임플란트 잇몸 부음과 음식물 끼임, 원인과 해결 방법은?

좋은 진료를 정직하게 | 선한 영향력으로 더 나은 가치를

임플란트 잇몸 부음과 음식물 끼임, 원인과 해결 방법은?

강서구 마곡 서울쏙쏙치과 보철치료 증례

안녕하세요^^

좋은 진료를 정직하게, 선한 영향력으로 더 나은 가치를 전하는 강서구 마곡 서울쏙쏙치과 꿈꾸는 쏙쏙 치과의사 박상억입니다.

임플란트 잇몸 부음 원인 설명 일러스트

임플란트 잇몸 부음 — 원인과 해결 방안

임플란트를 하신 분들 중 이런 경험 있으신가요?

“임플란트는 멀쩡한데 옆 잇몸이 자꾸 붓고, 치간칫솔로 청소해도 음식물이 계속 낀다”

사실 이런 임플란트 잇몸 부음은 생각보다 흔한 증상입니다!

임플란트 자체의 문제라기보다는, 임플란트와 자연치아 사이에 생기는 작은 틈이 원인인 경우가 많습니다. 음식물이 끼고 염증이 반복되면서 잇몸이 붓는 것이죠.

오늘은 실제 예시를 통해 임플란트 잇몸 부음의 원인과 해결 방법을 알려드리겠습니다.

임플란트 잇몸 부음, 왜 생길까?

임플란트 잇몸 부음의 원인은 크게 두 가지로 나뉩니다.

원인 1. 임플란트 주위염 (임플란트 뿌리 염증)

임플란트 뿌리에 직접 염증이 있어 임플란트 주변이 붓는 경우입니다. 이는 임플란트 표면이 세균에 의해 오염된 것으로, 결국에는 임플란트를 빼고 다시 식립하는 것이 가장 추천됩니다.

(잇몸치료, 임플란트 주변 소독, 성장인자 등의 방법들이 제안되고 있지만 빼고 다시 심는 것이 최고입니다ㅜ)

원인 2. 자연치아 이동으로 인한 틈새 발생

임플란트 뿌리는 멀쩡한데 시간이 지나면서 잇몸이 붓는 경우입니다. 보통 임플란트와 그 바로 앞 치아 사이에서 잇몸이 붓는 경우가 많은데요.

임플란트는 움직이지 않는 구조물입니다. 반대로 자연치아는 시간이 지나면서 조금씩 가운데로 움직이는 경향이 있습니다.

시간이 흐르면서 이 차이 때문에 임플란트와 자연치아 사이에 틈새가 생기고, 여기에 음식물이 자꾸 끼게 됩니다. 음식물이 잇몸 주변에서 부패하면서 잇몸이 붓고 염증이 생길 수 있습니다.

해결 방법은 명확합니다

바로 음식물이 끼지 않도록 치아 사이를 더 긴밀하게 맞춰주는 것, 즉 보철물을 제작하면 되는데요.

  1. 인접 치아가 이미 문제가 있다면 → 인레이나 크라운 치료를 통해 임플란트와 긴밀한 사이 틈을 만들면 됩니다
  2. 인접 치아가 멀쩡하다면 → 삭제하기에는 아까우니 임플란트의 기둥과 크라운을 재제작하여 임플란트와 인접 치아 사이를 빡빡하게 만들면 됩니다

즉, 잇몸 부음의 원인은 “임플란트가 잘못됐다”가 아니라, 시간이 지나며 발생한 사이 틈과 맞물림의 문제라는 점을 꼭 기억하시면 좋겠습니다.

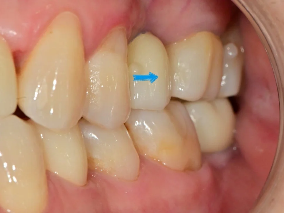
사례 1: 임플란트 보철 재제작으로 음식물 끼임 해결

왼쪽 아래 잇몸의 통증을 호소하신 환자분입니다.

임플란트 음식물 끼임 잇몸 부음 사진
음식물이 고여 있고 주변 잇몸이 부어있는 상태
임플란트와 인접 치아 사이 틈새
임플란트와 바로 앞 치아 사이가 문제

사진을 보면 음식물이 고여 있고 주변 잇몸은 많이 부어있는 양상인데요. 임플란트와 그 바로 앞 치아 사이가 문제입니다.

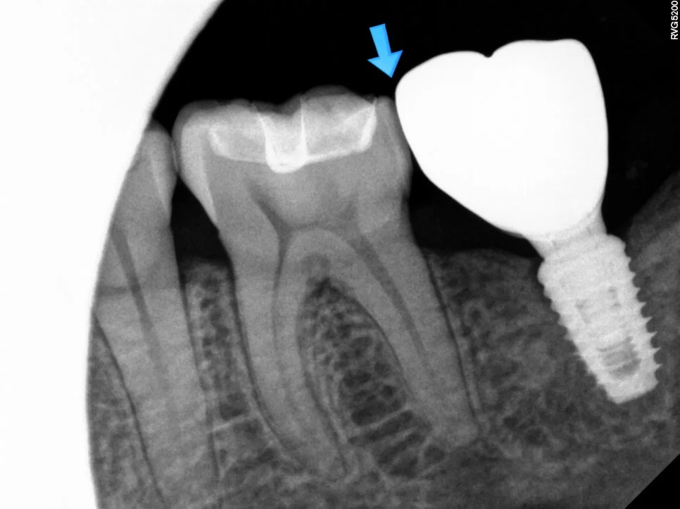
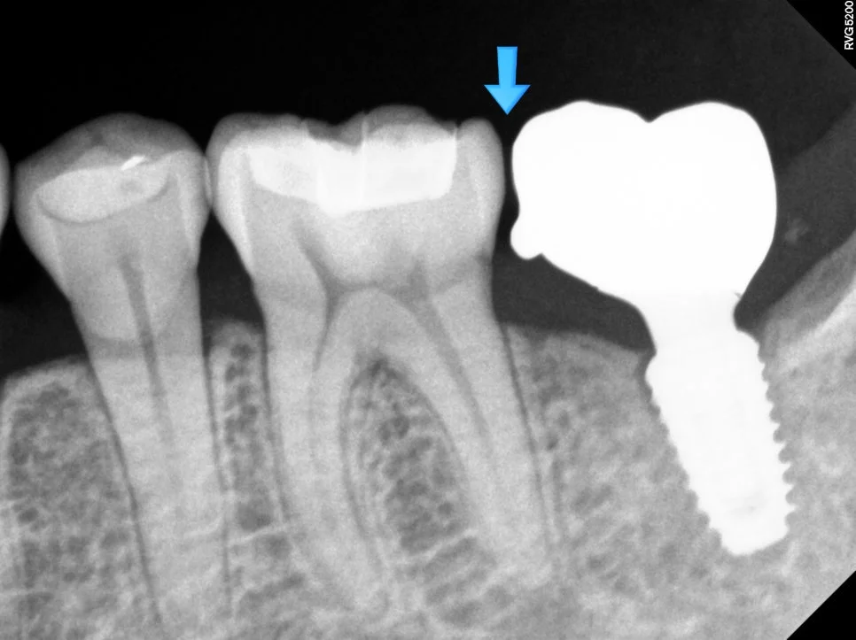
임플란트 틈새 진단 방사선 사진
X-ray에서 임플란트와 치아 사이 틈 확인
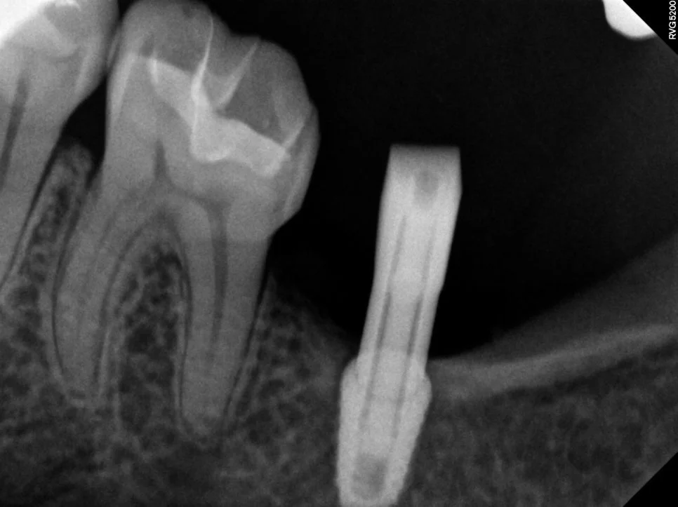
임플란트 기둥 크라운 재제작 과정
임플란트 뿌리는 그대로, 기둥과 크라운만 재제작

사진을 찍어보면 명확하게 임플란트와 치아 사이에 틈이 보이는데요. 이 정도 공간이면 음식물이 정말 엄청나게 끼게 됩니다ㅜ

음식물이 끼는 사이 틈에는 충치/잇몸질환이 둘 다 잘 생기게 되므로 음식물 끼임은 그 자체로 문제입니다ㅜ

치료 방향 결정

저 사이의 틈을 없애주는 것이 치료인데요.

  1. 바로 앞 자연치아를 치료할지
  2. 임플란트 보철물을 재제작할지

앞 자연치가 충치 없이 깨끗하기에 → 임플란트 보철물을 재제작하기로 합니다.

임플란트 뿌리는 그대로 둔 채 기둥과 머리만 새로 제작합니다^^

재제작 크라운 적합 확인 사진
새 크라운 적합 확인 — 틈새 사라진 모습
긴밀한 사이 틈 복원 완료 사진
긴밀해진 사이 틈 — X-ray로 확인

치료 후 잇몸 회복 결과 사진

치료 후 — 잇몸이 예쁘게 아문 모습

긴밀해진 사이 틈을 육안으로도 X-ray로도 확인할 수 있고, 주변 잇몸도 예쁘게 아문 것을 확인할 수 있습니다^^

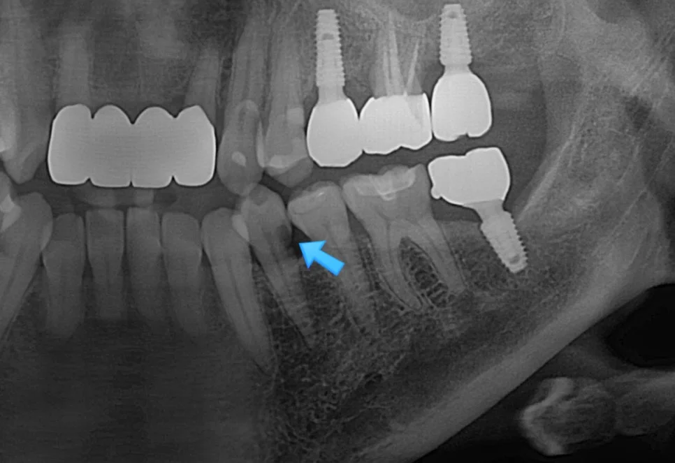
사례 2: 뿌리 충치 크라운 치료

왼쪽 아래 4번째 치아 뿌리 충치 사례입니다.

나이가 있으신 어르신들께 흔히 나타나는 문제인데요. 잇몸이 내려가면서 뿌리 부분이 노출되고, 뿌리의 상아질은 약하기 때문에 충치가 쉽게 생기고 빠르게 진행됩니다.

뿌리 충치 진단 임상 사진

뿌리 충치 진단 — 잇몸 하방까지 넓게 연장된 깊은 충치

아주 깊은 충치이지만 온도에 대한 반응이 없는 치아이기에 신경치료 없이 크라운 치료를 시행합니다.

이 뿌리 충치는 잇몸 하방까지 넓게 연장된 충치로 치료하기 상당히 까다로운데요.

깊은 충치 제거 과정 근접 사진
잇몸 하방의 깊은 충치 제거 과정
경계 정비 과정 근접 사진
깊은 경계 부분을 선명하게 정비

이렇게 잇몸 하방의 충치를 피 한 방울 안 흘리고 깨끗이 제거할 수 있어야 수월하게 치료할 수 있거든요^^

본뜨기 전 정리된 치아 형태

본뜨기 전 정리된 치아 형태

또한 깊은 경계 부분을 선명하게, 하지만 피를 거의 내지 않고 다듬을 수 있어야 예쁘게 본이 떠지고 딱 맞는 보철물이 제작됩니다.

크라운 접착 최종 결과

크라운 접착 완료 — 최종 결과

깔끔하게 크라운이 접착된 최종 결과입니다^^

사례 3: 부적합 크라운 교체

왼쪽 위 어금니에 음식물이 많이 낀다는 말씀에 검진을 해보니 잘 맞지 않는 기존 크라운 하방에 상당한 음식물이 저류하고 있는데요.

부적합 기존 크라운 음식물 저류
기존 크라운 하방에 음식물이 고여 있는 상태
크라운 치료를 위해 치아를 다듬은 모습
크라운 치료를 위해 치아를 다듬은 모습

잘 맞지 않는 크라운 주변은 음식물이 쉽게 끼고, 그로 인해 냄새까지 발생할 수 있습니다.

크라운의 경계는 부드럽고 선명하게 형성해야지만 잘 맞는 보철물을 제작 가능합니다^^ (피가 나지 않게 부드럽고 선명한 크라운 경계를 형성하는 것이 치과의사의 실력이라 할 수 있습니다^^)

새 크라운 적합 상태 확인
새 크라운 적합 확인
새 보철물 접착 음식물 끼임 해결
새 보철물 접착 — 음식물 끼임 해결

새로 제작한 보철물을 접착하여 음식물 끼임을 해결합니다^^

임플란트 잇몸 부음 예방, 생활관리 팁

1. 치실, 치간칫솔, 워터픽 등 구강용품 활용

  • 치아와 잇몸 사이 공간이 없는 경우 → 치실
  • 치아와 잇몸 사이 공간이 큰 경우 → 치간칫솔
  • 모든 경우에 효과적인 → 워터픽

구강 위생에 도움을 줄 수 있는 모든 용품은 다 효과적입니다!^^ 저는 편리한 워터픽만 사용하고 있습니다!

2. 정기검진은 치아 건강의 보험

임플란트는 충치가 생기진 않지만, 잇몸과 보철물은 시간에 따라 변합니다.

6개월마다 검진을 통해:

  1. 치료된 부분이 잘 유지되는지 확인하고
  2. 안 좋아 보이는 부분을 추적 관찰하여 필요시 조기에 치료할 수 있도록 관리하는 것을 추천드립니다
3. 입 냄새는 경고등일 수 있습니다

음식물이 자꾸 낀다면 제일 먼저 ‘냄새’로 신호가 옵니다.

“입 냄새 좀 심한데?” 싶으면, 그냥 껌으로 덮지 마시고 치과에서 보철물 상태를 확인받는 게 정답입니다.

관련 연구 근거

912개 지르코니아 크라운을 분석한 체계적 문헌 고찰에서 5년 생존율 97.6%로, 금속 도재관(98.3%)과 유사한 수준을 보였습니다. 심미성이 우수하며 현대 보철 치료의 신뢰할 수 있는 선택입니다.

— Pjetursson BE et al. (2018), Clin Oral Implants Res, 29(S16):199-214


임플란트 잇몸 부음은 대부분 치아 사이의 미세한 틈, 잘 맞지 않는 보철물, 뿌리 충치 같은 원인에서 비롯됩니다.

저희 의료진은 환자분 불편을 “조금 더 참으세요”라고 미루지 않습니다. 원인을 명확히 확인하고, 설명드리고, 확실히 해결할 수 있는 방법을 제안 드립니다^^

임플란트 주변 잇몸이 자꾸 붓거나 음식물이 끼어 불편하시다면, 참지 마시고 한 번쯤 들러 검진해 보시길 추천드립니다.

빠른 대처가 불편함을 줄이고, 임플란트를 오래 건강하게 사용하는 가장 확실한 방법이니까요^^

임플란트 후 잇몸 부음으로 고통받으시는 분들께 오늘의 정보가 큰 도움이 되기를 바랍니다^^ 끝까지 읽어주셔서 감사합니다.

좋은 진료를 정직하게 | 선한 영향력으로 더 나은 가치를
강서구 마곡 서울쏙쏙치과 꿈꾸는 쏙쏙 치과의사 박상억이었습니다.

자주 묻는 질문 (Q&A)

Q. 임플란트 잇몸 부음, 임플란트 자체의 문제인가요?

대부분의 경우 임플란트 자체의 문제가 아닙니다. 임플란트는 움직이지 않는 구조물인 반면, 자연치아는 시간이 지나면서 가운데로 서서히 이동합니다. 이로 인해 임플란트와 자연치아 사이에 틈이 생기고, 음식물이 끼면서 잇몸이 붓는 것입니다. 다만, 임플란트 뿌리 자체에 세균 감염(임플란트 주위염)이 생긴 경우에는 임플란트를 제거하고 재식립해야 할 수도 있습니다.

Q. 임플란트 보철 재제작 시 임플란트를 다시 심어야 하나요?

아닙니다. 임플란트 뿌리(픽스쳐)는 뼈 속에 잘 고정되어 있으므로 그대로 두고, 기둥(어버트먼트)과 크라운(머리 부분)만 새로 제작합니다. 수술 없이 보철 작업만으로 해결되므로 비교적 간단한 치료이며, 음식물 끼임 문제를 효과적으로 해결할 수 있습니다.

Q. 뿌리 충치가 있으면 반드시 신경치료가 필요한가요?

반드시 그런 것은 아닙니다. 충치가 깊더라도 온도에 대한 반응(시린 증상 등)이 없다면 신경치료 없이 크라운 치료만으로 해결할 수 있습니다. 신경치료 여부는 충치의 깊이, 증상 유무, 방사선 소견 등을 종합적으로 판단하여 결정합니다. 불필요한 신경치료는 피하는 것이 치아 수명을 위해 좋습니다.

Q. 크라운이 잘 맞지 않으면 어떤 증상이 나타나나요?

크라운이 잘 맞지 않으면 음식물이 쉽게 끼고, 잇몸이 붓고, 입 냄새가 발생할 수 있습니다. 크라운 경계(마진)가 치아와 밀착되지 않으면 그 틈으로 세균이 침투하여 충치가 재발하거나 잇몸 염증이 생깁니다. 음식물이 자꾸 끼거나 냄새가 난다면 보철물 상태를 점검받으시는 것이 좋습니다.

Q. 임플란트 음식물 끼임을 예방하는 가장 좋은 방법은?

치실, 치간칫솔, 워터픽 등 보조 구강위생용품을 매일 사용하는 것이 가장 기본적인 예방법입니다. 특히 워터픽은 임플란트 주변을 효과적으로 세척할 수 있어 추천드립니다. 또한 6개월마다 정기검진을 통해 보철물 상태와 잇몸 건강을 확인하면 문제를 조기에 발견하고 대처할 수 있습니다.

치료 기간: 25.07.15 ~ 25.08.20 | 본 포스팅은 의료법에 의거하여 치료가 필요한 환자분들을 위한 정보제공 목적으로 작성되었습니다. 개인에 따라 치료 결과가 다를 수 있으니 반드시 전문의 상담을 받으시기 바랍니다.

댓글 남기기