안녕하세요^^
좋은 진료를 정직하게
선한 영향력으로 더 나은 가치를
안녕하세요. 마곡 서울쏙쏙치과 대표원장, 꿈꾸는 쏙쏙 치과의사 박상억입니다.
“사랑니, 빼고 나면 엄청 붓고 아프지 않나요?” “스케줄이 너무 불규칙해서 여러 번 치과에 오기가 힘들어요.”
오늘은 불규칙한 비행 스케줄로 인해 치과 방문을 미뤄오셨던 승무원 환자분의 이야기를 해보려 합니다.
사랑니 통증으로 내원하셨지만, 검진 결과 충치 치료까지 필요했던 상황. 과연 어떻게 단 하루 만에, 안 아프고 편안하게 치료를 마무리했는지 그 과정을 상세히 공유해 드립니다.

📋 30초 요약 (바쁘신 분들을 위해)
바쁜 일정 속에서도 수면마취를 통해 사랑니 발치와 충치 치료를 하루 만에 해결할 수 있습니다. 의식하진정법(수면마취)은 통증과 공포 없이 여러 치료를 한 번에 진행할 수 있어, 시간이 부족한 직장인이나 승무원에게 적합합니다.
의식하진정법은 시술 중 기억이 거의 남지 않아 치과 공포증 환자의 약 90% 이상이 만족하는 것으로 보고됩니다.
- 수면 발치 시 기억 잔존율: 5% 미만
- 복합 진료(발치+충치) 한 번에 처리 시 내원 횟수 50~70% 절감
- 발치 후 일반적 회복 기간: 3~7일
- 강서구 마곡 서울쏙쏙치과: 치과마취과 인정의가 직접 진정 관리
1. 사랑니가 아픈 이유와 정밀 진단
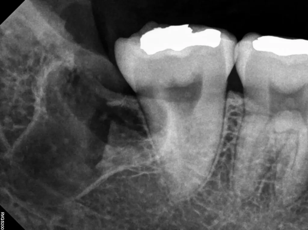
환자분께서는 왼쪽 아래 사랑니 부위가 붓고 통증이 심해 내원하셨습니다.
아픈 사랑니 (왼쪽 아래)

사랑니를 감싸고 있는 치아 낭이 잇몸 밖으로 살짝이라도 노출되면(개방), 잇몸과 치아 사이에 틈이 생깁니다. 이 틈으로 음식물과 세균이 들어가면 염증이 시작되는데, 이를 **치관주위염(Pericoronitis)**이라고 합니다.
- 초반에는 붓기가 가라앉기도 하지만, 세균 오염은 멈추지 않고 계속 진행됩니다.
- 처음 아프고 부었을 때 바로 발치하는 것이 가장 좋습니다.
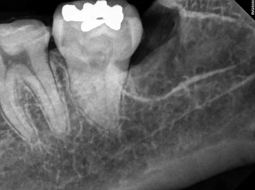
안 아픈 사랑니 (오른쪽 아래)

반대편에는 당장 아프지 않은 매복 사랑니가 있었습니다. 하지만 아프지 않다고 방치하면 다음과 같은 문제가 생길 수 있습니다.

- 치관주위염: 치아의 법랑질 주변의 치아 낭은 빈공간으로 입안과 개통될 경우 잠재적 오염 대상으로, 언제든 세균 감염이나 물혹을 유발할 수 있습니다.
- 인접 치아 손상: 바로 앞의 소중한 제2대구치(큰 어금니)에 충치를 만들거나 잇몸 질환을 일으킬 수 있습니다.
결국 환자분은 현재 아픈 사랑니뿐만 아니라, 잠재적 위험이 있는 반대편 매복 사랑니까지 모두 발치하기로 결정했습니다.
2. 수면 마취로 해결하는 치과 공포증과 시간 부족
환자분은 ‘발치 통증에 대한 두려움’과 ‘승무원이라는 직업 특성상 부족한 시간’이라는 두 가지 큰 고민이 있었습니다. 이를 해결하기 위해 **의식하 진정요법(수면 마취)**을 진행했습니다.
STEP 1. 수면 유도 및 모니터링
가수면 상태를 유도하여 환자분이 치과 치료에 대한 공포나 불편한 기억을 갖지 않도록 합니다. 실시간 모니터링을 통해 안전하게 마취 심도를 조절합니다.

STEP 2. 원데이 복합 진료 (발치+충치 치료)
수면 마취 한 번으로 여러 치료를 동시에 진행하여 내원 횟수를 획기적으로 줄였습니다.
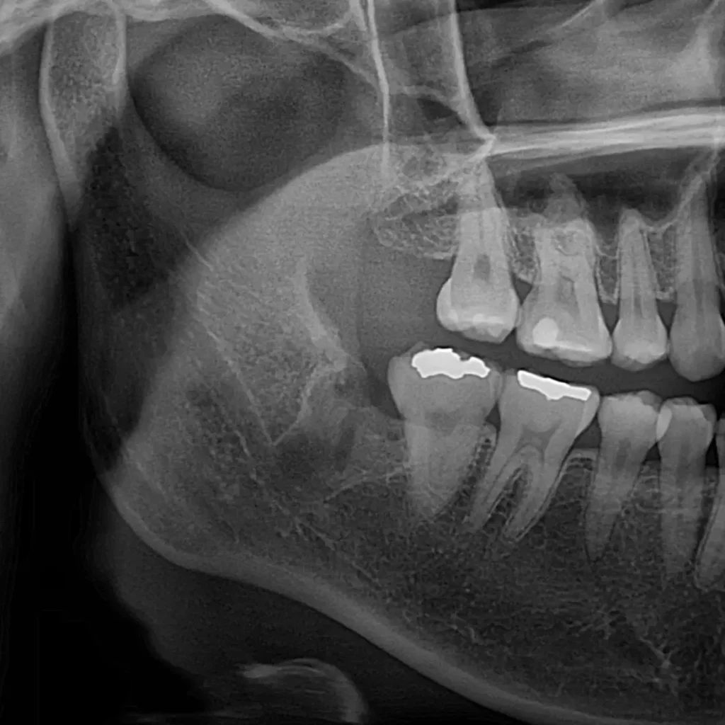
- 사랑니 발치: 왼쪽, 오른쪽 매복 사랑니를 동시에 발치했습니다.


- 충치 치료: 검진 중 발견된 왼쪽 아래 큰 어금니(#36번 치아)의 골드 인레이 하방 충치를 발견하여, 발치와 동시에 크라운 프렙(다듬기)까지 완료했습니다.


3. 서울쏙쏙치과 사랑니 발치 후 아프지 않고 붓지 않는 이유
“사랑니 빼고 나서 붓고 아프지 않을까요?”라는 걱정을 덜어드리기 위해 저희 치과에서는 두 가지 특별한 조치를 취하고 있습니다.
- 자가 PRF (혈액 추출 성장인자): 환자분의 혈액에서 추출한 성장인자(PRF)를 발치 부위에 넣습니다. 이는 지혈을 돕고 뼈와 잇몸의 치유 속도를 획기적으로 높여줍니다.
- 선제적 진통제 투여: 사랑니 발치 후 과도한 면역반응을 조절하는 진통제를 정맥 라인을 통해 미리 투여합니다. 수술 후 붓기 및 통증 관리에 매우 효과적입니다!


4. 수면 사랑니 발치 Q&A
환자분들이 자주 묻는 질문을 정리해 드립니다.
Q. 양쪽 사랑니를 한 번에 뽑으면 밥은 어떻게 먹나요?
- 당일에는 죽 같은 유동식을 드시는 것이 좋습니다.
- 다음 날부터는 밥을 드실 수 있으며, 발치하지 않은 앞니 등을 이용해 식사가 가능합니다.
- 회복력이 좋은 PRF를 사용하여 불편함을 최소화해 드립니다.
Q. 수면 마취 중간에 깰 수도 있나요?
- 가수면 상태를 유지하기 때문에 의료진의 지시에 반응할 수는 있지만, 통증이나 공포를 느끼는 각성 상태와는 다릅니다.
- 실시간 모니터링으로 약물 농도를 조절하므로 중간에 깨서 아픔을 느낄 걱정은 하지 않으셔도 됩니다.
마무리하며
오늘 소개해 드린 승무원 환자분처럼 치과 치료가 필요하지만 시간이 부족하거나 무서워서 미루고 계신 분들이 많습니다.
수면 마취를 활용하면 두려움은 쏙 뽑아내고, 필요한 여러 치료(사랑니, 충치 등)를 한 번에 효율적으로 진행할 수 있습니다.
걱정은 쏙 뽑고 편안함을 심어드리는 서울쏙쏙치과에서 여러분의 치아 건강을 지키세요.

📍 마곡 수면치과 · 강서구 사랑니 발치 · 마곡역 치과에서 정직한 진료를 약속드립니다.