안녕하세요^^
좋은 진료를 정직하게
선한 영향력으로 더 나은 가치를
안녕하세요! 서울쏙쏙치과 대표원장 박상억입니다.
최근 해외 거주 중 잠시 귀국하신 유학생 환자분이 내원하셨습니다.
미국에서 치료받은 치아에 통증이 지속된다고 하셨습니다. 환자분은 6개월 전 미국에서 왼쪽 위 어금니 레진 치료를 받았습니다. 당시 꽤 큰 비용을 지불했다고 합니다. 하지만 치료 후 차가운 물을 마실 때마다 소스라치게 놀랄 정도의 통증을 느꼈다고 합니다.
결국 한국에 들어오자마자 저희 치과를 찾아주셨습니다. 오늘은 이 환자분의 사례를 통해 미국과 한국의 진료 시스템 차이를 알아보겠습니다. 또한 신경치료가 필요한 의학적 이유에 대해서도 설명해 드리겠습니다.

1. 미국에서 비싸게 레진 치료를 했는데 왜 계속 시리고 아픈가요?

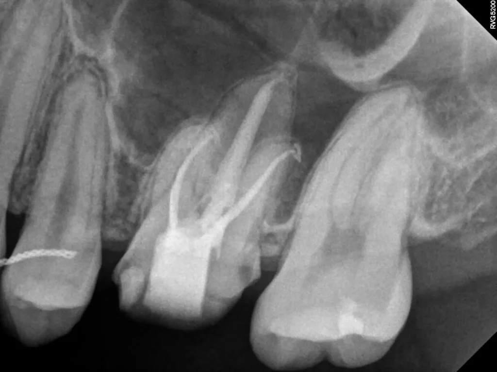
육안으로 볼 때는 치아가 깨끗해 보였습니다. 하지만 X-ray 촬영 결과는 달랐습니다. 기존에 치료된 레진 하방으로 깊은 충치가 관찰되었습니다. 신경관과 거의 닿아 있을 정도로 아주 깊은 상태였습니다. 충치가 깊어 신경과 가까울수록 레진 치료 시 접착에 매우 신경 써야 합니다. 접착이 완벽하지 않으면 치아와 레진 사이 경계면이 계속 자극을 받습니다.

시간이 지나면 신경이 예민해집니다. 결국 신경치료가 필요한 상태로 악화됩니다. 환자분은 치료 직후부터 6개월 이상 시림 증상을 겪으셨습니다. 진단 결과 해당 치아(#26번)는 비가역적 치수염(Pulpitis) 상태였습니다. 이미 신경이 회복 불가능한 상태라 신경치료를 결정했습니다.
*참고* 치아 신경이 죽는 과정은 다음과 같습니다.
• 치아 내부 신경 조직(치수)에 염증이 생깁니다.
• 갇힌 공간에서 조직이 부어오르며 내부 압력이 높아집니다.
• 높아진 압력으로 인해 혈액이 빠져나가는 정맥이 눌려 막힙니다.
• 새로운 혈액과 산소 공급이 차단되어 신경 조직이 괴사합니다.
이러한 악순환으로 인해 신경 조직은 비가역적치수염으로 진행하고 치아의 극심한 통증을 느끼게 되죠.
2.미국 레진 비용과 한국 신경치료 비용, 가성비 차이는 얼마나 날까요?
미국과 한국의 치과 치료 비용 차이는 큽니다. 실제 환자분들이 체감하는 차이는 더 크게 다가옵니다. 이번 환자분의 사례로 비교해 보겠습니다.
• 미국 (레진 치료) 간단한 레진 충전만 해도 약 500달러 이상의 비용이 발생합니다. 한국 돈으로 약 60~70만 원 수준입니다.
• 한국 (신경치료 + 크라운) 건강보험이 적용되는 신경치료 비용과 전체를 씌우는 크라운 비용을 합산합니다. 이 총액이 미국에서 레진 하나를 때우는 비용과 비슷하거나 더 저렴합니다.
한국 치의학 기술은 세계 최고 수준입니다. 비용은 저렴하지만 실력은 비교 대상이 없을 만큼 뛰어납니다. 해외에서 치과 진료를 받아보신 분들이 한국 치과를 찾는 가장 큰 이유입니다.
3. 한국 체류 기간이 짧은데 신경치료를 얼마나 빨리 끝낼 수 있나요?
해외에서 오신 분들에게 가장 중요한 자원은 ‘시간’입니다. 체류 기간이 짧은 환자분들을 위해 내원 횟수를 획기적으로 줄여드립니다. 보통의 신경치료 과정은 3~4번의 내원이 필요합니다. 하지만 저희는 다음과 같이 단축하여 진행합니다.
STEP 1 (1회차) 신경치료를 시작합니다. 모든 신경관을 찾아 정리하고 깨끗이 소독합니다.

STEP 2 (2회차) 신경치료를 마무리(근관충전)합니다. 치아를 다듬고 본을 뜹니다.

STEP 3 (3회차) 일주일 뒤 제작된 최종 보철물(지르코니아)을 세팅합니다. 모든 치료가 종료됩니다.

경우에 따라 더 빠른 치료도 가능합니다. ‘2회 완성’ 솔루션이 준비되어 있습니다. 당일에 신경치료 시작부터 마무리, 본뜨기까지 모두 진행합니다. 그 후 일주일 뒤 최종 보철물만 끼우면 됩니다. 단 2번의 방문으로 모든 치료가 완료됩니다. (단, 신경치료 난이도에 따라 횟수는 조절될 수 있습니다.)

신경치료를 빨리 끝내도 되는지 걱정하시는 분들이 계십니다. 과거에는 소독을 위해 여러 번 내원했습니다. 최근에는 장비와 재료가 발달했습니다. 감염된 신경만 확실히 제거된다면 당일 혹은 2회 만에 마무리하는 것이 좋습니다. 오히려 재감염 위험을 줄이는 추세입니다.
Q&A 섹션
Q. 미국에서 치료받은 치아가 왜 계속 아팠나요? A. 충치가 깊어 신경과 매우 가까웠기 때문입니다. 레진 하방에서 신경이 지속적인 자극을 받아 비가역적 치수염으로 진행되었고, 결국 신경이 괴사하며 통증을 유발했습니다.
Q. 한국 치과 치료가 미국보다 비용 면에서 유리한가요? A. 네, 그렇습니다. 미국에서 레진 치료 하나를 받는 비용(약 500달러)이면, 한국에서는 신경치료와 크라운 보철까지 모두 마칠 수 있을 정도로 가성비가 뛰어납니다.
Q. 유학생이라 시간이 없는데 치료 기간은 얼마나 걸리나요? A. 일반적인 경우보다 내원 횟수를 줄여드립니다. 보통 3회 방문으로 종료되며, 치아 상태에 따라 당일 신경치료 마무리 후 본뜨기까지 진행하여 총 2회 방문으로 끝내는 것도 가능합니다.
- 위치: 마곡역 4번 출구 42m 직진, 우측 로뎀타워 2층
- 진료 철학: 좋은 진료를 정직하게, 선한 영향력으로 더 나은 가치를 꿈꿉니다.
- 예약하기: 네이버 예약 바로가기
