좋은 진료를 정직하게 | 선한 영향력으로 더 나은 가치를
앞니 레진 치료, 정중이개(치아 벌어짐)부터 파절까지 비용과 결과는?
강서구 마곡 서울쏙쏙치과 앞니 레진 증례
안녕하세요^^
좋은 진료를 정직하게, 선한 영향력으로 더 나은 가치를 전하는 강서구 치과 서울쏙쏙치과 꿈꾸는 쏙쏙 치과의사 박상억입니다.

앞니 레진 비용, 치료할 치과 찾는 법 — 정중이개 Before/After
오늘은 앞니 레진 치료에 대해 알아보려 합니다!
앞니에 충치가 생겼거나, 앞니가 충격에 파절되었거나, 앞니 사이가 벌어지는 경우 등 앞니 모양이 가지런하고 예쁘지 않아 웃을 때 자신감도 떨어지고 고민이 많은 분들이 계십니다.
가지런한 앞니는 외모에 상당한 영향을 주는 요소 중 하나이기에, 예쁜 치아를 만들어 줄 수 있다는 점에 치과의사로서 항상 뿌듯함과 보람을 느끼죠^^
그런데 레진이라는 치료, 모든 치과의사가 다 하고 있는 쉬운 진료로 생각하지만 아무나 할 수는 없는 — 사실은 치과에서 일어나는 진료 중 가장 어려운 진료라는 점 알고 계셨나요?^^
단단하게 접착을 이루어 내고, 자연스러운 모양을 만들고, 색상을 주변 치아와 맞추는 것이 생각보다 어려운 일이라 그런 것인데요! 오늘의 사례를 보며 찬찬히 설명드리겠습니다!
넘어져서 앞니가 파절된 아이, 레진으로 해결 가능할까?
앞니 레진 치료는 특별히 아이들이 많습니다!
아이 키우는 어머님들께 꼭 필요한 정보 알려드립니다!



파절 부위 클로즈업 — 절단면이 깨져 나간 모습
조금 더 정확히 데이터로 말씀드리면 “만 8~12세, 남자아이”의 비중이 압도적으로 높습니다!
앞니가 처음 나는 시기가 만 7세 전후이기 때문에 만 8세면 앞니는 영구치인 상태입니다. 한편 활동량은 많은데 주의성은 부족한 시기이기에 넘어지거나, 운동을 하다가 부딪히거나, 젓가락을 세게 씹거나 — 다양한 이유로 앞니의 파절이 일어납니다.
이 치아는 치아 뿌리는 멀쩡하고 치아만 파절된 상태로, 파절된 부분만 수복하는 것이 적합합니다.


이렇게 파절된 치아가 이렇게 치료되었습니다^^ 비교적 간단하게 레진으로 치료를 마무리하였습니다!
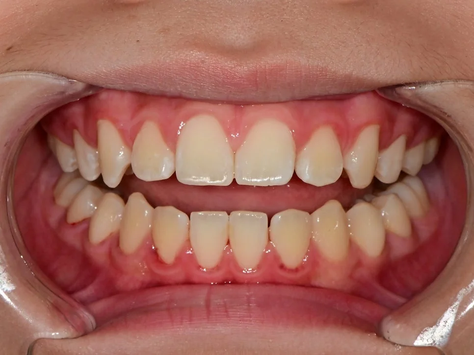
앞니 사이가 벌어지는 정중이개, 원인은 무엇일까?


나이가 들어감에 따라 앞니 사이가 점점 벌어진다면(정중이개, Diastema) 그것은 아래 치아의 영향 때문입니다.
아래 치아가 위 치아를 툭툭 건드려 결국 윗니가 벌어지면서 더 내려오게 되는데요. 특히 이 증례처럼 잇몸이 건강하지 않은 경우 치아의 움직임이 더욱 가속화될 수 있습니다.
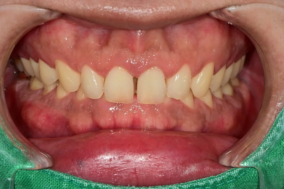
이러한 경우에는 앞니 레진 치료에 앞서 부어있는 잇몸을 진정시키고 가라앉히는 것이 필요합니다. 잇몸치료부터 시행하고 약 2주 정도 잇몸이 가라앉기를 기다린 뒤 레진 치료를 진행합니다.


큰 차이가 없어 보일 수 있지만 앞니 사이에 치석이 사라지고 잇몸이 살짝 건강해졌습니다^^;; 이제 본격적으로 레진 치료를 시행해 봅니다!
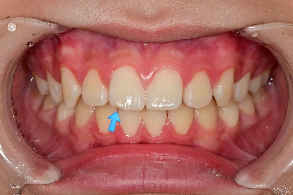
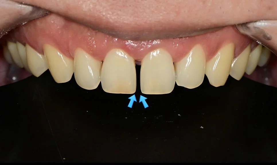
정중이개 앞니 레진 치료, 왜 고난도 술식일까?

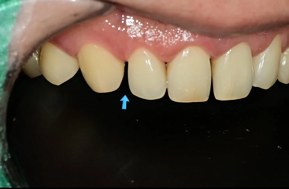
화살표로 표기한 사이 틈(정중이개, Diastema)

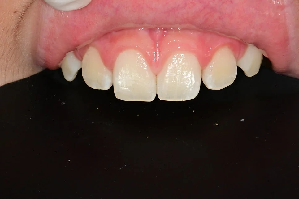
확대 사진 — 이 사이 틈을 레진으로 채워보려 합니다
치아의 정중이개를 레진으로 치료하는 것이야말로 가장 고난도 술식 중 하나입니다!
- 충치가 있다면 충치를 완전히 제거하는 것 — 의외로 이게 아주 어렵습니다^^;
- 단단한 표면 접착을 이루어 내는 것
- 자연스러운 치아의 색상을 맞추는 것
- 자연스러운 모양을 만들어 내는 것
모두가 어려운 과정입니다! 바로 인접한 치아가 그대로 있는 상태에서 치아가 거의 붙어있는 것처럼 모양을 잡아야 하는 게 가장 어려운 부분입니다.
그 어려운 것을 매일 같이 하는 치과가 있다고요?^^

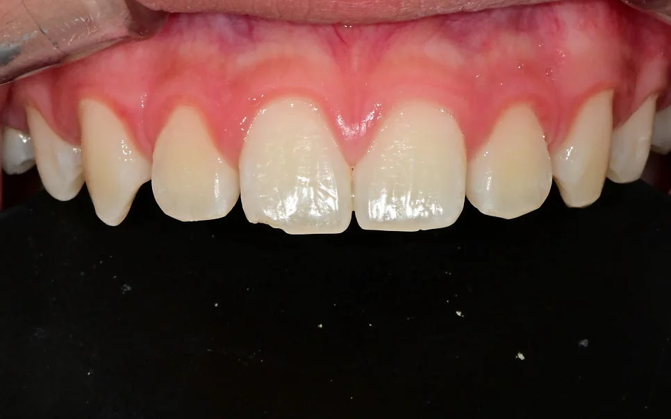
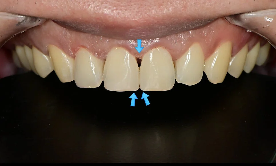
1차 레진 결과 — 화살표 부분 검은 영역이 환자분 요청 포인트
나름 치료를 마치고 사진을 예쁘게 찍은 후 환자분과 말씀을 나눠보는데요. 옆 치아는 예쁘게 잘 된 것 같은데 가운데 정중이개의 치료한 부분에 검은 영역을 더 없앨 수 없냐 문의를 하시네요^^
나름 원래의 치아 모양을 재현하고, 잇몸이 살짝 내려간 듯 보이는 게 자연스러울 거라 생각을 했는데요… 제 불찰입니다! 다시 채워드려야죠!
레진 치료 후 수정을 원한다면 당일만 수정이 가능하다는 점 꼭 알고 계시면 좋을 것 같습니다!
레진은 시간이 흘러 완전히 굳어버린 후에는 그 어떤 재료와도 붙지 않거든요. 따라서 치료 직후 거울로 꼼꼼히 확인하시고, 마음에 안 드는 부분은 바로 말씀해 주셔야 합니다!

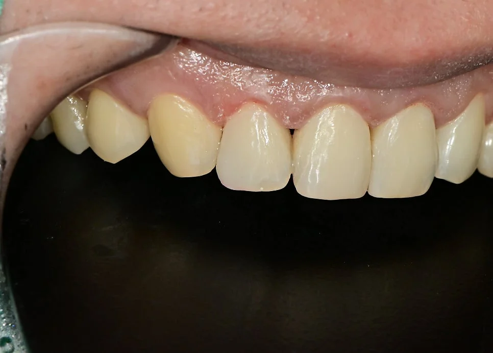
수정 후 — 검은 영역이 사라지고 자연스러운 결과

최종 결과 — 정중이개가 자연스럽게 채워진 모습
어떤가요?^^ 훨씬 예뻐진 것 같나요? 방긋 웃으며 귀가하신 환자분 모습을 보여 저 또한 뿌듯함을 느낀 치료였습니다.
앞니 레진 비용은 얼마나 할까?
앞니 레진은 보험 적용이 되지 않는 비급여 진료입니다. 치과마다 책정해놓은 비용이 천차만별인데요.
앞니 레진은 모두가 힘들어하는 고난도 술식으로 치료 시간, 수고로움, A/S 등 손이 참 많이 가는 치료입니다. 이 때문에 비용이 다소 높은 편인데요.
- 작게 파절되고 떨어진 부분: 약 10만 원 ~ 20만 원
- 정중이개(사이 벌어짐)나 영역이 큰 경우: 약 20만 원 ~ 50만 원
그런데 치료 비용보다 훨씬 중요한 것이 레진 치료를 믿고 맡길 수 있느냐는 것인데요.
따라서 앞니 레진만큼은 치료 결과, 치료 후기 등을 면밀히 살펴보고 내원하실 치과를 찾는 것을 추천드립니다!
한번 치료한 레진은 다시 치료하기 상당히 어려우며, 치료 비용이 2배로 드는 것은 그것대로 매우 아쉬운 부분이잖아요. 처음부터 결과가 좋은 치과를 찾는 것이 가장 현명한 방법입니다!
자주 묻는 질문
Q. 앞니 레진 치료 시간은 얼마나 걸리나요?
단순 파절의 경우 30분~1시간 내외로 완료됩니다. 정중이개처럼 양쪽 치아를 모두 수복해야 하는 경우에는 1시간~1시간 30분 정도 소요될 수 있습니다. 색상과 형태를 자연스럽게 맞추기 위해 꼼꼼하게 진행하기 때문입니다.
Q. 앞니 레진은 얼마나 오래 유지되나요?
관리에 따라 다르지만 보통 3~7년 정도 유지됩니다. 레진은 시간이 지나면 변색이 생기거나 마모될 수 있으므로, 정기 검진을 통해 상태를 확인하고 필요시 재치료하는 것이 좋습니다. 딱딱한 음식을 앞니로 깨무는 습관을 피하면 더 오래 유지할 수 있습니다.
Q. 레진 치료 후 당일 수정이 안 되면 어떻게 하나요?
레진이 완전히 경화된 후에는 기존 레진 위에 새로운 레진을 붙이기가 매우 어렵습니다. 이 경우 기존 레진을 모두 제거한 뒤 처음부터 다시 시행해야 하므로 비용과 시간이 2배로 들 수 있습니다. 따라서 치료 직후 거울로 꼼꼼히 확인하시고, 불만족스러운 부분은 반드시 당일에 말씀해 주셔야 합니다.
Q. 정중이개는 교정으로도 치료할 수 있나요?
네, 교정으로도 가능합니다. 다만 교정은 치료 기간이 길고 비용이 높은 편입니다. 반면 레진은 당일 완성이 가능하고 비용도 상대적으로 합리적입니다. 벌어진 정도가 크지 않다면 레진이 효율적인 선택이 될 수 있으며, 벌어짐의 원인(교합 문제 등)에 따라 교정이 더 적합한 경우도 있으므로 전문의 상담을 받아보시길 권합니다.
Q. 아이 앞니 파절, 영구치인지 유치인지에 따라 치료가 다른가요?
네, 다릅니다. 유치라면 곧 빠질 치아이므로 간단한 처치로 마무리하는 경우가 많지만, 영구치라면 레진으로 정밀하게 복원해야 합니다. 만 7세 전후에 앞니 영구치가 나기 시작하므로, 만 8세 이상 아이의 앞니 파절은 대부분 영구치에 해당합니다. 파절 후 가능한 빨리 치과를 방문하시는 것이 좋습니다.
Q. 정중이개 레진 치료 전에 잇몸 치료가 꼭 필요한가요?
잇몸이 건강하지 않은 경우에는 반드시 선행되어야 합니다. 잇몸이 부어있는 상태에서 레진 치료를 하면 잇몸이 가라앉으면서 레진과 잇몸 사이에 틈이 생기고, 접착력도 떨어질 수 있습니다. 잇몸 치료 후 약 2주 정도 기다린 뒤 안정된 잇몸 상태에서 레진 치료를 진행하는 것이 최선의 결과를 만듭니다.
65명 환자의 163개 전치부 레진 수복을 평균 7.2년 추적한 연구에서 직접 레진 수복의 생존율은 88.34%로 확인되었습니다. 앞니 벌어짐과 파절 치료에 레진은 높은 심미성과 내구성을 제공합니다.
— Lempel E et al. (2017), Dent Mater, 33(4):467-476
오늘은 정중이개 앞니 레진 치료에 대해 알아보았는데요. 간단히 레진으로 치아에 붙이면 되는 거 아닌가 싶지만, 사실은 치과 치료 중 가장 고난도 술식이고 아주 조그마한 차이도 눈에 확 띌 수 있는 부분입니다.
치료 결과를 눈으로 확인하고 치료할 치과를 찾는 것이 좋다는 점 참고하시면 좋을 것 같습니다!
앞니 레진 치료가 필요하신 분들께 오늘의 정보가 큰 도움이 되기를 바랍니다^^ 끝까지 읽어주셔서 감사합니다.
좋은 진료를 정직하게 | 선한 영향력으로 더 나은 가치를
강서구 마곡 서울쏙쏙치과 꿈꾸는 쏙쏙 치과의사 박상억이었습니다.
함께 읽으면 좋은 글
본 포스팅은 의료법에 의거하여 치료가 필요한 환자분들을 위한 정보제공 목적으로 작성되었습니다. 개인에 따라 치료 결과가 다를 수 있으니 반드시 전문의 상담을 받으시기 바랍니다.