좋은 진료를 정직하게 | 선한 영향력으로 더 나은 가치를
실활치 미백 효과와 비용, 변색된 앞니를 원래 색으로 되돌리는 방법
강서구 마곡 서울쏙쏙치과 꿈꾸는 쏙쏙 치과의사 박상억입니다^^
![]()
안녕하세요^^
오늘은 치아 미백의 꽃이라 볼 수 있는 실활치 미백에 대해 알아볼 예정입니다!
우리 치과는 강서구 치아 미백 맛집이기 때문에 일반적인 원데이 치아 미백 외에도 다양한 치아 미백을 치료하고 있습니다!
치아 미백 후에 가장 드라마틱한 효과를 보여주는 것이 바로 “실활치 미백”인데요. 한 번도 들어보지 못하신 분도 있을 것 같아요. 과연 어떤 변화가 있는 것인지 바로 한번 알아보겠습니다!
1. 실활치의 색상이 변하는 이유
실활치란 치아 내부의 신경이 괴사된 치아 혹은 신경치료를 한 치아를 말합니다. 치아의 활력을 잃었다는 뜻인데요.
신경이 괴사되거나 신경치료를 한 치아에 치아 미백을 시행하는 이유는 바로 실활치의 색상이 변할 수 있기 때문입니다.

변색된 실활치 (화살표) — 다른 치아 대비 보라색/갈색 느낌이 짙은 상태
그림에서 화살표로 표시한 치아 색이 왜 이럴까요? 다른 치아 대비 보라색? 갈색? 느낌이 짙은데요. 이 치아가 바로 치아의 신경이 괴사된 실활치입니다.
- 충격 등의 이유로 신경이 손상
- 큰 통증 없이 신경이 죽어버림(괴사)
- 신경 내부 혈액과 단백질 성분이 치수강 내에서 분해
- 혈액 안에만 존재하던 헤모글로빈의 분해 산물이 치아의 상아질로 침투
- 치아의 색이 갈색 혹은 흑갈색으로 변함
혈액 안에만 있어야 할 혈액 내 붉은/갈색의 성분이 치아 내부로 침투하여 색이 변한 것으로 볼 수 있습니다. 특히 앞니의 색이 이렇게 변하면 심미적으로 너무 좋지 않습니다.

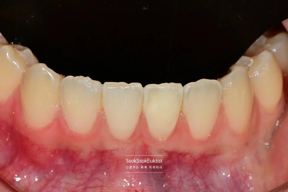
변색된 아래 앞니 클로즈업 — 주변 치아와 확연히 다른 색상
이 치아 색이 변한지는 1년 정도 되었고, 최근 갑자기 시려서 여러 군데 치과에 다녔는데 다 괜찮다는 말만 들었다고 합니다.
우리 치과에서는 신경치료 및 실활치 미백을 진단하고, 수면 마취를 통해 치료를 진행하기로 합니다.
2. 수면 마취 신경치료 및 실활치 미백 효과

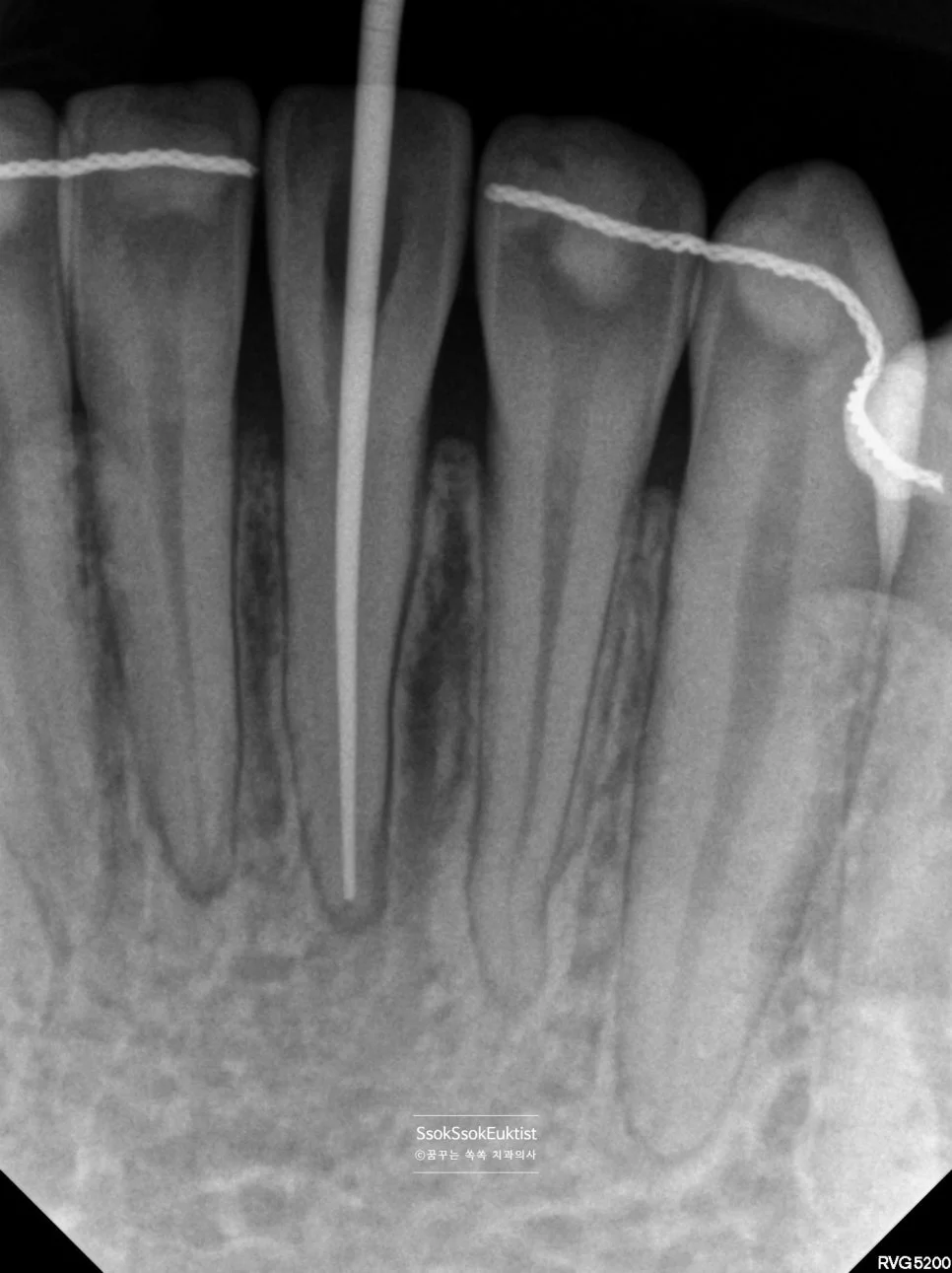
진단 X-ray — 다른 치아에 비해 신경관(검은 음영)이 매우 좁아져 있는 모습
해당 치아의 X-ray를 촬영해 보면 다른 치아들에 비해 신경관(검은 음영)이 매우 좁아져 있는 모습인데요.
신경 조직이 오랫동안 자극을 받으면서 자극에 대한 방어기제로 신경관이 좁아진 것입니다. 그간 얼마나 아팠을까요ㅜ
저렇게 좁아진 신경관의 치아를 신경치료하는 것은 매우 고난도입니다. 특히나 치아 중 가장 얇은 아래 가운데 앞니라면 더욱 어려운 신경치료인데요.
치아의 정중앙에 있는 신경관을 찾는 과정에 조금만 잘못된 방향으로 접근하게 되면 치아에 천공을 만들고, 그것마저 잘 처치가 안되면 결국 발치를 해야 할 수도 있습니다.
그래서 많은 치과에서 그냥 그럴 수 있다고 말했던 것일까요?ㅜ
사실 신경치료와 실활치 미백은 고수가 진료가 아닌데 비해, 그에 반해 치료를 하기에 난도와 리스크는 너무 큰 치료인 것은 맞거든요. 그런데요. 그렇게 다른 곳에선 잘 하려 하지 않고 부담스러워하고 기피하는 진료만 골라서 열심히 하려는 그런 치과가 있답니다^^

수면 마취를 위한 약제 준비
수면 마취를 통해 신경치료를 시도해 봅니다.

치료 중 X-ray — 안전한 위치에서 신경관 접근 방향 확인
처음 어느 정도 안전한 위치에서 접근하면서 X-ray를 촬영해 봅니다. 실제 신경관의 위치로 술자가 잘 삭제하고 있는지 확인하기 위해서인데요.
사진을 보면 어느 정도 맞는 방향으로 접근하고 있는 걸 볼 수 있습니다. 이제부터는 정말 조심히 접근하여 신경관을 찾아야 합니다. 땀을 삐질삐질 흘려가며 조심히 접근을 합니다.
다행히 길을 잘 찾았고 충분히 넓힌 후 소독을 진행합니다.

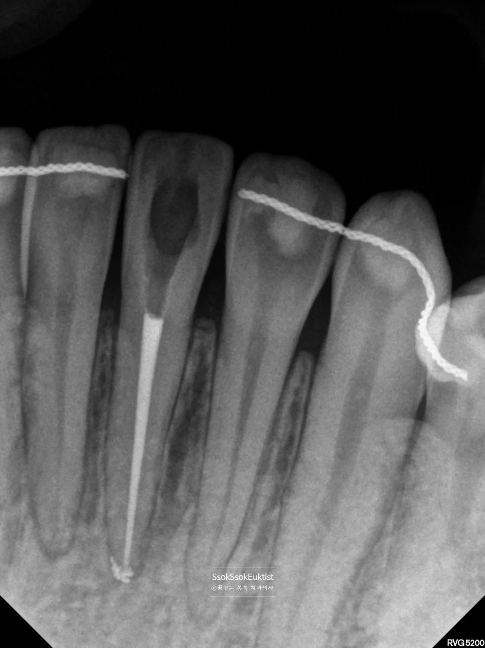
근관장 측정 X-ray — 신경관 끝까지 파일이 도달한 모습
통증이 있고 오랫동안 자극을 받은 치아이기에 당일 신경치료를 마무리하진 않습니다.
두 번째 내원일에 시린 느낌과 통증이 없었다는 것을 확인 후 신경치료 마무리 및 실활치 미백을 동시에 진행합니다.

신경치료 완료 X-ray — 신경관 끝까지 가득 채워진 모습
신경관 끝까지 가득 채워진 것 같다면 잘 된 신경치료입니다^^ 실활치 미백을 한 후 모습은 어떨까요?


짜잔! 색이 아주 많이 돌아온 것 보이시나요?^^
실활치 미백도 치아 미백이기에 과산화수소 성분을 활용하는데요. 실활치 미백을 마친 직후 과산화수소가 치아 표면에 잔류하는 상태에서는 치아 내부에 레진을 채울 수 없습니다. (과산화수소는 레진의 중합을 방해합니다)
최소 1주 정도의 시간이 지난 후 신경치료를 위해 형성한 hole을 레진으로 매우면 치료가 종결됩니다.

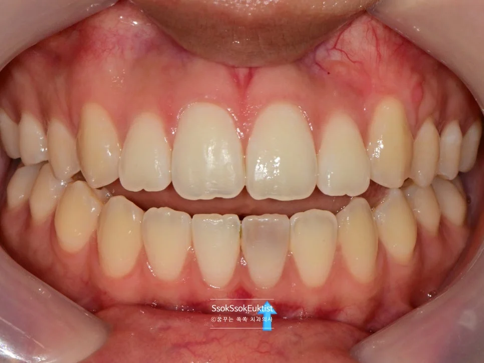
최종 결과 — 레진 충전까지 완료, 어느 치아를 치료했는지 모를 정도로 자연스러운 모습
어떤가요?^^ 어느 치아를 치료했는지도 모를 정도로 원래의 색으로 돌아왔습니다. 박수 박수!!

치료 완료 후 파노라마 X-ray — 신경치료 부위 최종 확인
3. 실활치 미백 비용/가격
실활치 미백은 치아 당 15만 원 ~ 30만 원 정도 선에서 진행하실 수 있습니다.
보통은 실활치 미백 단독으로 치료가 종결되는 오늘의 사례 같은 경우는 적은 편이고, 이후에 크라운 치료로 이어지는 경우가 많기에 앞니의 크라운까지 진행한다면 50만 원 ~ 70만 원 정도 추가 비용이 발생할 수 있습니다.
4. 실활치 미백 치료 기간 / 횟수
실활치 미백을 시행하는 방법에 따라 실활치 미백의 기간과 횟수가 달라지는데요.
보통 1~2회 안에 실활치 미백을 종료하고 있기 때문에 1~2주 이내에 치료가 마무리될 수 있습니다.
일반적으로는 색상 변화 관찰 및 약재 교체를 2~3회 진행한다면 4~5주 정도 소요될 수 있습니다.
5. 실활치 미백 유지 기간
- 신경치료가 잘 되어 신경관의 추가적인 오염이 없고
- 치아 내부를 레진으로 완벽히 접착, 밀폐한다면
실활치 미백은 한번 진행되면 아주 오랫동안 유지된다고 생각하셔도 됩니다^^
그렇지 않고 치아 내부에 세균이 서식하거나 입안의 세균이 내부로 침투하게 되면 다시 갈색/흑색으로 변할 수 있습니다.
때문에 실활치 미백의 경우 미백을 잘 하는 것도 중요하지만 신경치료와 레진 접착 또한 잘 하는 치과를 찾는 것이 중요하다 볼 수 있습니다.
오늘은 실활치 미백에 대해 알아보았는데요. 그 효과가 드라마틱한, 치료에 있어 아주 강력한 Tool인 실활치 미백!
하지만 좋은 결과를 내고 오랫동안 유지하기 위해선 상당히 신경 쓸 부분이 많은 치료인데요. 오늘의 정보가 앞니의 색상 변화 혹은 변색으로 고민하시는 분들께 많은 도움이 되었으면 좋겠습니다^^
자주 묻는 질문 (Q&A)
Q. 실활치 미백이란 무엇인가요?
실활치 미백은 신경이 죽거나 신경치료를 받은 치아(실활치)가 변색되었을 때, 치아 내부에 미백제를 넣어 원래 색상으로 회복시키는 시술입니다. 일반적인 치아 미백과 달리 치아 안쪽에서 바깥쪽으로 미백하는 방식(워킹 블리칭)으로, 변색된 실활치에 가장 드라마틱한 효과를 보여줍니다.
Q. 실활치는 왜 색이 변하나요?
충격 등으로 신경이 괴사되면 치아 내부의 혈액 속 헤모글로빈이 분해되면서 그 산물이 상아질로 침투합니다. 이 과정에서 치아가 갈색이나 흑갈색으로 변하게 됩니다. 혈액 안에만 있어야 할 붉은/갈색 성분이 치아 조직에 스며드는 것이 원인입니다.
Q. 실활치 미백 비용은 얼마인가요?
실활치 미백은 치아 당 15만 원 ~ 30만 원 정도입니다. 미백만으로 치료가 종결되는 경우도 있지만, 이후 크라운 치료가 필요한 경우 50만 원 ~ 70만 원 정도의 추가 비용이 발생할 수 있습니다.
Q. 실활치 미백 효과는 영구적인가요?
신경치료가 잘 되어 있고 레진으로 완벽히 밀폐했다면 실활치 미백 효과는 아주 오랫동안 유지됩니다. 다만 치아 내부에 세균이 다시 침투하거나 밀폐가 불완전하면 재변색이 일어날 수 있어, 신경치료와 레진 접착을 잘 하는 치과를 선택하는 것이 중요합니다.
Q. 실활치 미백 치료 기간은 얼마나 걸리나요?
치과마다 다르지만, 서울쏙쏙치과에서는 보통 1~2회, 1~2주 이내에 치료가 마무리됩니다. 일반적으로는 색상 변화 관찰 및 약재 교체를 2~3회 진행하여 4~5주 정도 소요될 수 있습니다. 미백 후 레진 충전까지 최소 1주의 대기 기간이 필요합니다.
삼중맹검 임상시험에서 미백제에 2% 불소를 첨가하면 시술 후 시린 증상이 유의미하게 감소(p=0.040)하면서도 미백 효과에는 영향이 없었습니다. 전문가 관리 하에 시린 증상까지 관리하는 것이 핵심입니다.
— Mohammadipour HS et al. (2025), Clin Oral Investig, 29(5):238
좋은 진료를 정직하게 | 선한 영향력으로 더 나은 가치를
강서구 마곡 서울쏙쏙치과 꿈꾸는 쏙쏙 치과의사 박상억이었습니다.
치료 기간: 2025.07.15 ~ 2025.08.07
함께 읽으면 좋은 글
위 포스팅은 의료법에 의거하여 치료가 필요한 환자분들을 위한 정보제공 목적으로 업로드했습니다.