좋은 진료를 정직하게 | 선한 영향력으로 더 나은 가치를
수면 마취 임플란트, 편안하고 안전하게 식립하는 비결은?
강서구 마곡 서울쏙쏙치과 꿈꾸는 쏙쏙 치과의사 박상억입니다^^
안녕하세요^^
우리 치과의 경우 마곡나루 수면 치과 맛집으로 하루에도 두 세 건씩 수면 마취를 진행하고 있는데요.
오늘은 수면 마취를 통한 임플란트 식립에 대해 알아보려 합니다!
나름 좋은 임플란트 식립에 대한 정보를 다루고 있으니 10분만 투자해 주세요^^
1. 수면 마취를 통한 임플란트 식립
수면 마취는 특히 임플란트 식립과 잘 어울리는데요^^
- 살짝 잠들었다 일어나면 수술이 끝나 있는 수면 마취는 수술이라는 이름이 주는 두려움을 극복할 수 있어 좋고
- 긴장이나 공포, 통증을 조절함으로써 몸에 무리가 가지 않게 해서 좋고 (수면 마취는 혈압, 당뇨, 갑상선 등 대부분의 질환자에게 더 안전한 치료 방법입니다^^)
- 정맥으로 미리 진통제를 투여하여 수술 후 붓기나 통증을 조절할 수 있어 좋고
- 수술, 치료의 불편한 기억을 남기지 않을 수 있어 참 좋은 치료입니다.
2. 초진 진단 — 자연치아 살리기 조건과 임플란트 주위염

치료 전 정면 구내사진 — 다수의 치아 문제가 보이는 상태





CBCT 파노라마 진단 영상 — 1~4번 치아 위치의 문제점 화살표 표시
사진에서 1번, 4번 치아의 경우 치아 머리가 너무 남지 않아 발치 후 임플란트가 필요한 상황입니다.
자연치아 살리기에 진심인 마곡나루 치과지만 모든 치아를 다 살려서 쓸 수는 없거든요.
- 뿌리가 부러지지 않았는가?
- 치아의 신경치료가 잘될 수 있는가?
- 잇몸 상방에 2mm 정도 치아가 있는가?
1번, 4번 치아의 경우 자연치아 살리기 조건 중 세 번째 조건을 만족하지 못하여 발치의 대상입니다.
한편, 3번의 경우 치아를 발치하고 오랜 시간이 지난 위치로 예쁘게 임플란트 식립을 진행하면 됩니다.
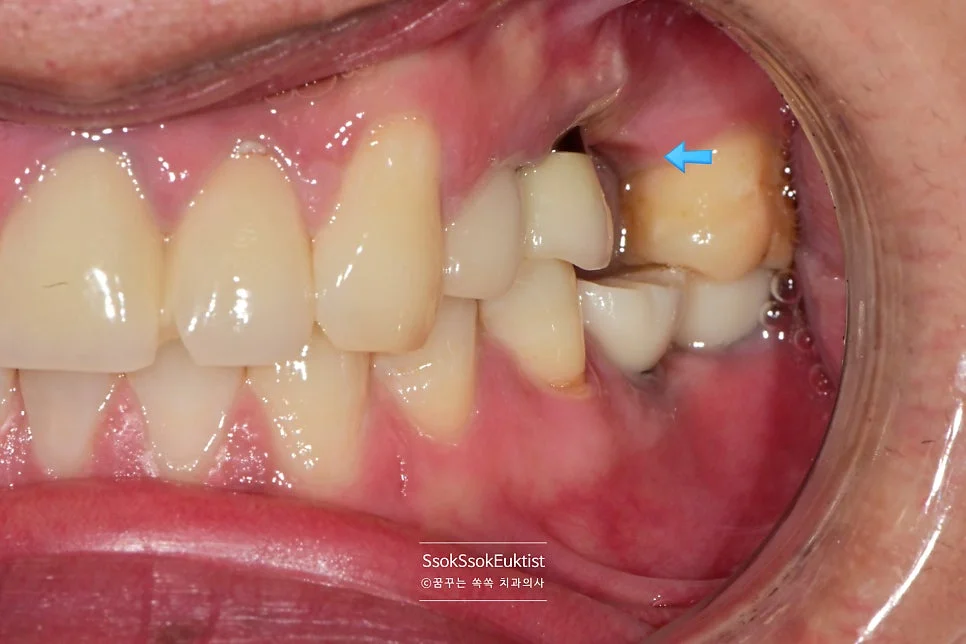
그런데 2번의 임플란트를 한번 보면 뭔가 잇몸이 부자연스러운 것을 볼 수 있는데요.
임플란트 주변에 뼈가 다 녹아내리고 그 바깥에 잇몸까지 혈류를 받지 못해 점점 괴사하고 있는 모양새입니다.

CBCT 단면 영상 — 임플란트를 감싸고 있어야 할 뼈가 다 녹아 없어진 모습
임플란트가 뼈와 유착에 성공은 하였다 하더라도 임플란트를 감싸고 있는 뼈가 부족하면 이렇게 점점 임플란트 주위염으로 뼈와 잇몸이 녹아내리게 되는데요.
이래서 임플란트는 가급적 깊게 그리고 입천장(혀) 쪽으로 위치하여 식립하여야 합니다.
이 임플란트는 점점 염증이 심해질 것이고 그나마 남아 있는 잇몸까지 녹게 되면 이후의 치료가 너무 어려워지기에 임플란트를 제거한 후 재식립을 시도합니다.
3. 수면 마취 치료 과정 6단계
마곡나루 수면 치과의 수면 마취 치료 과정을 소개해 드릴게요.
- 금식 체크
물은 2시간, 식사는 6시간 금식이 필요합니다. - 아산화질소(N2O, 웃음 가스) 흡입 진정
50%의 고농도 산소와(대기 중은 22% 산소) 50%의 N2O 웃음 가스를 흡입하여 얕은 진정 상태를 유도합니다. - 대표원장이 직접 정맥로를 확보
정맥로를 확보한 후 수면 마취 약물, 진통제 등을 주입합니다! (대표원장이 직접 정맥로를 확보하는 치과에서 수면 마취를 추천합니다!^^) - 충치 치료, 스케일링 등 출혈이 없는 치료 먼저 시행
- 잇몸 치료, 사랑니 발치, 수술 등의 출혈이 있는 치료 시행
- 해독제(플루마제닐) 투여 후 회복 후 귀가
4. 1차 수면 마취 — 충치 치료 + 좌측 임플란트 1개
1st 수면 마취 — 수면 마취 유도 후 충치 치료부터 시행합니다.

치료 중 충치를 확인하고 기록으로 남겨 놓습니다
치료 중 충치를 확인하고 기록으로 남겨 놓습니다. (마곡나루 치과에서 과잉 진료는 없습니다^^)

바로 뒤 치아의 옆면에도 충치가 발견되었습니다
바로 뒤 치아의 옆면에도 충치가 있어 간단히 레진으로 치료합니다.

치아 사이 충치를 레진으로 간단히 치료
치아 사이 충치는 접근의 제한 때문에 인레이 혹은 크라운 치료가 필요한데, 이렇게 하나의 치아를 치료하면서 발견된 인접한 치아 사이 충치는 그때 바로 치료를 하면 간단하게 레진으로 치료할 수 있습니다^^ (치아 삭제도 적고, 비용도 적고 환자분께 너무 좋죠)

1차 수면 마취에서 좌측 임플란트 1개 식립 완료
첫 번째 수면 치료에서는 왼쪽 하나의 임플란트를 식립합니다.

사용한 수면 약물은 반드시 폐기합니다
5. 2차 수면 마취 — 우측 임플란트 3개 (고난도 재식립)
2nd 수면 마취 — 두 번째 수면 마취에서는 오른쪽에 세 개의 임플란트를 식립합니다.
단단하게 유착되어 있는 임플란트를 제거하고 바로 그 자리에 임플란트를 식립하는 고난도 시술인데요^^

2차 수면 마취 — 우측 임플란트 3개 식립 완료 (화살표)
가능한 주변 골보다 2~3mm 깊게 임플란트가 온전히 뼈 안에 잠기게 식립되었다면 잘 심긴 임플란트입니다.

사용한 수면 약물은 폐기합니다
오른쪽은 뼈이식이 많이 들어갔기에 3달의 치유 기간을 가집니다.
6. 치유 경과 및 보철물 완성


임플란트 식립한 자리 주변이 예쁘게 잇몸으로 아문 것을 볼 수 있습니다.
이제 묻혀 있는 임플란트를 꺼내어 보철물을 연결하면 치료는 마무리됩니다.




- 앞뒤 치아와 가급적 빡빡하게
- 높이는 같게
- 치아가 맞물리는 것은 가운데서 씹을 때 높지 않게
- 좌우로 지글지글 갈 때 걸리지 않게
만들면 좋은 보철물입니다!^^
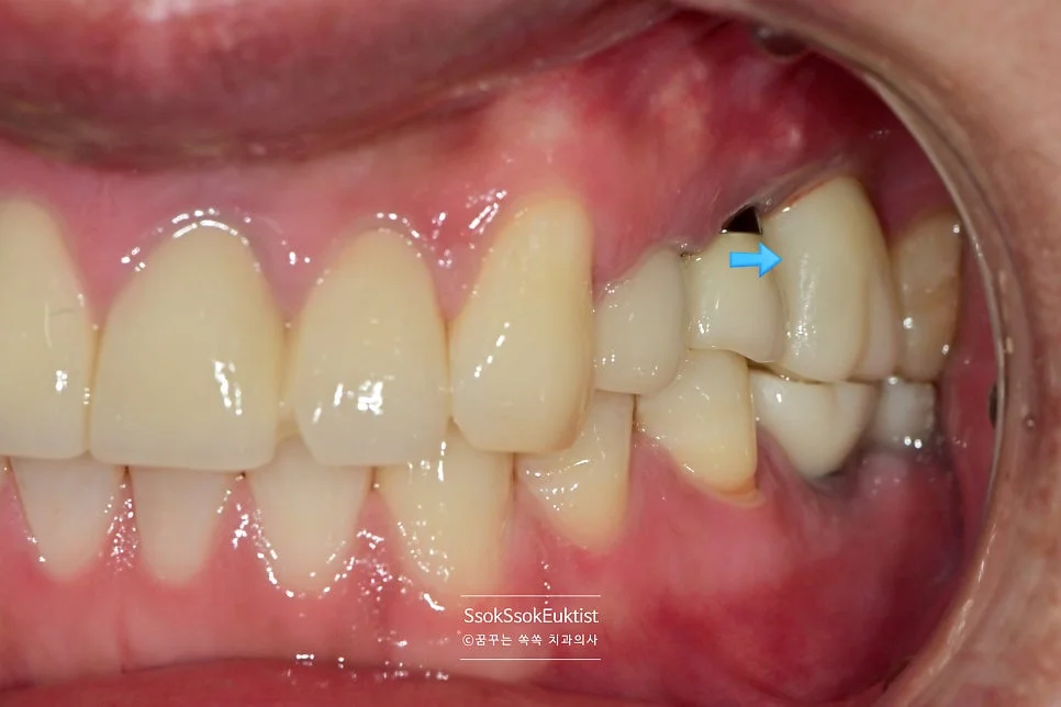
2번 자리의 잇몸을 보면 처음보다는 훨씬 건강한 잇몸이 된 것을 볼 수 있는데요. 한 달 후 체크 약속에서도

1개월 후 경과 관찰 — 2번 자리 잇몸이 건강하게 자리 잡아가는 모습
건강한 잇몸이 자리 잡아가는 것을 볼 수 있습니다.
오늘은 수면 마취를 통한 임플란트 식립에 대해 알아보았는데요.
임플란트 식립이 왜 수면 마취와 잘 어울리는지, 수면 마취를 통한 치과 치료는 어떠한지, 어떤 수면 마취 치과에 가는 게 좋은지, 이상적인 임플란트 식립 기준과 보철물의 기준은 어떠한지에 대해 알아보았습니다.
한편, 임플란트 주위염을 극복하는 가장 좋은 방법은 임플란트 재식립이며 어떻게 식립을 해야 임플란트 주위염을 예방할 수 있는지까지 알아보았습니다^^
오늘의 정보가 수면 마취를 통한 치과 임플란트를 고민하시는 분들께 도움이 되는 정보였으면 좋겠습니다^^
또 만나요^^
자주 묻는 질문 (Q&A)
Q. 수면 마취 임플란트, 일반 임플란트와 성공률 차이가 있나요?
수면 마취 자체가 임플란트 성공률에 영향을 주지는 않습니다. 오히려 환자의 긴장과 공포를 줄여 혈압 상승 등 전신 반응을 예방할 수 있고, 정맥 진통제를 미리 투여하여 수술 후 붓기와 통증이 더 적은 장점이 있습니다. 특히 혈압, 당뇨 등 전신 질환이 있으신 분들께 더 안전한 방법입니다.
Q. 임플란트 주위염이 생기면 어떻게 해야 하나요?
임플란트 주위염이 발생하면 임플란트를 감싸고 있는 뼈가 점점 녹아내리게 됩니다. 초기에는 잇몸 치료로 관리할 수 있지만, 이 케이스처럼 골소실이 심한 경우에는 임플란트를 제거하고 재식립하는 것이 가장 좋은 방법입니다. 임플란트를 가급적 깊게 그리고 입천장(혀) 쪽으로 식립하는 것이 주위염 예방에 중요합니다.
Q. 수면 마취 전 금식은 꼭 해야 하나요?
네, 반드시 해야 합니다. 물은 2시간, 식사는 6시간 금식이 필요합니다. 수면 마취 중 구토 반사가 일어날 수 있는데, 위에 음식물이 남아 있으면 기도로 넘어가는 위험이 있기 때문입니다. 안전한 시술을 위해 금식 시간을 반드시 지켜 주시기 바랍니다.
Q. 여러 개의 임플란트를 한 번에 식립할 수 있나요?
수면 마취의 큰 장점 중 하나입니다. 이 케이스처럼 한 번의 수면 마취로 충치 치료와 임플란트 식립을 함께 진행할 수 있습니다. 다만, 시술 범위와 난도에 따라 2회로 나눠 진행하기도 합니다. 이 환자분의 경우 1차에서 좌측 1개, 2차에서 우측 3개(고난도 재식립 포함)로 나누어 안전하게 진행했습니다.
Q. 잘 심긴 임플란트의 기준은 무엇인가요?
가능한 주변 골보다 2~3mm 깊게 임플란트가 온전히 뼈 안에 잠기게 식립되어야 합니다. 임플란트가 뼈 밖으로 노출되면 주위염이 생길 확률이 높아집니다. 또한 보철물은 앞뒤 치아와 빡빡하게, 높이는 같게, 맞물림이 적절하게 만들어야 오래 쓸 수 있는 임플란트가 됩니다.
임플란트 환자 255명을 분석한 연구에서 미다졸람+프로포폴 정맥진정 시 수술 중 혈압 상승이 유의미하게 억제되었습니다. 정맥진정은 불안 해소뿐 아니라 혈역학적 안정성까지 제공하는 것으로 확인되었습니다.
— Taguchi T et al. (2011), Int J Oral Maxillofac Implants, 26(6):1303-1308
좋은 진료를 정직하게 | 선한 영향력으로 더 나은 가치를
강서구 마곡 서울쏙쏙치과 꿈꾸는 쏙쏙 치과의사 박상억이었습니다.
치료 기간: 2025.03.03 ~ 2025.08.08
위 포스팅은 의료법에 의거하여 치료가 필요한 환자분들을 위한 정보제공 목적으로 업로드했습니다.