좋은 진료를 정직하게 | 선한 영향력으로 더 나은 가치를
완전 매복 사랑니도 수면으로 발치할 수 있을까? 뿌리가 남으면 어떻게 될까?
강서구 마곡 서울쏙쏙치과 수면 매복 사랑니 발치 증례
안녕하세요^^
좋은 진료를 정직하게, 선한 영향력으로 더 나은 가치를 전하는 강서구 치과 서울쏙쏙치과 꿈꾸는 쏙쏙 치과의사 박상억입니다.
이번 포스팅은 대학병원에서 리퍼로 오신 환자분의 수면 사랑니 발치 케이스를 소개드리려 합니다.
이번 케이스는 하악 사랑니가 신경관과 가까우면서 뿌리가 서로 다른 방향으로 휘어 있는 난발치 상황이었는데요. 환자분들이 흔히 궁금해하시는 사랑니 발치 후 “뿌리가 남으면 어떻게 되나요?”라는 질문까지 함께 풀어드리겠습니다.
치과에서 수면 마취란 무엇일까?
치과에서 수면마취, 어떤 느낌일까요?
수면마취의 정식 용어는 의식하 진정법(Conscious Sedation)이라고 합니다. 조금 더 쉽게 설명드리자면, “자는 듯하면서도, 깨어 있는 듯한” 특별한 상태라고 할 수 있습니다.
깊은 숙면처럼 보이지만, 큰 소리로 이름을 부르면 반응할 수 있을 정도로 안전한 안정 상태죠.
환자분들 입장에서는 발치 과정을 전혀 기억하지 못하고, “어? 벌써 끝난 거예요?” 하고 놀라시는 경우가 많습니다.
수술에 대한 긴장과 두려움을 최소화하면서도, 필요할 때는 깨워서 대화가 가능한, 편안하면서도 안전한 방법이라 할 수 있습니다.
다만, 안전하게 시행되려면 숙련된 의료진이 정맥 라인을 직접 잡고 약물을 세심하게 조절해야 합니다.
그래서 저는 환자분들께 늘 이렇게 말씀드립니다.
“수면마취 자체는 편안하지만, 가장 중요한 건 누가 집도하느냐입니다.”
그렇다면 사랑니 발치 수면마취가 강서구 사랑니 치과에서 더욱 안심할 수 있는 경험으로 느껴지는 이유는 무엇일까요?
강서구 수면치과의 특별한 발치 시스템은?
1. 대표원장의 직접 정맥 확보
모든 환자의 혈관 확보를 대표원장이 직접 진행합니다. 빠르고 안정적으로 수면마취를 시작할 수 있고, 필요할 때마다 즉각적으로 조절이 가능합니다.
2. 자가 혈액 지혈제(PRF) 사용
환자 본인의 혈액에서 만든 PRF(Platelet-Rich Fibrin, 다혈소판섬유소) 지혈제를 활용해 발치 후 붓기와 통증을 줄이고, 많은 분들이 걱정하는 합병증인 ‘드라이 소켓(Dry Socket)’도 예방할 수 있습니다.
3. 사전 진통제 주사
발치 전 미리 진통제를 정맥으로 투여해 두면, 수술 후 통증과 부기가 훨씬 덜합니다.
실제로 치료받으신 환자분들께서는 “생각보다 훨씬 수월했어요”라는 이야기를 자주 해주십니다.
이처럼 차별화된 방식 덕분에 보다 안심할 수 있는 사랑니 발치 수면마취가 가능하고, 자연스럽게 “수면 치료를 잘하는 치과”로 평가받을 수 있겠죠^^
대학병원 리퍼 매복 사랑니, 실제 치료 과정은?
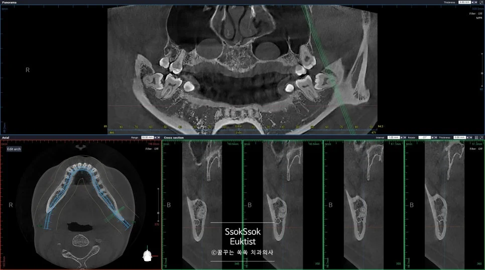
환자분께선 왼쪽 위, 아래 사랑니(좌측 상악 제3대구치와 좌측 하악 제3대구치)가 통증이 심하여 발치를 원하셨습니다.

상악 왼쪽 사랑니 구강 내 사진


파노라마와 CBCT(Cone Beam CT) 촬영 결과, 왼쪽 위 사랑니는 쉽게 발치할 수 있는 사랑니였고, 왼쪽 아래 사랑니의 경우 신경관과 1mm 이내로 붙어 있는 신경 손상의 위험이 있는 매복 사랑니입니다.
그 어려운 것을 거진 매일 발치하는 치과가 있다구요?
첫 번째 수면 마취
한편 환자분은 치과 공포가 심해 수면 진정(의식하 진정법 + 아산화질소(N2O))으로 치료가 진행되었습니다.


사랑니가 예쁘게 제거되었습니다!

수면마취에 사용된 약물은 사용 즉시 폐기합니다^^
수면으로 편안하게 매복된 왼쪽 위아래 사랑니가 잔여 뿌리 없이 발치가 잘 된 모습입니다 🙂
사랑니 발치 후 다음 날, 많이 붓고 아프진 않으셨을까요?

수술 후 회복 경과 안내
수술 후 다음 날 비교적 괜찮았다면 그 이후에도 편안하게 낫게 마련입니다! 7일 정도 후에 실을 풀면 사랑니와의 이별~^^
그래서인지 왼쪽편 실을 푸는 날, 반대편 사랑니 발치 및 다른 치료도 함께 원하셨습니다.
두 번째 수면 마취
오른쪽 아래 사랑니의 경우 신경관과 바로 붙어 있습니다.

오른쪽 아래 사랑니 — 신경관과 바로 붙어 있는 상태
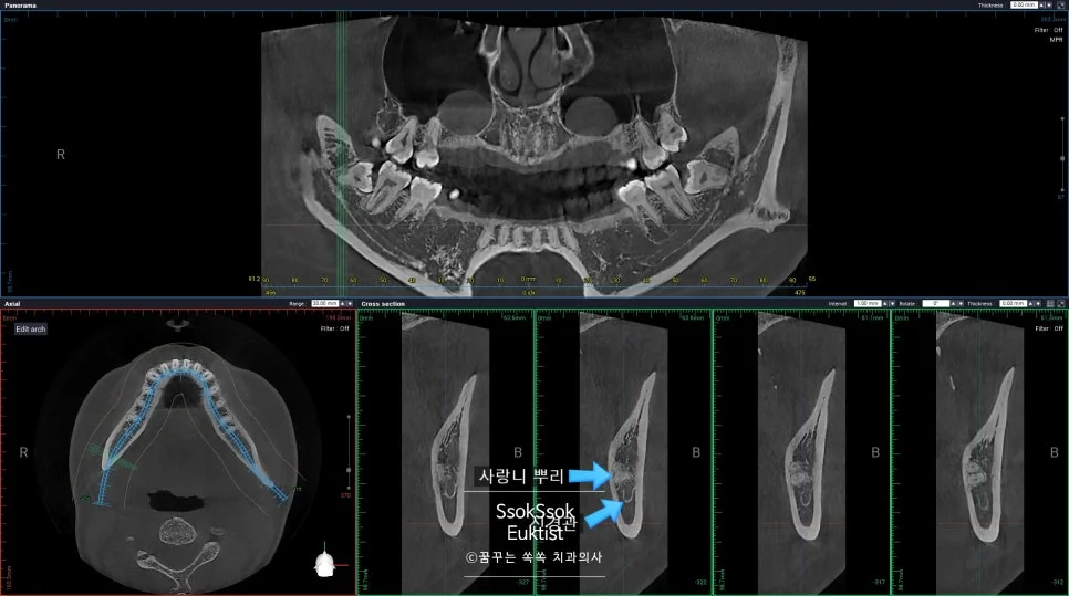
하지만 그보다 더 걱정인 건 사랑니 뿌리의 모양인데요.

사랑니 뿌리가 서로 다른 방향으로 휘어 있는 구조
뿌리가 서로 다른 방향으로 휘어 있어 한 번에 나올 수 없는 상황인데요. 이런 경우 뿌리가 전부 나오지 않고 뿌리의 조각이 일부 남아 있게 될 수 있습니다.
우선은 수면 마취 하에 제거를 시도해 봅니다!

역시나 아래쪽 뿌리 일부가 남게 된 상태
사랑니 뿌리가 남았는데 괜찮을까?
역시나 아래쪽 뿌리 일부가 남게 되었는데요. 여기서 두 가지 선택지가 있습니다.
선택 1. 무리해서 뿌리 끝까지 제거
잘 접근이 되지 않고 깊은 부분에 무리한 기구 조작은 신경 손상 가능성이 있습니다🚫
선택 2. 그대로 두고 자연 치유 유도
거의 대부분 문제없이 치유됩니다.
1) 뼈의 일부로 둘러싸이거나
2) 조금씩 움직여 올라오면 쉽게 제거하면 됩니다.
이 경우 신경 손상 위험을 피하고 안전하게 두는 방법을 선택했습니다. 실제로 이런 경우 작은 뿌리 조각은 자연스럽게 흡수되거나 별다른 문제 없이 치유되는 경우가 많으니, 굳이 무리해서 제거할 필요는 없겠죠^^

오른쪽 위 사랑니는 잔존 뿌리 없이 깨끗하게 발치

수면 약물은 즉시 폐기합니다^^

수면마취로 꿈꾸듯 편안하게, 양쪽 사랑니 발치와 충치 치료까지 마무리된 모습 🙂
수면 발치가 꼭 필요한 이유는?
난발치는 뼈 삭제, 치아 분할 등 시간이 길어지고 환자가 긴장할 수밖에 없는 수술입니다.
수면 발치를 하면 환자는 과정을 기억하지 않아 훨씬 편하고, 의료진도 안정적으로 집중할 수 있어 안전성이 높습니다.
환자의 두려움과 통증을 줄이고 안정적인 수술 진행을 돕는다 — 사랑니와 함께 필요한 충전 및 보철 치료까지 한 번에 해결 가능하니, 치과 공포로 치료를 미루고 계신다면, 수면으로 치료받지 않을 이유가 없겠죠^^
사랑니 발치는 단순히 치아를 빼는 게 아니라, 신경, 뼈, 치아 뿌리 형태까지 종합적으로 고려해야 하는 수술입니다. 대학병원에서도 리퍼 될 정도로 까다로운 사랑니도 저희 병원에서는 수면 치료로 안전하게 진행하고 있으니, 사랑니로 고민이 있다면 꼭 상담받아보시길 권합니다.
오늘의 정보가 사랑니 발치를 고민하시는 분들께 도움이 되는 정보였으면 좋겠습니다!^^ 긴 글 읽어주셔서 감사합니다.
20개 기관에서 1,826건의 하악 사랑니 발치를 분석한 다기관 연구에서 전체 합병증 발생률은 10.0%였습니다. 건성 발치와(3.2%)가 가장 흔했으며, 32세 이상과 깊은 매복이 주요 위험 요인으로 확인되었습니다.
— Yamada SI et al. (2022), Medicine, 101(32):e29989
자주 묻는 질문
Q. 사랑니 뿌리가 남았는데 괜찮을까요?
정답은! 괜찮습니다. 억지로 제거하다 신경을 건드리면 오히려 하악 저림, 감각 이상이 생길 수 있습니다. 작은 뿌리 조각은 대부분 자연스럽게 흡수되거나 문제없이 치유됩니다. 만약 뿌리 조각이 잇몸 위로 올라오면 그때 쉽게 제거하면 됩니다.
Q. 수면 발치가 꼭 필요한가요?
난발치는 뼈 삭제, 치아 분할 등 시간이 길어지고 환자가 긴장할 수밖에 없는 수술입니다. 수면 발치를 하면 환자는 과정을 기억하지 않아 훨씬 편하고, 의료진도 안정적으로 집중할 수 있어 안전성이 높습니다. 치과 공포로 치료를 미루고 계신다면 수면 발치를 적극 권유 드립니다.
Q. 대학병원에서 리퍼(의뢰)된 사랑니도 동네 치과에서 발치할 수 있나요?
네, 가능합니다. 대학병원에서 리퍼되는 경우는 주로 신경관 인접, 뿌리 형태 이상 등 난발치에 해당하는데요. 서울쏙쏙치과에서는 CBCT(콘빔CT) 정밀 진단을 기반으로 매일 이런 난발치를 수면 마취 하에 안전하게 진행하고 있습니다. 중요한 것은 의료진의 경험과 장비입니다.
Q. 수면마취 후 회복 시간은 얼마나 걸리나요?
수면마취(의식하 진정법)는 전신마취와 달리 약물 효과가 빠르게 소실됩니다. 시술 후 약 30분~1시간 정도 회복실에서 안정을 취하시면 정상적으로 귀가하실 수 있습니다. 다만 당일 운전은 피하시는 것이 좋으며, 보호자분과 함께 오시는 것을 권장합니다.
Q. 사랑니 양쪽을 한 번에 발치하지 않고 나눠서 한 이유가 있나요?
양쪽 모두 난발치였기 때문에 한쪽씩 나눠서 진행하는 것이 회복에 유리합니다. 한쪽이 아물고 있는 동안 반대편으로 식사가 가능하여 일상생활에 지장이 적습니다. 이번 케이스에서도 왼쪽 실을 풀 때 반대편 발치를 진행하여 효율적으로 마무리했습니다.
좋은 진료를 정직하게 | 선한 영향력으로 더 나은 가치를
강서구 마곡 서울쏙쏙치과 꿈꾸는 쏙쏙 치과의사 박상억이었습니다.
본 포스팅은 의료법에 의거하여 치료가 필요한 환자분들을 위한 정보제공 목적으로 작성되었습니다. 개인에 따라 치료 결과가 다를 수 있으니 반드시 전문의 상담을 받으시기 바랍니다.