좋은 진료를 정직하게 | 선한 영향력으로 더 나은 가치를
무삭제 라미네이트, 치아 미백과 함께 인생 미소를 찾는 방법은?
강서구 마곡 서울쏙쏙치과 무삭제 라미네이트 6개 증례
안녕하세요^^
좋은 진료를 정직하게, 선한 영향력으로 더 나은 가치를 전하는 마곡 치과 서울쏙쏙치과 꿈꾸는 쏙쏙 치과의사 박상억입니다.

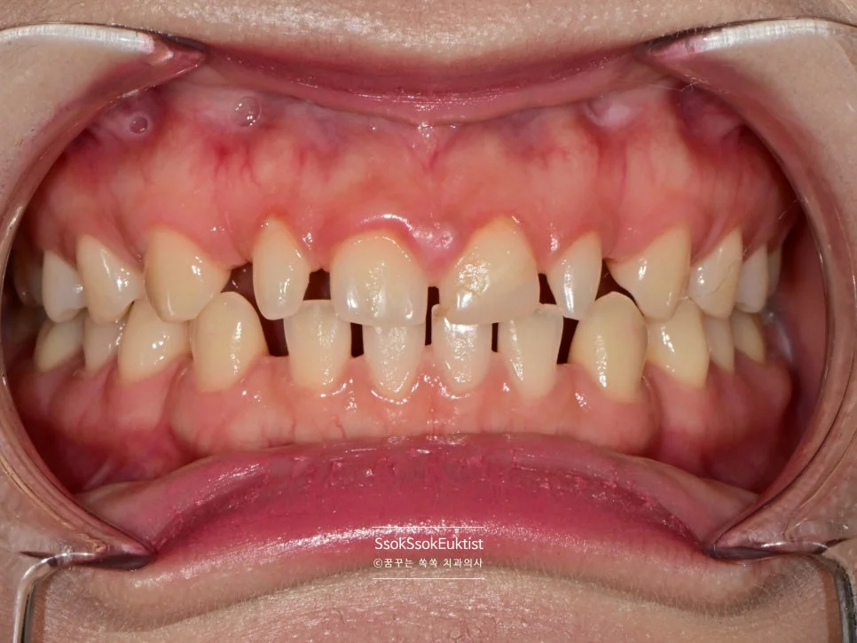
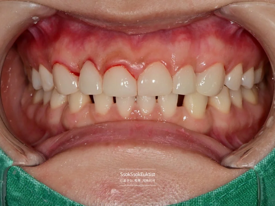
라미네이트 전 — 작은 앞니와 치아 사이 공간이 보이는 미소
오늘은 무삭제 라미네이트에 대해 알아보려 합니다. 예쁜 치아를 가지고 싶은 데에 무슨 다른 이유가 필요하겠어요!
마곡 치과에서 인생 미소를 찾으신 고객님의 증례를 함께 보시겠습니다^^
치아가 너무 작으면 어떤 치료가 필요할까?

치료 전 개구 상태 — 치아를 담을 수 있는 턱뼈 공간에 비해 앞니 크기가 작아 치아 사이 공간이 눈에 띄는 모습
치아를 담을 수 있는 턱뼈의 공간은 너무 넓은데 반해 앞니의 크기가 작은 편이라, 가지런히 배열되었음에도 치아 사이 공간이 너무 눈에 띄는 모습인데요ㅜ
치아의 배열은 생각보다 단순하게 이해하시면 되는데요. 잠깐만 집중해 주세요^^
- 치아 폭경의 합 > 턱뼈의 공간 → 치아가 삐뚤삐뚤하게 맹출하여 부정교합이 되고 교정 치료의 대상이 됩니다.
- 치아 폭경의 합 < 턱뼈의 공간 → 자연스레 치아가 정중앙으로 몰리며 가지런한 치아 배열이 됩니다.
- 치아 폭경의 합 << 턱뼈의 공간 → 치아가 너무 작을 때 치아 사이가 듬성듬성 비어 보이게 됩니다.
여기서 포인트는 치아의 배열은 치아가 맹출하는 위치는 최종적인 치아의 배열과 관련이 없다는 것인데요. 많은 부모님들께서 너무 혀쪽에서 혹은 너무 입술쪽에서 나는 게 아니냐며 걱정하시고 계십니다ㅜ 이 글이 걱정을 해소하는 데 도움이 되시길 바랍니다^^
이 증례는 치아의 폭경 자체가 너무 작은 것이 문제이기 때문에 치아를 더 크게 만들어 줘야 하고, 그에 가장 적합한 것이 라미네이트입니다^^
레진, 라미네이트, 크라운 차이는 무엇일까?
앞니의 충치 혹은 벌어짐을 해결하는 방법은 여러 가지가 있는데요^^ 레진, 라미네이트, 크라운 이 세 가지로 크게 구분해 볼 수 있습니다.
- 레진 치료 적응증: 작은 충치, 앞니 벌어짐, 치경부 마모증에 적합
- 라미네이트 적응증: 충치가 적거나 없는 경우, 치아 전체 모양을 개선하고자 하는 경우, 치아가 살짝 안으로 들어간 경우
- 크라운 적응증: 큰 충치가 있는 경우, 신경치료를 한 경우, 치아가 앞으로 튀어나온 경우
반드시 딱 이렇게 구별되진 않지만 가장 효과적인 치료를 따져 보았을 때 이렇게 분류해 볼 수 있을 것 같습니다^^
이 증례는 치아 전체 모양을 개선해야 하는 것으로, 라미네이트 혹은 크라운 치료 중에 선택하면 되는데요. 1) 충치가 없고, 2) 치아를 살짝 밖으로 빼도 되기 때문에 라미네이트가 보다 적절한 치료로 볼 수 있습니다^^
결론을 말씀드리자면, 라미네이트는 많이 하면 할수록 좋습니다^^ 1개보다는 2개, 2개보다는 4개, 4개보다는 6개, 6개보다는 8개가 더 이쁩니다^^
그런데 뒤로 갈수록 전면에서는 잘 안 보이기 때문에 소위 가성비적인 측면에서 보통 4개 혹은 6개를 추천드리곤 합니다!
라미네이트 전 치아 미백이 필수인 이유는?
라미네이트를 원하시는 분이라면 다들 환하고 예쁜 치아를 기대하실 텐데요^^ 그러기 위해 반드시 필요한 것이 치아 미백과 스케일링입니다!
라미네이트는 반투명한 세라믹을 치아 표면에 접착하는 것으로, 치아 내부의 색상이 비쳐 보이기 때문입니다. 아무리 밝고 예쁜 라미네이트를 만들어도 내부 치아의 색상이 어둡다면 치아 색상이 어두워 보일 수 있습니다ㅜ
한편, 라미네이트를 치료한 후에는 더 이상 치아 미백이 불가능하기 때문에 그전에 최대한 밝게 만들어 놓는 것이 좋죠^^
크라운 혹은 라미네이트를 하기 전에는 스케일링을 통해 부어 있는 잇몸을 가라앉히는 것이 필요합니다. 염증이 없고 안정된 잇몸 선에 맞춰 라미네이트를 접착하는 것이 좋거든요!^^
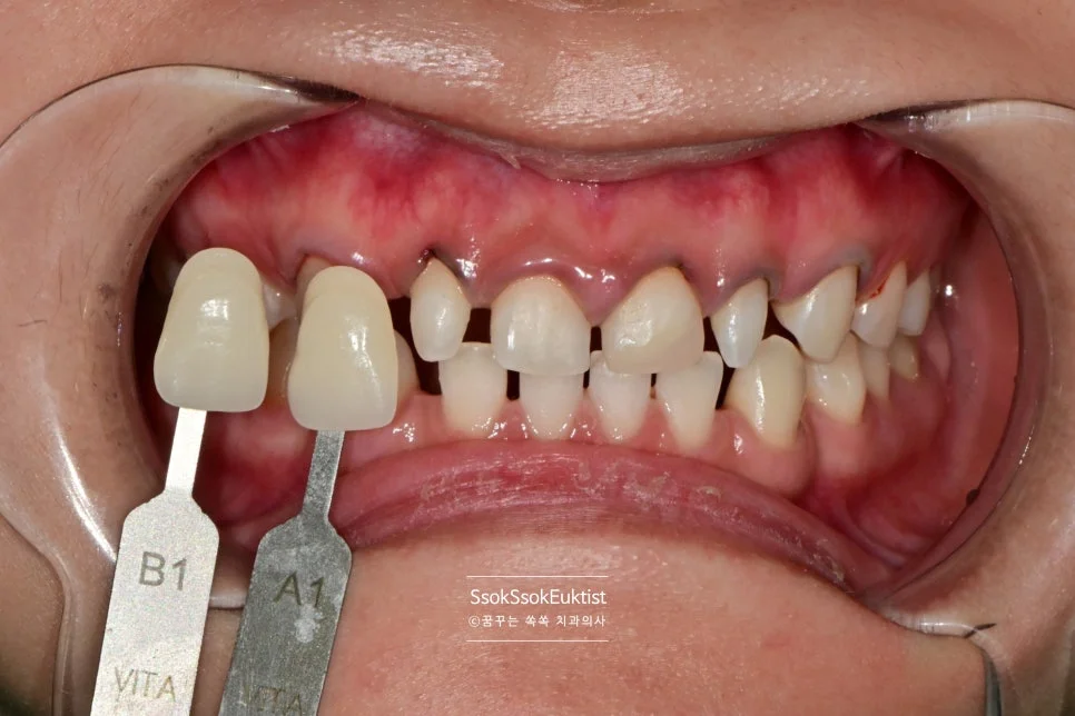
원데이 치아 미백 과정
치아 미백이야 근처에서는 가장 많이 시행하고 있는 마곡 치과이기 때문에^^ 최대한 밝은 느낌을 만들 수 있게 원데이 치아 미백을 시행합니다.


Shade-guide 기준 A2보다 어두웠던 치아가, 원데이 치아 미백 15min × 4cycle (3+1) 후…


A1보다 밝은 느낌의 치아가 되었습니다^^
A1, B1 이런 쉐이드는 보통의 치아에서는 가장 밝은 톤으로, 이보다 더 하얗게 되면 미백 쉐이드로 분류가 됩니다^^
무삭제 라미네이트 6개, 제작 과정은?
이 정도면 라미네이트를 시행할 준비가 되었습니다!

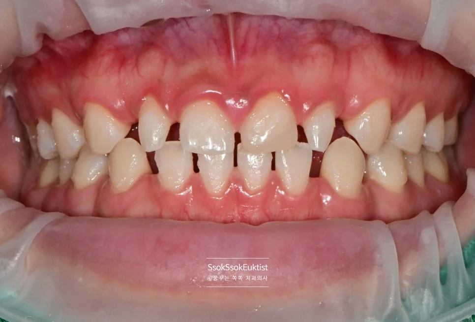
라미네이트 준비 — 정확한 본을 위해 치아와 잇몸 사이에 실(retraction cord)을 삽입한 모습
라미네이트는 치아 표면에 덧붙이는 치료로, 치아의 가장 튀어나와 있는 부분은 조금 다듬어 주는 것이 좋습니다. 전체적으로 가지런한 모양을 만들기 위해 가장 튀어나온 부분을 기준으로 라미네이트의 배열이 결정되기 때문인데요^^
하지만 지금의 증례와 같이 특별히 튀어나온 부분이 없고 살짝 치아를 앞으로 빼는 것이 적절하다 판단되는 경우 “무삭제”로 라미네이트를 제작합니다.
최대한 본이 잘 나오게 하기 위하여 치아와 잇몸 사이에 실을 넣고 예쁘게 본을 뜬 후 7일 정도 후 접착을 시도합니다.
1차 결과 — 아쉬운 부분 발견

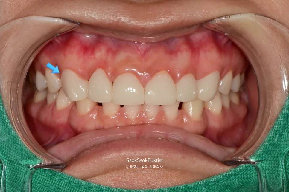
1차 라미네이트 결과 — 치아 사이 공간은 채워졌으나 살짝 길어 보이는 느낌
어떤가요? 예뻐 보이시나요?^^ 치아 사이 공간이 가득 채워지고 가지런한 모양이 되었으며, 치아의 색상 또한 아주 예쁘게 나왔는데요.
살짝 길어 보이는 느낌과 사진상에서 왼쪽 송곳니가 조금 튀어나와 보이는 느낌이 아쉽습니다ㅜ
다시 만들어야죠^^
환자분께 양해를 구하고, 이번에는 예쁘게 만들어 보겠다며 다음 내원 약속을 잡습니다. 마곡 치과에서의 앞니 치료는 우선 제가 보기에 예뻐야 환자분께 접착을 말씀드립니다^^ 또한 당연히 환자분의 요구사항이 있으면 다 반영하여 다시 예쁘게 만들어 드립니다!
재작업 — 최종 완성

재작업 후 최종 라미네이트 — 길이, 형태, 색상이 모두 완벽하게 개선된 모습
너무 예쁘게 나와서 접착을 해드렸는데, 역시나 살짝 부어있던 오른쪽 위 잇몸에서 살짝 피가 나네요ㅠ
다행히 3개월 체크 약속 때 내원하셔서 다시 한번 확인해 보니…
3개월 경과 관찰, 라미네이트 잘 유지될까?


오히려 잇몸도 더 건강하게 잘 관리하고 계시고, 아주 반짝 예쁜 라미네이트가 잘 유지되고 있었네요^^
마곡 무삭제 라미네이트로 인생 미소를 찾으신 것 축하드립니다!^^
25개 임상연구(총 6,500개 라미네이트)를 종합 분석한 체계적 문헌고찰에서, 도재 라미네이트 비니어의 10년 누적 생존율은 95.5%로 보고되었습니다. 가장 흔한 실패 원인은 파절(96.3% 생존)과 탈락(99.2% 생존)이었으며, 이차 우식이나 신경치료가 필요한 경우는 극히 드물었습니다.
— Alenezi A et al. (2021), J Clin Med, 10(5):1074
오늘은 라미네이트에 대해 알아보았는데요. 앞니의 모양이 마음에 들지 않아 대화를 하거나 미소 지을 때 입을 가리시는 분들이 많은데요ㅜ
라미네이트라는 좋은 치료를 통해 인생 미소 찾으시면 좋을 것 같습니다. 오늘의 포스팅이 앞니 라미네이트를 고려하시는 분들께 도움이 되는 정보였으면 좋겠습니다!^^
좋은 진료를 정직하게 | 선한 영향력으로 더 나은 가치를
강서구 마곡 서울쏙쏙치과 꿈꾸는 쏙쏙 치과의사 박상억이었습니다.
자주 묻는 질문 (Q&A)
Q. 무삭제 라미네이트란 무엇인가요?
무삭제 라미네이트란 치아를 전혀 삭제하지 않거나 최소한의 다듬기만으로 세라믹 쉘을 치아 표면에 접착하는 방법입니다. 치아가 작거나 안으로 들어가 있어 특별히 튀어나온 부분이 없는 경우에 적합하며, 치아 삭제 없이 모양과 크기를 개선할 수 있습니다. 일반 라미네이트와 달리 자연 치아를 최대한 보존할 수 있다는 것이 가장 큰 장점입니다.
Q. 라미네이트 전에 왜 치아 미백을 해야 하나요?
라미네이트는 반투명한 세라믹 소재이기 때문에 내부 치아의 색상이 비쳐 보입니다. 치아 미백을 통해 먼저 치아를 밝게 만들어 놓으면 라미네이트 결과물이 훨씬 환하고 예쁘게 나옵니다. 또한 라미네이트 접착 이후에는 치아 미백이 불가능하기 때문에, 반드시 라미네이트 시술 전에 미백을 완료하는 것이 좋습니다.
Q. 라미네이트는 몇 개 하는 것이 좋은가요?
라미네이트는 많이 하면 할수록 자연스럽고 아름다운 결과를 얻을 수 있습니다. 1개보다는 2개, 2개보다는 4개가 좋지만, 뒤쪽 치아일수록 전면에서 잘 보이지 않기 때문에 가성비 면에서 4개 혹은 6개를 추천합니다. 이 증례에서는 윗니 6개에 무삭제 라미네이트를 시행하였습니다.
Q. 라미네이트 결과가 마음에 들지 않으면 어떻게 하나요?
이 증례에서처럼 1차 결과에서 살짝 길어 보이거나 송곳니가 튀어나와 보이는 등 아쉬운 부분이 있으면 재작업을 진행합니다. 접착 전에 시적(try-in)을 통해 모양, 색상, 배열을 환자분과 함께 확인하고, 만족스럽지 않으면 기공소에 수정 요청을 합니다. 환자분이 만족할 때까지 수정하는 것이 좋은 결과의 핵심입니다.
Q. 무삭제 라미네이트의 수명은 얼마나 되나요?
라미네이트의 수명은 일반적으로 10~15년 이상으로 보고 있으며, 관리에 따라 더 오래 유지될 수 있습니다. 3개월 경과 관찰에서도 잇몸이 건강하게 유지되고 라미네이트가 잘 유지되는 것을 확인하였습니다. 정기적인 검진, 올바른 칫솔질, 딱딱한 음식 주의 등이 라미네이트 수명을 연장하는 핵심입니다.
본 포스팅은 의료법에 의거하여 치료가 필요한 환자분들을 위한 정보제공 목적으로 작성되었습니다. 개인에 따라 치료 결과가 다를 수 있으니 반드시 전문의 상담을 받으시기 바랍니다.