좋은 진료를 정직하게 | 선한 영향력으로 더 나은 가치를
앞니 임플란트 성공 조건 4가지와 의식하진정요법으로 편안한 식립
마곡치과추천 꿈꾸는 쏙쏙 치과의사 박상억입니다 🙂
안녕하세요^^
살다 보면 예상치 못하게 앞니에 임플란트 치료를 해야 하는 경우가 발생할 수 있는데요.
앞니에 임플란트가 필요한 상황은 생각보다 다양하게 발생하며, 앞니 임플란트는 기능뿐 아니라 심미적인 완성도까지 중요한 시술입니다.
앞니 임플란트에 대한 정보와 예시를 통해 치료 과정에 대해서도 쉽게 설명드리겠습니다. 5분만 집중해서 보실까요?
앞니 임플란트가 필요한 경우는?
앞니 임플란트, 단순히 치아가 빠졌을 때만 필요한 걸까요? 사실 그보다 훨씬 다양한 이유로 필요해지는 경우가 많습니다.
- 1. 예기치 못한 외부 충격 — 넘어지거나 부딪히는 사고처럼 갑자기 강한 힘이 가해지면 치아가 깨지거나 뿌리까지 손상되는 경우가 있습니다.
- 2. 신경치료 후 약해진 치아 — 충치가 깊어 신경치료를 받으면 치아 내부가 약해지기 때문에, 시간이 지나면서 금이 가거나 부러질 위험이 높아집니다.
- 3. 잇몸질환으로 흔들리는 치아 — 치주병으로 인해 치아를 잡아주는 잇몸 뼈가 녹아버리면 결국 치아가 지탱을 못 하고 임플란트로 대체해야 하는 상황이 생깁니다.
- 4. 불편한 브릿지·틀니 대체 — 기존 보철물이 맞지 않거나 불편할 경우, 보다 자연스럽고 안정적인 임플란트로 다시 치료를 받으시는 경우도 있습니다.
이처럼 앞니 임플란트는 단순한 치아 대체 이상의 의미가 있습니다. 심미성, 기능, 잇몸 상태까지 모두 고려한 종합적인 치료가 필요한 부위인 만큼, 정확한 진단과 세심한 계획이 중요하겠죠.
앞니 임플란트 성공을 위한 4가지 조건은?
앞니 임플란트!! 많은 치과의사들이 부담스러워하는 고난도 진료인데요. 왜 그런 걸까요?
기본적으로 임플란트가 성공하기 위해서는 뼈와 유착에 성공해야 하는데요! 이것만 성공하는 것도 사실 쉽지 않기에, 임플란트 관련 통증, 부작용들이 많이 생기고 그로 인해 치료 기간이 아주 길어진다거나 결국 임플란트를 다시 심는 경우도 많습니다.
하지만 앞니는 그 이상의 디테일이 필요한데요. 치아 색감, 모양, 잇몸 라인까지 정교하게 조화되어야 자연스럽고 만족스러운 결과를 만들 수 있습니다.
- 정확한 위치에 임플란트를 식립 — 조금만 방향이 틀어져도 심미성과 기능이 모두 떨어질 수 있습니다.
- 잇몸의 형태를 최대한 보존하는 수술 — 잇몸이 자연스러워야 보철물도 더 자연스럽게 보입니다.
- 주변 뼈보다 2~3mm 깊이로 식립 (★중요★) — 이는 장기적 안정성에 아주 중요한 요소입니다.
- 입천장 쪽 방향으로 식립해 입술 쪽의 뼈를 보존 (★중요★) — 입술 쪽의 뼈는 쉽게 흡수될 수 있기에, 최대한 입술 쪽 뼈를 많이 남겨놓는 것이 장기적인 임플란트 성공률에 핵심입니다.
앞니는 말할 때나 웃을 때 가장 먼저 보이는 부위입니다. 기능적으로 잘 씹히는 것뿐만 아니라, 자연치아처럼 보이는 심미적 완성도가 매우 중요합니다. 이 모든 걸 잘하는 치과가 앞니 임플란트 치료를 잘하는 강서구 치과로 볼 수 있겠죠.
임플란트 치료에 도움 되는 꿀팁은?
임플란트를 치료를 생각하면 가장 많이 고민하시는 대표적인 두 가지가 있는데요. 바로 ‘치료 공포’ 및 ‘치료 비용’이 아닐까 합니다.
첫 번째, 치과 공포를 크게 줄일 수 있는 방법은?
의식하진정요법 마취를 통해 치료를 받으면 잠깐 자고 일어나면 수술이 잘 마무리되어 있기에 편안하게 임플란트 치료를 받으실 수 있습니다. 가볍게 의식을 유지하면서도 몸과 마음은 편안한 상태에서 치료가 진행되기 때문에, 치과 공포가 있으신 분들도 안정적으로 치료받을 수 있습니다.
International Journal of Oral and Maxillofacial Implants에 발표된 전향적 연구에 따르면, 임플란트 수술 환자의 72.2%가 수술 전 중등도~높은 수준의 불안감을 보였습니다. 그러나 정맥 의식하진정요법을 적용한 결과, 수술 의사의 90%가 불안 조절에 만족스러운 결과를 보고하여 효과적인 불안 관리 방법으로 확인되었습니다.
— Bovaira M et al. (2017), International Journal of Oral and Maxillofacial Implants, 32(4):912-918
두 번째, 비용적인 부담을 줄일 수 있는 방법은?
만 65세 이상이라면 건강보험 혜택을 활용하여 임플란트 치료가 가능합니다. 당연히 앞니 임플란트도 보험 적용이 가능하며, 건강보험 혜택으로 평생 2개까지 지원받을 수 있고 본인 부담금도 적어져 경제적 부담을 크게 줄일 수 있습니다.
앞니 임플란트 치료 과정은?
Step 1. 시술 전 상태 (Before)


오른쪽 위 앞니 3개는 상당한 충치 그리고 잇몸 염증으로 발치가 필요한 상황입니다. 오른쪽 위 4번째 치아는 이미 뿌리만 남아 있고 뿌리에서는 고름도 나오고 있는 상황입니다.
4개의 치아가 발치가 필요하고, 이를 채우기 위해서 3개의 임플란트 식립을 진행합니다. (발치한 치아만큼 임플란트를 심을 이유는 없습니다)
Step 2. CBCT 3차원 식립 계획

CBCT 3차원 사진을 기반으로 식립 위치 계획
3차원 사진(CT)를 기반으로 임플란트 식립 위치를 가늠하고 예쁘게 식립합니다!
Step 3. 식립 후 파노라마 확인

식립 후 파노라마 – 3개 임플란트 식립 확인
적절한 위치에, 적절한 각도로, 주변 골보다 2~3mm 깊게 식립되었다면 잘 심긴 임플란트로 볼 수 있습니다.
Step 4. 임시 틀니(Flipper) 장착

임시 틀니(Flipper) 장착 모습
발치 후 임플란트가 유착될 때까지는 2~4개월 정도 기다려야 하는데, 앞니의 경우 이가 없으면 너무 보기가 좋지 않죠. 임시로 사용할 수 있는 틀니를 제작해 드려 불편함을 최소화합니다. (Flipper, 임시틀니)
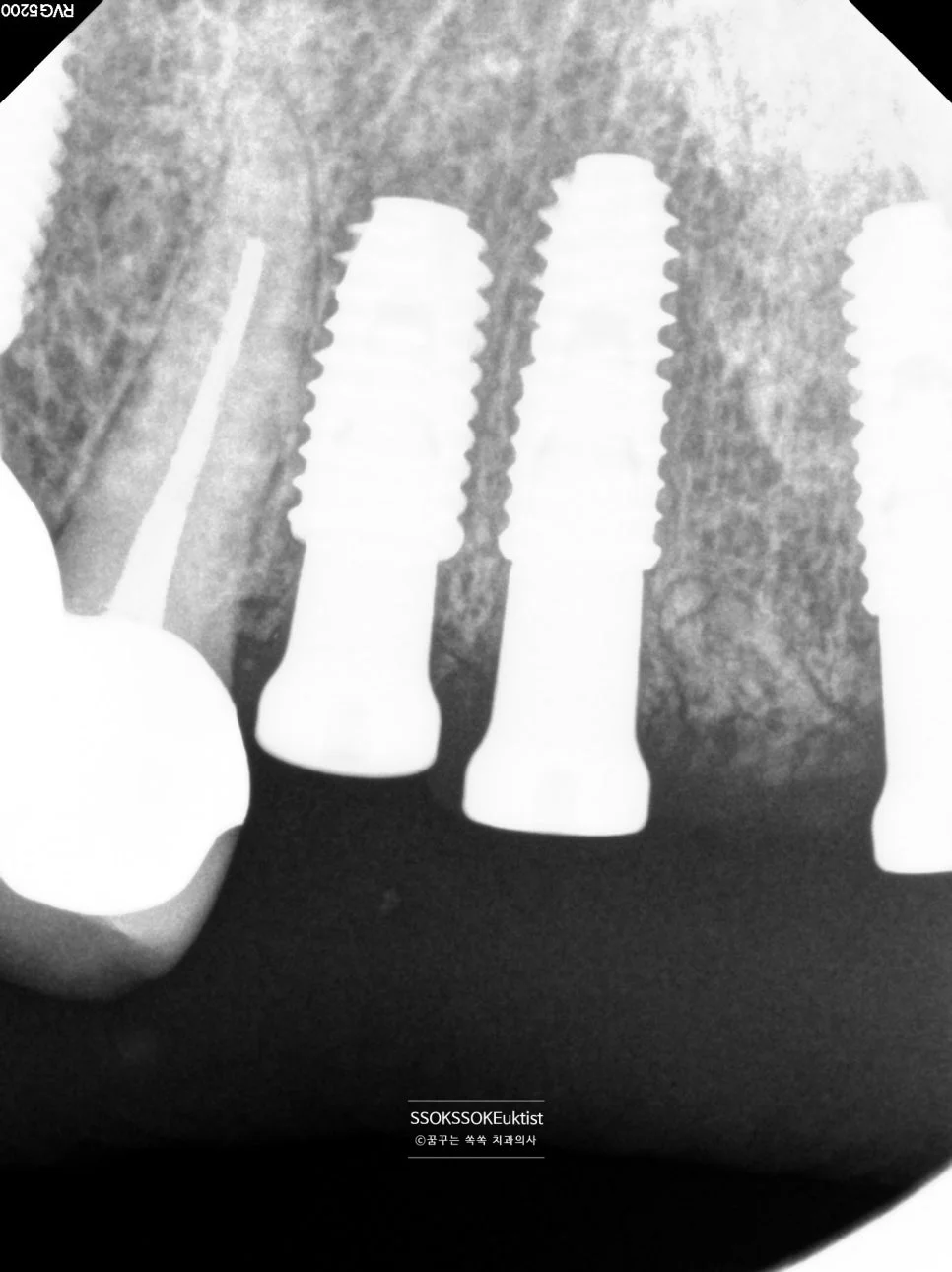
Step 5. 치근단 X-ray 확인

치근단 X-ray – 주변 뼈보다 2~3mm 깊이로 식립 확인
주변 뼈보다 2~3mm 깊이로 식립된 모습이니 임플란트 치료가 잘 되었다고 볼 수 있겠죠.
Step 6. 힐링 어버트먼트 연결

힐링 어버트먼트 연결 – 상악 교합면
대략 2개월가량 기다린 후 잇몸 밖으로 본을 뜨기 위한 단추를 연결합니다.
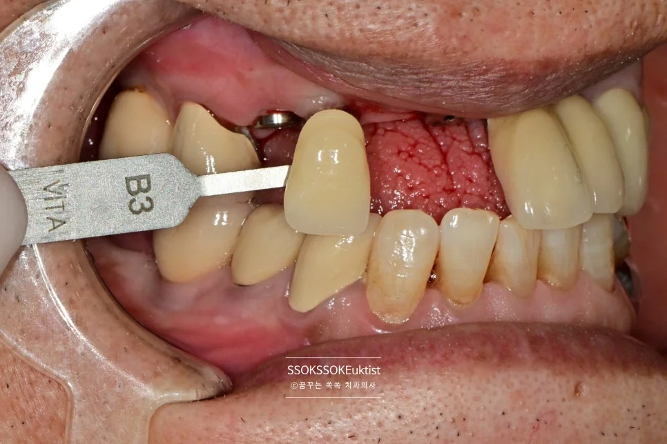
Step 7. 쉐이드 매칭 (색상 결정)

쉐이드 가이드로 최적의 색상 매칭
앞니는 색상 또한 너무 중요하기에 가장 적합한 색상을 shade-guide 기준으로 기록하고 최종 보철물을 의뢰합니다.
앞니는 모든 치아 중에서도 ‘가장 정교한 설계’가 필요한 자리입니다. 식립 위치, 각도, 깊이부터 잇몸 높이, 치아 모양, 색상까지 단 하나도 중요하지 않은 부분이 없는데요. 그렇기에 무엇보다 중요한 건 경험과 노하우겠죠.
치과 공포가 있으시다면 의식하진정요법 치료와 함께, 만 65세 이상이시라면 보험 임플란트를 사용하여 합리적인 혜택으로 치료받으실 수 있습니다.
앞니 임플란트를 고려 중이시라면, 디자인부터 식립까지 전 과정을 직접 담당하는 전문의와 꼭 상담받아보시길 추천드립니다.
앞니 임플란트 치료가 필요하신 분들께 이 글이 도움이 되는 정보였으면 좋겠습니다. 긴 글 읽어주셔서 감사합니다.
자주 묻는 질문 (Q&A)
Q. 앞니 임플란트와 어금니 임플란트의 차이점은?
어금니 임플란트는 씹는 기능이 가장 중요하지만, 앞니 임플란트는 기능에 더해 심미적인 완성도가 핵심입니다. 식립 위치, 각도, 깊이뿐 아니라 잇몸 라인, 치아 색상, 모양까지 정교하게 조화시켜야 하므로 앞니 임플란트가 훨씬 높은 난도를 보입니다. 강서구 서울쏙쏙치과에서는 심미와 기능을 모두 고려한 앞니 임플란트를 진행하고 있습니다.
Q. 의식하진정요법은 전신마취와 다른가요?
네, 다릅니다. 전신마취는 완전히 의식이 없는 상태지만, 의식하진정요법은 가볍게 의식을 유지하면서도 몸과 마음이 편안한 상태에서 치료가 진행됩니다. 잠깐 자고 일어나면 수술이 마무리되어 있어 치과 공포가 있으신 분들도 안정적으로 치료받을 수 있습니다. 회복 시간도 전신마취보다 훨씬 짧습니다.
Q. 앞니 임플란트도 보험 적용이 되나요?
네, 만 65세 이상이라면 앞니 임플란트도 건강보험 혜택 적용이 가능합니다. 평생 2개까지 지원받을 수 있으며, 본인 부담금도 적어져 경제적 부담을 크게 줄일 수 있습니다. 보험 적용 대상인지 확인이 필요하시다면 서울쏙쏙치과로 문의해 주세요.
Q. 발치 후 앞니가 없는 기간에는 어떻게 하나요?
발치 후 임플란트가 뼈와 유착될 때까지 2~4개월 정도 기다려야 합니다. 이 기간 동안 임시 틀니(Flipper)를 제작해 드려 심미적 불편함을 최소화합니다. 임시 틀니를 착용하면 일상생활에서 앞니가 없는 것이 눈에 띄지 않아 편안하게 치유 기간을 보내실 수 있습니다.
좋은 진료를 정직하게 | 선한 영향력으로 더 나은 가치를
앞니 임플란트를 연구하는 수면 치과의사 박상억이었습니다.