자연치아 살리기에 대해 알아보겠습니다. 많은 분들이 치과에서 발치 판정을 받고 고민하십니다. 하지만 모든 발치 판정 치아가 정말 발치해야만 하는 것은 아닙니다. 서울쏙쏙치과 박상억 원장이 실제 재신경치료를 통해 발치 위기의 치아를 살려낸 사례를 바탕으로 설명합니다.
📋 핵심 요약
- 자연치아 가치: 치아 하나당 약 4천만 원의 경제적 가치가 있습니다.
- 살리기 조건: 뿌리 파절 없음, 잇몸 상방 2mm 치아 잔존, 재신경치료 가능성.
- 치료 핵심: 오염된 신경관을 깨끗이 소독하고 다시 밀폐하는 정밀한 과정.
- 결론: 섣불리 포기하지 말고, 정밀 진단을 통해 살릴 수 있는지 확인해보세요.
자연치아 살리기의 조건
자연치아를 살리기 위해서는 몇 가지 조건이 충족되어야 합니다. 무조건 살리는 것이 능사는 아니며, 살려서 오랫동안 쓸 수 있는 상태여야 의미가 있습니다.
- 치아 뿌리에 파절(금)이 없을 것: 뿌리가 부러져 있다면 살릴 수 없습니다.
- 재신경치료가 성공적으로 가능할 것: 신경관 내부 오염을 완전히 제거할 수 있어야 합니다.
- 잇몸 상방으로 2mm 정도의 건전한 치아가 남아 있을 것: 크라운을 씌워 보호할 수 있는 최소한의 치질이 필요합니다 (Ferrule effect).
진단: 발치 판정을 받은 치아, 정말 뽑아야 할까?
타 치과에서 발치 판정을 받고 내원하신 환자분의 케이스입니다. 기존 크라운이 탈락한 상태였고, 내부 상태가 좋지 않았습니다.

육안으로 보기에도 내부 오염이 심각하고 충치가 깊습니다. 단순히 다시 크라운을 씌우는 것으로는 해결되지 않습니다. 내부 충치를 제거하고, 뿌리 끝 상태를 확인해야 합니다.

엑스레이상 뿌리 끝에 염증이 보입니다. 이 경우 재신경치료가 필수적입니다. 다행히 뿌리에 금이 가거나 부러진 소견은 없어, 재신경치료를 시도해보기로 결정했습니다.
재신경치료 과정: 오염과의 싸움
재신경치료는 일반 신경치료보다 훨씬 까다롭습니다. 기존에 채워진 충전물을 모두 제거하고, 숨어있는 세균과 오염 물질을 찾아내 소독해야 하기 때문입니다.

기존의 단단한 충전재(GP cone)를 제거하고, 신경관 길이를 다시 측정하여 뿌리 끝까지 기구가 도달하도록 합니다. 이 과정에서 놓치는 신경관이 없어야 성공률이 높아집니다.
🔍 임상 포인트: 재신경치료의 핵심은 ‘인내심’입니다. 오염된 신경관이 깨끗해질 때까지 반복해서 소독하고 세척하는 과정이 필요합니다.

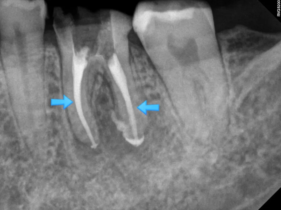
충분한 소독 후, 신경관 내부가 깨끗해졌다고 판단되면 생체 친화적인 재료로 빈틈없이 채워 넣습니다. 엑스레이상 하얗게 채워진 모습이 확인되면 신경치료 단계는 성공입니다.
크라운 수복: 치아를 단단하게 보호하기
재신경치료가 끝난 치아는 영양 공급이 끊겨 푸석푸석해지기 쉽습니다. 따라서 치아 머리 부분을 단단한 재료(레진 코어)로 보강하고, 전체를 감싸주는 크라운 치료가 필수적입니다.

남아있는 치질이 부족했지만, 접착력을 극대화하여 코어를 쌓아 올렸습니다. 크라운이 안정적으로 유지될 수 있는 형태를 만드는 것이 중요합니다.
최종 결과
모든 치료가 완료되었습니다. 발치 판정을 받았던 치아지만, 기능을 회복하고 다시 사용할 수 있게 되었습니다.

환자분께서도 발치하지 않고 내 치아를 다시 쓸 수 있게 되어 매우 만족해하셨습니다. 자연치아 보존은 서울쏙쏙치과가 가장 중요하게 생각하는 가치입니다.
자주 묻는 질문 (FAQ)
Q: 재신경치료 성공률은 얼마나 되나요?
A: 일반적인 신경치료보다는 성공률이 다소 낮지만, 정밀하게 치료할 경우 70~80% 이상의 성공률을 기대할 수 있습니다. 잇몸뼈 상태와 염증 크기에 따라 달라질 수 있습니다.
Q: 치료 기간은 얼마나 걸리나요?
A: 염증 정도에 따라 다르지만, 보통 3~5회 내원(약 1달 소요)이 필요합니다. 염증이 심하면 소독 기간이 더 길어질 수 있습니다.
Q: 재신경치료 중 통증이 심한가요?
A: 마취 후 진행하므로 시술 중 통증은 거의 없습니다. 다만, 치료 과정 중 일시적으로 욱신거리는 증상이 있을 수 있으며 이는 치유 과정의 일부입니다.
서울쏙쏙치과 박상억 대표원장 (통합치의학과 전문의)
📍 마곡역 4번 출구 앞 로델타워 206·207·208호
🅿️ 건물 지하 주차 (최대 3시간)