이 많이 좁아 양쪽을 모두 레진으로 치료하기엔 공간을 분배하는 게 쉽지 않습니다. 이런 경우 한 쪽 치아만 치료하여도 크게 차이 없이 자연스러운 모양을 잡을 수 있습니다.
사진을 바라봤을 때 왼쪽의 치아만 치료한 경우입니다 (환자의 오른쪽 치아). 한쪽만 치료하였음에도 생각보다 예쁘게 잘 치료된 것 같죠?^^
난이도 매우 어려운 편 — 심한 다이아스테마 + 변색 레진 재치료
앞니 사이 벌어진 공간(다이아스테마)이 심해 치아 모양과 투명도를 다시 디자인해야 하며, 색상·질감 조화가 매우 어렵습니다.
Case 4. 앞니 레진 치료에 있어 가장 어려운 부분은
- 공간이 아주 큰 경우
- 기존에 먼저 치료되어 있는 레진이 있는 경우
로 볼 수 있습니다.
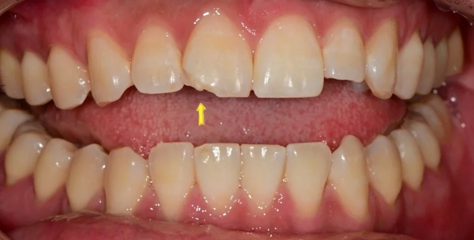
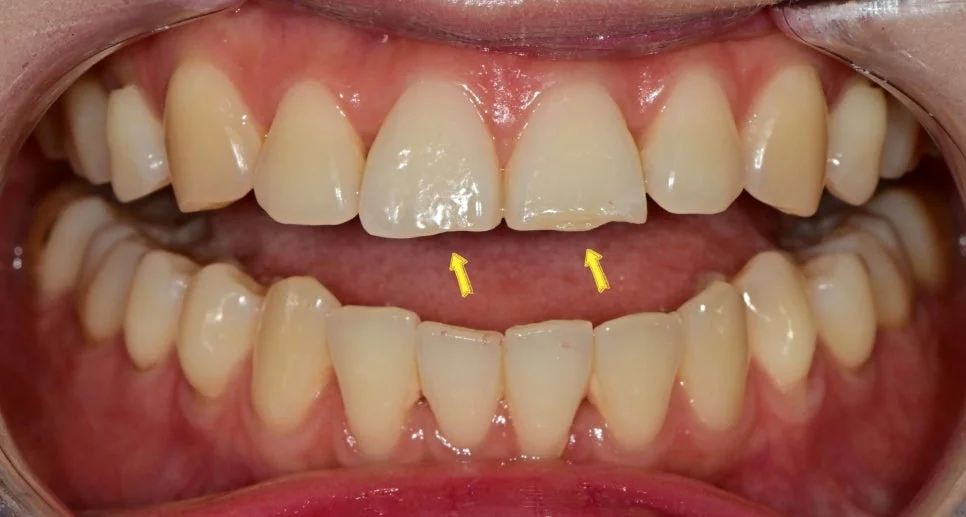
Case 4 Before — 심한 다이아스테마 + 기존 변색 레진 상태 (화살표)
특히 기존에 치료한 레진이 있는 경우 기존 레진을 모두 제거하는 것이 아주 어려운데요. 비록 변색되고 오염된 레진이라고 해도 일부분은 치아와 접착이 되어 있고 치아와 가까워질수록 육안으로는 거의 구분이 되지 않거든요ㅜ
혹여나 잔여 레진이 남아 있는 경우 그 부분은 새로 붙이는 레진과 접착이 이루어지지 않아
- 시간이 지나면서 가장 먼저 변색되고 오염되며
- 전체 레진의 접착력을 떨어뜨립니다
(한편, 잇몸 근처의 레진을 제거할 때 피 한 방울 흘리지 않게 해야 하기에 이것도 상당한 난도가 있습니다^^)
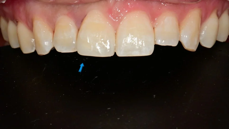
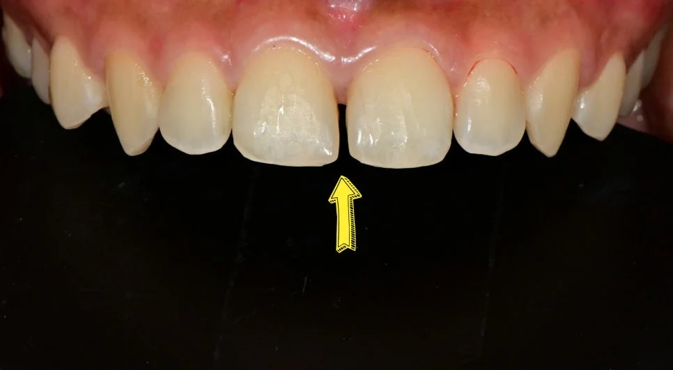
위 앞니 양쪽 레진 제거 후 재복원 — 비교적 자연스러운가요?^^
양쪽의 레진을 제거하고 앞니를 레진으로 복원해 보았습니다. 비교적 자연스러운가요?^^
한편 아래 치아로 한 부분만 치료해 보려 합니다.
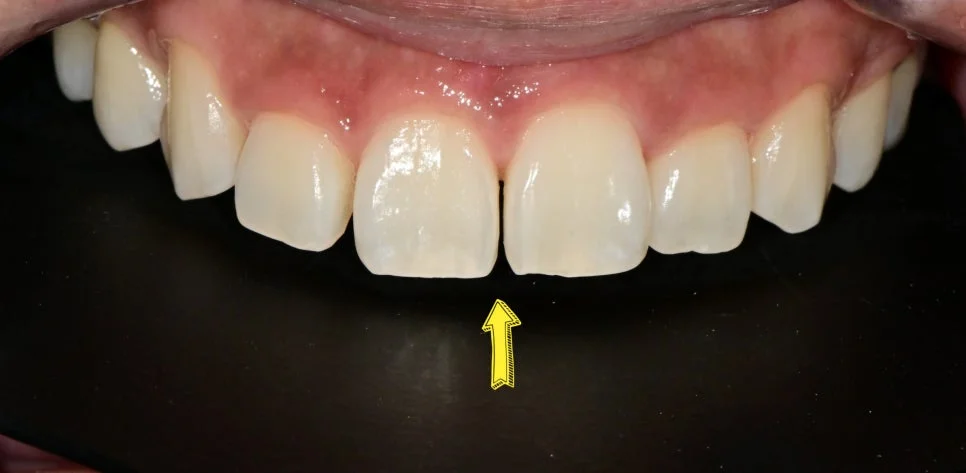
아래 앞니 — 잇몸 근처까지 있던 기존 레진을 모두 제거하고 재치료
잇몸 근처까지 치료되어 있는 기존의 레진을 모두 제거하고 레진으로 다시 치료를 해드렸습니다.
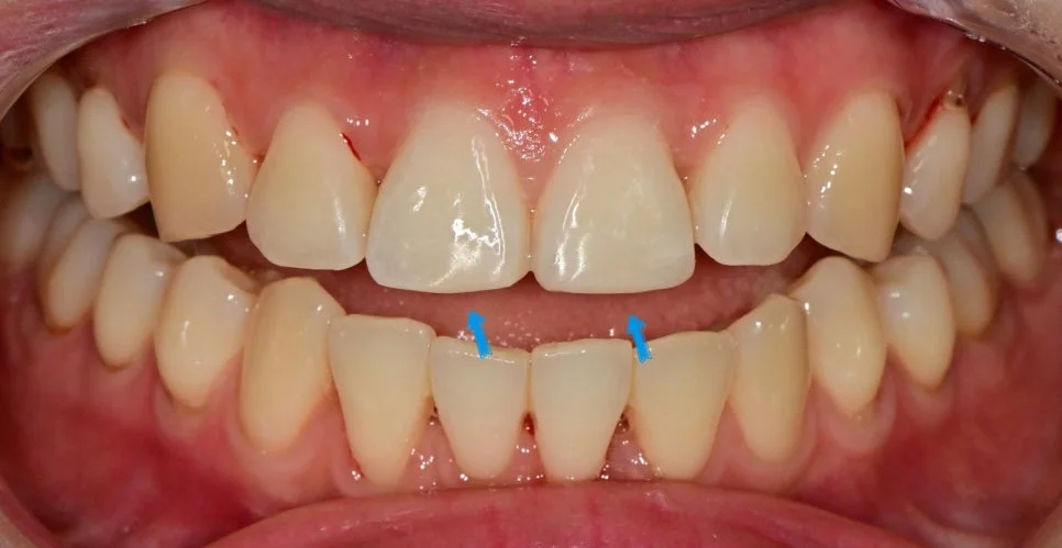
Case 4 최종 결과 — 전보다 훨씬 자연스러워진 모습!
전보다는 훨씬 자연스러워진 모습입니다!^^
많은 치과가 기피하는 이유는 바로 이 매우 어려운 고난도 레진 때문입니다. 단순히 레진으로 메우는 수준이 아니라 경험과 기술의 차이로 정밀한 작업이 요구되기 때문인데요.
남들이 꺼리는 치료를 더 꼼꼼하고 정밀하게 해내는 것 — 이런 게 정말 잘하는 치과로 볼 수 있겠죠.
앞니 레진은 겉보기엔 쉬워 보여도, 실제로는 가장 까다로운 진료 중 하나입니다.
하지만 제대로만 하면 라미네이트나 크라운을 하지 않고도 충분히 자연스럽고 심미적인 결과를 얻을 수 있습니다.
혹시 앞니 충치나 레진이 고민되신다면, “메우는 치료”가 아닌 “복원하는 치료”로 생각하시길 권해드립니다.
그리고 저희는 그 복원을 티 안 나게, 예쁘게, 당일에 해드립니다.
벌어지거나 부러짐 등 앞니 레진이 필요한 분들께 오늘의 정보가 큰 도움이 되기를 바랍니다^^
끝까지 읽어주셔서 감사합니다. 또 봐요 ~
자주 묻는 질문 (Q&A)
Q. 앞니 레진 치료는 정말 당일에 끝나나요?
네, 대부분의 앞니 레진 치료는 당일 1회 방문으로 마무리됩니다. 라미네이트나 크라운과 달리 본뜨기나 기공 과정이 필요 없기 때문입니다. 다만 다이아스테마가 심하거나 여러 치아를 동시에 치료해야 하는 고난도 케이스는 치료 시간이 다소 길어질 수 있습니다.
Q. 앞니 벌어짐(다이아스테마)은 교정 없이 레진만으로 해결 가능한가요?
벌어진 정도에 따라 다릅니다. 간격이 크지 않은 경우 레진만으로도 자연스러운 결과를 얻을 수 있습니다. 공간이 좁으면 한쪽 치아만 치료해도 충분하고, 공간이 넓으면 양쪽 모두 레진을 적용합니다. 다만 간격이 매우 넓거나 교합 문제가 동반된 경우에는 교정 치료가 더 적합할 수 있으므로 정확한 진단이 중요합니다.
Q. 앞니 레진 치료 후 변색되면 어떻게 하나요?
레진은 시간이 지남에 따라 약간의 변색이 생길 수 있습니다. 하지만 정밀하게 경계 처리를 하고 접착을 제대로 했다면 변색 속도가 훨씬 느립니다. 변색이 진행되었을 때는 기존 레진을 깨끗이 제거하고 재치료할 수 있으며, 치아 삭제가 추가로 필요하지 않아 반복 치료에도 부담이 적습니다.
Q. 앞니 레진과 라미네이트 중 어떤 것을 선택해야 하나요?
치아 삭제를 최소화하고 싶다면 레진이 우선적으로 추천됩니다. 레진은 손상 부위만 복원하므로 건전한 치질을 최대한 보존합니다. 반면 라미네이트는 치아 전면을 얇게 삭제해야 하지만, 색상 균일성이나 내구성 면에서 장점이 있습니다. 환자분의 치아 상태와 심미적 기대치에 따라 적합한 방법이 다르므로 전문의와 상담하시길 권합니다.
Q. 기존에 치료한 앞니 레진이 변색되었는데, 재치료가 어렵다고 들었습니다. 왜 그런가요?
기존 레진 재치료가 어려운 이유는 치아와 오래된 레진의 경계를 육안으로 구분하기가 매우 어렵기 때문입니다. 잔여 레진이 남으면 새 레진과의 접착이 불완전해져 다시 변색되거나 떨어질 수 있습니다. 또한 잇몸 근처의 레진을 제거할 때 출혈 없이 작업해야 하므로 고도의 기술이 필요합니다. 경험이 풍부한 치과에서 치료받으시는 것을 권장합니다.
1,821개 전치부 레진 수복물의 체계적 문헌 고찰에서 연간 실패율 0~4.1%로 나타났습니다. 파절과 심미적 변색이 주요 실패 원인이며, 숙련된 술자의 정밀한 시술이 장기 수명의 핵심입니다.
— Demarco FF et al. (2015), Dent Mater, 31(10):1214-1224
좋은 진료를 정직하게 | 선한 영향력으로 더 나은 가치를
강서구 마곡 서울쏙쏙치과 꿈꾸는 쏙쏙 치과의사 박상억이었습니다.
함께 읽으면 좋은 글
위 포스팅은 의료법에 의거하여 치료가 필요한 환자분들을 위한 정보제공 목적으로 업로드했습니다.