오래된 아말감 교체 기준과 치료 방법은?

2015년 이전에 충치 치료를 받으셨던 분들, 잠깐 주목해 주세요.
당시 치료받으셨다면 아말감을 사용하셨을 가능성이 매우 높습니다.
오늘은 오래된 아말감에서 생기는 문제와, 교체가 필요한 기준, 그리고 신경치료 없이 크라운으로 해결하는 방법을 실제 증례와 함께 알기 쉽게 설명드리겠습니다.

📋 30초 요약 (바쁘신 분들을 위해)

오래된 아말감은 변색, 미세균열, 이차충치 등의 문제가 발생할 수 있어 상태에 따라 교체가 필요합니다. 레진이나 인레이 등 현대적 재료로 교체하면 심미성과 기능 모두 개선됩니다. 교체 기준은 X-ray 검사를 통해 판단합니다.

아말감의 평균 수명은 약 10~15년이며, 교체 시 이차충치 발견율은 약 30~40%로 보고됩니다.

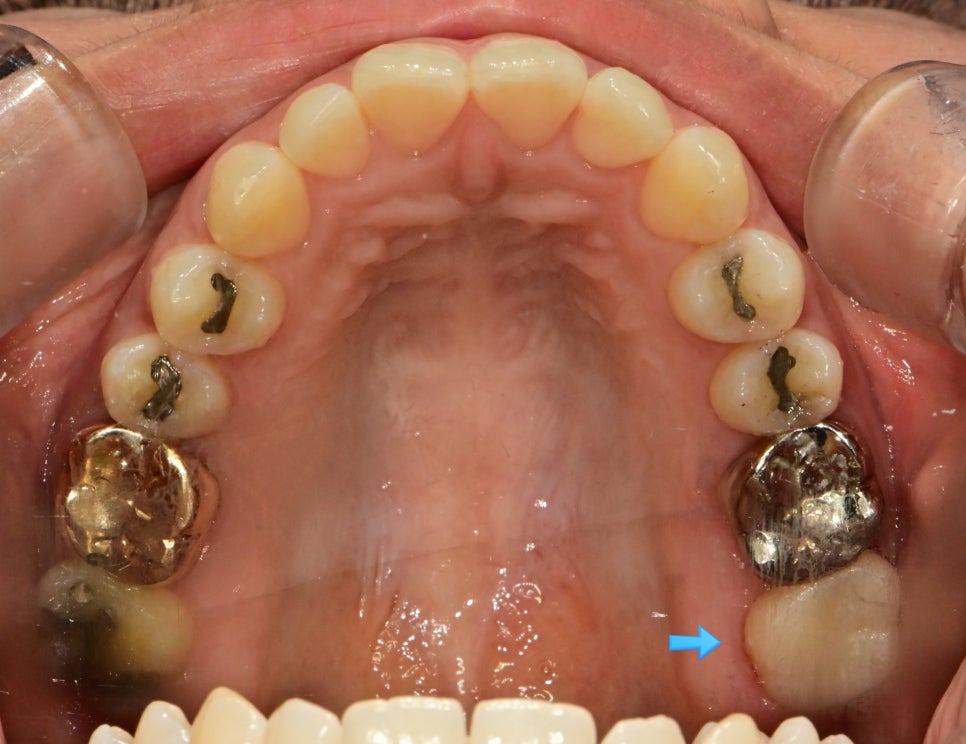
상악 교합면 사진 — 4개 치아에 아말감 충전물이 파란 화살표로 표시된 before 임상 사진

▲ 아말감으로 충치 치료를 여러 개 받으신 환자분의 상악 교합면

1. 치과 아말감은 어떤 재료이며, 지금은 왜 사용하지 않을까요?

아말감이란?

아말감은 수은, 은, 주석, 구리 등 금속 성분을 섞어 만든 물질로, 충치를 제거한 부분에 충전하여 오랫동안 사용해 온 검증된 재료입니다.

  • 치아보다 적절한 강도를 가져 수복물로 사용하기에 적합합니다
  • 중금속 포함으로 인해 잘 치료된 부위에서는 충치 예방 효과도 있습니다

그런데 왜 지금은 아무도 사용하지 않을까요?

아말감 치료의 2가지 핵심 단점

  • ① 수은 노출 문제 — 아말감이 굳는 과정과 제거하는 과정에서 수은 증기가 발생하여 환자와 치과 종사자 모두 높은 농도의 수은에 노출됩니다.
  • ② 시간이 지나면서 팽창 — 아말감은 점진적으로 팽창합니다. 수복 영역이 넓어 남아있는 치아 벽이 얇아지면 치아 파절·크랙·이차 충치로 이어질 수 있습니다.

현재는 접착력과 심미성이 뛰어난 레진·세라믹 재료가 일반적으로 사용되고 있으며, 기능적·미용적 측면 모두에서 아말감보다 우수합니다.

2. 아말감, 무조건 재치료가 필요할까요?

결론부터 말씀드리면 — 그렇지 않습니다.
크기가 작고 안정적으로 유지되며, 증상이 없는 아말감은 굳이 제거할 필요가 없습니다.
오히려 불필요한 제거는 치아에 해를 줄 수 있으므로 치과의사의 판단이 반드시 필요합니다.

3. 오래된 치과 아말감의 대표적인 2가지 문제

아말감 교체가 필요한 기준

  • ① 수복된 아말감 파절 및 이차 충치 진행
  • ② 아말감 팽창으로 인한 치아 크랙(균열)
우측 구치부 근접 임상사진 — 아말감 경계 파절과 변색 부위에 화살표 표시

▲ 아말감 경계 파절·변색 — 이차 충치 의심 증례

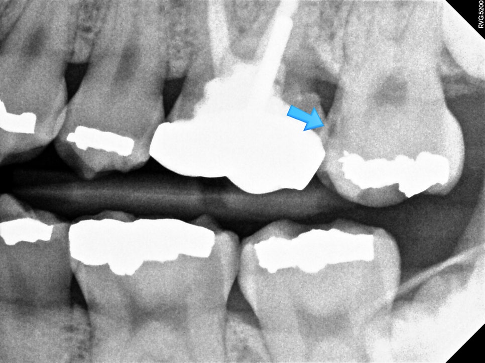
치근단 X-ray — 아말감 하방 이차 우식 의심 부위에 파란 화살표 표시된 방사선 사진

▲ 방사선 사진으로 확인한 아말감 하방 이차 우식 — 육안으로 보이지 않는 충치도 X-ray로 확인 가능

이 치아의 경우 아말감은 겉으로 양호해 보이지만, 앞쪽으로 충치가 진행된 것을 확인할 수 있습니다.

두 치아의 대형 아말감 — 변연 파절과 균열이 화살표로 표시된 임상 사진

▲ 아말감 팽창으로 인한 치아 크랙(균열) — 위 치아는 팽창으로 크랙, 아래 치아는 아말감 파절 후 이차 충치 진행

이러한 상태의 아말감은 재치료가 적합하며, 증상과 환자분의 의사에 따라 인레이 또는 크라운 치료를 진행합니다. 아말감의 크기가 넓은 경우에는 인레이보다 크라운 치료가 더 적절한 선택입니다.

4. 신경치료가 필요하지 않을까요?

크라운 치료는 잇몸 상방으로 치아 주변을 삭제하여 모자 형태로 씌우는 치료로, 치아가 상대적으로 많이 손상되었을 때 시행합니다.

신경치료 없이 크라운이 가능한 조건

  • 찬 것·뜨거운 것에 예민하지 않을 것 (신경 손상 여부 확인)
  • 뿌리 끝 염증이 보이지 않을 것 (X-ray 확인)

위 두 조건을 충족한다면 신경치료 없이 크라운만으로 치료가 가능합니다.

아말감 제거 후 깨끗하게 형성된 와동 임상사진 — 아말감 하방 상태 확인

▲ 아말감 제거 후 드러난 와동 — 아말감 아래 숨어있던 문제를 확인합니다

와동 다른 각도 임상사진 — 인접면 삭제 및 와동 형성 상태 기록

▲ 다각도에서 기록한 와동 형성 상태

신경치료 없이 크라운, 왜 난도가 높을까요?

1상아질 진정 처리가 핵심
치아를 삭제하면 시린 감각을 잘 느끼는 ‘상아질’ 조직이 드러납니다. 이 부분이 충분히 처치되지 않으면 크라운 치료 후에도 시린 증상이 남거나 새로 생길 수 있습니다.
2레진 접착의 정확성
충치나 기존 수복물 제거 후 레진으로 다시 채울 때, 상아질 표면 접착이 적절히 처치되지 않으면 시린 증상이 지속될 수 있습니다.
아말감 제거 후 드러난 치아 내부 — 한글 주석으로 치아 금(crack)과 충치 부위 표시

▲ 아말감 제거 후 선명하게 드러난 이차 충치와 치아 크랙 — 인레이보다 크라운이 적합한 증례

많은 치과에서 흔히 보이는 두 가지 진단

  1. 증상이 없어도 신경치료 후 크라운 권유
  2. 더 불편해질 때까지 지켜보자는 소견 (실제 치료가 필요한 상황임에도)

이는 모두 상아질 ‘진정 처리’가 어렵기 때문에 생기는 판단입니다. 이 예민한 내부 상아질을 잘 달래주는 과정이 실력 있는 치과의 기준입니다.

5. 크라운 접착 — 치료 결과

시린 증상과 통증이 없음을 확인한 뒤 크라운을 접착합니다.

크라운 치료 후 상악 교합면 — 아말감 교체 부위 크라운 접착 완료 사진

▲ 크라운 접착 완료 — 상악 치료 결과

크라운 치료 후 하악 교합면 — 아말감 교체 부위 크라운 접착 완료 사진

▲ 크라운 접착 완료 — 하악 치료 결과

파노라마 X-ray — 3개 화살표로 아말감 교체 크라운 치료 부위 표시된 전체 구강 방사선 사진

▲ 전체 파노라마 X-ray — 3개 치아 동시 크라운 치료 후 방사선 소견

이 증례의 치료 결과

  • 3개 크라운 동시 진행
  • “불편함 없이” 치료 종결
  • “신경치료 없이” 크라운 치료 성공

치료 기간: 2025.05.22 ~ 2025.06.05

자주 묻는 질문 (FAQ)

Q. 오래된 아말감은 무조건 교체해야 하나요?
A. 그렇지 않습니다. 크기가 작고 안정적으로 유지된 아말감, 증상이 없는 아말감은 제거할 필요가 없습니다. 치과의사의 정확한 판단이 먼저입니다.
Q. 아말감 교체 기준은 무엇인가요?
A. ① 아말감 파절 및 이차 충치 진행, ② 아말감 팽창으로 인한 치아 크랙 — 두 가지가 핵심 교체 기준입니다. 인레이 또는 크라운 치료로 해결합니다.
Q. 아말감 교체 시 신경치료도 함께 해야 하나요?
A. 온·냉감에 예민하지 않고 뿌리 끝 염증이 없다면 신경치료 없이 크라운만으로 치료가 가능합니다. 다만 상아질 진정 처리 등 세심한 과정이 필요해 의료진의 실력이 중요합니다.
Q. 아말감이 팽창하면 어떤 문제가 생기나요?
A. 남아있는 치아 벽이 얇아지면서 치아에 금(크랙)이 생기거나, 아말감과 치아 사이에서 이차 충치가 진행될 수 있습니다. 범위가 넓은 경우 크라운 치료가 필요합니다.

아말감 교체가 고민되신다면?

2015년 이전에 아말감 치료를 받으셨다면
현재 상태를 한번 확인해 보시는 것을 권장드립니다.

서울쏙쏙치과에서 정확하게 진단해 드리겠습니다.

📞 지금 상담 예약하기

🦷 서울쏙쏙치과의원
📍 서울특별시 강서구 공항대로 186 206호, 207호, 208호
👨‍⚕️ 담당의: 박상억 원장
🏷 좋은 진료를 정직하게 / 선한 영향력으로 더 나은 가치를

위 포스팅은 의료법에 의거하여 치료가 필요한 환자분들을 위한 정보 제공 목적으로 작성되었습니다. 개인의 구강 상태에 따라 치료 방법이 다를 수 있으므로, 정확한 진단과 치료 계획은 반드시 치과의사와 상담하시기 바랍니다.

📍 마곡 아말감 교체 · 강서구 충치치료 · 마곡역 치과에서 정직한 진료를 약속드립니다.

댓글 남기기