좋은 진료를 정직하게 | 선한 영향력으로 더 나은 가치를
원데이 치아 미백 효과는 얼마나 될까? 4가지 증례와 비용 총정리
강서구 마곡 서울쏙쏙치과 박상억입니다 ^^
안녕하세요^^
오늘은 치아 미백에 대해 알아보려 합니다.
누구나 하얗고 맑은 치아를 얻고 싶어 하실 테죠?
치아 미백이라는 것도 들어보고 생각도 해보았는데 혹시 치아 미백을 망설이고 계시나요?
치아 미백을 망설이고 있다면 그 이유는 무엇일까 제가 한번 생각해 봤는데요. 아마도
- 치아 미백의 효과가 어느 정도인지 명확하지 않아서
- 치아 미백의 비용이 어느 정도인지 몰라서
- 치아 미백의 과정이 어떻게 진행되는지 몰라서
이지 않을까 생각해 봅니다.
그래서 오늘은 이 궁금증에 대해 깔끔하게 해결해 드리려 합니다!^^
5분만 시간 내어 따라와 주세요~!
치아 미백이란 무엇일까?
치아 미백은 누런 색상의 치아를 하얀 느낌이 나게끔 밝게 만드는 시술을 말합니다.
치아 미백의 유효 성분은 우리가 아주 잘 알고 있는 과산화수소입니다.
물 분자보다 산소 하나가 더 많은, 아주 작은 분자인 과산화수소는 치아 표면에 접촉하면 치아 내부로 침투하여 내부 조직인 상아질에서 치아를 노랗게 만드는 유기물질을 분해하는데요.
이로 인해 치아의 색이 하얗게 밝아지게 됩니다.
결국 치아 내부에 얼마나 과산화수소가 많이 도달하느냐가 치아 미백의 효과를 결정하는 요소가 되고
으로 볼 수 있습니다!
과산화수소의 농도는 제품별로 어느 정도 정해져 있기 때문에 치아 미백의 효과는 치아 미백의 시간에 의존한다 생각하시면 될 것 같고요.
그래서 최대한 오래 많이 하면 무조건 아주 하얀 치아를 만들 수 있습니다^^
치아 미백제는 광조사 하에 놓였을 때 15분 정도 높은 농도를 유지한다고 보고되고 있습니다. 그래서 치아 미백은 1 사이클을 15분~20분으로 잡게 되는데요.
이것을 하루에 3번 반복하는 것이 원데이 치아 미백이라고 불리고 있습니다! 하루에 최대한 많은 시간을 써서 치아 미백의 효과를 극대화하는 것인데요.
단 하나의 조건! 치아가 시리지 않다는 조건하에 1시간 정도의 시간 안에 3사이클을 진행하는 것입니다.
이해가 되셨을까요?^^
원데이 치아 미백 효과는 어떨까? (4가지 증례)
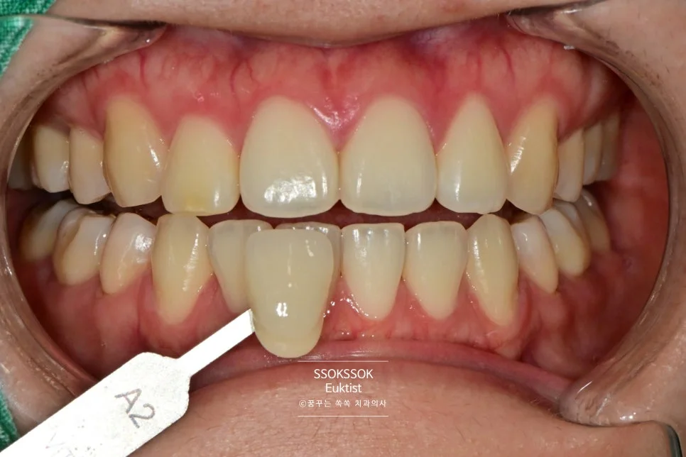
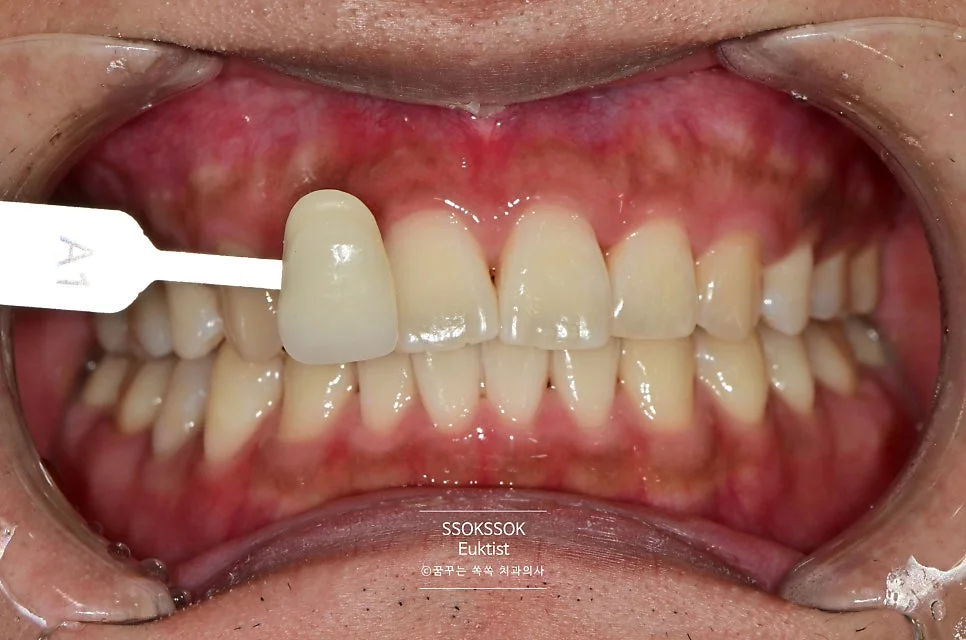
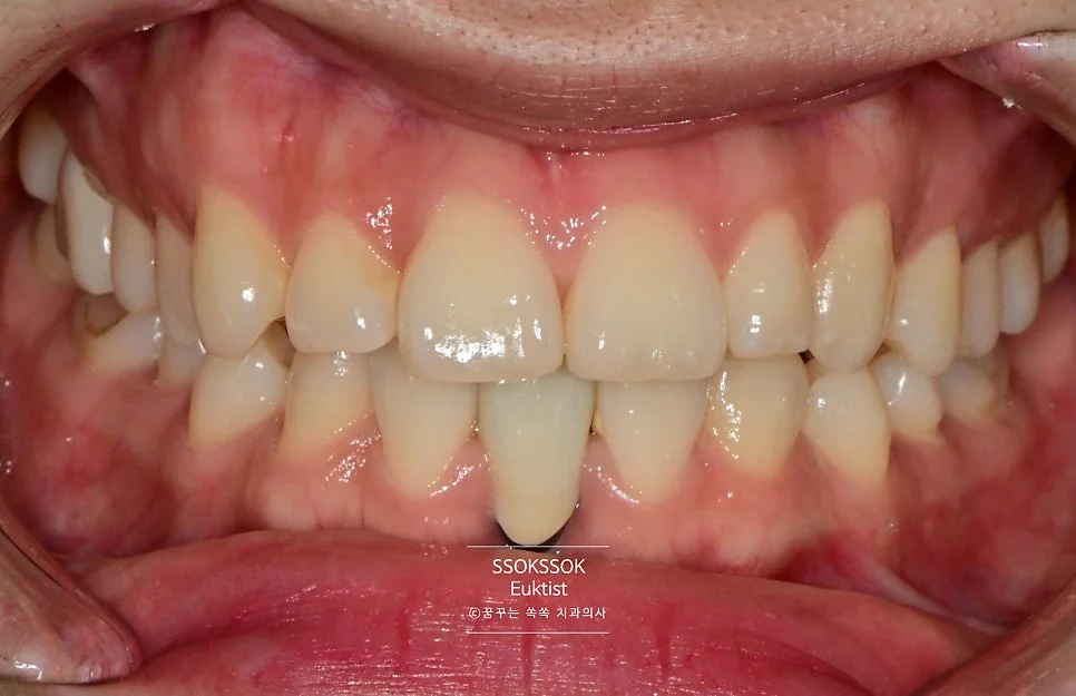
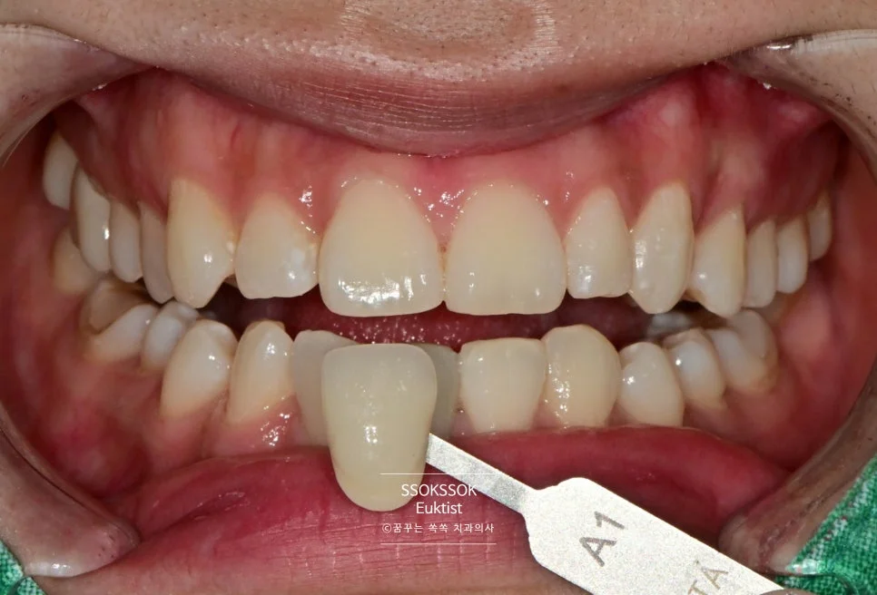
Case 1. 쉐이드 A2 → A1+ (15min x 3 cycle)


Shade-guide 기준 A2와 유사하거나 살짝 밝은 치아가 원데이 치아 미백 15분 x 3 cycle 후


Shade-guide 기준 A1보다 훨씬 밝은 치아가 되었네요~^^
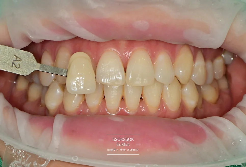
Case 2. 쉐이드 A3+ → A2~A1 (15min x 4회, 1회 서비스)


Shade-Guide 기준 A3보다 어두웠던 치아가 원데이 치아 미백 15min x 4회(1회 서비스) 진행 후


Shade-guide 기준 A2보다는 밝고

A1보다는 어두운 치아가 되었네요.
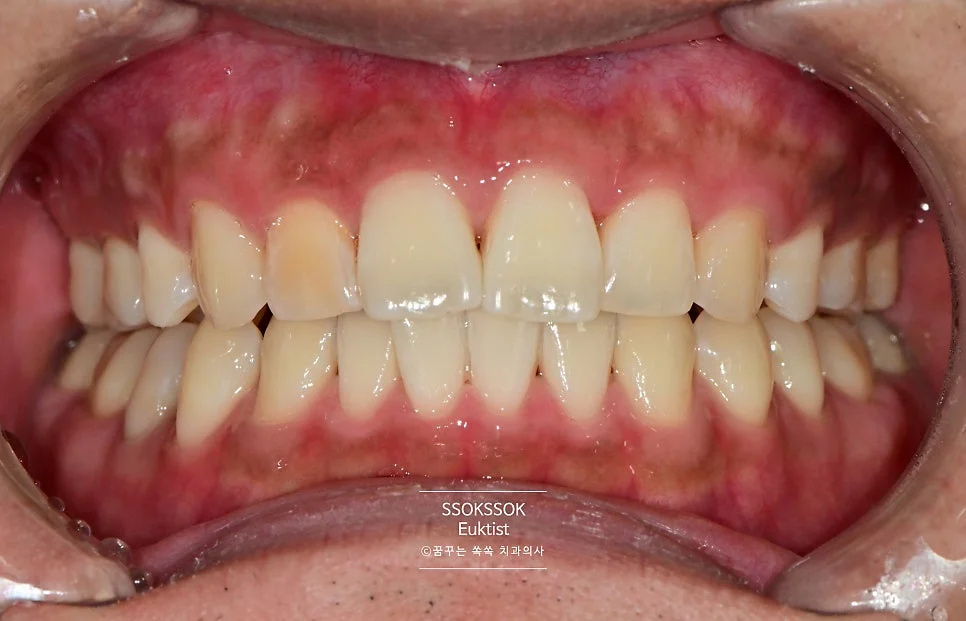
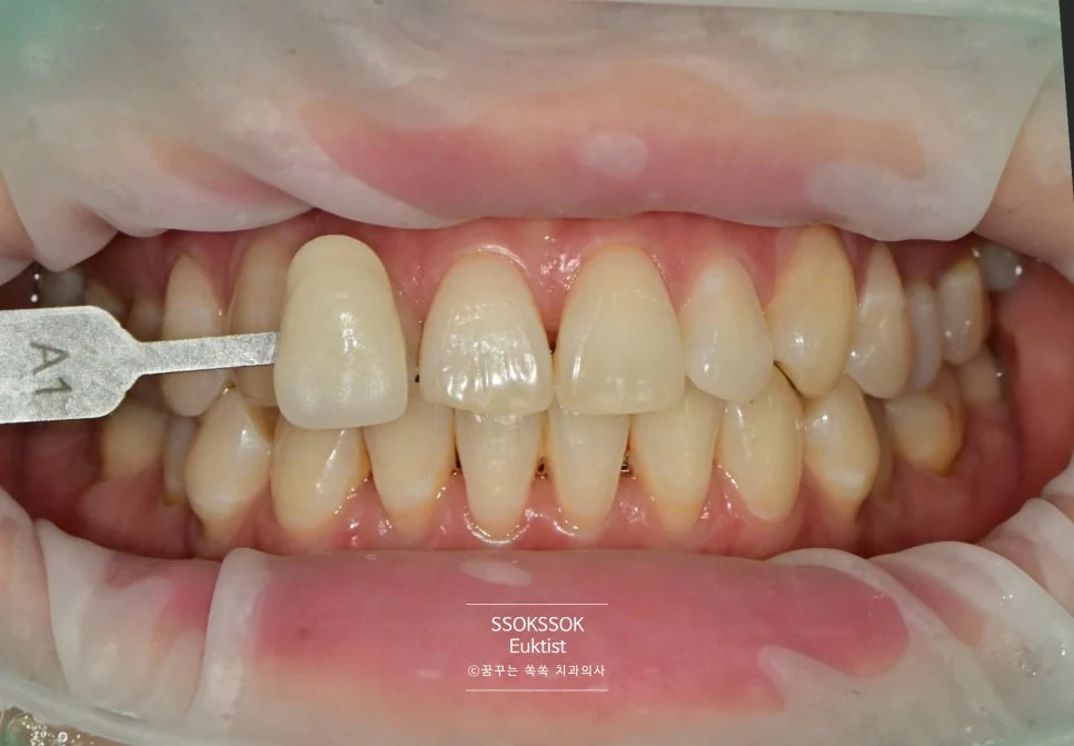
Case 3. 쉐이드 A2~A1 → B1+ (15min x 4회, 1회 서비스)


Shade-guide 기준 A2보다는 밝고

Shade-guide 기준 A1보다는 어두운 치아가 원데이 치아 미백 15min x 4회(1회 서비스) 진행한 후


shade-guide 기준 가장 밝은 색인 B1보다도 밝고

미백 전용 shade-guide M1 0.5보다 살짝 어두운 색상이 되었네요^^
반짝반짝 이만 보일 것 같아요!
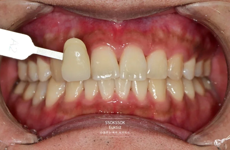
Case 4. 쉐이드 A2 → B1+ (시림으로 2회 방문, 각 2 cycle)


Shade-guide 기준 A2보다 비슷하거나 살짝 밝았던 치아가 원데이 치아미백 15min x 2회 (치아가 시려 하시면 중단할 수밖에 없습니다ㅜ) 진행 후
[ 1차 방문 – 15min x 2 cycle ]


Shade-guide 기준 A1보다 밝은 치아가 되었습니다^^
2 cycle만으로도 어느 정도 효과가 나왔으니 된 거냐?
그럴 리가요~^^
다음에 한 번 더 모셔서 남은 미백을 진행합니다!
[ 2차 방문 – 미백 후 2일 후 재내원 ]
치아 미백 후 2일 후 재내원하여


Shade-guide 기준 A2보다 한층 밝아진 치아에서 원데이 치아미백 15min x 2회(1회 서비스) 진행 후


Shade-guide 기준 B1보다 더 밝은 치아가 되었네요^^
그런 경우에는 한 번 더 약속을 잡아서 추가로 치아 미백을 진행해 드리고 있습니다! 이런 치과가 다 있다고요?
원데이 치아 미백 비용은 얼마일까?
치아 미백의 효과는 이제 충분히 살펴보셨을까요?
그러면 또 하나의 궁금증인 치아 미백의 비용에 대해 소개해 드리겠습니다.
치아 미백은 치과 진료 중 과세 상품으로 진료비에 세금을 부과하게 되어 있습니다. 때문에 치아 미백의 비용은 VAT 포함 기준으로 설명드리겠습니다!^^
치아 미백의 비용은 치과마다 가격이 다 다르게 마련인데요! 치아 미백제의 종류, 사용하는 용량 등에 따라 조금씩 비용에 편차가 있습니다.
- 15min 1cycle 기준: 7만 원 ~ 15만 원
- 원데이 치아 미백 (15min x 3cycle): 20만 원 ~ 30만 원
* VAT 포함 기준 / 치료를 희망하시는 치과에 직접 문의해 보시면 명확하게 답변을 들으실 수 있습니다~^^
오늘은 단 하루의 투자로 밝은 치아를 가질 수 있는 강서구 치과 원데이 치아 미백에 대해 소개해 드려 봤는데요^^
혹시 여러분들 치아는 포토샵으로 보정이 안된다는 사실 알고 계셨나요? (경험해 봐서 알고 있습니다^^;;)
때문에 웨딩촬영, 결혼식 등을 앞두고 계신 분들께서 강서구 마곡 서울쏙쏙치과를 많이들 찾아주시고 계십니다!
오늘의 포스팅이 치아 미백을 고려하고 계신 분들께 선택하시는 데 도움이 되는 좋은 정보였으면 좋겠습니다.
또 만나요~^^
자주 묻는 질문 (Q&A)
Q. 원데이 치아 미백 시술이 아프지는 않나요?
시술 중에는 대부분 통증 없이 편안하게 받으실 수 있습니다. 일부 분들은 일시적으로 시림 증상을 경험할 수 있지만, 대부분 하루 이틀 내로 사라집니다. 강서구 서울쏙쏙치과에서는 환자분의 상태에 맞게 미백제 농도와 시간을 조절하여 불편함을 최소화하고 있습니다. 시림이 심할 경우에는 사이클 수를 줄이고 다음 방문에 추가로 진행해 드리고 있습니다.
Q. 원데이 치아 미백 비용이 궁금해요!
원데이 전문가 미백의 비용은 사용하는 약재와 치아 미백 시간, 횟수에 따라 차이가 있습니다. 보통 원데이 치아 미백 15분 x 3 cycle 기준 약 20만 원 ~ 30만 원대(VAT 포함)로 생각하시면 될 것 같습니다. 서울쏙쏙치과에서는 상담 시 정확한 비용을 안내해 드리고 있습니다.
Q. 치아 미백 효과는 얼마나 유지되나요?
개인의 식습관, 구강 관리 상태에 따라 다르지만 일반적으로 6개월에서 1년 정도 유지됩니다. 커피, 와인, 카레 등 착색이 잘 되는 음식을 자주 섭취하면 유지 기간이 짧아질 수 있으며, 정기적인 관리 미백을 병행하면 더 오래 밝은 치아를 유지할 수 있습니다.
Q. 치아 미백이 치아에 나쁜 영향은 없나요?
치과의사의 관리 하에 진행하는 전문가 미백은 안전한 시술입니다. 과산화수소 기반 미백제가 치아 법랑질(에나멜) 구조를 손상시키지 않으며, 미백 직후 일시적인 시린 증상이 나타날 수 있으나 이는 정상적인 반응으로 곧 사라집니다. 강서구 마곡 서울쏙쏙치과에서는 미백 전 치아 상태를 꼼꼼히 체크하고 진행합니다.
Q. 치아 미백 후 주의사항은?
시술 후 24~48시간 동안은 커피, 홍차, 와인, 카레, 초콜릿 등 착색이 잘 되는 음식과 흡연을 피해주시는 것이 좋습니다. 미백 직후에는 치아 표면의 보호막이 일시적으로 약해져 색소 침착이 더 쉽게 일어날 수 있기 때문입니다. 하얀 음식 위주로 드시면 미백 효과를 더 오래 유지하실 수 있습니다.
좋은 진료를 정직하게 | 선한 영향력으로 더 나은 가치를
꿈꾸는 쏙쏙 치과의사 박상억이었습니다.