좋은 진료를 정직하게 | 선한 영향력으로 더 나은 가치를
마곡 신경치료 성공률과 비용, 어떤 치과를 찾아야 할까?
꿈꾸는 쏙쏙 치과의사 박상억입니다.
오늘의 주제는 ‘신경 치료’입니다.
주변을 둘러보면 ‘임플란트 잘 하는 치과’, ‘라미네이트를 잘 하는 치과’, ‘사랑니를 잘 빼는 치과’ 등의 광고는 흔히들 볼 수 있습니다만 ‘신경치료 잘하는 치과’ 들어 보신 적 있으신가요?
왜 유독 신경치료는 치과의사들이 주력 진료로 내세우지 않는 걸까요?
아무래도 제 생각에는 1. 신경치료의 높은 난도 그리고 2. 낮은 치료 비용 때문이지 않을까 생각합니다.
아무도 안 좋아하길래, 그러면 제가 하겠습니다!
저는 “신경 치료를 잘하는 치과”로 소문나고 싶네요!^^
신경치료 성공률은 얼마나 될까?
신경치료는 치과의사들 사이에서 “가장 어려운 진료”로 통합니다.

그래서 대부분의 치과에서는 신경치료에 들어가는 치아는 반드시 발치의 가능성이 있다고 설명하는 게 루틴이죠. 신경치료를 실패할 경우 발치해야 하는데, 미리 포석을 깔아두는 거죠;
대체 얼마나 어렵다는 건지 데이터를 확인해 볼까요?

일반적인 신경치료의 성공률은 85%~97%라 하네요. 논문에 따르면 신경치료를 한 치아의 10% 이상을 5~10년 내에 발치하게 된다는 뜻인데요.
신경치료보다 훨씬 어렵다는 재신경치료는 어떨까요?

재신경치료의 성공률은 60~85%라고 하네요. 재신경치료를 한 치아의 20% 이상을 5년 이내에 발치한다고 합니다. 그만큼 어려운 진료라는 뜻으로 볼 수 있습니다.
그런데 그렇게 어려운 신경치료를 밥 먹듯 하면서도 불편함 없이, 통증 없이 해내는 치과가 있다고요?
- 모든 신경관의 뿌리 끝까지 길을 찾는다
- 모든 신경관을 충분히 넓히고 소독한다
- 모든 신경관을 가득 채운다
신경치료 비용은 얼마나 할까?
위에 설명했듯 신경치료는 그만큼 어려운 진료인데, 신경치료는 국민건강보험에서 관할하는 소위 “보험 진료”이고 그 수가가 너무 낮게 책정되어 있어 열심히 하고 싶은 의지 자체를 꺾어버리기도 하죠ㅜ
우리의 친구 지피티에게 물어보았습니다. “미국에서 치아 신경치료를 할 경우 비용이 얼마야?”

미국과 우리나라의 상황을 비교하긴 그렇지만, 큰 어금니의 경우 신경치료 비용만 1000달러가 넘어가네요.
우리나라에선 어떨까요? 큰어금니 기준 3번에 치료가 마무리된다 하였을 때:


- 1회차: 34,900원 / 2회차: 19,000원 / 3회차: 19,900원
- 총 본인부담금: 약 73,800원
- ( X-ray, G.I wall, 야간 가산 등의 비용이 제외된 순수한 신경관 3개 치아의 신경치료 비용이기 때문에 실제 치료 비용과 상이할 수 있습니다 )
약 1,000달러 vs. 약 10만 원 — 대한민국 만세다 그렇죠?^^
결국 한국에서는 높은 치료의 난도와 고정된 낮은 치료 비용이 치과의사로 하여금 신경치료를 기피하게 합니다.
반대로 환자분의 입장에선 어떨까요? 먼저 매우 저렴하게 신경치료를 받을 수 있어서 좋습니다!
한편, 어디를 가든 똑같은 가격이라고 해서 아무 곳이나 가는 게 맞을까요? 기왕이면 잘 하는 곳을 찾는 게 좋지 않을까요?
신경치료는 어떻게 진행될까?
위에 말씀드린 듯 신경치료는 어려운 진료이지만, 신경치료의 원리는 의외로 간단합니다^^ 위에서 설명드린 신경치료의 핵심 세 가지를 짚고 넘어가겠습니다!
진단 단계

신경치료는 치아 내부의 신경(치수)이 1. 상당한 정도로 손상되었고 2. 그냥 두면 돌아오지 않을 것 같을 때 시행합니다.
신경이 손상된 정도는 보통 온도 반응을 보는데, 주변 치아보다 찬 것에 아주 예민하게 반응하거나, 혹은 뜨거운 것에 강한 통증이 있으면 신경치료가 필요한 치아로 볼 수 있습니다. 그 외에 살짝 두드려 보거나 단단한 물질을 깨물었을 때 통증을 보기도 합니다.
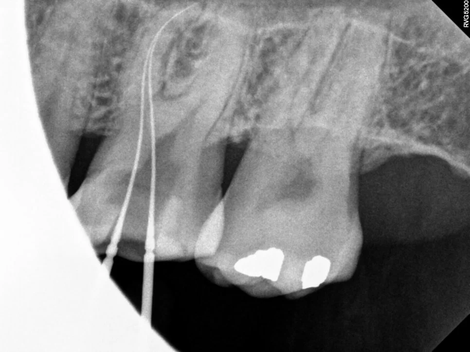
시술 과정 — 4번째 신경관 찾기
위 6, 7번째 어금니의 경우 뿌리는 3개, 신경관은 3개 혹은 4개를 가지고 있습니다. 하나의 뿌리에(MB) 2개의 신경관을 가지고 있는 셈인데, 이 중 50% 정도는 두 신경관이 하나로 합쳐집니다.
그래서 위 6, 7번째 어금니의 경우 3개의 신경관만 찾고 마무리하는 경우가 거의 대부분이죠;;
그러나 2개의 신경관이 각각 주행한다면? 그런데 3개만 찾고 신경치료를 마무리한다면? 신경관 하나를 찾지 않고 신경치료를 마무리한 셈이 되고, 결국 신경치료가 끝난 후에도 통증이 지속되는 원인이 됩니다.
(실제로 신경치료 후 통증의 가장 큰 이유는 missing canal, 즉 신경관을 찾지 못해서입니다;;)


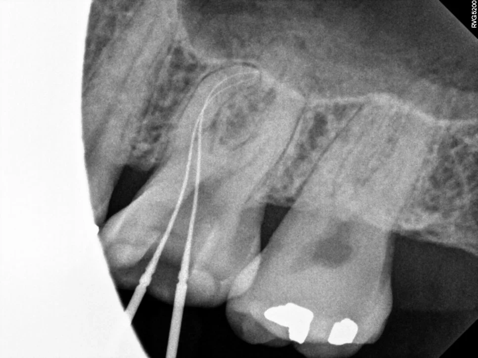
4번째 신경관이 보여 길을 찾아보았습니다. 같이 주행하는 것처럼 보이시나요?^^
약간 다른 각도로 촬영해 보니 두 개의 신경관이 각기 다른 길로 주행하고 있습니다. 이런 치아에서 다른 하나의 신경관을 찾지 못했다면 신경치료 후 통증의 원인이 될 수 있습니다.
근관충전 결과

사진에 표기된 두 개의 신경관이 하나의 뿌리에서 각기 주행하는 다른 신경관입니다! 이렇듯 치아 내부의 신경관은 복잡하고 변이가 많아 신경치료를 모두가 어려워하는 실정입니다^^
간혹은 신경 치료 과정에서도 큰 불편함 혹은 통증을 호소하시는 분들이 있는데요. 하지만 그 어려운 것을 편하게 해내는 치과가 있다고요?
신경치료가 완료된 후 촬영한 사진에서 모든 신경관이 가득 채워진 것 같으면 잘 된 신경치료로 볼 수 있습니다!
신경치료 후 크라운은 왜 필요할까?
신경치료는 치아 가운데 hole을 퐁 뚫어 진행하기에, 치료가 끝난 후에는 감싸주어야 합니다. 그것을 크라운 치료라고 하며, 치아에 적합한 예쁜 모자를 씌워주는 것으로 이해하면 됩니다^^

크라운 치료를 위한 치아를 다듬어, 치아에 모자가 예쁘게 들어갈 수 있게끔 준비합니다. 이후 주변 치아와의 긴밀한 관계(빡빡한 사이 틈)와 적절한 높이를 확인한 후 접착하면 치료는 종결됩니다.
마무리
오늘은 신경치료 성공률, 비용 그리고 잘하는 신경치료에 대해 설명드렸는데요. 치아는 한 번 아파본 분이라면 누구나 공감하듯 그 통증의 정도가 매우 심합니다.
그렇게 힘겹게 신경치료를 하였는데, 치료 과정에서도 통증 및 불편함이 크거나, 심지어 치료가 종료되고 나서 통증이 생긴다면, 그래서 또다시 재신경치료를 해야 한다면!! 너무 힘든 일이겠죠?ㅜ
치아의 통증을 겪고 계신 분들, 그로 인해 신경치료를 고민하시는 분들께 도움이 되는 정보였으면 좋겠습니다^^
자주 묻는 질문 (Q&A)
Q. 신경치료는 아프지 않나요?
충분한 마취 후 진행하기 때문에 치료 중 통증은 거의 없습니다. 간혹 염증이 심한 경우 마취가 잘 안 되는 경우가 있지만, 추가 마취와 적절한 처치로 통증 없이 진행할 수 있습니다. 서울쏙쏙치과에서는 신경치료 후 통증을 호소하는 분이 거의 없을 정도로 꼼꼼하게 치료합니다.
Q. 신경치료는 몇 번 받아야 하나요?
일반적으로 2~3회 내원이 필요합니다. 치아 상태나 신경관의 복잡도에 따라 횟수가 달라질 수 있으며, 재신경치료의 경우 더 많은 내원이 필요할 수 있습니다.
Q. 신경치료 후 크라운을 안 하면 어떻게 되나요?
신경치료를 받은 치아는 내부가 비어 있어 깨지기 쉽습니다. 크라운 없이 방치하면 치아가 파절되어 결국 발치해야 하는 경우가 생길 수 있습니다. 신경치료 후에는 반드시 크라운으로 보호하는 것이 좋습니다.
Q. 신경치료 후에도 계속 아프면 어떻게 해야 하나요?
신경치료 직후 2~3일간 약간의 불편감은 정상입니다. 하지만 1주일 이상 통증이 지속되거나 심해진다면 missing canal(찾지 못한 신경관) 등의 원인이 있을 수 있으므로, 신경치료를 잘하는 치과에서 정밀 검사를 받아보시는 것이 좋습니다.
Q. 강서구에서 신경치료 잘하는 치과를 찾고 있는데 어떻게 골라야 하나요?
신경치료는 건강보험 적용이라 어디를 가든 비용은 비슷합니다. 그렇기 때문에 기왕이면 실력 있는 곳을 찾는 것이 중요합니다. 실제 케이스 사진을 공개하고, 4번째 신경관(MB2)까지 찾아서 치료하는 치과를 선택하시면 좋습니다.
함께 읽으면 좋은 글
좋은 진료를 정직하게
선한 영향력으로 더 나은 가치를
꿈꾸는 쏙쏙 치과의사 박상억이었습니다.
서울쏙쏙치과의원 | 서울특별시 강서구 공항대로 186, 206~208호