좋은 진료를 정직하게 | 선한 영향력으로 더 나은 가치를
아래 앞니 크라운, 가장 어려운 이유와 4개 크라운 치료 후기
강서구 마곡 서울쏙쏙치과 꿈꾸는 쏙쏙 치과의사 박상억입니다^^
안녕하세요^^
오늘은 앞니 4개 크라운 치료에 대한 정보와 비용에 대한 설명을 드릴까 합니다.
앞니의 크라운은 사실 상당한 난도를 보이는데요. 단순히 기능만을 위해서는 오히려 쉬운 편이지만 방긋~ 웃을 때 바로 보이는 부분이기 때문에 심미적인 요소까지 챙기기 위해서는 상당히 고려할 것이 많아집니다!
개중에 아래 앞니의 치료는 더욱이 어려운 부분이 있는데요. 왜냐면 크기가 너무 작기 때문에 치아를 다듬는 것도, 본을 뜨는 것도, 보철물을 심미적으로 만드는 것도 모두 아주 어렵기 때문입니다.
오늘은 그 어려운 아래 앞니의 크라운을 어떻게 해결할 수 있었는지!! 그 정보 알려드리도록 하겠습니다.

아래 앞니 4개 크라운 — 난이도가 있는 이유는?
1. 앞니 라미네이트가 적절하지 않은 증례

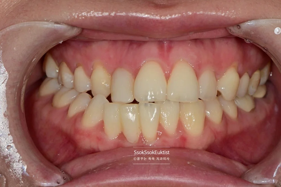
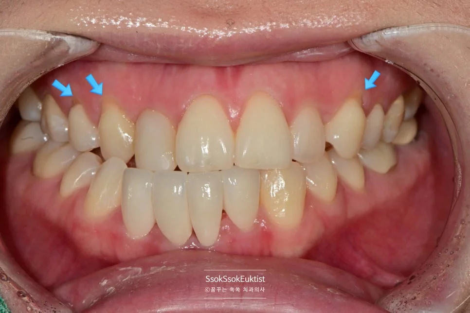
치료 전 정면 교합 사진 — 아래 앞니의 배열 상태 확인

진단 사진 — 가지런하지 않고 정출된 치아, 레진 치료가 되어 있는 부위 (화살표)
아래 앞니의 모양 개선을 원하는 증례입니다.
사진상에서 왼쪽(환자분의 오른쪽) 앞니 두 개가 주변 치아 대비 살짝 솟아 있는 것, 그리고 가지런하지 않은 모양이 내심 오랫동안 마음에 쓰이셨던 것 같습니다.
두 개 치아의 라미네이트를 문의해 주셨었는데요. 이런 치아의 경우 라미네이트는 좋지 않은 선택이라 환자분께 추천드리지 않았습니다.
왜일까요?
라미네이트는 치아 표면에 붙이는 치료인데
- 가운데 앞니의 경우 앞으로 나와 있어 여기에 뭔가를 덧붙이면 앞니가 더 나오는 양상이 되기 때문입니다. (그렇게 하기 위해선 다른 치아도 전부 앞으로 나온 위치에서 가지런하게 배열해야 함)
- 삐뚤삐뚤한 치아(Crowding)이기 때문에 라미네이트를 접착하면 뭔가 부자연스러운 모양이 될 수 있습니다. (사실 이 부분은 어느 정도는 커버할 수 있습니다^^)

하악 교합면 사진 — 가장 전방에 위치한 치아 (화살표)
아래 앞니를 더 앞으로 뺄 필요는 없는 상황이었기에 라미네이트가 적합하지 않습니다!

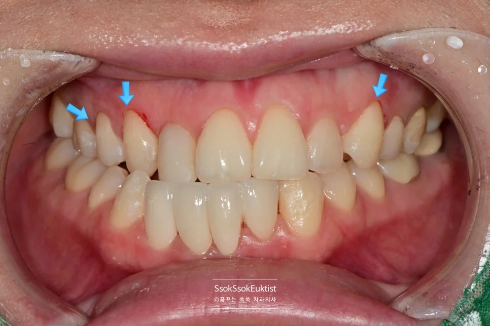
가지런하지 않은 아래 앞니 (화살표) — 크라운 치료가 필요한 상태
모양과 위치를 드라마틱하게 개선하기 위해서는 크라운 치료가 필요하였고, 두 개 치아의 크라운 치료를 계획합니다. 그것도 신경치료 없이!!
2. 앞니 두 개 크라운 치료 후기
아래 앞니 크라운이 어려운 이유 3가지
사실 아래 앞니의 크라운 치료는 크라운 치료 중에 가장 어려운 난도를 보입니다.
- 치아가 너무 작기 때문에 삭제량이 조금만 많으면 치아가 실처럼 얇아지거나 부러질 수 있습니다.
- 한편 작은 치아이기에 삭제의 각도가 조금만 어긋나면 신경이 노출되어 신경치료가 필요합니다.
- 작은 치아 사이에 Cord라고 하는 실을 넣고 예쁘게 본을 채득하는 것 또한 아주 어렵기 때문인데요.
그 어려운 것을 누가 한다고요?^^
크라운을 위한 치아 삭제 후 크라운을 제작해 봅니다.


어떤가요? 가지런하고 예쁜 치아가 된 것 같나요?
아주 만족하여 크라운을 붙이고 가신 후 10일 정도 후 재내원을 하십니다.
두둥!!!
무슨 일이었던 걸까요?
“앞니 두 개가 너무 예쁘게 된 것 같아 나머지 두 개의 치아도 크라운으로 제작하고 싶어요^^”
이 어려운 치료를 또 한다는 것에 일단 살짝 긴장을 하는 와중에, 이전에 했던 두 개의 크라운을 조금 더 밝게 할 수 있냐는 말씀에 당연히 가능하고 하는 김에 함께 진행하자고 말씀드렸네요.
아까 아래 앞니의 크라운 치료가 어려운 이유를 설명해 드렸었는데요. 아래 앞니가 크라운 되어 있는 것을 제거한 후 다시 크라운 하는 것은 더 어렵습니다^^
내부의 얇은 치아를 최소한으로 손상시키며 기존에 영구 접착이 된 크라운을 벗겨내야 하기 때문인데요.
그 어려운 것을 또 누가 한다고요?^^


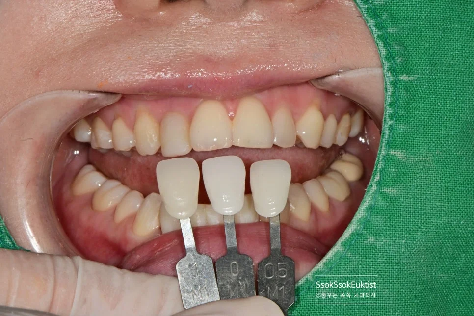
가장 어울리는 색상을 찾기 위해 Shade-guide를 적용하여 최대한 많은 정보를 기공실에 전달합니다^^ 그렇게 하여 아래 앞니 4개의 크라운을 제작해 보았습니다.
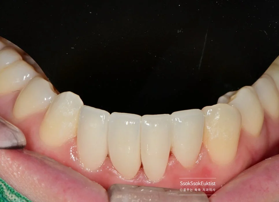
3. 앞니 4개 크라운 최종 결과

아래 앞니 4개 크라운 최종 결과 — 가지런하고 심미적인 치아
짜잔!
가지런하고 예쁜 치아인 것 같나요?^^
치아 뿌리의 위치와 모양은 정해져 있기 때문에 아래쪽으로 갈수록 살짝 어색한 느낌은 있지만 비교적 가지런하고 심미적인 크라운이 제작되었습니다.

파노라마 X-ray — 아래 앞니 4개 크라운 부위 (화살표)
4. 앞니의 치경부 마모증 레진 치료

치경부 마모증 — 치아 목 부분이 패인 상태 (화살표)
치아 목 부분이 패이는 치경부 마모증은 치아를 잘 쓰면서 생기는 치아 사용의 흔적으로 볼 수 있는데요^^
크기가 어느 정도 크면 레진 혹은 GI로 때우면 되고, 크기가 작은데 시려 하는 경우 지각과민처치를 시행합니다.
레진으로 치경부 마모증을 치료하는 경우 GI의 경우보다 접착력이 강하고 심미적인 결과를 볼 수 있습니다.

레진 치료 후 — 어디에 치료했는지 모를 정도로 자연스러운 결과
“어디에 치료했지?” 라는 느낌이 들면 아주 잘 된 레진 치료입니다^^
5. 앞니 크라운 가격 정보
앞니의 크라운 치료의 재질은
- 지르코니아
- 지르코니아 + 표면 도자기 (PFZ, Porcelain Fused to Zirconia)
로 거의 정해져 있습니다. 앞니에 금니를 씌울 순 없잖아요^^
앞니의 경우 심미적인 부분이 중요하기에 지르코니아 + 표면 도자기(PFZ)가 가장 추천되며, 기공료 또한 조금 비싸기 때문에 치료 비용도 조금 높은 편입니다.
- 크라운 하나 당 60~80만 원 정도
- 크라운 4개면 240~320만 원
* 치과에 내원할 때 발생되는 기본 진료비 혹은 X-ray 촬영 등은 별도 비용입니다.
오늘은 앞니 크라운 치료에 대해 알아보았습니다.
왜 앞니 크라운의 치료 난도가 높은지, 신경치료 없이 크라운 치료는 왜 더 어려운지, 그중 아래 앞니의 경우 왜 더 어려운지 설명드렸는데요.
앞니의 치료를 앞두고 계신 분들께 오늘의 포스팅이 도움이 되는 정보였으면 좋겠습니다^^
다음에 또 만나요!
자주 묻는 질문 (Q&A)
Q. 아래 앞니 크라운은 왜 다른 크라운보다 어려운가요?
아래 앞니는 구강 내에서 가장 작은 치아입니다. 크기가 작기 때문에 삭제량 조절이 매우 까다롭고, 조금만 각도가 어긋나면 신경이 노출될 수 있습니다. 또한 작은 치아 사이에 Cord(실)를 넣고 정밀한 인상(본뜨기)을 채득하는 것도 상당히 높은 기술을 요하기 때문에 크라운 치료 중 가장 높은 난도로 분류됩니다.
Q. 앞니 크라운은 신경치료 없이도 가능한가요?
네, 가능합니다. 다만 신경치료 없이 크라운을 하는 것이 오히려 더 어렵습니다. 삭제 과정에서 신경이 노출되지 않도록 매우 정밀하게 다듬어야 하기 때문입니다. 숙련된 치과의사의 기술이 필수적이며, 치아 상태에 따라 신경치료가 불가피한 경우도 있습니다.
Q. 라미네이트와 크라운의 차이점은 무엇인가요?
라미네이트는 치아 표면에 얇은 도자기를 붙이는 치료로, 삭제량이 적지만 치아 위치나 방향을 크게 바꾸기 어렵습니다. 크라운은 치아 전체를 감싸는 보철물로, 치아의 모양과 위치를 드라마틱하게 개선할 수 있습니다. 앞으로 튀어나온 치아나 삐뚤어진 치아의 경우 라미네이트보다 크라운이 더 적합한 선택일 수 있습니다.
Q. PFZ 크라운이 일반 지르코니아보다 좋은 이유는?
PFZ(Porcelain Fused to Zirconia)는 지르코니아 위에 도자기를 올린 크라운입니다. 지르코니아의 강도는 유지하면서 표면 도자기를 통해 자연치아와 유사한 투명도와 색감을 구현할 수 있어 앞니처럼 심미성이 중요한 부위에 가장 추천됩니다. 기공료가 일반 지르코니아보다 높은 편입니다.
Q. 치경부 마모증은 반드시 치료해야 하나요?
치경부 마모증은 치아를 사용하면서 생기는 자연스러운 마모입니다. 크기가 크거나 시린 증상이 있으면 레진이나 GI로 치료하는 것이 좋고, 크기가 작고 증상이 없으면 경과 관찰이 가능합니다. 방치하면 마모가 진행되어 치아 파절 위험이 높아질 수 있으므로 정기적인 검진을 추천합니다.
912개 지르코니아 크라운을 분석한 체계적 문헌 고찰에서 5년 생존율 97.6%로, 금속 도재관(98.3%)과 유사한 수준을 보였습니다. 심미성이 우수하며 현대 보철 치료의 신뢰할 수 있는 선택입니다.
— Pjetursson BE et al. (2018), Clin Oral Implants Res, 29(S16):199-214
좋은 진료를 정직하게 | 선한 영향력으로 더 나은 가치를
강서구 마곡 서울쏙쏙치과 꿈꾸는 쏙쏙 치과의사 박상억이었습니다.
위 포스팅은 의료법에 의거하여 치료가 필요한 환자분들을 위한 정보제공 목적으로 업로드했습니다.