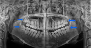
사랑니 4개 동시 발치, 정말 괜찮을까? 서울쏙쏙치과 박상억 원장의 솔직한 이야기
핵심 요약 (Key Takeaways) 사랑니 4개 발치를 하루에 모두 하면 가지게 되는 장점 * 시간 절약: 4~5번 내원해야 할 것을 단 한 번으로 줄여 바쁜 직장인과 학생에게 효율적입니다. * 통증 최소화: 마취와 약 복용을 한 번만 하면 되므로 고통의 총량을 줄일 수 있습니다. * 서울쏙쏙치과의 비결: 10~15분 내의 신속한 발치 능력과 정맥 진통제, 자가혈(PRF)을 이용한 … 사랑니 4개 동시 발치, 정말 괜찮을까? 서울쏙쏙치과 박상억 원장의 솔직한 이야기 계속 읽기
삽입하려면 이 URL을 복사해 자신의 워드프레스 사이트에 붙여넣으세요
삽입하려면 이 코드를 사이트에 복사해 붙여넣으세요