아침에 일어났는데 턱이 뻐근하고, 치아가 시린 느낌이 계속된다면… 혹시 나도 이갈이? 이런 생각이 드셨을 수 있습니다.
실제로 이런 증상으로 저희 서울쏙쏙치과에 오시는 분들이 정말 많습니다. 그런데 대부분 “설마 이갈이겠어?” 하면서 한참을 방치하다 오시는 경우가 많아요.
오늘은 이갈이 원인과 스플린트 치료에 대해, 제가 실제로 진료한 환자분 사례를 통해 쉽게 설명드리겠습니다.
📋 이 글에서 알 수 있는 것
- 이갈이는 왜 생기는 걸까? (스트레스 때문이 아닙니다)
- 방치하면 치아에 어떤 일이 벌어지는지
- 하드 타입 vs 소프트 타입 스플린트, 뭐가 다른지
- 조기에 관리하면 얼마나 큰 차이가 나는지
이갈이, 왜 생기는 걸까요?
“원장님, 저 스트레스를 많이 받아서 이갈이가 심한 것 같아요.”
진료실에서 정말 자주 듣는 말입니다. 그런데 사실, 이갈이의 근본 원인은 스트레스가 아닙니다.
우리 치아는 한 번에 다 올라오는 게 아니라, 어릴 때부터 순서대로 나옵니다. 어금니들이 각각 다른 위치, 다른 속도로 올라오면서 0.03~0.04mm라는 머리카락보다 가는 단위로 서로 맞물리며 힘을 나누게 되는데요.
이 과정에서 치아끼리 갈리고, 부딪히고, 조정되는 것이 반복됩니다. 이것이 바로 이갈이의 시작입니다. 특히 중학생 시기(13~15세)에 가장 심하고, 대부분은 성인이 되면서 자연스럽게 사라집니다.
문제는, 일부에서는 이 습관이 그대로 남는다는 것입니다.
예전에는 평균 수명이 40~50세였기 때문에 이갈이가 있어도 치아가 그때까지는 버텨줬습니다. 하지만 지금은 100세 시대잖아요. 치아를 훨씬 오래 써야 하다 보니, 이갈이가 치아 마모, 금(크랙), 파절, 시림으로 이어지는 심각한 문제가 된 거죠.

이갈이가 치아에 미치는 영향
이갈이는 주로 잘 때 발생하는데, 옆으로 미는 힘(측방력)이 상당히 강하게 작용합니다. 이 힘이 매일 밤 특정 치아에 반복적으로 가해지면 어떻게 될까요?
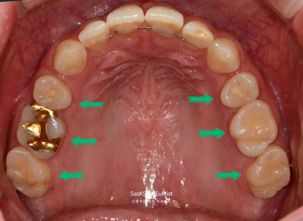
- 씹는 면이 닳아 납작해집니다 — 아래 사진처럼 어금니가 평평하게 마모됩니다
- 노란 상아질이 드러납니다 — 이 단계에서 찬물에 극심한 시림이 시작됩니다
- 미세한 금(크랙)이 생깁니다 — 심하면 치아가 쪼개질 수도 있습니다
- 레진 충전물이 먼저 닳아버립니다 — 레진보다 치아가 더 단단하거든요


🔍 제가 자주 보는 케이스: 어금니에 넓게 레진을 채워놓은 환자분이 오시는데, 대합치(맞닿는 치아)가 단단하면 레진이 먼저 닳아버립니다. 이런 경우에는 레진을 다시 하는 게 아니라, 힘을 버틸 수 있는 크라운으로 가야 합니다.

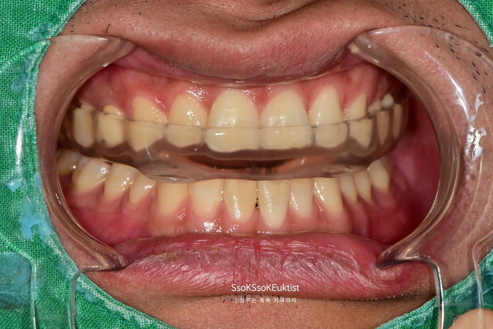
이갈이 스플린트, 하드 타입이어야 하는 이유
이갈이 관리에서 가장 중요한 장치가 바로 이갈이 스플린트(나이트가드)입니다.
그런데 여기서 꼭 알아두셔야 할 포인트가 있습니다.
| 구분 | 하드 타입 스플린트 | 소프트 타입 마우스가드 |
|---|---|---|
| 재질 | 단단한 아크릴 | 말랑한 실리콘 |
| 뇌에 보내는 신호 | “이건 씹으면 안 되겠다” | “씹어도 될 것 같다” |
| 이갈이 억제 효과 | ✅ 효과적 | ❌ 오히려 악화 가능 |
말랑한 소프트 타입은 물었을 때 “씹어도 될 것 같은 느낌”을 줍니다. 그래서 오히려 더 꽉 물고 갈게 만드는 경우가 많아요. 반면 단단한 하드 타입은 뇌에 “이건 씹으면 안 되겠다”는 신호를 보내기 때문에 실제 이갈이 억제 효과가 훨씬 좋습니다.

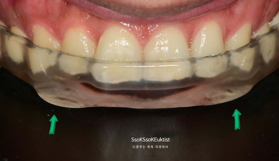
실제 환자 사례: 스플린트가 없었다면?
이 환자분은 이갈이가 심해서 앞니까지 마모가 진행된 상태로 내원하셨습니다.

오랜 기간 사용하신 이갈이 스플린트를 확인해보니, 화살표 부분이 움푹 들어가 있었습니다. 이 부분은 원래 튀어나와 있어야 하는 송곳니 가이드인데, 무의식적인 이갈이로 완전히 닳아버린 거죠.

만약 이 스플린트가 없었다면? 이만큼의 마모가 그대로 환자분의 치아에 가해졌을 겁니다. 생각만 해도 아찔하죠.
닳아버린 스플린트를 새로 제작해드렸습니다. 송곳니 부분이 제대로 튀어나와 있는 모습, 확인되시죠?

조기 관리가 만드는 차이
이갈이 스플린트 치료의 목표는 단순히 “이를 안 갈게 만드는 것”이 아닙니다. 앞으로 10년, 20년 이상 내 자연 치아를 지키는 것이 핵심이에요.
- 치아는 한 번 닳으면 절대 다시 자라지 않습니다
- 마모가 진행되면 크라운, 임플란트 등 큰 치료가 필요해집니다
- 스플린트 하나로 이 모든 걸 예방할 수 있습니다
위 사례의 환자분도 마모가 더 진행됐다면 여러 치아에 크라운이 필요했을 겁니다. 하지만 스플린트를 제때 사용하신 덕분에 더 큰 치료 없이 관리가 가능했습니다.
지금의 작은 관심이 미래의 큰 비용과 고통을 예방하는 최선의 선택일 수 있습니다.
자주 묻는 질문 (FAQ)
Q: 이갈이는 스트레스 때문 아닌가요?
스트레스가 악화시킬 수는 있지만, 근본 원인은 아닙니다. 치아 교합 과정에서 형성된 습관이 성인까지 남은 것이에요. 실제로 스트레스를 거의 안 받는 분도 이갈이가 심한 경우가 많습니다.
Q: 약국에서 파는 소프트 마우스가드도 괜찮나요?
추천드리지 않습니다. 말랑한 소프트 타입은 오히려 이갈이를 악화시킬 수 있어요. 반드시 치과에서 내 치아에 맞게 제작한 하드 타입 이갈이 스플린트를 사용하셔야 합니다.
Q: 스플린트는 얼마나 자주 교체하나요?
이갈이 정도에 따라 다르지만, 6개월~1년 주기로 점검하시는 걸 권장합니다. 위 사례처럼 스플린트 자체가 상당히 닳을 수 있거든요.
Q: 증상이 없어도 스플린트가 필요한가요?
치아 마모가 관찰된다면 증상이 없어도 예방 차원에서 도움이 됩니다. 다만 모든 분에게 필요한 건 아니니, 정확한 진단 후 결정하시는 게 좋습니다.
Q: 이갈이와 치아 균열은 관계가 있나요?
매우 밀접합니다. 이갈이의 반복적인 힘이 치아에 미세한 금을 만들고, 결국 치아가 쪼개지거나 신경까지 손상될 수 있습니다. 이갈이 스플린트는 이런 위험을 크게 줄여줍니다.
서울쏙쏙치과 박상억 대표원장 (통합치의학과 전문의)
📍 마곡역 4번 출구 앞 로델타워 206·207·208호
🅿️ 건물 지하 주차 (최대 3시간)
이갈이가 걱정되신다면, 너무 오래 미루지 마세요. 조기에 확인하고 관리하는 것만으로도 앞으로 수십 년을 편하게 쓸 수 있습니다.