좋은 진료를 정직하게 | 선한 영향력으로 더 나은 가치를
임플란트 음식물 끼임, 왜 생기고 어떻게 해결할까? 보철물 주변 충치까지 한눈에
강서구 마곡 서울쏙쏙치과 임플란트 음식물 끼임 & 보철물 인접 충치 치료 증례
안녕하세요^^
좋은 진료를 정직하게, 선한 영향력으로 더 나은 가치를 전하는 강서구 치과 서울쏙쏙치과 꿈꾸는 쏙쏙 치과의사 박상억입니다.
임플란트를 하신 환자분들이 정~말 정기검진 때 많이 하시는 말씀이 있는데요
“임플란트 주변에 음식물이 자꾸 껴요.”
“밥만 먹으면 이 사이에 뭐가 꼭 남아요.”
사실 음식물이 낀다는 건 단순히 불편함으로만 끝나지 않습니다. 충치, 잇몸병, 나아가서는 임플란트의 수명에도 영향을 줄 수 있습니다.
특히 임플란트 주변은 치아와 달리 신경이 없어 초기에 통증을 못 느끼다 보니, 뒤늦게 큰 문제가 생겨서야 알게 되는 경우가 많습니다.
“밥 먹고 이쑤시개 찾는 게 습관이 됐다”면? 5분만 집중해서 오늘 내용 꼭 끝까지 읽어주세요.
불편함의 원인을 이해하면 해결책도 명확해집니다^^
임플란트 음식물 끼임, 왜 자주 생길까?
임플란트 바로 앞의 자연치아는 시간이 지나며 미세한 틈이 벌어질 수 있습니다.

임플란트와 자연치아 사이에 벌어진 틈 — 음식물 끼임의 시작
왜냐하면 자연치아는 아주 조금씩 가운데로 움직이는 반면, 임플란트는 뼈와 단단히 붙어 움직이지 않기 때문이죠.
이렇기 때문에 시간이 지날수록 임플란트와 자연치아 사이에는 틈이 생기고, 그 틈으로 음식물이 자꾸 끼게 됩니다.
- 자연치아: 치주인대(PDL)가 있어 씹는 힘에 반응하며 아주 조금씩 가운데(근심)로 이동합니다.
- 임플란트: 뼈와 직접 결합(골유착)되어 있어 움직이지 않습니다.
- 결과: 시간이 지날수록 둘 사이에 틈이 벌어지고, 음식물이 끼게 됩니다.
이 틈 사이로 음식물이 들어가면 충치가 생기거나 잇몸이 붓는 원인이 될 수 있습니다.
따라서 임플란트 보철물을 제작할 때는 앞 치아와 최대한 밀착되도록 정밀하게 맞추는 것이 무엇보다 중요합니다.
보철물 주변 충치는 왜 잘 생길까?
보철물 인접 치아(즉, 옆 치아)는 정기적인 관찰이 꼭 필요합니다.
실제 임상에서 보면 보철물 주변은 충치가 더 쉽게 생기는데, 그 이유는 크게 두 가지 가능성이 있습니다.
1. 제작 과정에서의 영향
보철물을 제작하기 위해 치아 삭제를 하다 옆 치아를 함께 삭제하면서 표면이 거칠어졌다면, 그 부위에 음식물과 세균이 잘 달라붙어 충치가 더 잘 생길 수 있습니다. (이 경우는 발생 가능성이 낮지만 무시할 수는 없습니다.)
2. 이미 존재했던 충치
보철물을 제작하는 시점에 이미 옆 치아에도 충치가 있었는데, 치료되지 않고 시간이 지나면서 점점 더 진행된 경우입니다. 이 가능성이 실제로는 더 큽니다.
이런 점 때문에 서울쏙쏙치과에서는 치료를 할 때 늘 주변 인접 치아의 사진을 촬영하고, 충치가 있으면 레진 치료를 진행하는 것이죠.
오른쪽 아래 임플란트 인접 충치, 인레이로 어떻게 해결할까?
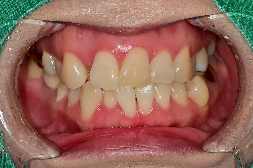
충치 검사와 스케일링을 원해 내원하셨습니다.

환자 초진 구강 사진 — 전체적인 치아 상태 확인
오른쪽 아래의 충치 진단

오른쪽 아래 — 임플란트, 벌어진 틈, 바로 앞 치아를 레이블로 표시
오른쪽 아래를 살펴보니 임플란트와 바로 앞 치아 사이에 벌어진 틈이 보입니다!
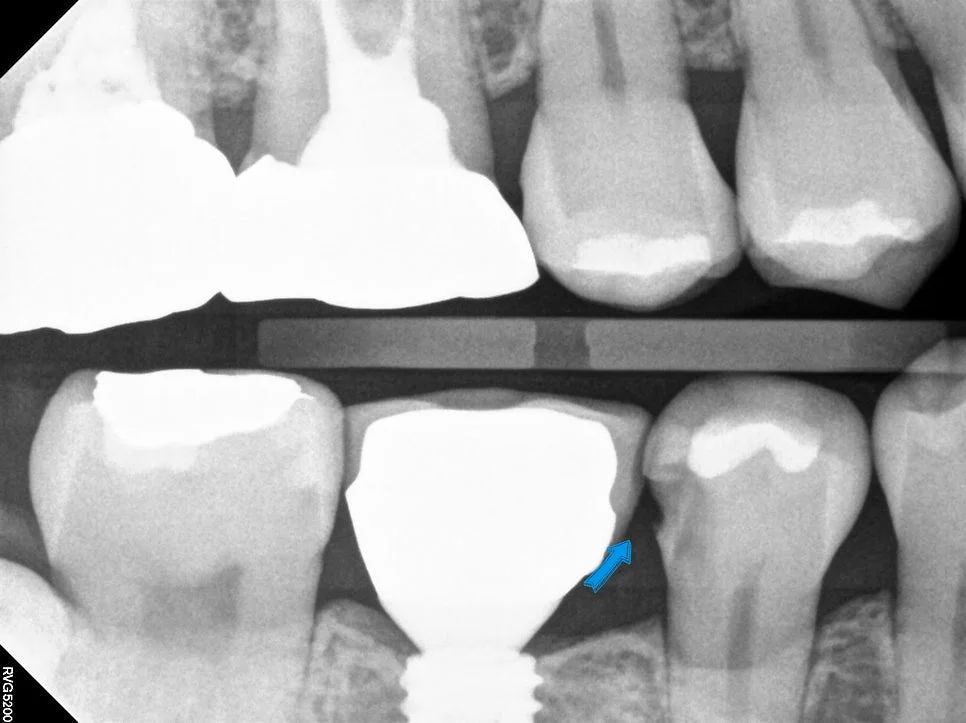
이렇게 틈이 벌어지면 음식물이 많이 끼게 되고 그 과정에서 충치가 생기는 경우가 흔한데요. 교익 방사선(Bitewing X-ray) 사진 촬영을 통해 치아 사이 충치를 확인해 보았는데요!

교익 방사선 사진 — 화살표로 치아 사이 충치(검은 음영) 위치 표시
방사선 사진상에서 치아가 있어야 할 위치에 검은 음영이 있다면 충치로 진단을 하는데 딱 그 자리에 충치가 있는 모습을 볼 수 있습니다ㅃ
해당 치아의 충치를 치료하고 음식물이 끼지 않게 하기 위해 임플란트와 긴밀한 틈(빡빡하게)을 만들어 주는 ‘인레이’ 치료를 계획합니다!
이 정도 크기의 충치는 비교적 큰 것으로, 많은 치과에서 “충치가 크다는 것”을 이유로 신경치료 및 크라운을 진단하는데요.
신경치료는 단순히 충치가 깊다고 하는 것이 아니라 온도에(차가운 것) 예민한 반응이 있을 때에 시행하는 것입니다^^
인레이 치료 과정


치아를 삭제하다 보면 충치가 발견되고 이렇게 기록으로 남겨놓습니다!
서울쏙쏙치과에서 과잉진료는 없습니다^^

본 채득 후 임시 재료로 매운 모습
치아를 다듬은 후 본을 채득하고 임시 재료로 매웁니다! 일주일 후 접착하면 끝!
왼쪽 아래 금니 교체와 충치 치료는 어떻게 진행될까?
왼쪽 아래의 진단

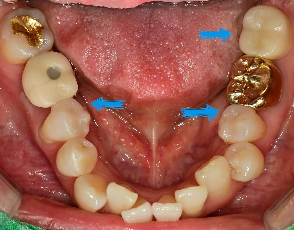
왼쪽 아래 — 금니 크라운 주변으로 충치 의심 부위 표시
왼쪽 아래의 경우 6번째 치아 금니(크라운) 주변으로 충치가 의심되는 모습입니다ㅃ
이 역시 교익 방사선 사진 촬영을 통해 정확하게 진단해 봅니다.

교익 방사선 사진 — 보철물 앞뒤 치아 모두 충치 진행 확인
역시나 보철물 앞뒤 치아 모두 충치가 진행되어 있는데요.
처음 골드 크라운을 제작할 때 앞뒤 치아의 충치 여부를 확인하고 있었다면 그때 치료했더라면, 하는 생각이 듭니다.
전체 치료 계획

파노라마 방사선 사진 — 파란색 화살표로 치료 대상 부위 종합 표시
파노라마 사진상에서는 다음과 같이 관찰되고 다음과 같이 치료 계획을 세웁니다!
왼쪽 아래 충치 치료 과정

왼쪽 아래 작은 어금니(5번째 치아) — 충치 모습 기록
왼쪽 아래 작은 어금니(5번째 치아)의 충치 모습 기록합니다!


왼쪽 7번째 치아의 금니를 제거한 후 충치를 확인해 봅니다! 치아 사이 부분에서 충치가 있고(위 사진) 수복물 하방에서도 깊은 충치가 진행하고 있네요(아래 사진).
역시나 깊다고 해서 신경치료를 하는 것은 절대 아니며, 온도에 반응이 없기에 신경치료는 하지 않습니다!^^
서울쏙쏙치과는 신경치료 진단을 충치 깊이가 아닌 온도 반응(차가운 자극에 대한 반응)으로 판단합니다.

파노라마 사진 — 치료 계획을 화살표로 종합 표시

최종 치료 완료 — 보철물을 접착하여 치료 종결
보철물을 제작하여 접착하면 치료는 종결됩니다.
좋은 보철물의 조건은 무엇일까?
좋은 보철물의 조건은 다음과 같습니다.
- 인접한 치아와 긴밀한 관계(빡빡한 사이 틈) — 음식물이 끼지 않도록 옆 치아와 밀착되어야 합니다.
- 인접한 치아와 높이 맞추기 — 양 옆 치아와 높이를 맞춰 자연스러운 교합을 만들어야 합니다.
- 편안하게 씹을 수 있게 높이 맞추기 — 반대편 치아와의 높이도 정밀하게 조정해야 합니다.
이 세 가지를 모두 충족하는 보철물이야말로 음식물 끼임 없이 오래 쓸 수 있는 좋은 보철물이라 할 수 있습니다.
임플란트 및 보철물 음식물 끼임, 어떻게 관리해야 할까?
임플란트 & 보철물 음식물 끼임 관리 3가지 팁
1. 정기검진 필수
임플란트와 인접 치아는 시간이 지나며 상황이 바뀔 수 있으므로, 최소 6개월마다 검진을 권장 드립니다.
2. 치실 강추
특히 임플란트 보철물 사이, 크라운 주변은 칫솔만으로는 부족합니다. 치실, 치간칫솔, 워터픽(강추) 등을 꼭 함께 사용해야 음식물 잔사가 남지 않습니다.
3. 조금의 이상에도 바로 내원
“가끔 시리다” “음식이 잘 낀다”라는 신호는 이미 충치가 진행 중일 가능성이 높습니다. 방치하지 말고 바로 검진을 받는 것이 좋습니다.
음식물 끼임은 그 자체로 충치와 잇몸질환을 유발할 수 있기에 상당히 중요한 문제이지만, 그에 반해 많은 원장님들께서 소홀히 하는 것 같습니다.
그저 과한 진료는 하지 않는다는 듯 “관리 잘 하시며 조금 더 써보세요”라고 넘어가는 듯 보입니다ㅃ
이런 사례를 너무 자주 보는 저로서는 마음이 아픈 상황입니다ㅃ
특정 위치에 음식물이 자주 끼인다면 (Ex. 임플란트 주변, 보철물 주변 등) 가까운 치과에서 검진을 받아보시어 혹시 충치는 생기고 있진 않은지, 잇몸질환이 진행 중이진 않은지 추적 관찰해 가면 좋을 것 같습니다^^
오늘의 정보가 음식물 끼임으로 불편하신 분들께 도움이 되는 정보였으면 좋겠습니다!^^ 다음에 또 봐요!
자주 묻는 질문
Q. 임플란트 음식물 끼임은 시간이 지나면 자연히 해결되나요?
아닙니다. 오히려 시간이 지날수록 자연치아는 조금씩 가운데로 이동하고 임플란트는 고정되어 있기 때문에 틈이 더 벌어질 수 있습니다. 음식물 끼임이 반복된다면 빠른 시일 내에 치과에서 검진을 받으셔야 합니다. 방치하면 인접 치아의 충치나 잇몸 질환으로 이어질 수 있습니다.
Q. 충치가 깊으면 무조건 신경치료를 해야 하나요?
아닙니다. 신경치료는 단순히 충치 깊이만으로 결정하지 않습니다. 서울쏙쏙치과에서는 차가운 온도에 대한 예민한 반응 여부를 기준으로 신경치료를 판단합니다. 충치가 깊더라도 온도 반응이 정상이면 인레이나 크라운으로 치료가 가능합니다.
Q. 인레이 치료로 음식물 끼임을 완전히 해결할 수 있나요?
인레이 치료 시 임플란트와 자연치아 사이에 긴밀한 틈(빡빡한 접촉)을 만들어 주면 음식물 끼임을 크게 줄일 수 있습니다. 다만 시간이 지나며 자연치아가 다시 미세하게 이동할 수 있으므로, 6개월마다 정기검진을 통해 상태를 확인하는 것이 중요합니다.
Q. 워터픽은 임플란트 관리에 정말 효과적인가요?
네, 강력히 추천합니다. 워터픽(구강세정기)은 수압으로 치아 사이와 임플란트 보철물 주변의 음식물 잔사를 효과적으로 제거합니다. 특히 임플란트와 자연치아 사이 틈, 크라운 주변 등 칫솔만으로는 닿기 어려운 부위를 깨끗하게 관리할 수 있어 충치와 잇몸 질환 예방에 큰 도움이 됩니다.
Q. 금니(골드 크라운) 교체 시기는 어떻게 알 수 있나요?
금니 자체는 내구성이 좋지만, 크라운 주변 인접 치아에 충치가 생기거나 음식물이 자주 끼기 시작하면 교체를 고려해야 합니다. 겉으로 보기에는 멀쩡해 보여도 크라운 하방이나 인접면에 충치가 진행 중일 수 있으므로, 교익 방사선 촬영을 통한 정기적인 확인이 가장 정확한 판단 방법입니다.
32개 연구 메타분석에서 임플란트 지지 보철의 5년 생존율은 95.4%, 10년 생존율은 80.1%로 확인되었습니다. 장기적으로 안정적인 결과를 위해 정기 검진과 관리가 필수적입니다.
— Pjetursson BE et al. (2012), Clin Oral Implants Res, 23(S6):22-38
좋은 진료를 정직하게 | 선한 영향력으로 더 나은 가치를
강서구 마곡 서울쏙쏙치과 꿈꾸는 쏙쏙 치과의사 박상억이었습니다.
함께 읽으면 좋은 글
본 포스팅은 의료법에 의거하여 치료가 필요한 환자분들을 위한 정보제공 목적으로 작성되었습니다. 개인에 따라 치료 결과가 다를 수 있으니 반드시 전문의 상담을 받으시기 바랍니다.