좋은 진료를 정직하게 | 선한 영향력으로 더 나은 가치를
크라운 잇몸 변색, 실활치 미백으로 자연스러운 앞니를 되찾을 수 있을까?
꿈꾸는 쏙쏙 치과의사 박상억입니다.
안녕하세요^^
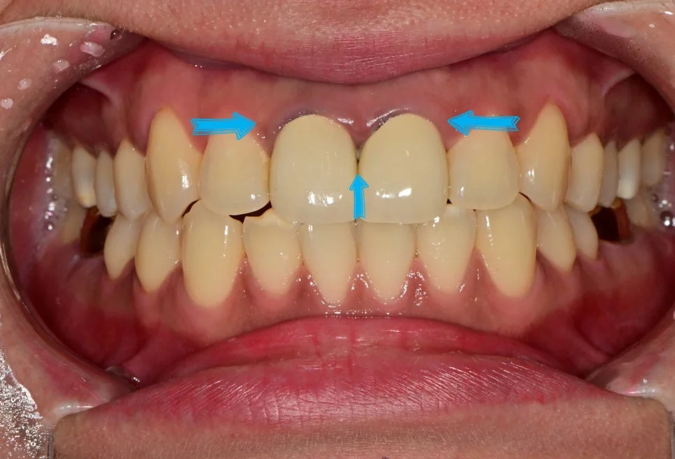
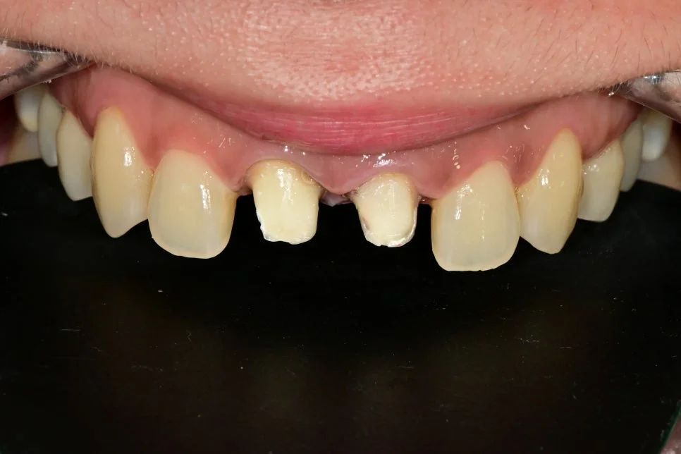
이번 포스팅에서 소개할 내용은 앞니를 신경치료 후 크라운을 씌웠는데, 점점 잇몸이 검게 변한 경우인데요.
이 환자분은 “웃을 때마다 검게 변한 잇몸과 앞니가 싫다”라며 내원하셨고, 소문난 미백 맛집 치과답게 아름답게 심미적인 부분을 회복시켜드린 사례이니 실제 예시를 통해 보실까요!
1. 실활치 변색 — 크라운 잇몸이 검게 변하는 이유는?


앞니 크라운 잇몸 변색으로 검게 그을린 듯한 잇몸이 관찰되었는데요.
신경치료 후 크라운으로 씌운 치아가 변색되는 이유는 뭘까요?
- 신경치료를 하면 치아 내부의 공간은 완전히 밀폐되어 있어야 함
- 안으로 세균이 다시 들어가 살기 시작하면 그 세균들이 만들어내는 부산물(노폐물) 때문에 변색 발생
- 치아 내부가 시커멓게 때처럼 변색되기 시작
즉, 겉으로는 멀쩡해 보여도, 안쪽에서는 이런 변화가 이미 진행되고 있을 수 있어 정확한 진단과 재치료가 꼭 필요합니다.
특히 앞니처럼 눈에 잘 보이는 부위가 이렇게 변색되면 심미적으로 꽤 신경 쓰일 수밖에 없죠.

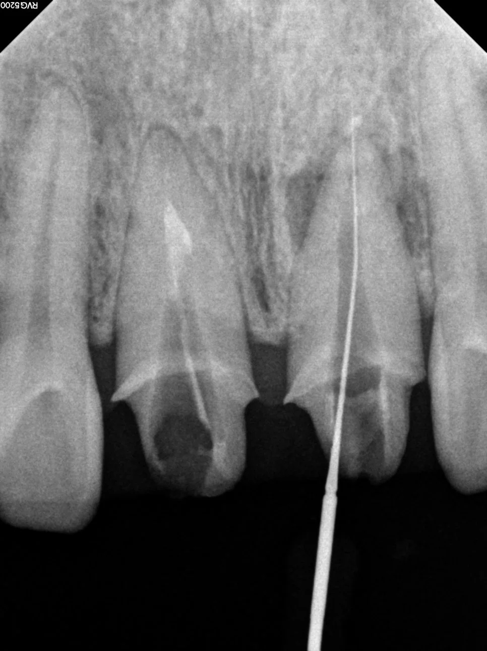
치근단 사진 — 뿌리 끝 염증 소견 관찰
치근단 사진에서 뿌리 끝 염증 소견이 관찰되어 크라운 제거 후 내부 상태 확인과 재신경치료가 필요하다는 결론에 도달했습니다.
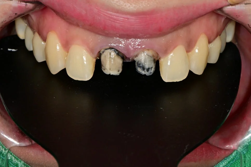
2. 크라운 제거 및 재신경치료 과정은?


크라운 제거 후 모습입니다.
제거하기 전 예상보다 훨씬 더 크라운 잇몸 변색이 심한 상태였는데요. 이렇기에 조기에 치료하는 게 매우 중요합니다.
안쪽을 확인해봐도 오염이 심하게 진행된 상태가 보여집니다.

재신경치료 — 신경관 확대 및 소독 과정 엑스레이
각 신경관이 뿌리 끝까지 제대로 이어져 있는지 경로를 먼저 확보하고, 안쪽에 남아있는 염증·세균을 없애기 위해 충분히 넓히고 소독해 줍니다.

기존 GP cone(오염) vs 새 GP cone — 확연한 차이
제거된 GP cone과 재신경치료에 사용된 GP cone을 비교해보면, 기존에 신경관이 얼마나 오염이 되었는지 확연한 차이를 볼 수 있습니다.

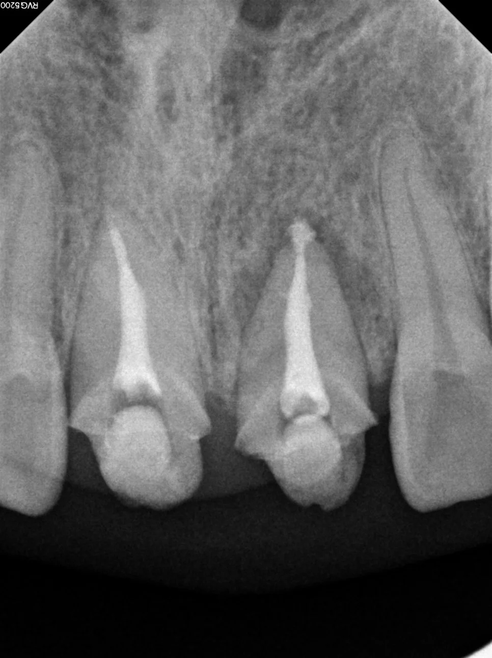
재신경치료 완료 — 신경관 빈틈없이 충전 확인
마지막으로 신경관 전체를 빈틈 없이 충전해 줍니다.
치료가 끝난 후에는 X-ray를 통해 모든 신경관이 뿌리 끝까지 깔끔하게 차 있는지 확인하면 성공적인 재신경치료가 이루어진 것입니다^^
3. 실활치 미백이란? 일반 미백과 뭐가 다를까?


변색된 치아를 그대로 크라운으로 덮어버리면 안쪽의 어두운색이 비쳐 보여 원하는 밝기와 자연스러움이 잘 나오지 않습니다.
그래서 먼저 치아 내부 색을 밝게 만드는 과정이 필요한데, 이를 실활치 미백이라고 합니다.
- 실활치 = 신경치료가 되어 생활력을 잃은 치아
- 일반 미백: 신경이 살아 있는 정상 치아를 밝히는 방법
- 실활치 미백: 죽은 신경 때문에 어두워진 치아 내부의 색을 교정하는 방법
내부 미백으로 색을 충분히 끌어올린 뒤, 브릿지 제작을 위한 치아 삭제까지 진행하면 그 위에 얹힐 보철물이 훨씬 자연스럽고 예쁘게 완성됩니다.
말 그대로, 예쁘게 본뜨고 예쁘게 만들어 넣어드려야 환자분이 만족하실 수 있으니까요^^
2회에 걸쳐 실활치에 미백제를 넣어 검은 기운이 사라지고 자연스러운 밝기가 돌아왔습니다.
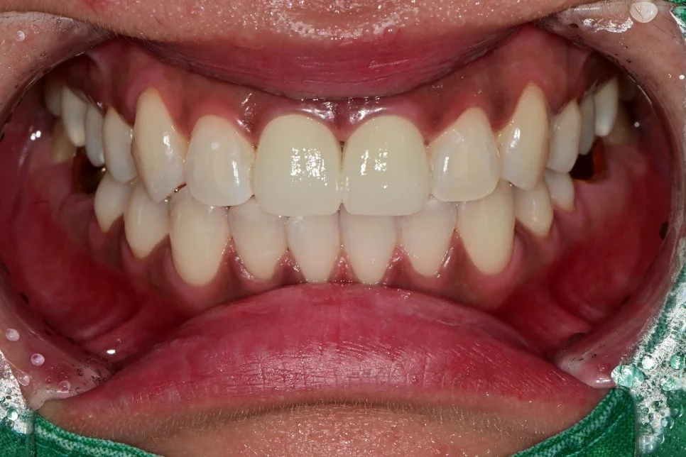
4. 크라운 세팅 및 전문가 치아미백 결과는?


이후 전치부 크라운까지 주변 치아와 긴밀하게 심미적으로도 우수하게 완성된 모습입니다.
앞니 두 개만 밝아지면 오히려 어색할 수 있어, 마지막 단계로 전악 미백(3사이클)을 진행했습니다.
치아 전체 톤이 균일하게 정리되면서 앞니 보철과의 조화가 훨씬 자연스러워졌습니다 🙂
“웃을 때 앞니 신경 안 쓰여요”라고 말씀하실 정도로 밝고 자연스러운 스마일라인이 완성되었습니다.
5. 실활치 미백 유지 기간은 얼마나 될까?
신경치료가 제대로 되어 있고, 치아 내부가 레진으로 완전히 밀봉·접착되어 있다면, 실활치 미백은 한 번 밝아진 색이 오랫동안 유지된다고 보셔도 좋습니다^^
반대로, 치아 내부에 세균이 남아 있거나 입안의 세균이 치아 속으로 다시 스며들게 되면 시간이 지나면서 다시 갈색·흑갈색으로 변색될 수 있습니다ㅜ
실활치 미백은 미백 과정만 잘한다고 끝나는 치료가 아니라, 신경치료의 완성도와 내부 레진 밀폐력까지 모두 갖춘 치과에서 받는 것이 정말 중요합니다.
변색을 밝히는 것보다, 그 밝아진 색을 오래 유지하는 게 더 중요하니까요^^
크라운 잇몸 변색. 실활치 미백은 작은 변화를 넘어, 심미적으로 압도적인 효과를 보여주는 치료라 저도 치료 옵션 중 하나로 자주 활용하는 좋은 방법입니다.
다만, 예쁘게 밝히는 것만큼이나 그 밝음을 오래 유지하게 만드는 과정이 훨씬 중요하기 때문에 세심하게 챙겨야 할 요소가 많은 치료이기도 합니다.
앞니 색 변화나 변색 때문에 고민하고 계신다면, 오늘의 정보가 큰 도움이 되기를 바랍니다^^
끝까지 읽어주셔서 감사합니다.
또봐요 ~
자주 묻는 질문 (Q&A)
Q. 크라운 잇몸 변색은 왜 생기나요?
신경치료 후 크라운을 씌운 치아 내부에 세균이 다시 침투하면, 세균이 만들어내는 부산물(노폐물) 때문에 치아 내부가 변색됩니다. 이 변색이 잇몸까지 비쳐 보이면서 잇몸이 검게 보이는 것입니다. 겉으로는 멀쩡해 보여도 안쪽에서 변화가 진행되고 있을 수 있어 정확한 진단이 필요합니다.
Q. 실활치 미백은 일반 미백과 어떻게 다른가요?
일반 미백은 신경이 살아 있는 정상 치아의 바깥쪽을 밝히는 방법이고, 실활치 미백은 신경치료가 되어 생활력을 잃은 치아의 내부 색을 교정하는 방법입니다. 실활치 미백은 치아 안쪽에 미백제를 넣어 내부에서부터 색을 밝히기 때문에 일반 미백과는 접근 방식이 완전히 다릅니다.
Q. 실활치 미백 후 크라운을 다시 씌워야 하나요?
네, 실활치 미백으로 내부 색을 충분히 밝힌 뒤 새 크라운(또는 브릿지)을 제작합니다. 변색된 치아 위에 바로 크라운을 씌우면 안쪽의 어두운색이 비쳐 보여 원하는 밝기와 자연스러움이 나오지 않기 때문입니다. 미백 후 크라운을 씌우면 훨씬 자연스럽고 예쁜 결과를 얻을 수 있습니다.
Q. 실활치 미백은 몇 회 정도 필요한가요?
변색 정도에 따라 다르지만 보통 2~3회 정도 미백제를 넣어 색을 끌어올립니다. 이번 사례에서도 2회에 걸쳐 미백제를 넣어 검은 기운이 사라지고 자연스러운 밝기가 돌아왔습니다. 한 번에 무리하게 밝히기보다는 단계적으로 진행하는 것이 안전하고 자연스러운 결과를 얻을 수 있습니다.
Q. 실활치 미백 효과가 영구적인가요?
신경치료가 제대로 되어 있고 치아 내부가 레진으로 완전히 밀봉·접착되어 있다면 오랫동안 유지됩니다. 다만, 치아 내부에 세균이 남아 있거나 다시 스며들게 되면 재변색될 수 있습니다. 그래서 미백 과정뿐 아니라 신경치료의 완성도와 레진 밀폐력까지 모두 갖춘 치과에서 받는 것이 중요합니다.
삼중맹검 임상시험에서 미백제에 2% 불소를 첨가하면 시술 후 시린 증상이 유의미하게 감소(p=0.040)하면서도 미백 효과에는 영향이 없었습니다. 전문가 관리 하에 시린 증상까지 관리하는 것이 핵심입니다.
— Mohammadipour HS et al. (2025), Clin Oral Investig, 29(5):238
좋은 진료를 정직하게 | 선한 영향력으로 더 나은 가치를
강서구 마곡 서울쏙쏙치과 꿈꾸는 쏙쏙 치과의사 박상억이었습니다.
치료 기간: 2025.09.17 ~ 2025.10.14 기준
함께 읽으면 좋은 글
위 포스팅은 의료법에 의거하여 치료가 필요한 환자분들을 위한 정보제공 목적으로 업로드했습니다.